Revision 16

#9139

Store at -20C

CST Logo
Orders:

877-616-CELL (2355)

[email protected]

Support:

877-678-TECH (8324)

3 Trask Lane | Danvers | Massachusetts | 01923 | USA

For Research Use Only. Not for Use in Diagnostic Procedures.

Applications:
W, W-F, W-S, IP, IHC-Bond, IF-IC, FC-FP, ChIP, C&R

Reactivity:
H M R Mk

Sensitivity:
Endogenous

MW (kDa):
79, 86

Source/Isotype:
Mouse IgG2a kappa

UniProt ID:
#P40763

Entrez-Gene Id:
6774

Product Usage Information

For optimal ChIP results, use 5 μl of antibody and 10 μg of chromatin (approximately 4 x 106 cells) per IP. This antibody has been validated using SimpleChIP® Enzymatic Chromatin IP Kits.

The CUT&RUN dilution was determined using CUT&RUN Assay Kit #86652.
Application Dilution
Western Blotting 1:1000
Fluorescent Western 1:1000
Simple Western™ 1:10 - 1:50
Immunoprecipitation 1:200
IHC Leica Bond 1:300 - 1:1200
Immunofluorescence (Immunocytochemistry) 1:800 - 1:3200
Flow Cytometry (Fixed/Permeabilized) 1:100 - 1:400
Chromatin IP 1:100
CUT&RUN 1:100

Storage

Supplied in 10 mM sodium HEPES (pH 7.5), 150 mM NaCl, 100 µg/ml BSA, 50% glycerol and less than 0.02% sodium azide. Store at –20°C. Do not aliquot the antibody.

For a carrier free (BSA and azide free) version of this product see product #83541.

Specificity/Sensitivity

Stat3 (124H6) Mouse Monoclonal Antibody detects endogenous levels of total Stat3 protein.

Source / Purification

Monoclonal antibody is produced by immunizing animals with a synthetic peptide centered around amino acid Gln692 of human Stat3.

Background

The Stat3 transcription factor is an important signaling molecule for many cytokines and growth factor receptors (1) and is required for murine fetal development (2). Research studies have shown that Stat3 is constitutively activated in a number of human tumors (3,4) and possesses oncogenic potential (5) and anti-apoptotic activities (3). Stat3 is activated by phosphorylation at Tyr705, which induces dimerization, nuclear translocation, and DNA binding (6,7). Transcriptional activation seems to be regulated by phosphorylation at Ser727 through the MAPK or mTOR pathways (8,9). Stat3 isoform expression appears to reflect biological function as the relative expression levels of Stat3α (86 kDa) and Stat3β (79 kDa) depend on cell type, ligand exposure, or cell maturation stage (10). It is notable that Stat3β lacks the serine phosphorylation site within the carboxy-terminal transcriptional activation domain (8).

Species Reactivity

Species reactivity is determined by testing in at least one approved application (e.g., western blot).

Western Blot Buffer

IMPORTANT: For western blots, incubate membrane with diluted primary antibody in 5% w/v nonfat dry milk, 1X TBS, 0.1% Tween® 20 at 4°C with gentle shaking, overnight.

Applications Key

W: Western Blotting W-F: Fluorescent Western W-S: Simple Western™ IP: Immunoprecipitation IHC-Bond: IHC Leica Bond IF-IC: Immunofluorescence (Immunocytochemistry) FC-FP: Flow Cytometry (Fixed/Permeabilized) ChIP: Chromatin IP C&R: CUT&RUN

Cross-Reactivity Key

H: Human M: Mouse R: Rat Mk: Monkey

Trademarks and Patents

Cell Signaling Technology is a trademark of Cell Signaling Technology, Inc.

All other trademarks are the property of their respective owners. Visit cellsignal.com/trademarks for more information.

Limited Uses

Except as otherwise expressly agreed in a writing signed by a legally authorized representative of CST, the following terms apply to Products provided by CST, its affiliates or its distributors. Any Customer's terms and conditions that are in addition to, or different from, those contained herein, unless separately accepted in writing by a legally authorized representative of CST, are rejected and are of no force or effect.

