Revision 9

#13647

Store at -20C

CST Logo
Orders:

877-616-CELL (2355)

[email protected]

Support:

877-678-TECH (8324)

3 Trask Lane | Danvers | Massachusetts | 01923 | USA

For Research Use Only. Not for Use in Diagnostic Procedures.

Applications:
W, IP, IHC-Bond, IHC-P

Reactivity:
H M Hm

Sensitivity:
Endogenous

MW (kDa):
33, 35

Source/Isotype:
Rabbit IgG

UniProt ID:
#Q86WV6

Entrez-Gene Id:
340061

Product Usage Information

Application Dilution
Western Blotting 1:1000
Immunoprecipitation 1:50
IHC Leica Bond 1:100 - 1:400
Immunohistochemistry (Paraffin) 1:50 - 1:200

Storage

Supplied in 10 mM sodium HEPES (pH 7.5), 150 mM NaCl, 100 µg/ml BSA, 50% glycerol and less than 0.02% sodium azide. Store at –20°C. Do not aliquot the antibody.

For a carrier free (BSA and azide free) version of this product see product #67733.

Specificity/Sensitivity

STING (D2P2F) Rabbit Monoclonal Antibody recognizes endogenous levels of total STING protein.

Source / Purification

Monoclonal antibody is produced by immunizing animals with a synthetic peptide corresponding to residues surrounding Glu328 of human STING protein.

Background

Stimulator of interferon genes (STING, TMEM173, MITA) is a transmembrane adaptor protein that is a critical component of the cellular innate immune response to pathogenic cytoplasmic DNA (1,2). STING is a ubiquitously expressed protein found predominantly in the ER (1). The enzyme cGAMP synthase (cGAS) produces the second messenger cyclic-GMP-AMP (cGAMP) in response to cytoplasmic DNA (3,4). cGAMP binds and activates STING (3,4). In addition, detection of cytoplasmic DNA by nucleic acid sensors, including DDX41 or IFI16, results in STING activation (5,6). Following activation, STING translocates with TBK1 to perinuclear endosomes (7). The TBK1 kinase phosphorylates and activates interferon regulatory factors (IRFs) and NF-κB, which leads to the induction of type I interferon and other immune response genes (1,2,7).

Species Reactivity

Species reactivity is determined by testing in at least one approved application (e.g., western blot).

Western Blot Buffer

IMPORTANT: For western blots, incubate membrane with diluted primary antibody in 5% w/v BSA, 1X TBS, 0.1% Tween® 20 at 4°C with gentle shaking, overnight.

Applications Key

W: Western Blotting IP: Immunoprecipitation IHC-Bond: IHC Leica Bond IHC-P: Immunohistochemistry (Paraffin)

Cross-Reactivity Key

H: Human M: Mouse Hm: Hamster

Trademarks and Patents

Cell Signaling Technology is a trademark of Cell Signaling Technology, Inc.

All other trademarks are the property of their respective owners. Visit cellsignal.com/trademarks for more information.

Limited Uses

Except as otherwise expressly agreed in a writing signed by a legally authorized representative of CST, the following terms apply to Products provided by CST, its affiliates or its distributors. Any Customer's terms and conditions that are in addition to, or different from, those contained herein, unless separately accepted in writing by a legally authorized representative of CST, are rejected and are of no force or effect.

Products are labeled with For Research Use Only or a similar labeling statement and have not been approved, cleared, or licensed by the FDA or other regulatory foreign or domestic entity, for any purpose. Customer shall not use any Product for any diagnostic or therapeutic purpose, or otherwise in any manner that conflicts with its labeling statement. Products sold or licensed by CST are provided for Customer as the end-user and solely for research and development uses. Any use of Product for diagnostic, prophylactic or therapeutic purposes, or any purchase of Product for resale (alone or as a component) or other commercial purpose, requires a separate license from CST. Customer shall (a) not sell, license, loan, donate or otherwise transfer or make available any Product to any third party, whether alone or in combination with other materials, or use the Products to manufacture any commercial products, (b) not copy, modify, reverse engineer, decompile, disassemble or otherwise attempt to discover the underlying structure or technology of the Products, or use the Products for the purpose of developing any products or services that would compete with CST products or services, (c) not alter or remove from the Products any trademarks, trade names, logos, patent or copyright notices or markings, (d) use the Products solely in accordance with CST Product Terms of Sale and any applicable documentation, and (e) comply with any license, terms of service or similar agreement with respect to any third party products or services used by Customer in connection with the Products.

Orders: 877-616-CELL (2355) [email protected] Support: 877-678-TECH (8324) [email protected] Web: cellsignal.com
For Research Use Only. Not for Use in Diagnostic Procedures.

Revision 9

Cell Signaling Technology Logo
Western blot analysis of extracts from various cell lines using STING (D2P2F) Rabbit mAb.
Western Blotting Image 1: STING (D2P2F) Rabbit Monoclonal Antibody
Western blot analysis of extracts from 293T cells, mock transfected (-), transfected with a construct expressing human STING protein (hSTING; +), or transfected with a construct expressing mouse STING protein (mSTING; +), using STING (D2P2F) Rabbit mAb.
Western Blotting Image 2: STING (D2P2F) Rabbit Monoclonal Antibody
Western blot analysis of PMA-treated THP-1 extracts from WT (left) or STING1 KO (right) using STING (D2P2F) Rabbit mAb. Membranes stained with Ponceau S for total protein normalization (lower). These data were provided by YCharOS Inc., an open science company with the mission of characterizing commercially available antibodies, as a companion to validation data generated by CST scientists.
Western Blotting Image 3: STING (D2P2F) Rabbit Monoclonal Antibody
Orders: 877-616-CELL (2355) [email protected] Support: 877-678-TECH (8324) [email protected] Web: cellsignal.com
For Research Use Only. Not for Use in Diagnostic Procedures.

