Revision 1

#8204

Store at -20C

CST Logo
Orders:

877-616-CELL (2355)

[email protected]

Support:

877-678-TECH (8324)

3 Trask Lane | Danvers | Massachusetts | 01923 | USA

For Research Use Only. Not for Use in Diagnostic Procedures.

Product Includes Product # Quantity Mol. Wt Isotype/Source
Phospho-Stat3 (Tyr705) (D3A7) Rabbit Monoclonal Antibody9145100 µl79, 86 kDaRabbit IgG
Stat3 (D3Z2G) Rabbit Monoclonal Antibody12640100 µl79, 86 kDaRabbit IgG

Please visit cellsignal.com for individual component applications, species cross-reactivity, dilutions, protocols, and additional product information.

UniProt ID:
#P40763

Entrez-Gene Id:
6774

Description

PhosphoPlus® Duets from Cell Signaling Technology (CST) provide a means to assess protein activation status. Each Duet contains an activation-state and total protein antibody to your target of interest. These antibodies have been selected from CST's product offering based upon superior performance in specified applications.

Storage

Supplied in 10 mM sodium HEPES (pH 7.5), 150 mM NaCl, 100 µg/ml BSA, 50% glycerol and less than 0.02% sodium azide. Store at –20°C. Do not aliquot the antibody.

Background

The Stat3 transcription factor is an important signaling molecule for many cytokines and growth factor receptors (1) and is required for murine fetal development (2). Research studies have shown that Stat3 is constitutively activated in a number of human tumors (3,4) and possesses oncogenic potential (5) and anti-apoptotic activities (3). Stat3 is activated by phosphorylation at Tyr705, which induces dimerization, nuclear translocation, and DNA binding (6,7). Transcriptional activation seems to be regulated by phosphorylation at Ser727 through the MAPK or mTOR pathways (8,9). Stat3 isoform expression appears to reflect biological function as the relative expression levels of Stat3α (86 kDa) and Stat3β (79 kDa) depend on cell type, ligand exposure, or cell maturation stage (10). It is notable that Stat3β lacks the serine phosphorylation site within the carboxy-terminal transcriptional activation domain (8).

Trademarks and Patents

Cell Signaling Technology is a trademark of Cell Signaling Technology, Inc.

PhosphoPlus is a registered trademark of Cell Signaling Technology, Inc.

U.S. Patent No. 7,429,487, foreign equivalents, and child patents deriving therefrom.

All other trademarks are the property of their respective owners. Visit cellsignal.com/trademarks for more information.

Limited Uses

Except as otherwise expressly agreed in a writing signed by a legally authorized representative of CST, the following terms apply to Products provided by CST, its affiliates or its distributors. Any Customer's terms and conditions that are in addition to, or different from, those contained herein, unless separately accepted in writing by a legally authorized representative of CST, are rejected and are of no force or effect.

Products are labeled with For Research Use Only or a similar labeling statement and have not been approved, cleared, or licensed by the FDA or other regulatory foreign or domestic entity, for any purpose. Customer shall not use any Product for any diagnostic or therapeutic purpose, or otherwise in any manner that conflicts with its labeling statement. Products sold or licensed by CST are provided for Customer as the end-user and solely for research and development uses. Any use of Product for diagnostic, prophylactic or therapeutic purposes, or any purchase of Product for resale (alone or as a component) or other commercial purpose, requires a separate license from CST. Customer shall (a) not sell, license, loan, donate or otherwise transfer or make available any Product to any third party, whether alone or in combination with other materials, or use the Products to manufacture any commercial products, (b) not copy, modify, reverse engineer, decompile, disassemble or otherwise attempt to discover the underlying structure or technology of the Products, or use the Products for the purpose of developing any products or services that would compete with CST products or services, (c) not alter or remove from the Products any trademarks, trade names, logos, patent or copyright notices or markings, (d) use the Products solely in accordance with CST Product Terms of Sale and any applicable documentation, and (e) comply with any license, terms of service or similar agreement with respect to any third party products or services used by Customer in connection with the Products.

Orders: 877-616-CELL (2355) [email protected] Support: 877-678-TECH (8324) [email protected] Web: cellsignal.com
For Research Use Only. Not for Use in Diagnostic Procedures.