Products are labeled with For Research Use Only or a similar labeling statement and have not been approved, cleared, or licensed by the FDA or other regulatory foreign or domestic entity, for any purpose. Customer shall not use any Product for any diagnostic or therapeutic purpose, or otherwise in any manner that conflicts with its labeling statement. Products sold or licensed by CST are provided for Customer as the end-user and solely for research and development uses. Any use of Product for diagnostic, prophylactic or therapeutic purposes, or any purchase of Product for resale (alone or as a component) or other commercial purpose, requires a separate license from CST. Customer shall (a) not sell, license, loan, donate or otherwise transfer or make available any Product to any third party, whether alone or in combination with other materials, or use the Products to manufacture any commercial products, (b) not copy, modify, reverse engineer, decompile, disassemble or otherwise attempt to discover the underlying structure or technology of the Products, or use the Products for the purpose of developing any products or services that would compete with CST products or services, (c) not alter or remove from the Products any trademarks, trade names, logos, patent or copyright notices or markings, (d) use the Products solely in accordance with CST Product Terms of Sale and any applicable documentation, and (e) comply with any license, terms of service or similar agreement with respect to any third party products or services used by Customer in connection with the Products.

Orders: 877-616-CELL (2355) [email protected] Support: 877-678-TECH (8324) [email protected] Web: cellsignal.com
For Research Use Only. Not for Use in Diagnostic Procedures.

Revision 16

Cell Signaling Technology Logo
Western blot analysis of extracts from various human cell lines using Stat3 (124H6) Mouse mAb #9139 (upper) or β-Actin (8H10D10) Mouse mAb #3700 (lower).
Western Blotting Image 1: Stat3 (124H6) Mouse Monoclonal Antibody
Western blot analysis of extracts from various rodent and monkey samples using Stat3 (124H6) Mouse mAb #9139 (upper) or β-Actin (8H10D10) Mouse mAb #3700 (lower).
Western Blotting Image 2: Stat3 (124H6) Mouse Monoclonal Antibody
Western blot analysis of extracts from HeLa cells, untreated (-) or treated with INF-⍶ (100 ng/ml, 5 min; +), using Stat3 (124H6) Mouse mAb #9139 (Panel A) and Phospho-Stat3 (Tyr705) (D3A7) XP® Rabbit mAb #9145 (Panel B). Anti-mouse IgG (H+L) (DyLight 680 Conjugate) #5470 (red) and Anti-rabbit IgG (H+L) (DyLight 800 4X PEG Conjugate) #5151 (green) were used as secondary antibodies.
Western Blotting Image 1: Stat3 (124H6) Mouse Monoclonal Antibody
Orders: 877-616-CELL (2355) [email protected] Support: 877-678-TECH (8324) [email protected] Web: cellsignal.com
For Research Use Only. Not for Use in Diagnostic Procedures.

Revision 16

Cell Signaling Technology Logo
Simple Western™ analysis of lysates (1 mg/mL) from serum-starved HeLa cells treated with interferon-alpha (100 ng/mL, 5”) using Stat3 (124H6) Mouse mAb #9139. The virtual lane view (left) shows a single target band (as indicated) at 1:10 and 1:50 dilutions of primary antibody. The corresponding electropherogram view (right) plots chemiluminescence by molecular weight along the capillary at 1:10 (blue line) and 1:50 (green line) dilutions of primary antibody. This experiment was performed under reducing conditions on the Jess™ ​​​​​​​ Simple Western instrument from ProteinSimple, a BioTechne brand, using the 12-230 kDa separation module.
Western Blotting Image 1: Stat3 (124H6) Mouse Monoclonal Antibody
Immunoprecipitation of Stat3 from HeLa cell extracts. Lane 1 is 10% input, lane 2 is precipitated with Mouse (G3A1) mAb IgG1 Isotype Control #5415, and lane 3 is Stat3 (124H6) Mouse mAb, #9139.
Immunoprecipitation Image 1: Stat3 (124H6) Mouse Monoclonal Antibody
Immunohistochemical analysis of paraffin-embedded human prostate adenocarcinoma using Stat3 (124H6) Mouse mAb performed on the Leica BOND RX.
Immunohistochemistry Image 1: Stat3 (124H6) Mouse Monoclonal Antibody
Orders: 877-616-CELL (2355) [email protected] Support: 877-678-TECH (8324) [email protected] Web: cellsignal.com
For Research Use Only. Not for Use in Diagnostic Procedures.

