Revision 6

#14995

Store at -20C

CST Logo
Orders:

877-616-CELL (2355)

[email protected]

Support:

877-678-TECH (8324)

3 Trask Lane | Danvers | Massachusetts | 01923 | USA

For Research Use Only. Not for Use in Diagnostic Procedures.

Applications:
W, IP, IHC-P, IF-F, IF-IC, ChIP, ChIP-seq

Reactivity:
H M R

Sensitivity:
Endogenous

MW (kDa):
84, 91

Source/Isotype:
Rabbit IgG

UniProt ID:
#P42224

Entrez-Gene Id:
6772

Product Usage Information

For optimal ChIP results, use 10 μl of antibody and 10 μg of chromatin (approximately 4 x 106 cells) per IP. This antibody has been validated using SimpleChIP® Enzymatic Chromatin IP Kits.
Application Dilution
Western Blotting 1:1000
Immunoprecipitation 1:100
Immunohistochemistry (Paraffin) 1:400 - 1:1600
Immunofluorescence (Frozen) 1:400 - 1:1600
Immunofluorescence (Immunocytochemistry) 1:400 - 1:1600
Chromatin IP 1:50
Chromatin IP-seq 1:50

Storage

Supplied in 10 mM sodium HEPES (pH 7.5), 150 mM NaCl, 100 µg/ml BSA, 50% glycerol and less than 0.02% sodium azide. Store at –20°C. Do not aliquot the antibody.

For a carrier free (BSA and azide free) version of this product see product #84689.

Specificity/Sensitivity

Stat1 (D4Y6Z) Rabbit Monoclonal Antibody recognizes endogenous levels of total Stat1 protein.

Source / Purification

Monoclonal antibody is produced by immunizing animals with recombinant protein specific to a region near the carboxy terminus of human Stat1 protein.

Background

The Stat1 transcription factor is activated in response to a large number of ligands (1) and is essential for responsiveness to IFN-α and IFN-γ (2,3). Phosphorylation of Stat1 at Tyr701 induces Stat1 dimerization, nuclear translocation, and DNA binding (4). Stat1 protein exists as a pair of isoforms, Stat1α (91 kDa) and the splice variant Stat1β (84 kDa). In most cells, both isoforms are activated by IFN-α, but only Stat1α is activated by IFN-γ. The inappropriate activation of Stat1 occurs in many tumors (5). In addition to tyrosine phosphorylation, Stat1 is also phosphorylated at Ser727 through a p38 mitogen-activated protein kinase (MAPK)-dependent pathway in response to IFN-α and other cellular stresses (6). Serine phosphorylation may be required for the maximal induction of Stat1-mediated gene activation.

Species Reactivity

Species reactivity is determined by testing in at least one approved application (e.g., western blot).

Western Blot Buffer

IMPORTANT: For western blots, incubate membrane with diluted primary antibody in 5% w/v BSA, 1X TBS, 0.1% Tween® 20 at 4°C with gentle shaking, overnight.

Applications Key

W: Western Blotting IP: Immunoprecipitation IHC-P: Immunohistochemistry (Paraffin) IF-F: Immunofluorescence (Frozen) IF-IC: Immunofluorescence (Immunocytochemistry) ChIP: Chromatin IP ChIP-seq: Chromatin IP-seq

Cross-Reactivity Key

H: Human M: Mouse R: Rat

Trademarks and Patents

Cell Signaling Technology is a trademark of Cell Signaling Technology, Inc.

SignalStain is a registered trademark of Cell Signaling Technology, Inc.

SimpleChIP is a registered trademark of Cell Signaling Technology, Inc.

All other trademarks are the property of their respective owners. Visit cellsignal.com/trademarks for more information.

Limited Uses

Except as otherwise expressly agreed in a writing signed by a legally authorized representative of CST, the following terms apply to Products provided by CST, its affiliates or its distributors. Any Customer's terms and conditions that are in addition to, or different from, those contained herein, unless separately accepted in writing by a legally authorized representative of CST, are rejected and are of no force or effect.

