Revision 1

#64274

Store at -20C

CST Logo
Orders:

877-616-CELL (2355)

[email protected]

Support:

877-678-TECH (8324)

3 Trask Lane | Danvers | Massachusetts | 01923 | USA

For Research Use Only. Not for Use in Diagnostic Procedures.

Applications:
W, IP, IHC-P

Reactivity:
H M R

Sensitivity:
Endogenous

MW (kDa):
22, 25

Source/Isotype:
Rabbit IgG

UniProt ID:
#Q9H169

Entrez-Gene Id:
81551

Product Usage Information

Application Dilution
Western Blotting 1:1000
Immunoprecipitation 1:100
Immunohistochemistry (Paraffin) 1:50

Storage

Supplied in 10 mM sodium HEPES (pH 7.5), 150 mM NaCl, 100 µg/mL BSA, 50% glycerol, and less than 0.02% sodium azide. Store at –20°C. Do not aliquot the antibody.

Specificity/Sensitivity

Stathmin-4 (E9F1Y) Rabbit Monoclonal Antibody recognizes endogenous levels of total Stathmin-4 protein.

Source / Purification

Monoclonal antibody is produced by immunizing animals with a synthetic peptide corresponding to residues surrounding Gly75 of human Stathmin-4 protein.

Background

Stathmin is a family of microtubule-destabilizing phosphoproteins that play an important role in regulation of the microtubule cytoskeleton (1). The amino terminus of the protein contains multiple phosphorylation sites and is involved in the promotion of tubulin filament depolymerization. Phosphorylation at these sites inactivates the protein and stabilizes microtubules, regulating cellular processes, such as cell cycle and neuronal axon development (2). Stathmin family members include stathmin, stathmin-2, stathmin-3, and stathmin-4. Interestingly, stathmin-2 protein levels correlate with decreased TDP43 expression, an mRNA-binding protein that mislocalizes and aggregates in patients with the motor neuron disease, amyotrophic lateral sclerosis (ALS) (3). Interestingly, TDP43 directly regulates stathmin-2 expression by regulating STMN2 RNA splicing, suggesting that altered stathmin-2 expression might serve as a biomarker for disease progression or a therapeutic target.

Altered Stathmin-4 expression in oligodendrocytes has been identified in Alzheimer’s disease (4).

Species Reactivity

Species reactivity is determined by testing in at least one approved application (e.g., western blot).

Western Blot Buffer

IMPORTANT: For western blots, incubate membrane with diluted primary antibody in 5% w/v BSA, 1X TBS, 0.1% Tween® 20 at 4°C with gentle shaking, overnight.

Applications Key

W: Western Blotting IP: Immunoprecipitation IHC-P: Immunohistochemistry (Paraffin)

Cross-Reactivity Key

H: Human M: Mouse R: Rat

Trademarks and Patents

Cell Signaling Technology is a trademark of Cell Signaling Technology, Inc.

All other trademarks are the property of their respective owners. Visit cellsignal.com/trademarks for more information.

Limited Uses

Except as otherwise expressly agreed in a writing signed by a legally authorized representative of CST, the following terms apply to Products provided by CST, its affiliates or its distributors. Any Customer's terms and conditions that are in addition to, or different from, those contained herein, unless separately accepted in writing by a legally authorized representative of CST, are rejected and are of no force or effect.

Products are labeled with For Research Use Only or a similar labeling statement and have not been approved, cleared, or licensed by the FDA or other regulatory foreign or domestic entity, for any purpose. Customer shall not use any Product for any diagnostic or therapeutic purpose, or otherwise in any manner that conflicts with its labeling statement. Products sold or licensed by CST are provided for Customer as the end-user and solely for research and development uses. Any use of Product for diagnostic, prophylactic or therapeutic purposes, or any purchase of Product for resale (alone or as a component) or other commercial purpose, requires a separate license from CST. Customer shall (a) not sell, license, loan, donate or otherwise transfer or make available any Product to any third party, whether alone or in combination with other materials, or use the Products to manufacture any commercial products, (b) not copy, modify, reverse engineer, decompile, disassemble or otherwise attempt to discover the underlying structure or technology of the Products, or use the Products for the purpose of developing any products or services that would compete with CST products or services, (c) not alter or remove from the Products any trademarks, trade names, logos, patent or copyright notices or markings, (d) use the Products solely in accordance with CST Product Terms of Sale and any applicable documentation, and (e) comply with any license, terms of service or similar agreement with respect to any third party products or services used by Customer in connection with the Products.

Orders: 877-616-CELL (2355) [email protected] Support: 877-678-TECH (8324) [email protected] Web: cellsignal.com
For Research Use Only. Not for Use in Diagnostic Procedures.

