Revision 1

#57558

Store at -20C

CST Logo
Orders:

877-616-CELL (2355)

[email protected]

Support:

877-678-TECH (8324)

3 Trask Lane | Danvers | Massachusetts | 01923 | USA

For Research Use Only. Not for Use in Diagnostic Procedures.

Applications:
W, IHC-P

Reactivity:
H M R Mk

Sensitivity:
Endogenous

MW (kDa):
Iso1 60, Iso2 50

Source/Isotype:
Rabbit IgG

UniProt ID:
#Q15532

Entrez-Gene Id:
6760

Product Usage Information

This product is the carrier free version of product #21792. All data were generated using the same antibody clone in the standard formulation which contains BSA and glycerol.

This formulation is ideal for use with technologies requiring specialized or custom antibody labeling, including fluorophores, metals, lanthanides, and oligonucleotides. It is not recommended for ChIP, ChIP-seq, CUT&RUN or CUT&Tag assays. If you require a carrier free formulation for chromatin profiling, please contact us. Optimal dilutions/concentrations should be determined by the end user.

BSA and Azide Free antibodies are quality control tested by size exclusion chromatography (SEC) to determine antibody integrity.

Formulation

Supplied in 1X PBS (10 mM Na2HPO4, 3 mM KCl, 2 mM KH2PO4, and 140 mM NaCl (pH 7.8)). BSA and Azide Free.

For standard formulation of this product see product #21792

Storage

Store at -20°C. This product will freeze at -20°C so it is recommended to aliquot into single-use vials to avoid multiple freeze/thaw cycles. A slight precipitate may be present and can be dissolved by gently vortexing. This will not interfere with antibody performance.

Specificity/Sensitivity

SS18 (D6I4Z) Rabbit Monoclonal Antibody (BSA and Azide Free) recognizes endogenous levels of total SS18 protein.

Species predicted to react based on 100% sequence homology

Dog, Horse

Source / Purification

Monoclonal antibody is produced by immunizing animals with a synthetic peptide corresponding to residues surrounding Gln394 of human SS18 protein.

Background

ATP-dependent chromatin remodeling complexes play an essential role in the regulation of nuclear processes such as transcription and DNA replication and repair (1,2). The SWI/SNF chromatin remodeling complex consists of more than 10 subunits and contains a single molecule of either BRM or BRG1 as the ATPase catalytic subunit. The activity of the ATPase subunit disrupts histone-DNA contacts and changes the accessibility of crucial regulatory elements to the chromatin. The additional core and accessory subunits play a scaffolding role to maintain stability and provide surfaces for interaction with various transcription factors and chromatin (2-5). The interactions between SWI/SNF subunits and transcription factors, such as nuclear receptors, p53, Rb, BRCA1, and MyoD, facilitate recruitment of the complex to target genes for regulation of gene activation, cell growth, cell cycle, and differentiation processes (1,6-9).
SS18 is a protein that has been shown to be a part of the SWI/SNF complex (10, 11). The SS18-SSX fusion proteins are a result of in-frame fusions that fuse the SS18 gene on chromosome 18 with X chromosome genes SSX1, SSX2, and to a lesser extent SSX4 (12). Human synovial sarcoma (SS) accounts for 8-10% of all soft tissue malignancies and 95% of these malignancies express the recurrent translocation of the SS18 gene on chromosome 18 (12). The N-terminal SNH domain (SYT N-terminal homology domain) of the SS18 protein interacts with SWI/SNF chromatin remodeling complexes via the N terminal region of BRM and BRG1 subunits (13). Studies of the SS18-SSX fusion in SS suggest that endogenous SS18 competes with the mutant SS18-SSX fusion for occupancy in the SWI/SNF complexes resulting in the displacement of SNF5 (BAF47) subunit. Displacement of the SNF5 subunit results in altered function of the SWI/SNF complex that leads to deregulated expression of genes such as Sox2 in SS (12).
In addition, cytosolic SS18 isoforms also associate with F-actin in cytoskeletal organization (14). SS18 null mice do not develop beyond E9.5 and have defects in vascularization, cell migration, neural tube closure, and fusion within the embryonic-maternal membranes (14).

Species Reactivity

Species reactivity is determined by testing in at least one approved application (e.g., western blot).

Applications Key

W: Western Blotting IHC-P: Immunohistochemistry (Paraffin)

Cross-Reactivity Key

H: Human M: Mouse R: Rat Mk: Monkey

Trademarks and Patents

Cell Signaling Technology is a trademark of Cell Signaling Technology, Inc.

All other trademarks are the property of their respective owners. Visit cellsignal.com/trademarks for more information.

Limited Uses

Except as otherwise expressly agreed in a writing signed by a legally authorized representative of CST, the following terms apply to Products provided by CST, its affiliates or its distributors. Any Customer's terms and conditions that are in addition to, or different from, those contained herein, unless separately accepted in writing by a legally authorized representative of CST, are rejected and are of no force or effect.