Revision 16

Cell Signaling Technology Logo
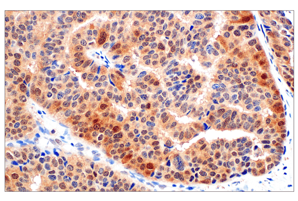
Immunohistochemical analysis of paraffin-embedded human squamous cell lung carcinoma using Stat3 (124H6) Mouse mAb performed on the Leica BOND RX.
Immunohistochemistry Image 2: Stat3 (124H6) Mouse Monoclonal Antibody
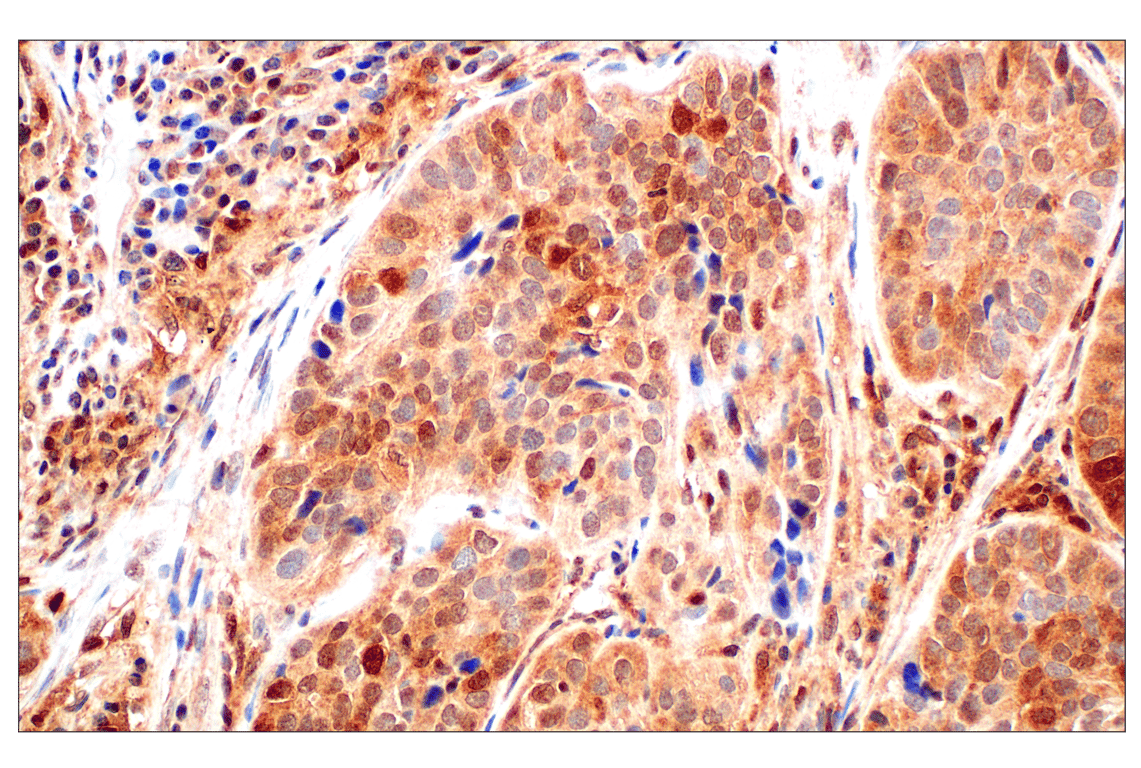
Immunohistochemical analysis of paraffin-embedded human hepatocellular carcinoma using Stat3 (124H6) Mouse mAb performed on the Leica BOND RX.
Immunohistochemistry Image 3: Stat3 (124H6) Mouse Monoclonal Antibody
Immunohistochemical analysis of paraffin-embedded human papillary carcinoma of the breast using Stat3 (124H6) Mouse mAb performed on the Leica BOND RX.
Immunohistochemistry Image 4: Stat3 (124H6) Mouse Monoclonal Antibody
Orders: 877-616-CELL (2355) [email protected] Support: 877-678-TECH (8324) [email protected] Web: cellsignal.com
For Research Use Only. Not for Use in Diagnostic Procedures.