Revision 9

Cell Signaling Technology Logo
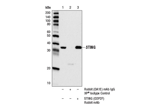
Immunoprecipitation of STING from HL-60 cell extracts using Rabbit (DA1E) mAb IgG XP® Isotype Control #3900 (lane 2) or STING (D2P2F) Rabbit mAb (lane 3). Lane 1 is 10% input. Western blot analysis was performed using STING (D2P2F) Rabbit mAb.
Immunoprecipitation Image 1: STING (D2P2F) Rabbit Monoclonal Antibody
Immunohistochemical analysis of paraffin-embedded human colon adenocarcinoma using STING (D2P2F) Rabbit mAb performed on the Leica® BOND™ Rx. 
Immunohistochemistry Image 1: STING (D2P2F) Rabbit Monoclonal Antibody
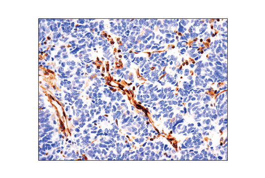
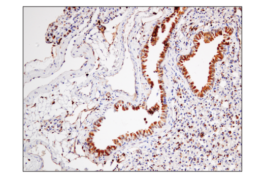
Immunohistochemical analysis of paraffin-embedded human neuroendocrine lung carcinoma using STING (D2P2F) Rabbit mAb performed on the Leica® BOND™ Rx. 
Immunohistochemistry Image 2: STING (D2P2F) Rabbit Monoclonal Antibody
Orders: 877-616-CELL (2355) [email protected] Support: 877-678-TECH (8324) [email protected] Web: cellsignal.com
For Research Use Only. Not for Use in Diagnostic Procedures.

Revision 9

Cell Signaling Technology Logo
Immunohistochemical analysis of paraffin-embedded human non-Hodgkin’s lymphoma using STING (D2P2F) Rabbit mAb performed on the Leica® BOND™ Rx. 
Immunohistochemistry Image 3: STING (D2P2F) Rabbit Monoclonal Antibody
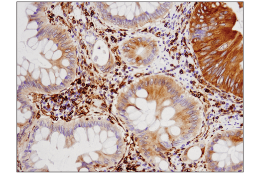
Immunohistochemical analysis of paraffin-embedded human colon carcinoma using STING (D2P2F) Rabbit mAb.
Immunohistochemistry Image 1: STING (D2P2F) Rabbit Monoclonal Antibody
Immunohistochemical analysis of paraffin-embedded human serous papillary carcinoma of the ovary using STING (D2P2F) Rabbit mAb.
Immunohistochemistry Image 2: STING (D2P2F) Rabbit Monoclonal Antibody
Orders: 877-616-CELL (2355) [email protected] Support: 877-678-TECH (8324) [email protected] Web: cellsignal.com
For Research Use Only. Not for Use in Diagnostic Procedures.

Revision 9

Cell Signaling Technology Logo
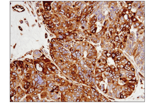
Immunohistochemical analysis of paraffin-embedded human prostate carcinoma using STING (D2P2F) Rabbit mAb.
Immunohistochemistry Image 3: STING (D2P2F) Rabbit Monoclonal Antibody
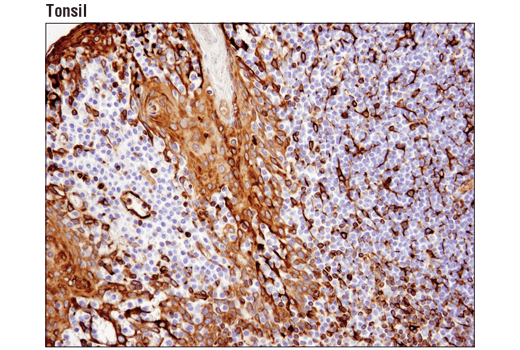
Immunohistochemical analysis of paraffin-embedded human tonsil using STING (D2P2F) Rabbit mAb.
Immunohistochemistry Image 4: STING (D2P2F) Rabbit Monoclonal Antibody
Immunohistochemical analysis of paraffin-embedded mouse lung using STING (D2P2F) Rabbit mAb.
Immunohistochemistry Image 5: STING (D2P2F) Rabbit Monoclonal Antibody
Orders: 877-616-CELL (2355) [email protected] Support: 877-678-TECH (8324) [email protected] Web: cellsignal.com
For Research Use Only. Not for Use in Diagnostic Procedures.

Revision 9

Cell Signaling Technology Logo
Immunohistochemical analysis of paraffin-embedded Syrian hamster uterus using STING (D2P2F) Rabbit mAb.
Immunohistochemistry Image 6: STING (D2P2F) Rabbit Monoclonal Antibody
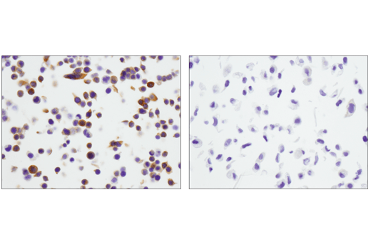
Immunohistochemical analysis of paraffin-embedded HT-29 (left, positive) and A549 (right, negative) cell pellets using STING (D2P2F) Rabbit mAb.
Immunohistochemistry Image 7: STING (D2P2F) Rabbit Monoclonal Antibody
Orders: 877-616-CELL (2355) [email protected] Support: 877-678-TECH (8324) [email protected] Web: cellsignal.com
For Research Use Only. Not for Use in Diagnostic Procedures.