Revision 4

#96489

Store at -20C

CST Logo
Orders:

877-616-CELL (2355)

[email protected]

Support:

877-678-TECH (8324)

3 Trask Lane | Danvers | Massachusetts | 01923 | USA

For Research Use Only. Not for Use in Diagnostic Procedures.

Applications:
IHC-P, FC-FP, FC-L

Reactivity:
H

Sensitivity:
Endogenous

Source/Isotype:
Rabbit IgG

UniProt ID:
#P18827

Entrez-Gene Id:
6382

Product Usage Information

Application Dilution
Immunohistochemistry (Paraffin) 1:100 - 1:400
Flow Cytometry (Fixed/Permeabilized) 1:50 - 1:200
Flow Cytometry (Live) 1:50 - 1:200

Storage

Supplied in 10 mM sodium HEPES (pH 7.5), 150 mM NaCl, 100 µg/mL BSA, 50% glycerol, and less than 0.02% sodium azide. Store at –20°C. Do not aliquot the antibody.

For a carrier free (BSA and azide free) version of this product see product #25851.

Specificity/Sensitivity

Syndecan 1 (E7F7T) Rabbit Monoclonal Antibody recognizes endogenous levels of total syndecan 1 protein for approved applications. Non-specific staining was observed in skeletal muscle by immunohistochemistry.

Source / Purification

Monoclonal antibody is produced by immunizing animals with recombinant protein specific to the amino terminus in the extracellular region of human syndecan 1 protein.

Background

Syndecans are a family of type 1 transmembrane heparan sulfate proteoglycans comprising four members in mammals (SDC1-4) (1) encoded by four syndecan genes. Syndecans are involved in embryonic development, tumorigenesis, and angiogenesis (2). The extracellular domain harbors attachment sites for heparan sulfate and chondroitin sulfate chains, facilitating interaction with an array of proteins, including a plethora of growth factors. In addition, the hydrophobic C-terminal intracellular domain can interact with proteins containing a PDZ domain (2). These interactions place syndecans as important integrators of membrane signaling (3). Syndecans undergo proteolytic cleavage causing the release of their extracellular domain (shedding), converting the membrane-bound proteins into soluble molecular effectors (4).

Syndecan 1 (SDC1) is a specific marker for plasmacytic differentiation in hematologic disorders (5-7). This cell surface proteoglycan is also expressed in normal epithelial cells and tissues as well as various types of cancer tissues (8-11). The extracellular shed form of syndecan 1 remains soluble or accumulates in the extracellular matrix where it binds growth factors, cytokines and other extracellular matrix proteins (12,13). This binding activates signaling of bound growth factors or cytokines, which results in enhanced tumor growth, dissemination, angiogenesis, and osteolysis (14-17). As a result, the level of syndecan 1 protein and its shed form may serve as prognostic factors for a list of malignancies (6,18,19). Syndecan 1 has recently been found to be a critical mediator of macropinocytosis in pancreatic cancer (20).

Species Reactivity

Species reactivity is determined by testing in at least one approved application (e.g., western blot).

Applications Key

IHC-P: Immunohistochemistry (Paraffin) FC-FP: Flow Cytometry (Fixed/Permeabilized) FC-L: Flow Cytometry (Live)

Cross-Reactivity Key

H: Human

Trademarks and Patents

Cell Signaling Technology is a trademark of Cell Signaling Technology, Inc.

All other trademarks are the property of their respective owners. Visit cellsignal.com/trademarks for more information.

Limited Uses

Except as otherwise expressly agreed in a writing signed by a legally authorized representative of CST, the following terms apply to Products provided by CST, its affiliates or its distributors. Any Customer's terms and conditions that are in addition to, or different from, those contained herein, unless separately accepted in writing by a legally authorized representative of CST, are rejected and are of no force or effect.

Products are labeled with For Research Use Only or a similar labeling statement and have not been approved, cleared, or licensed by the FDA or other regulatory foreign or domestic entity, for any purpose. Customer shall not use any Product for any diagnostic or therapeutic purpose, or otherwise in any manner that conflicts with its labeling statement. Products sold or licensed by CST are provided for Customer as the end-user and solely for research and development uses. Any use of Product for diagnostic, prophylactic or therapeutic purposes, or any purchase of Product for resale (alone or as a component) or other commercial purpose, requires a separate license from CST. Customer shall (a) not sell, license, loan, donate or otherwise transfer or make available any Product to any third party, whether alone or in combination with other materials, or use the Products to manufacture any commercial products, (b) not copy, modify, reverse engineer, decompile, disassemble or otherwise attempt to discover the underlying structure or technology of the Products, or use the Products for the purpose of developing any products or services that would compete with CST products or services, (c) not alter or remove from the Products any trademarks, trade names, logos, patent or copyright notices or markings, (d) use the Products solely in accordance with CST Product Terms of Sale and any applicable documentation, and (e) comply with any license, terms of service or similar agreement with respect to any third party products or services used by Customer in connection with the Products.