Revision 1

Cell Signaling Technology Logo
Western blot analysis of extracts from various cell lines using Stat3 (D3Z2G) Rabbit mAb (upper), or β-Actin (D6A8) Rabbit mAb #8457 (lower). PC-3 cells are negative for Stat3.
undefined Image 1: PhosphoPlus<sup>®</sup> Stat3 (Tyr705) Antibody Duet
Western blot analysis of extracts from IFN-alpha treated Jurkat cells and HeLa cells (left), as well as EGF treated A431 cells (right), using Phospho-Stat3 (Tyr705) (D3A7) Rabbit Monoclonal Antibody. Note that the basal phospho-Stat3 in A431 is detected by the antibody.
undefined Image 2: PhosphoPlus<sup>®</sup> Stat3 (Tyr705) Antibody Duet
Immunoprecipitation of Stat3 from HeLa cell extracts using Rabbit (DA1E) mAb IgG XP® Isotype Control #3900 (lane 2) or Stat3 (D3Z2G) Rabbit mAb (lane 3). Lane 1 is 10% input.
undefined Image 3: PhosphoPlus<sup>®</sup> Stat3 (Tyr705) Antibody Duet
Orders: 877-616-CELL (2355) [email protected] Support: 877-678-TECH (8324) [email protected] Web: cellsignal.com
For Research Use Only. Not for Use in Diagnostic Procedures.

Revision 1

Cell Signaling Technology Logo
Immunoprecipitation of phospho-Stat3 (Tyr705) from U266 extracts treated with human IFN-alpha (50 ng/ml, 15 min). Lane 1 is 10% input, lane 2 is Rabbit (DA1E) Monoclonal Antibody IgG Isotype Control #3900, and lane 3 is Phospho-Stat3 (Tyr705) (D3A7) Rabbit Monoclonal Antibody. Western blot analysis was performed using Phospho-Stat3 (Tyr705) (3E2) Mouse Monoclonal Antibody #9138. Anti-mouse IgG, HRP-linked Antibody #7076 was used as a secondary antibody.
undefined Image 4: PhosphoPlus<sup>®</sup> Stat3 (Tyr705) Antibody Duet
Confocal immunofluorescent analysis of serum-starved HeLa cells, untreated (upper left) or treated with Human Interferon-α1 (hIFN-α1) #8927 (100 ng/ml, 30 min; upper right), and serum-starved PC-3 cells, untreated (lower right) or treated with Human Interferon-α1 (hIFN-α1) #8927 (100 ng/ml, 30 min; lower right), using Stat3 (D3Z2G) Rabbit mAb (green) and β-Actin (8H10D10) Mouse mAb #3700 (red).
undefined Image 5: PhosphoPlus<sup>®</sup> Stat3 (Tyr705) Antibody Duet
Immunohistochemical analysis of paraffin-embedded human prostate adenocarcinoma using Phospho-Stat3 (Tyr705) (D3A7) Rabbit Monoclonal Antibody performed on the Leica® BOND™ Rx.
undefined Image 6: PhosphoPlus<sup>®</sup> Stat3 (Tyr705) Antibody Duet
Orders: 877-616-CELL (2355) [email protected] Support: 877-678-TECH (8324) [email protected] Web: cellsignal.com
For Research Use Only. Not for Use in Diagnostic Procedures.