Revision 16

Cell Signaling Technology Logo
Confocal immunofluorescent analysis of serum-starved HeLa cells, untreated (upper left) or treated with Human IFN-α1 Recombinant Protein #80435 (100 ng/ml, 30 min; upper right), and serum-starved PC-3 cells, untreated (lower left) or treated with Human IFN-α1 Recombinant Protein #80435 (100 ng/ml, 30 min; lower right), using Stat3 (124H6) Mouse mAb #9139 (red) and β-Actin (13E5) Rabbit mAb (Alexa Fluor® 488 Conjugate) #8844 (green).
Immunofluorescence Image 1: Stat3 (124H6) Mouse Monoclonal Antibody
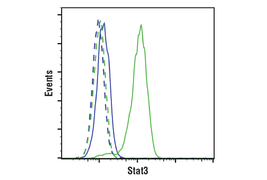
Flow cytometric analysis of PC-3 cells (blue) and HeLa cells (green) using Stat3 (124H6) Mouse mAb (solid lines) or a concentration-matched Mouse (G3A1) mAb IgG1 Isotype Control #5415 (dashed lines). Anti-mouse IgG (H+L), F(ab')2 Fragment (Alexa Fluor® 488 Conjugate) #4408 was used as a secondary antibody.
Flow Cytometry Image 1: Stat3 (124H6) Mouse Monoclonal Antibody
Chromatin immunoprecipitations were performed with cross-linked chromatin from Hep G2 cells starved overnight and treated with IL-6 (100 ng/ml) for 30 minutes, and either Stat3 (124H6) Mouse mAb or Normal Rabbit IgG #2729 using SimpleChIP® Enzymatic Chromatin IP Kit (Magnetic Beads) #9003. The enriched DNA was quantified by real-time PCR using human IRF-1 promoter primers, SimpleChIP® Human c-Fos Promoter Primers #4663, and SimpleChIP® Human α Satellite Repeat Primers #4486. The amount of immunoprecipitated DNA in each sample is represented as signal relative to the total amount of input chromatin, which is equivalent to one.
Chromatin Immunoprecipitation Image 1: Stat3 (124H6) Mouse Monoclonal Antibody
Orders: 877-616-CELL (2355) [email protected] Support: 877-678-TECH (8324) [email protected] Web: cellsignal.com
For Research Use Only. Not for Use in Diagnostic Procedures.

Revision 16

Cell Signaling Technology Logo
CUT&RUN was performed with Hep G2 cells starved overnight and treated with IL-6 (100 ng/ml) for 30 minutes, and Stat3 (124H6) Mouse mAb, using CUT&RUN Assay Kit #86652. DNA Library was prepared using DNA Library Prep Kit for Illumina (ChIP-seq, CUT&RUN) #56795. The figures show binding across BRD8 gene, a known target gene of Stat3 (see additional figure containing CUT&RUN-qPCR data).
CUT & RUN Image 1: Stat3 (124H6) Mouse Monoclonal Antibody
CUT&RUN was performed with Hep G2 cells starved overnight and treated with IL-6 (100 ng/ml) for 30 minutes, and Stat3 (124H6) Mouse mAb, using CUT&RUN Assay Kit #86652. DNA Libraries were prepared using DNA Library Prep Kit for Illumina (ChIP-seq, CUT&RUN) #56795. The figures show binding across chromosome 5 (upper), including BRD8 gene (lower), a known target gene of Stat3 (see additional figure containing CUT&RUN-qPCR data).
CUT & RUN Image 2: Stat3 (124H6) Mouse Monoclonal Antibody
CUT&RUN was performed with Hep G2 cells starved overnight and treated with IL-6 (100 ng/ml) for 30 minutes and either Stat3 (124H6) Mouse mAb or Rabbit (DA1E) mAb IgG XP® Isotype Control (CUT&RUN) #66362, using CUT&RUN Assay Kit #86652. The enriched DNA was quantified by real-time PCR using human BRD8 promoter primers and human PAIS3 upstream primers. The amount of immunoprecipitated DNA in each sample is represented as signal relative to the total amount of input chromatin, which is equivalent to one.
CUT & RUN Image 3: Stat3 (124H6) Mouse Monoclonal Antibody
Orders: 877-616-CELL (2355) [email protected] Support: 877-678-TECH (8324) [email protected] Web: cellsignal.com
For Research Use Only. Not for Use in Diagnostic Procedures.