Revision 3

#4940

Store at -20C

CST Logo
Orders:

877-616-CELL (2355)

[email protected]

Support:

877-678-TECH (8324)

3 Trask Lane | Danvers | Massachusetts | 01923 | USA

For Research Use Only. Not for Use in Diagnostic Procedures.

Applications:
W, IP, IHC-P

Reactivity:
H M R Mk

Sensitivity:
Endogenous

Source/Isotype:
Rabbit IgG

UniProt ID:
#P63165

Entrez-Gene Id:
7341

Product Usage Information

Application Dilution
Western Blotting 1:1000
Immunoprecipitation 1:50
Immunohistochemistry (Paraffin) 1:50 - 1:200

Storage

Supplied in 10 mM sodium HEPES (pH 7.5), 150 mM NaCl, 100 µg/ml BSA, 50% glycerol and less than 0.02% sodium azide. Store at –20°C. Do not aliquot the antibody.

For a carrier free (BSA and azide free) version of this product see product #99046.

Specificity/Sensitivity

SUMO-1 (C9H1) Rabbit Monoclonal Antibody detects recombinant SUMO-1 and endogenous levels of sumoylated proteins (e.g. SUMO-1-RanGAP at 90 kD). This antibody does not detect recombinant SUMO-2 or SUMO-3.

Source / Purification

Monoclonal antibody is produced by immunizing animals with a synthetic peptide from the amino terminus of human SUMO-1.

Background

Small ubiquitin-related modifier 1, 2 and 3 (SUMO-1, -2 and -3) are members of the ubiquitin-like protein family (1). The covalent attachment of the SUMO-1, -2 or -3 (SUMOylation) to target proteins is analogous to ubiquitination. This post-translational modification is a reversible, multi-step process that is initiated by cleaving a precursor protein to a mature protein. Mature SUMO-1, -2 or -3 is then linked to the activating enzyme E1, conjugated to E2 and in conjunction with E3, SUMO-1, -2 or -3 is ligated to the target protein (2). Ubiquitin and the individual SUMO family members are all targeted to different proteins with diverse biological functions. Ubiquitin predominantly regulates degradation of its target (1). In contrast, SUMO-1 is conjugated to RanGAP, PML, p53 and IκB-α to regulate nuclear trafficking, formation of subnuclear structures, regulation of transcriptional activity and protein stability (3-7). SUMO-2/-3 forms poly-(SUMO) chains, is conjugated to topoisomerase II and APP, regulates chromosomal segregation and cellular responses to environmental stress, and plays a role in the progression of Alzheimer disease (8-11).

Species Reactivity

Species reactivity is determined by testing in at least one approved application (e.g., western blot).

Western Blot Buffer

IMPORTANT: For western blots, incubate membrane with diluted primary antibody in 5% w/v BSA, 1X TBS, 0.1% Tween® 20 at 4°C with gentle shaking, overnight.

Applications Key

W: Western Blotting IP: Immunoprecipitation IHC-P: Immunohistochemistry (Paraffin)

Cross-Reactivity Key

H: Human M: Mouse R: Rat Mk: Monkey

Trademarks and Patents

Cell Signaling Technology is a trademark of Cell Signaling Technology, Inc.

U.S. Patent No. 7,429,487, foreign equivalents, and child patents deriving therefrom.

All other trademarks are the property of their respective owners. Visit cellsignal.com/trademarks for more information.

Limited Uses

Except as otherwise expressly agreed in a writing signed by a legally authorized representative of CST, the following terms apply to Products provided by CST, its affiliates or its distributors. Any Customer's terms and conditions that are in addition to, or different from, those contained herein, unless separately accepted in writing by a legally authorized representative of CST, are rejected and are of no force or effect.

Products are labeled with For Research Use Only or a similar labeling statement and have not been approved, cleared, or licensed by the FDA or other regulatory foreign or domestic entity, for any purpose. Customer shall not use any Product for any diagnostic or therapeutic purpose, or otherwise in any manner that conflicts with its labeling statement. Products sold or licensed by CST are provided for Customer as the end-user and solely for research and development uses. Any use of Product for diagnostic, prophylactic or therapeutic purposes, or any purchase of Product for resale (alone or as a component) or other commercial purpose, requires a separate license from CST. Customer shall (a) not sell, license, loan, donate or otherwise transfer or make available any Product to any third party, whether alone or in combination with other materials, or use the Products to manufacture any commercial products, (b) not copy, modify, reverse engineer, decompile, disassemble or otherwise attempt to discover the underlying structure or technology of the Products, or use the Products for the purpose of developing any products or services that would compete with CST products or services, (c) not alter or remove from the Products any trademarks, trade names, logos, patent or copyright notices or markings, (d) use the Products solely in accordance with CST Product Terms of Sale and any applicable documentation, and (e) comply with any license, terms of service or similar agreement with respect to any third party products or services used by Customer in connection with the Products.

Orders: 877-616-CELL (2355) [email protected] Support: 877-678-TECH (8324) [email protected] Web: cellsignal.com
For Research Use Only. Not for Use in Diagnostic Procedures.

Revision 3

Cell Signaling Technology Logo
Western blot analysis of recombinant GST-SUMO-1 protein (38 kDa) and extracts from Jurkat cells using SUMO-1 (C9H1) Rabbit mAb.
Western Blotting Image 1: SUMO-1 (C9H1) Rabbit Monoclonal Antibody
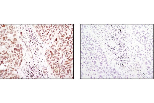
Immunohistochemical analysis of paraffin-embedded human lung carcinoma using SUMO-1 (C9H1) Rabbit mAb in the presence of control peptide (left) or antigen specific peptide (right).
Immunohistochemistry Image 1: SUMO-1 (C9H1) Rabbit Monoclonal Antibody
Orders: 877-616-CELL (2355) [email protected] Support: 877-678-TECH (8324) [email protected] Web: cellsignal.com
For Research Use Only. Not for Use in Diagnostic Procedures.