Revision 1

Cell Signaling Technology Logo
Flow cytometric analysis of PC-3 cells (blue) and HeLa cells (green) using Stat3 (D3Z2G) Rabbit mAb or a concentration-matched Rabbit (DA1E) mAb IgG XP® Isotype Control #3900 (dashed lines). Anti-rabbit IgG (H+L), F(ab')2 Fragment (Alexa Fluor® 488 Conjugate) was used as a secondary antibody.
undefined Image 7: PhosphoPlus<sup>®</sup> Stat3 (Tyr705) Antibody Duet
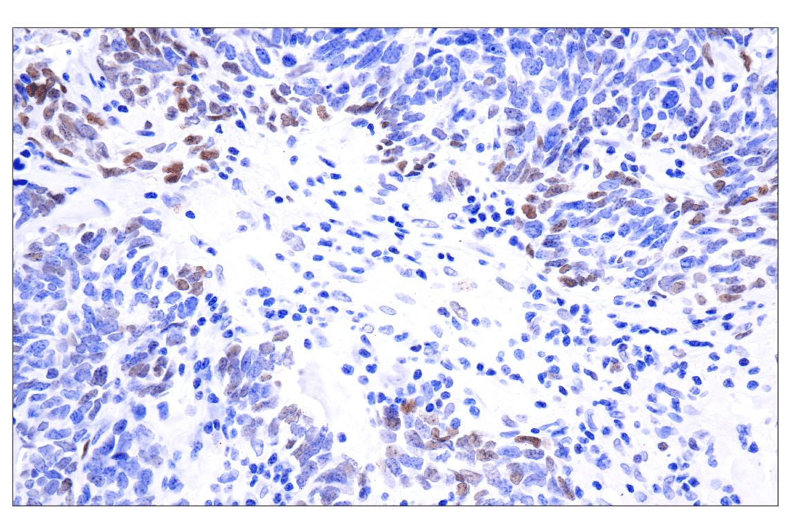
Immunohistochemical analysis of paraffin-embedded human neuroendocrine lung carcinoma using Phospho-Stat3 (Tyr705) (D3A7) Rabbit Monoclonal Antibody performed on the Leica® BOND™ Rx.
undefined Image 8: PhosphoPlus<sup>®</sup> Stat3 (Tyr705) Antibody Duet
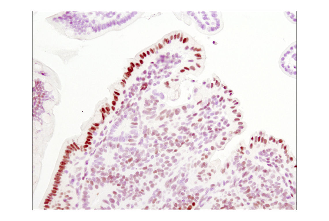
Immunohistochemical analysis of paraffin-embedded Apc (min/+) mouse intestine, using Phosho-Stat3 (Tyr705) (D3A7) Rabbit Monoclonal Antibody.
undefined Image 9: PhosphoPlus<sup>®</sup> Stat3 (Tyr705) Antibody Duet
Orders: 877-616-CELL (2355) [email protected] Support: 877-678-TECH (8324) [email protected] Web: cellsignal.com
For Research Use Only. Not for Use in Diagnostic Procedures.

Revision 1

Cell Signaling Technology Logo
Chromatin immunoprecipitations were performed with cross-linked chromatin from Hep G2 cells starved overnight and treated with Human Interleukin-6 (hIL-6) #8904 (100 ng/ml) for 30 minutes and Stat3 (D3Z2G) Rabbit mAb, using SimpleChIP® Plus Enzymatic Chromatin IP Kit (Magnetic Beads) #9005. DNA Libraries were prepared using DNA Library Prep Kit for Illumina® (ChIP-seq, CUT&RUN) #56795. The figure shows binding across Fos, a known target gene of Stat3 (see additional figure containing ChIP-qPCR data). For additional ChIP-seq tracks, please download the product datasheet.
undefined Image 10: PhosphoPlus<sup>®</sup> Stat3 (Tyr705) Antibody Duet
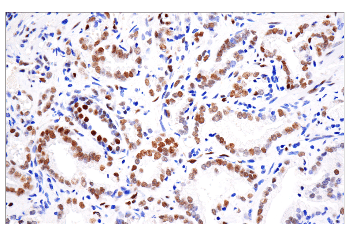
Immunnohistochemical analysis of paraffin-embedded human lung carcinoma, showing nuclear localization, using Phospho-Stat3 (Tyr705) (D3A7) Rabbit Monoclonal Antibody.
undefined Image 11: PhosphoPlus<sup>®</sup> Stat3 (Tyr705) Antibody Duet
Chromatin immunoprecipitations were performed with cross-linked chromatin from Hep G2 cells starved overnight and treated with Human Interleukin-6 (hIL-6) #8904 (100 ng/ml) for 30 minutes and Stat3 (D3Z2G) Rabbit mAb, using SimpleChIP® Plus Enzymatic Chromatin IP Kit (Magnetic Beads) #9005. DNA Libraries were prepared using DNA Library Prep Kit for Illumina® (ChIP-seq, CUT&RUN) #56795. The figure shows binding across chromosome 14 (upper), including Fos (lower), a known target gene of Stat3 (see additional figure containing ChIP-qPCR data).
undefined Image 12: PhosphoPlus<sup>®</sup> Stat3 (Tyr705) Antibody Duet
Orders: 877-616-CELL (2355) [email protected] Support: 877-678-TECH (8324) [email protected] Web: cellsignal.com
For Research Use Only. Not for Use in Diagnostic Procedures.

