Revision 1

#23855

Store at -20C

CST Logo
Orders:

877-616-CELL (2355)

[email protected]

Support:

877-678-TECH (8324)

3 Trask Lane | Danvers | Massachusetts | 01923 | USA

For Research Use Only. Not for Use in Diagnostic Procedures.

Applications:
W, IP, IHC-Bond, IHC-P

Reactivity:
H

Sensitivity:
Endogenous

MW (kDa):
25

Source/Isotype:
Rabbit IgG

UniProt ID:
#Q16384

Entrez-Gene Id:
6756

Product Usage Information

Application Dilution
Western Blotting 1:1000
Immunoprecipitation 1:100
IHC Leica Bond 1:100 - 1:400
Immunohistochemistry (Paraffin) 1:50 - 1:200

Storage

Supplied in 10 mM sodium HEPES (pH 7.5), 150 mM NaCl, 100 µg/ml BSA, 50% glycerol and less than 0.02% sodium azide. Store at –20°C. Do not aliquot the antibody.

Specificity/Sensitivity

SSX (E5A2C) Rabbit Monoclonal Antibody (Carboxy-terminal Antigen) recognizes endogenous levels of total SSX1-4 proteins. This antibody also detects the SS18-SSX fusion protein.

Source / Purification

Monoclonal antibody is produced by immunizing animals with a synthetic peptide corresponding to residues surrounding Gln173 of human SSX1 protein.

Background

The SS18-SSX fusion proteins are a result of in-frame fusions that fuse the SS18 gene on chromosome 18 with X chromosome genes SSX1, SSX2, and to a lesser extent SSX4 (1). Human synovial sarcoma (SS) accounts for 8-10% of all soft tissue malignancies and 95% of these malignancies express the recurrent translocation of the SS18 gene on chromosome 18 (1). The N-terminal SNH domain (SYT N-terminal homology domain) of the SS18 protein interacts with SWI/SNF chromatin remodeling complexes via the N terminal region of BRM and BRG1 subunits (2). Studies of the SS18-SSX fusion in SS suggest that endogenous SS18 competes with the mutant SS18-SSX fusion for occupancy in the SWI/SNF complexes resulting in the displacement of the SNF5 (BAF47) subunit. Displacement of the SNF5 subunit results in altered function of the SWI/SNF complex that leads to deregulated expression of genes such as Sox2 in SS (1).

While the SSX family of proteins is well characterized in SS, little is known outside of this context. The conserved N-terminus of the SSX family contains a KRAB domain which seems to function as a transcriptional repressor (3).

Species Reactivity

Species reactivity is determined by testing in at least one approved application (e.g., western blot).

Western Blot Buffer

IMPORTANT: For western blots, incubate membrane with diluted primary antibody in 5% w/v BSA, 1X TBS, 0.1% Tween® 20 at 4°C with gentle shaking, overnight.

Applications Key

W: Western Blotting IP: Immunoprecipitation IHC-Bond: IHC Leica Bond IHC-P: Immunohistochemistry (Paraffin)

Cross-Reactivity Key

H: Human

Trademarks and Patents

Cell Signaling Technology is a trademark of Cell Signaling Technology, Inc.

SignalStain is a registered trademark of Cell Signaling Technology, Inc.

All other trademarks are the property of their respective owners. Visit cellsignal.com/trademarks for more information.

Limited Uses

Except as otherwise expressly agreed in a writing signed by a legally authorized representative of CST, the following terms apply to Products provided by CST, its affiliates or its distributors. Any Customer's terms and conditions that are in addition to, or different from, those contained herein, unless separately accepted in writing by a legally authorized representative of CST, are rejected and are of no force or effect.

Products are labeled with For Research Use Only or a similar labeling statement and have not been approved, cleared, or licensed by the FDA or other regulatory foreign or domestic entity, for any purpose. Customer shall not use any Product for any diagnostic or therapeutic purpose, or otherwise in any manner that conflicts with its labeling statement. Products sold or licensed by CST are provided for Customer as the end-user and solely for research and development uses. Any use of Product for diagnostic, prophylactic or therapeutic purposes, or any purchase of Product for resale (alone or as a component) or other commercial purpose, requires a separate license from CST. Customer shall (a) not sell, license, loan, donate or otherwise transfer or make available any Product to any third party, whether alone or in combination with other materials, or use the Products to manufacture any commercial products, (b) not copy, modify, reverse engineer, decompile, disassemble or otherwise attempt to discover the underlying structure or technology of the Products, or use the Products for the purpose of developing any products or services that would compete with CST products or services, (c) not alter or remove from the Products any trademarks, trade names, logos, patent or copyright notices or markings, (d) use the Products solely in accordance with CST Product Terms of Sale and any applicable documentation, and (e) comply with any license, terms of service or similar agreement with respect to any third party products or services used by Customer in connection with the Products.