Revision 1

Cell Signaling Technology Logo
Western blot analysis of extracts from various cells and tissues using Stathmin-4 (E9F1Y) Rabbit mAb (upper) or β-Actin (D6A8) Rabbit mAb #8457 (lower). Negative expression of Stathmin-4 protein in Caki-1 cells and human lung tissue is consistent with the predicted expression pattern.
Western Blotting Image 1: Stathmin-4 (E9F1Y) Rabbit Monoclonal Antibody
Immunoprecipitation of Stathmin-4 protein from mouse brain tissue extracts. Lane 1 is 10% input, lane 2 is Rabbit (DA1E) mAb IgG XP® Isotype Control #3900, and lane 3 is Stathmin-4 (E9F1Y) Rabbit mAb. Western blot analysis was performed using Stathmin-4 (E9F1Y) Rabbit mAb. Mouse Anti-rabbit IgG (Conformation Specific) (L27A9) mAb (HRP Conjugate) #5127 was used as a secondary antibody. 
Immunoprecipitation Image 1: Stathmin-4 (E9F1Y) Rabbit Monoclonal Antibody
Immunohistochemical analysis of paraffin-embedded human neuroblastoma using Stathmin-4 (E9F1Y) Rabbit mAb.
Immunohistochemistry Image 1: Stathmin-4 (E9F1Y) Rabbit Monoclonal Antibody
Orders: 877-616-CELL (2355) [email protected] Support: 877-678-TECH (8324) [email protected] Web: cellsignal.com
For Research Use Only. Not for Use in Diagnostic Procedures.

Revision 1

Cell Signaling Technology Logo
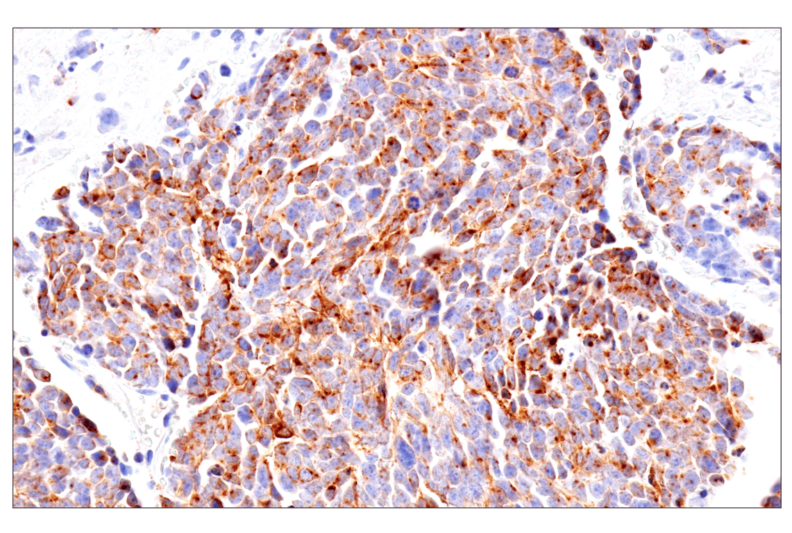
Immunohistochemical analysis of paraffin-embedded human glioblastoma using Stathmin-4 (E9F1Y) Rabbit mAb.
Immunohistochemistry Image 2: Stathmin-4 (E9F1Y) Rabbit Monoclonal Antibody
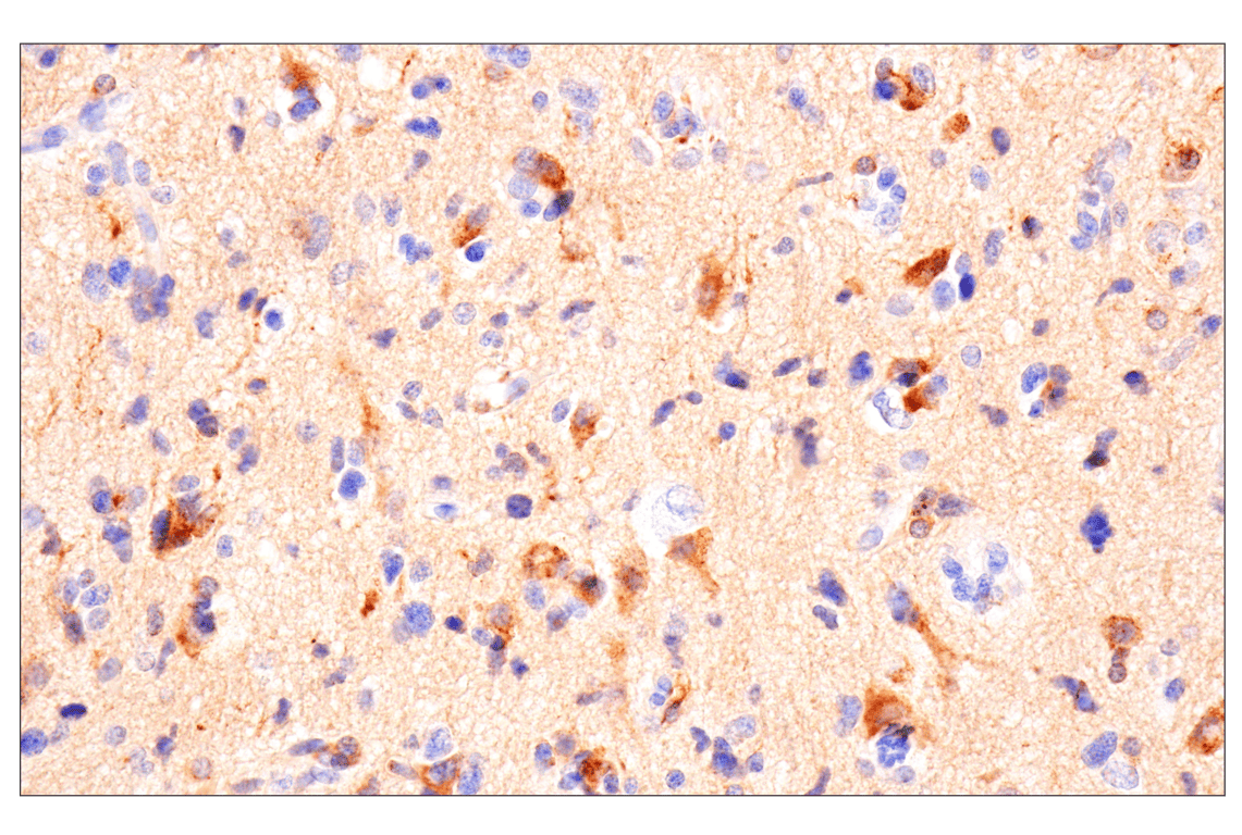
Immunohistochemical analysis of paraffin-embedded mouse medulla oblongata using Stathmin-4 (E9F1Y) Rabbit mAb.
Immunohistochemistry Image 3: Stathmin-4 (E9F1Y) Rabbit Monoclonal Antibody
Immunohistochemical analysis of paraffin-embedded mouse cerebellum using Stathmin-4 (E9F1Y) Rabbit mAb.
Immunohistochemistry Image 4: Stathmin-4 (E9F1Y) Rabbit Monoclonal Antibody
Orders: 877-616-CELL (2355) [email protected] Support: 877-678-TECH (8324) [email protected] Web: cellsignal.com
For Research Use Only. Not for Use in Diagnostic Procedures.