Products are labeled with For Research Use Only or a similar labeling statement and have not been approved, cleared, or licensed by the FDA or other regulatory foreign or domestic entity, for any purpose. Customer shall not use any Product for any diagnostic or therapeutic purpose, or otherwise in any manner that conflicts with its labeling statement. Products sold or licensed by CST are provided for Customer as the end-user and solely for research and development uses. Any use of Product for diagnostic, prophylactic or therapeutic purposes, or any purchase of Product for resale (alone or as a component) or other commercial purpose, requires a separate license from CST. Customer shall (a) not sell, license, loan, donate or otherwise transfer or make available any Product to any third party, whether alone or in combination with other materials, or use the Products to manufacture any commercial products, (b) not copy, modify, reverse engineer, decompile, disassemble or otherwise attempt to discover the underlying structure or technology of the Products, or use the Products for the purpose of developing any products or services that would compete with CST products or services, (c) not alter or remove from the Products any trademarks, trade names, logos, patent or copyright notices or markings, (d) use the Products solely in accordance with CST Product Terms of Sale and any applicable documentation, and (e) comply with any license, terms of service or similar agreement with respect to any third party products or services used by Customer in connection with the Products.

Orders: 877-616-CELL (2355) [email protected] Support: 877-678-TECH (8324) [email protected] Web: cellsignal.com
For Research Use Only. Not for Use in Diagnostic Procedures.

Revision 6

Cell Signaling Technology Logo
Western blot analysis of extracts from various cell lines using Stat1 (D4Y6Z) Rabbit mAb.
Western Blotting Image 1: Stat1 (D4Y6Z) Rabbit Monoclonal Antibody
Western blot analysis of extracts from A549 cells (lane 1) or STAT1 knock-out cells (lane 2) using Stat1 (D4Y6Z) Rabbit mAb #14995 (upper), and β-actin (D6A8) Rabbit mAb #8457 (lower). The absence of signal in the STAT1 knock-out A549 cells confirms specificity of the antibody for STAT1.
Western Blotting Image 2: Stat1 (D4Y6Z) Rabbit Monoclonal Antibody
Western blot analysis of extracts from whole lung from wild type 129S6/SvEvTac mice (model #129SVE-F) (lane 1), or Stat1 knock-out mice (model #2045-F) (lane 2), whole spleen extracts from wild type 129S6/SvEvTac mice (lane 3), or Stat1 knock-out mice (lane 4), whole liver extracts from wild type 129S6/SvEvTac mice (lane 5), or Stat1 knock-out mice (lane 6) using Stat1 (D4Y6Z) Rabbit mAb #14995 (upper) and β-Actin (D6A8) Rabbit mAb #8457 (lower). The truncated protein observed in the knock-out tissues is the result of a targeted homozygous mutation in the Stat1 gene (4), and confirms the specificity of the antibody for Stat1. Mice from Taconic Biosciences, Inc.
Western Blotting Image 3: Stat1 (D4Y6Z) Rabbit Monoclonal Antibody
Orders: 877-616-CELL (2355) [email protected] Support: 877-678-TECH (8324) [email protected] Web: cellsignal.com
For Research Use Only. Not for Use in Diagnostic Procedures.