Orders: 877-616-CELL (2355) [email protected] Support: 877-678-TECH (8324) [email protected] Web: cellsignal.com
For Research Use Only. Not for Use in Diagnostic Procedures.

Revision 1

Cell Signaling Technology Logo
Western blot analysis of extracts from various cell lines using SSX (E5A2C) Rabbit mAb (Carboxy-terminal Antigen) (upper) or β-Actin (D6A8) Rabbit mAb #8457 (lower). As expected, PC-3 cells are negative for SSX expression. ASKA is a synovial sarcoma cell line. Cell lysates were isolated and provided by the Kadoch laboratory.
Western Blotting Image 1: SSX (E5A2C) Rabbit Monoclonal Antibody (Carboxy-terminal Antigen)
Immunoprecipitation of SSX from K-562 cell extracts. Lane 1 is 10% input, lane 2 is Rabbit (DA1E) mAb IgG XP® Isotype Control #3900, and lane 3 is SSX (E5A2C) Rabbit mAb (Carboxy-terminal Antigen). Western blot analysis was performed using SSX (E5A2C) Rabbit mAb (Carboxy-terminal Antigen). Mouse Anti-rabbit IgG (Conformation Specific) (L27A9) mAb (HRP Conjugate) #5127 was used as a secondary antibody.
Immunoprecipitation Image 1: SSX (E5A2C) Rabbit Monoclonal Antibody (Carboxy-terminal Antigen)
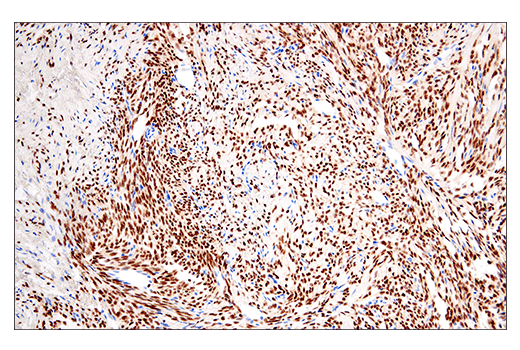
Immunohistochemical analysis of paraffin-embedded human synovial sarcoma using SSX (E5A2C) Rabbit mAb (Carboxy-terminal Antigen) performed on the Leica® BOND™ Rx.
Immunohistochemistry Image 1: SSX (E5A2C) Rabbit Monoclonal Antibody (Carboxy-terminal Antigen)
Orders: 877-616-CELL (2355) [email protected] Support: 877-678-TECH (8324) [email protected] Web: cellsignal.com
For Research Use Only. Not for Use in Diagnostic Procedures.

Revision 1

Cell Signaling Technology Logo
Immunohistochemical analysis of paraffin-embedded Aska cell pellet (left, positive) or HeLa cell pellet (right, negative) using SSX (E5A2C) Rabbit mAb (Carboxy-terminal Antigen).
Immunohistochemistry Image 1: SSX (E5A2C) Rabbit Monoclonal Antibody (Carboxy-terminal Antigen)
Immunohistochemical analysis of paraffin-embedded human synovial sarcoma using SSX (E5A2C) Rabbit mAb (Carboxy-terminal Antigen) (left) compared to concentration-matched Rabbit (DA1E) mAb IgG XP® Isotype Control #3900 (right).
Immunohistochemistry Image 2: SSX (E5A2C) Rabbit Monoclonal Antibody (Carboxy-terminal Antigen)
Immunohistochemical analysis of paraffin-embedded human prostate adenocarcinoma (left) and adenoid cystic carcinoma of the trachea (right) using SSX (E5A2C) Rabbit mAb (Carboxy-terminal Antigen) (upper) or SS18 (D6I4Z) Rabbit mAb

#21792 (lower). Note the absence of SSX expression in each carcinoma.

Immunohistochemistry Image 3: SSX (E5A2C) Rabbit Monoclonal Antibody (Carboxy-terminal Antigen)
Orders: 877-616-CELL (2355) [email protected] Support: 877-678-TECH (8324) [email protected] Web: cellsignal.com
For Research Use Only. Not for Use in Diagnostic Procedures.

Revision 1

Cell Signaling Technology Logo
Immunohistochemical analysis of paraffin-embedded human synovial sarcoma (left) and normal testis (right) using SSX (E5A2C) Rabbit mAb (Carboxy-terminal Antigen) (upper) or SS18-SSX (E9X9V) XP® Rabbit mAb #72364 (lower). Note that the fusion protein is not present in normal testis.
Immunohistochemistry Image 4: SSX (E5A2C) Rabbit Monoclonal Antibody (Carboxy-terminal Antigen)
Orders: 877-616-CELL (2355) [email protected] Support: 877-678-TECH (8324) [email protected] Web: cellsignal.com
For Research Use Only. Not for Use in Diagnostic Procedures.