Orders: 877-616-CELL (2355) [email protected] Support: 877-678-TECH (8324) [email protected] Web: cellsignal.com
For Research Use Only. Not for Use in Diagnostic Procedures.

Revision 4

Cell Signaling Technology Logo
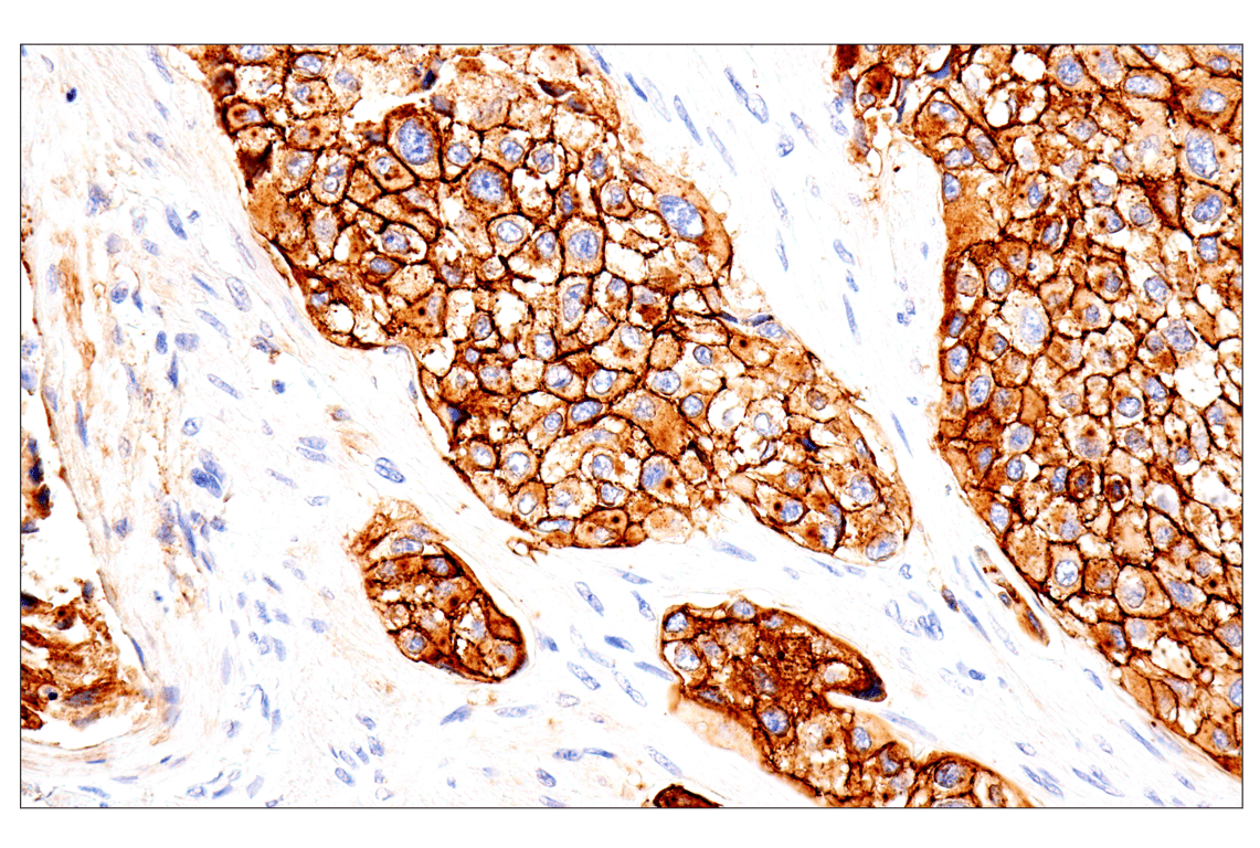
Immunohistochemical analysis of paraffin-embedded human urothelial carcinoma using Syndecan 1 (E7F7T) Rabbit mAb.
Immunohistochemistry Image 1: Syndecan 1 (E7F7T) Rabbit Monoclonal Antibody
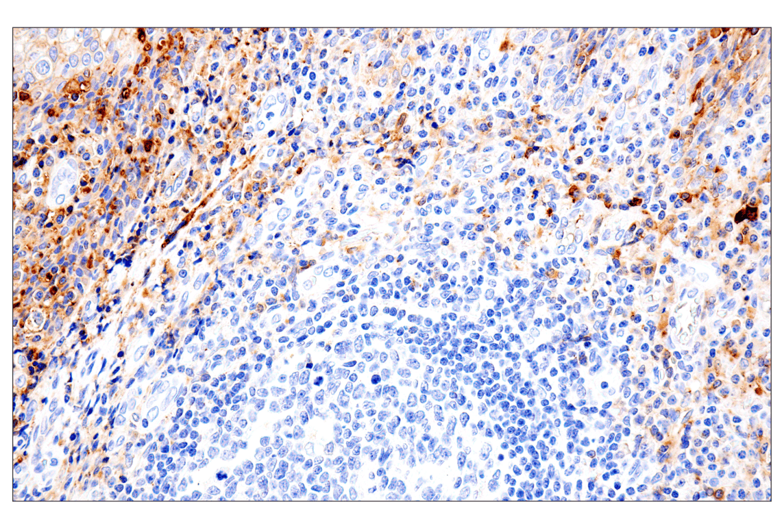
Immunohistochemical analysis of paraffin-embedded human squamous cell lung carcinoma using Syndecan 1 (E7F7T) Rabbit mAb.
Immunohistochemistry Image 2: Syndecan 1 (E7F7T) Rabbit Monoclonal Antibody
Immunohistochemical analysis of paraffin-embedded human carcinosarcoma of the thymus using Syndecan 1 (E7F7T) Rabbit mAb.
Immunohistochemistry Image 3: Syndecan 1 (E7F7T) Rabbit Monoclonal Antibody
Orders: 877-616-CELL (2355) [email protected] Support: 877-678-TECH (8324) [email protected] Web: cellsignal.com
For Research Use Only. Not for Use in Diagnostic Procedures.