Revision 1

Cell Signaling Technology Logo
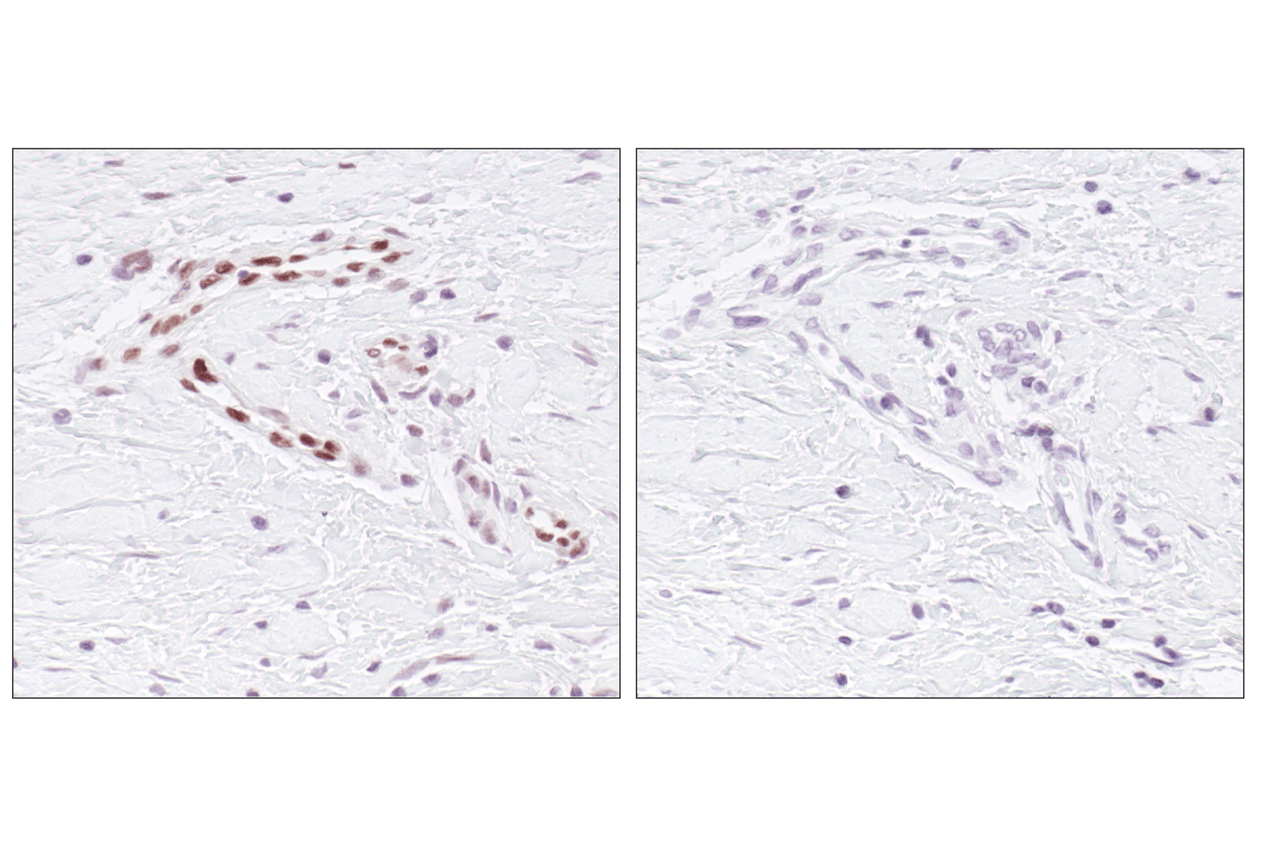
Immunohistochemical analysis of paraffin embedded human breast carcinoma, specifically endothelial cells, untreated (left) or lambda phosphatase treated (right), using Phospho-Stat3 (Tyr705) (D3A7) Rabbit Monoclonal Antibody.
undefined Image 13: PhosphoPlus<sup>®</sup> Stat3 (Tyr705) Antibody Duet
Chromatin immunoprecipitations were performed with cross-linked chromatin from Hep G2 cells starved overnight and treated with Human Interleukin-6 (hIL-6) #8904 (100 ng/ml) for 30 minutes, and either Stat3 (D3Z2G) Rabbit mAb or Normal Rabbit IgG #2729 using SimpleChIP® Enzymatic Chromatin IP Kit (Magnetic Beads) #9003. The enriched DNA was quantified by real-time PCR using human IRF-1 promoter primers, SimpleChIP® Human c-Fos Promoter Primers #4663, and SimpleChIP® Human α Satellite Repeat Primers #4486. The amount of immunoprecipitated DNA in each sample is represented as signal relative to the total amount of input chromatin, which is equivalent to one.
undefined Image 14: PhosphoPlus<sup>®</sup> Stat3 (Tyr705) Antibody Duet
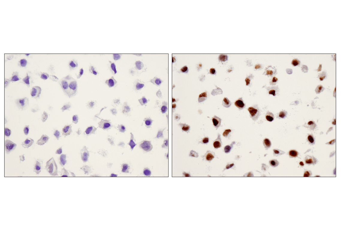
Immunohistochemical analysis using Phospho-Stat3 (Tyr705) (D3A7) Rabbit Monoclonal Antibody on SignalSlide® HeLa -/+ IFNa IHC Controls #55861 (paraffin-embedded HeLa cell pellets, untreated (left) or treated with Human Interferon-α1 (hIFN-α1 (right)).
undefined Image 15: PhosphoPlus<sup>®</sup> Stat3 (Tyr705) Antibody Duet
Orders: 877-616-CELL (2355) [email protected] Support: 877-678-TECH (8324) [email protected] Web: cellsignal.com
For Research Use Only. Not for Use in Diagnostic Procedures.