Revision 6

Cell Signaling Technology Logo
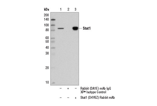
Immunoprecipitation of Stat1 from MCF7 cell extracts using Rabbit (DA1E) mAb IgG XP® Isotype Control #3900 (lane 2) or Stat1 (D4Y6Z) Rabbit mAb (lane 3). Lane 1 is 10% input. Western blot was performed using Stat1 (9H2) Mouse mAb #9176.
Immunoprecipitation Image 1: Stat1 (D4Y6Z) Rabbit Monoclonal Antibody
Immunohistochemical analysis of paraffin-embedded human colon carcinoma using Stat1 (D4Y6Z) Rabbit mAb.
Immunohistochemistry Image 1: Stat1 (D4Y6Z) Rabbit Monoclonal Antibody
Immunohistochemical analysis of paraffin-embedded lung (left), spleen (middle), and liver (right) from wild type 129S6/SvEvTac mouse (model #129SVE-F) (top) or Stat1 knock-out mouse (model #2045-F) (bottom) using Stat1 (D4Y6Z) Rabbit mAb. The targeted mutation in the KO animal results in a reduction of expression and truncation of the protein(4). Mice from Taconic Biosciences, Inc.
Immunohistochemistry Image 2: Stat1 (D4Y6Z) Rabbit Monoclonal Antibody
Orders: 877-616-CELL (2355) [email protected] Support: 877-678-TECH (8324) [email protected] Web: cellsignal.com
For Research Use Only. Not for Use in Diagnostic Procedures.

Revision 6

Cell Signaling Technology Logo
Confocal immunofluorescent analysis of fixed, frozen thymus from wild type 129S6/SvEvTac mouse (model #129SVE-F) (left) or Stat1 knock-out mouse (model #2045-F) (right) using Stat1 (D4Y6Z) Rabbit mAb #14995 (red) and DAPI #4083 (blue). The targeted mutation in the KO animal results in a reduction of expression and truncation of the protein(4). Mice from Taconic Biosciences, Inc.
Immunofluorescence Image 1: Stat1 (D4Y6Z) Rabbit Monoclonal Antibody
Confocal immunofluorescent analysis of fixed, frozen small intestine from wild type 129S6/SvEvTac mouse (model #129SVE-F) (left) or Stat1 knock-out mouse (model #2045-F) (right) using Stat1 (D4Y6Z) Rabbit mAb #14995 (red) and DAPI #4083 (blue). The targeted mutation in the KO animal results in a reduction of expression and truncation of the protein(4). Mice from Taconic Biosciences, Inc.
Immunofluorescence Image 2: Stat1 (D4Y6Z) Rabbit Monoclonal Antibody
Confocal immunofluorescent analysis of HeLa cells either serum-starved overnight (left) or serum-starved overnight and treated with Human Interferon-α1 (hIFN-α1) #8927 (1,000 units/ml, 30 min; right) using Stat1 (D4Y6Z) Rabbit mAb #14995 (green) and β-Actin (8H10D10) Mouse mAb #3700 (red).
Immunofluorescence Image 1: Stat1 (D4Y6Z) Rabbit Monoclonal Antibody
Orders: 877-616-CELL (2355) [email protected] Support: 877-678-TECH (8324) [email protected] Web: cellsignal.com
For Research Use Only. Not for Use in Diagnostic Procedures.

Revision 6

Cell Signaling Technology Logo
Chromatin immunoprecipitations were performed with cross-linked chromatin from HT-1080 cells treated with Human Interferon-γ (hIFN-γ) #8901 (50 ng/ml, 30 min) and either Stat1 (D4Y6Z) Rabbit mAb or Normal Rabbit IgG #2729 using SimpleChIP® Enzymatic Chromatin IP Kit (Magnetic Beads) #9003. The enriched DNA was quantified by real-time PCR using human IRF-1 promoter primers, SimpleChIP® Human TAP1 Promoter Primers #5148, and SimpleChIP® Human α Satellite Repeat Primers #4486. The amount of immunoprecipitated DNA in each sample is represented as signal relative to the total amount of input chromatin, which is equivalent to one.
Chromatin Immunoprecipitation Image 1: Stat1 (D4Y6Z) Rabbit Monoclonal Antibody
Orders: 877-616-CELL (2355) [email protected] Support: 877-678-TECH (8324) [email protected] Web: cellsignal.com
For Research Use Only. Not for Use in Diagnostic Procedures.