Revision 4

Cell Signaling Technology Logo
Immunohistochemical analysis of paraffin-embedded normal human esophagus using Syndecan 1 (E7F7T) Rabbit mAb.
Immunohistochemistry Image 4: Syndecan 1 (E7F7T) Rabbit Monoclonal Antibody
Immunohistochemical analysis of paraffin-embedded human lung adenocarcinoma using Syndecan 1 (E7F7T) Rabbit mAb.
Immunohistochemistry Image 5: Syndecan 1 (E7F7T) Rabbit Monoclonal Antibody
Immunohistochemical analysis of paraffin-embedded human hepatocellular carcinoma using Syndecan 1 (E7F7T) Rabbit mAb.
Immunohistochemistry Image 6: Syndecan 1 (E7F7T) Rabbit Monoclonal Antibody
Orders: 877-616-CELL (2355) [email protected] Support: 877-678-TECH (8324) [email protected] Web: cellsignal.com
For Research Use Only. Not for Use in Diagnostic Procedures.

Revision 4

Cell Signaling Technology Logo
Immunohistochemical analysis of paraffin-embedded human urothelial carcinoma using Syndecan 1 (E7F7T) Rabbit mAb.
Immunohistochemistry Image 7: Syndecan 1 (E7F7T) Rabbit Monoclonal Antibody
Immunohistochemical analysis of paraffin-embedded normal human skin using Syndecan 1 (E7F7T) Rabbit mAb.
Immunohistochemistry Image 8: Syndecan 1 (E7F7T) Rabbit Monoclonal Antibody
Immunohistochemical analysis of paraffin-embedded human tonsil using Syndecan 1 (E7F7T) Rabbit mAb.
Immunohistochemistry Image 9: Syndecan 1 (E7F7T) Rabbit Monoclonal Antibody
Orders: 877-616-CELL (2355) [email protected] Support: 877-678-TECH (8324) [email protected] Web: cellsignal.com
For Research Use Only. Not for Use in Diagnostic Procedures.