Products are labeled with For Research Use Only or a similar labeling statement and have not been approved, cleared, or licensed by the FDA or other regulatory foreign or domestic entity, for any purpose. Customer shall not use any Product for any diagnostic or therapeutic purpose, or otherwise in any manner that conflicts with its labeling statement. Products sold or licensed by CST are provided for Customer as the end-user and solely for research and development uses. Any use of Product for diagnostic, prophylactic or therapeutic purposes, or any purchase of Product for resale (alone or as a component) or other commercial purpose, requires a separate license from CST. Customer shall (a) not sell, license, loan, donate or otherwise transfer or make available any Product to any third party, whether alone or in combination with other materials, or use the Products to manufacture any commercial products, (b) not copy, modify, reverse engineer, decompile, disassemble or otherwise attempt to discover the underlying structure or technology of the Products, or use the Products for the purpose of developing any products or services that would compete with CST products or services, (c) not alter or remove from the Products any trademarks, trade names, logos, patent or copyright notices or markings, (d) use the Products solely in accordance with CST Product Terms of Sale and any applicable documentation, and (e) comply with any license, terms of service or similar agreement with respect to any third party products or services used by Customer in connection with the Products.

Orders: 877-616-CELL (2355) [email protected] Support: 877-678-TECH (8324) [email protected] Web: cellsignal.com
For Research Use Only. Not for Use in Diagnostic Procedures.

Revision 1

Cell Signaling Technology Logo
Western blot analysis of extracts from various cell lines using SS18 (D6I4Z) Rabbit mAb. Data were generated using the standard formulation of this product.
Western Blotting Image 1: SS18 (D6I4Z) Rabbit Monoclonal Antibody (BSA and Azide Free)
Immunohistochemical analysis of paraffin-embedded human colon carcinoma using SS18 (D6I4Z) Rabbit mAb (left) compared to concentration matched Rabbit (DA1E) mAb IgG XP® Isotype Control #3900 (right). Data were generated using the standard formulation of this product.
Immunohistochemistry Image 1: SS18 (D6I4Z) Rabbit Monoclonal Antibody (BSA and Azide Free)
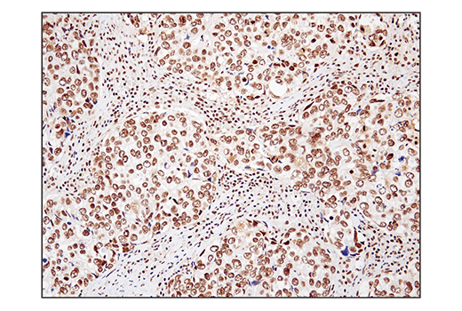
Immunohistochemical analysis of paraffin-embedded human squamous cell lung carcinoma using SS18 (D6I4Z) Rabbit mAb. Data were generated using the standard formulation of this product.
Immunohistochemistry Image 2: SS18 (D6I4Z) Rabbit Monoclonal Antibody (BSA and Azide Free)
Orders: 877-616-CELL (2355) [email protected] Support: 877-678-TECH (8324) [email protected] Web: cellsignal.com
For Research Use Only. Not for Use in Diagnostic Procedures.

Revision 1

Cell Signaling Technology Logo
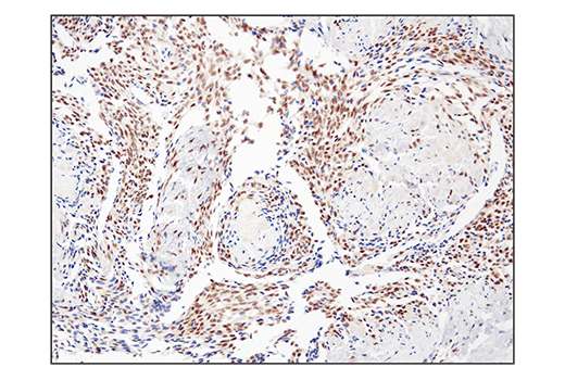
Immunohistochemical analysis of paraffin-embedded human serous papillary carcinoma of the ovary using SS18 (D6I4Z) Rabbit mAb. Data were generated using the standard formulation of this product.
Immunohistochemistry Image 3: SS18 (D6I4Z) Rabbit Monoclonal Antibody (BSA and Azide Free)
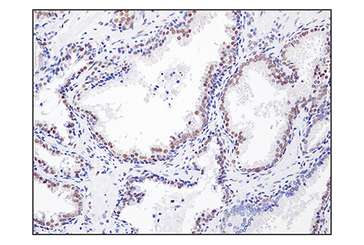
Immunohistochemical analysis of paraffin-embedded human prostate carcinoma using SS18 (D6I4Z) Rabbit mAb. Data were generated using the standard formulation of this product.
Immunohistochemistry Image 4: SS18 (D6I4Z) Rabbit Monoclonal Antibody (BSA and Azide Free)
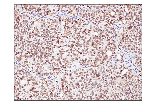
Immunohistochemical analysis of paraffin-embedded human synovial sarcoma using SS18 (D6I4Z) Rabbit mAb. Data were generated using the standard formulation of this product.
Immunohistochemistry Image 5: SS18 (D6I4Z) Rabbit Monoclonal Antibody (BSA and Azide Free)
Orders: 877-616-CELL (2355) [email protected] Support: 877-678-TECH (8324) [email protected] Web: cellsignal.com
For Research Use Only. Not for Use in Diagnostic Procedures.