Revision 1

Cell Signaling Technology Logo
Confocal immunofluorescent analysis of HeLa cells, IFN-alpha treated (left) or untreated (right), labeled with Phospho-Stat3 (Tyr705) (D3A7) Rabbit Monoclonal Antibody (green).
undefined Image 16: PhosphoPlus<sup>®</sup> Stat3 (Tyr705) Antibody Duet
Flow cytometric analysis of U266 cells, untreated (blue) or treated with IFN-alpha (50 ng/ml, 15 min; green) using Phospho-Stat3 (Tyr705) (D3A7) Rabbit Monoclonal Antibody (solid lines) or concentration matched Rabbit (DA1E) Monoclonal Antibody IgG Isotype Control #3900 (dashed lines). Anti-rabbit IgG (H+L), F(ab')2 Fragment (Alexa Fluor® 488 Conjugate) #4412 was used as a secondary antibody.
undefined Image 17: PhosphoPlus<sup>®</sup> Stat3 (Tyr705) Antibody Duet
Chromatin immunoprecipitations were performed with cross-linked chromatin from Hep G2 cells starved overnight and treated with IL-6 (100 ng/ml) for 30 minutes and Phospho-Stat3 (Tyr705) (D3A7) Rabbit Monoclonal Antibody, using SimpleChIP® Plus Enzymatic Chromatin IP Kit (Magnetic Beads) #9005. DNA Libraries were prepared using DNA Library Prep Kit for Illumina® (ChIP-seq, CUT&RUN) #56795. The figure shows binding across IRF1, a known target gene of Phospho-Sata3 (see additional figure containing ChIP-qPCR data). For additional ChIP-seq tracks, please download the product datasheet.
undefined Image 18: PhosphoPlus<sup>®</sup> Stat3 (Tyr705) Antibody Duet
Orders: 877-616-CELL (2355) [email protected] Support: 877-678-TECH (8324) [email protected] Web: cellsignal.com
For Research Use Only. Not for Use in Diagnostic Procedures.

