Revision 3

#34662

Store at -20C

CST Logo
Orders:

877-616-CELL (2355)

[email protected]

Support:

877-678-TECH (8324)

3 Trask Lane | Danvers | Massachusetts | 01923 | USA

For Research Use Only. Not for Use in Diagnostic Procedures.

Applications:
W, IP

Reactivity:
H M R

Sensitivity:
Endogenous

MW (kDa):
90

Source/Isotype:
Rabbit

UniProt ID:
#P51692

Entrez-Gene Id:
6777

Product Usage Information

Application Dilution
Western Blotting 1:1000
Immunoprecipitation 1:100

Storage

Supplied in 10 mM sodium HEPES (pH 7.5), 150 mM NaCl, 100 µg/ml BSA and 50% glycerol. Store at –20°C. Do not aliquot the antibody.

Specificity/Sensitivity

Stat5b Antibody recognizes endogenous levels of total Stat5b protein. This antibody does not cross-react with Stat5a protein.

Species predicted to react based on 100% sequence homology

Monkey, Bovine, Pig

Source / Purification

Polyclonal antibodies are produced by immunizing animals with a synthetic peptide corresponding to residues near the carboxy terminus of human Stat5b protein. Antibodies are purified by protein A and peptide affinity chromatography.

Background

Stat5 is activated in response to a wide variety of ligands, including IL-2, GM-CSF, growth hormone, and prolactin. Phosphorylation at Tyr694 is obligatory for Stat5 activation (1,2). This phosphorylation is mediated by Src upon erythropoietin stimulation (3). Stat5 is constitutively active in some leukemic cell types (4). Phosphorylated Stat5 is found in some endothelial cells treated with IL-3, which suggests its involvement in angiogenesis and cell motility (5). Stat5a and Stat5b are independently regulated and activated in various cell types. For instance, interferon treatment predominantly activates Stat5a in U-937 cells and Stat5b in HeLa cells (6).

Species Reactivity

Species reactivity is determined by testing in at least one approved application (e.g., western blot).

Western Blot Buffer

IMPORTANT: For western blots, incubate membrane with diluted primary antibody in 5% w/v BSA, 1X TBS, 0.1% Tween® 20 at 4°C with gentle shaking, overnight.

Applications Key

W: Western Blotting IP: Immunoprecipitation

Cross-Reactivity Key

H: Human M: Mouse R: Rat

Trademarks and Patents

Cell Signaling Technology is a trademark of Cell Signaling Technology, Inc.

All other trademarks are the property of their respective owners. Visit cellsignal.com/trademarks for more information.

Limited Uses

Except as otherwise expressly agreed in a writing signed by a legally authorized representative of CST, the following terms apply to Products provided by CST, its affiliates or its distributors. Any Customer's terms and conditions that are in addition to, or different from, those contained herein, unless separately accepted in writing by a legally authorized representative of CST, are rejected and are of no force or effect.

Products are labeled with For Research Use Only or a similar labeling statement and have not been approved, cleared, or licensed by the FDA or other regulatory foreign or domestic entity, for any purpose. Customer shall not use any Product for any diagnostic or therapeutic purpose, or otherwise in any manner that conflicts with its labeling statement. Products sold or licensed by CST are provided for Customer as the end-user and solely for research and development uses. Any use of Product for diagnostic, prophylactic or therapeutic purposes, or any purchase of Product for resale (alone or as a component) or other commercial purpose, requires a separate license from CST. Customer shall (a) not sell, license, loan, donate or otherwise transfer or make available any Product to any third party, whether alone or in combination with other materials, or use the Products to manufacture any commercial products, (b) not copy, modify, reverse engineer, decompile, disassemble or otherwise attempt to discover the underlying structure or technology of the Products, or use the Products for the purpose of developing any products or services that would compete with CST products or services, (c) not alter or remove from the Products any trademarks, trade names, logos, patent or copyright notices or markings, (d) use the Products solely in accordance with CST Product Terms of Sale and any applicable documentation, and (e) comply with any license, terms of service or similar agreement with respect to any third party products or services used by Customer in connection with the Products.

Orders: 877-616-CELL (2355) [email protected] Support: 877-678-TECH (8324) [email protected] Web: cellsignal.com
For Research Use Only. Not for Use in Diagnostic Procedures.

Revision 3

Cell Signaling Technology Logo
Western blot analysis of extracts from 293T cells, mock transfected (-) or transfected with a construct expressing Myc/DDK-tagged full-length human Stat5a protein (hStat5a-Myc/DDK; +) or a construct expressing Myc/DDK-tagged full-length human Stat5b protein (hStat5b-Myc/DDK; +), using Stat5b Antibody (upper), Myc-Tag (71D10) Rabbit mAb#2278 (middle), and β-Actin (D6A8) Rabbit mAb #8457 (lower).
Western Blotting Image 1: Stat5b Antibody
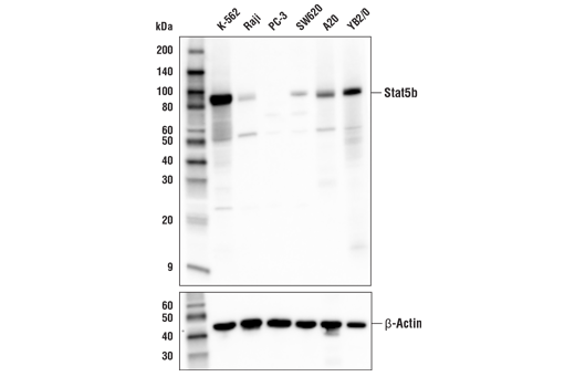
Western blot analysis of extracts from various cell lines using Stat5b Antibody (upper) or β-Actin (D6A8) Rabbit mAb #8457 (lower).
Western Blotting Image 2: Stat5b Antibody
Western blot analysis of HAP1 extracts from WT (left) or STAT5B KO (right) using Stat5b Antibody. Membranes stained with Ponceau S for total protein normalization (lower). These data were provided by YCharOS Inc., an open science company with the mission of characterizing commercially available antibodies, as a companion to validation data generated by CST scientists.
Western Blotting Image 3: Stat5b Antibody
Orders: 877-616-CELL (2355) [email protected] Support: 877-678-TECH (8324) [email protected] Web: cellsignal.com
For Research Use Only. Not for Use in Diagnostic Procedures.

Revision 3

Cell Signaling Technology Logo
Immunoprecipitation of Stat5b from Raji cell extracts. Lane 1 is 10% input, lane 2 is Normal Rabbit IgG #2729, and lane 3 is Stat5b Antibody. Western blot analysis was performed using Stat5b Antibody.
Immunoprecipitation Image 1: Stat5b Antibody
Orders: 877-616-CELL (2355) [email protected] Support: 877-678-TECH (8324) [email protected] Web: cellsignal.com
For Research Use Only. Not for Use in Diagnostic Procedures.