Revision 4

Cell Signaling Technology Logo
Immunohistochemical analysis of paraffin-embedded normal human small intestine using Syndecan 1 (E7F7T) Rabbit mAb.
Immunohistochemistry Image 10: Syndecan 1 (E7F7T) Rabbit Monoclonal Antibody
Immunohistochemical analysis of paraffin-embedded normal human prostate using Syndecan 1 (E7F7T) Rabbit mAb.
Immunohistochemistry Image 11: Syndecan 1 (E7F7T) Rabbit Monoclonal Antibody
Immunohistochemical analysis of paraffin-embedded normal human placenta using Syndecan 1 (E7F7T) Rabbit mAb.
Immunohistochemistry Image 12: Syndecan 1 (E7F7T) Rabbit Monoclonal Antibody
Orders: 877-616-CELL (2355) [email protected] Support: 877-678-TECH (8324) [email protected] Web: cellsignal.com
For Research Use Only. Not for Use in Diagnostic Procedures.

Revision 4

Cell Signaling Technology Logo
Immunohistochemical analysis of paraffin-embedded normal human lung using Syndecan 1 (E7F7T) Rabbit mAb.
Immunohistochemistry Image 13: Syndecan 1 (E7F7T) Rabbit Monoclonal Antibody
Immunohistochemical analysis of paraffin-embedded normal human kidney using Syndecan 1 (E7F7T) Rabbit mAb.
Immunohistochemistry Image 14: Syndecan 1 (E7F7T) Rabbit Monoclonal Antibody
Immunohistochemical analysis of paraffin-embedded human appendix using Syndecan 1 (E7F7T) Rabbit mAb.
Immunohistochemistry Image 15: Syndecan 1 (E7F7T) Rabbit Monoclonal Antibody
Orders: 877-616-CELL (2355) [email protected] Support: 877-678-TECH (8324) [email protected] Web: cellsignal.com
For Research Use Only. Not for Use in Diagnostic Procedures.

Revision 4

Cell Signaling Technology Logo
Immunohistochemical analysis of paraffin-embedded normal human gall bladder using Syndecan 1 (E7F7T) Rabbit mAb (left) compared to concentration-matched Rabbit (DA1E) mAb IgG XP® Isotype Control #3900 (right).
Immunohistochemistry Image 16: Syndecan 1 (E7F7T) Rabbit Monoclonal Antibody
Immunohistochemical analysis of paraffin-embedded 293T cell pellet, untransfected (left) or syndecan 1-transfected (right), using Syndecan 1 (E7F7T) Rabbit mAb.
Immunohistochemistry Image 17: Syndecan 1 (E7F7T) Rabbit Monoclonal Antibody
Immunohistochemical analysis of paraffin-embedded U266B1 cell pellet (left, positive) or K-562 cell pellet (right, negative) using Syndecan 1 (E7F7T) Rabbit mAb.
Immunohistochemistry Image 18: Syndecan 1 (E7F7T) Rabbit Monoclonal Antibody
Orders: 877-616-CELL (2355) [email protected] Support: 877-678-TECH (8324) [email protected] Web: cellsignal.com
For Research Use Only. Not for Use in Diagnostic Procedures.

Revision 4

Cell Signaling Technology Logo
Flow cytometric analysis of fixed/permeabilized Ramos cells (blue, negative) and U266B1 cells (green, positive) using Syndecan 1 (E7F7T) Rabbit mAb (solid lines) or concentration-matched Rabbit (DA1E) mAb IgG XP® Isotype Control #3900 (dashed lines). Anti-rabbit IgG (H+L), F(ab')2 Fragment (Alexa Fluor® 488 Conjugate) #4412 was used as a secondary antibody.
Flow Cytometry Image 1: Syndecan 1 (E7F7T) Rabbit Monoclonal Antibody
Flow cytometric analysis of live Ramos cells (blue, negative) and U266B1 cells (green, positive) using Syndecan 1 (E7F7T) Rabbit mAb (solid lines) or concentration-matched Rabbit (DA1E) mAb IgG XP® Isotype Control #3900 (dashed lines). Anti-rabbit IgG (H+L), F(ab')2 Fragment (Alexa Fluor® 488 Conjugate) #4412 was used as a secondary antibody.
Flow Cytometry Image 1: Syndecan 1 (E7F7T) Rabbit Monoclonal Antibody
Orders: 877-616-CELL (2355) [email protected] Support: 877-678-TECH (8324) [email protected] Web: cellsignal.com
For Research Use Only. Not for Use in Diagnostic Procedures.