Revision 1

Cell Signaling Technology Logo
Chromatin immunoprecipitations were performed with cross-linked chromatin from Hep G2 cells starved overnight and treated with IL-6 (100 ng/ml) for 30 minutes and Phospho-Stat3 (Tyr705) (D3A7) Rabbit Monoclonal Antibody, using SimpleChIP® Plus Enzymatic Chromatin IP Kit (Magnetic Beads) #9005. DNA Libraries were prepared using SimpleChIP® ChIP-seq DNA Library Prep Kit for Illumina® #56795. The figure shows binding across chromosome 5 (upper), including IRF1 (lower), a known target gene of Phospho-Stat3 (see additional figure containing ChIP-qPCR data).
undefined Image 19: PhosphoPlus<sup>®</sup> Stat3 (Tyr705) Antibody Duet
Chromatin immunoprecipitations were performed with cross-linked chromatin from Hep G2 cells starved overnight and treated with IL-6 (100 ng/ml) for 30 minutes, and either Phospho-Stat3 (Tyr705) (D3A7) Rabbit Monoclonal Antibody or of Normal Rabbit IgG #2729 using SimpleChIP® Enzymatic Chromatin IP Kit (Magnetic Beads) #9003. The enriched DNA was quantified by real-time PCR using human IRF-1 promoter primers, SimpleChIP® Human c-Fos Promoter Primers #4663, and SimpleChIP® Human α Satellite Repeat Primers #4486. The amount of immunoprecipitated DNA in each sample is represented as signal relative to the total amount of input chromatin, which is equivalent to one.
undefined Image 20: PhosphoPlus<sup>®</sup> Stat3 (Tyr705) Antibody Duet
Western blot analysis of extracts from HeLa cells, untreated or treated with IFN-alpha (#36000, 100 ng/mL, 5 min) or IFN-gamma (#80385, 100 ng/mL, 30 min); using Phospho-Stat3 (Tyr705) (D3A7) Rabbit Monoclonal Antibody #9145 (upper), Stat3 (D3Z2G) Rabbit Monoclonal Antibody #12640 (middle), and beta-Actin (D6A8) Rabbit Monoclonal antibody #8457 (lower).
undefined Image 21: PhosphoPlus<sup>®</sup> Stat3 (Tyr705) Antibody Duet
Orders: 877-616-CELL (2355) [email protected] Support: 877-678-TECH (8324) [email protected] Web: cellsignal.com
For Research Use Only. Not for Use in Diagnostic Procedures.

Revision 1

Cell Signaling Technology Logo
Simple Western™ analysis of lysates (0.1 mg/mL) from serum-starved HeLa cells treated with IFN-alpha (100 ng/mL, 5 min) using Phospho-Stat3 (Tyr705) (D3A7) Rabbit Monoclonal Antibody #9145. The virtual lane view (left) shows a single target band (as indicated) at 1:10 and 1:50 dilutions of primary antibody. The corresponding electropherogram view (right) plots chemiluminescence by molecular weight along the capillary at 1:10 (blue line) and 1:50 (green line) dilutions of primary antibody. This experiment was performed under reducing conditions on the Jess™ Simple Western instrument from ProteinSimple, a BioTechne brand, using the 12-230 kDa separation module.
undefined Image 22: PhosphoPlus<sup>®</sup> Stat3 (Tyr705) Antibody Duet
Western blot analysis of extracts from HeLa cells, untreated (-) or treated with INF-alpha (100 ng/ml, 5 min; +), using Stat3 (124H6) Mouse Monoclonal Antibody #9139 (Panel A) and Phospho-Stat3 (Tyr705) (D3A7) Rabbit Monoclonal #9145 (Panel B). Anti-mouse IgG (H+L) (DyLight® 680 Conjugate) #5470 (red) and Anti-rabbit IgG (H+L) (DyLight® 800 4X PEG Conjugate) #5151 (green) were used as secondary antibodies.
undefined Image 23: PhosphoPlus<sup>®</sup> Stat3 (Tyr705) Antibody Duet
Orders: 877-616-CELL (2355) [email protected] Support: 877-678-TECH (8324) [email protected] Web: cellsignal.com
For Research Use Only. Not for Use in Diagnostic Procedures.