Revision 1

Cell Signaling Technology Logo
Immunohistochemical analysis of paraffin-embedded human Alzheimer's brain (two regions of interest) using Stathmin-4 (E9F1Y) Rabbit mAb.
Immunohistochemistry Image 5: Stathmin-4 (E9F1Y) Rabbit Monoclonal Antibody
Immunohistochemical analysis of paraffin-embedded normal human brain using Stathmin-4 (E9F1Y) Rabbit mAb.
Immunohistochemistry Image 6: Stathmin-4 (E9F1Y) Rabbit Monoclonal Antibody
Immunohistochemical analysis of paraffin-embedded normal human colon (two regions of interest) using Stathmin-4 (E9F1Y) Rabbit mAb.
Immunohistochemistry Image 7: Stathmin-4 (E9F1Y) Rabbit Monoclonal Antibody
Orders: 877-616-CELL (2355) [email protected] Support: 877-678-TECH (8324) [email protected] Web: cellsignal.com
For Research Use Only. Not for Use in Diagnostic Procedures.

Revision 1

Cell Signaling Technology Logo
Immunohistochemical analysis of paraffin-embedded mouse colon using Stathmin-4 (E9F1Y) Rabbit mAb.
Immunohistochemistry Image 8: Stathmin-4 (E9F1Y) Rabbit Monoclonal Antibody
Immunohistochemical analysis of paraffin-embedded normal human brain using Stathmin-4 (E9F1Y) Rabbit mAb (left) compared to concentration-matched Rabbit (DA1E) mAb IgG XP® Isotype Control #3900 (right). 
Immunohistochemistry Image 9: Stathmin-4 (E9F1Y) Rabbit Monoclonal Antibody
Immunohistochemical analysis of paraffin-embedded SCLC-21H cell pellet (left, positive) or U-2 OS cell pellet (right, negative) using Stathmin-4 (E9F1Y) Rabbit mAb.
Immunohistochemistry Image 10: Stathmin-4 (E9F1Y) Rabbit Monoclonal Antibody
Orders: 877-616-CELL (2355) [email protected] Support: 877-678-TECH (8324) [email protected] Web: cellsignal.com
For Research Use Only. Not for Use in Diagnostic Procedures.