Revision 4

#56927

Store at -20C

CST Logo
Orders:

877-616-CELL (2355)

[email protected]

Support:

877-678-TECH (8324)

3 Trask Lane | Danvers | Massachusetts | 01923 | USA

For Research Use Only. Not for Use in Diagnostic Procedures.

Applications:
W, IHC-P, IF-F

Reactivity:
M R

Sensitivity:
Endogenous

MW (kDa):
140

Source/Isotype:
Rabbit IgG

UniProt ID:
#Q96PV0

Entrez-Gene Id:
8831

Product Usage Information

Application Dilution
Western Blotting 1:1000
Immunohistochemistry (Paraffin) 1:400 - 1:1600
Immunofluorescence (Frozen) 1:200 - 1:800

Storage

Supplied in 10 mM sodium HEPES (pH 7.5), 150 mM NaCl, 100 µg/mL BSA, 50% glycerol, and less than 0.02% sodium azide. Store at –20°C. Do not aliquot the antibody.

Specificity/Sensitivity

SynGAP-alpha2 (E4Y6I) Rabbit Monoclonal Antibody recognizes endogenous levels of total SynGAP-α2 protein. This antibody non-specifically labels crypts of small intestine in frozen mouse tissue by indirect fluorescent detection.

Source / Purification

Monoclonal antibody is produced by immunizing animals with a synthetic peptide corresponding to residues near the carboxy terminus of human SynGAP-α2 protein.

Background

SynGAP is a synaptic GTPase-activating protein selectively expressed in the brain and found at higher concentrations, specifically at excitatory synapses in the mammalian forebrain. SynGAP has a PH domain, a C2 domain, and a highly conserved RasGAP domain, which negatively regulates both Ras activity and its downstream signaling pathways. SynGAP interacts with the PDZ domains of SAP102, as well as PSD95, a postsynaptic scaffolding protein that couples SynGAP to NMDA receptors (1). SynGAP is phosphorylated by Ca2+/calmodulin-dependent protein kinase II (CaMKII) at Ser765 and Ser1123, among other sites (2,3). Phosphorylation of SynGAP results in stimulation of the GTPase activity of Ras, and PSD95-dependent CaMKII phosphorylation of SynGAP increases after transient brain ischemia (1,4). SynGAP is implicated in NMDAR- and CaMKII-dependent regulation of AMPAR trafficking and plays an important role in synaptic plasticity (3,5). SynGAP is critical during neuronal development as mice lacking SynGAP protein die postnatally. Furthermore, SynGAP mutant mice have reduced long-term potentiation (LTP) and perform poorly in spatial memory tasks (6).

Alternative splicing of the SynGAP1 gene generates four isoforms with distinct C-terminal sequences (α1, α2, β, and γ). These isoforms exhibit unique spatiotemporal expression patterns, subcellular localizations, and proposed functions in health and disease (7-9).

Species Reactivity

Species reactivity is determined by testing in at least one approved application (e.g., western blot).

Western Blot Buffer

IMPORTANT: For western blots, incubate membrane with diluted primary antibody in 5% w/v BSA, 1X TBS, 0.1% Tween® 20 at 4°C with gentle shaking, overnight.

Applications Key

W: Western Blotting IHC-P: Immunohistochemistry (Paraffin) IF-F: Immunofluorescence (Frozen)

Cross-Reactivity Key

M: Mouse R: Rat

Trademarks and Patents

Cell Signaling Technology is a trademark of Cell Signaling Technology, Inc.

SignalStain is a registered trademark of Cell Signaling Technology, Inc.

All other trademarks are the property of their respective owners. Visit cellsignal.com/trademarks for more information.

Limited Uses

Except as otherwise expressly agreed in a writing signed by a legally authorized representative of CST, the following terms apply to Products provided by CST, its affiliates or its distributors. Any Customer's terms and conditions that are in addition to, or different from, those contained herein, unless separately accepted in writing by a legally authorized representative of CST, are rejected and are of no force or effect.

Products are labeled with For Research Use Only or a similar labeling statement and have not been approved, cleared, or licensed by the FDA or other regulatory foreign or domestic entity, for any purpose. Customer shall not use any Product for any diagnostic or therapeutic purpose, or otherwise in any manner that conflicts with its labeling statement. Products sold or licensed by CST are provided for Customer as the end-user and solely for research and development uses. Any use of Product for diagnostic, prophylactic or therapeutic purposes, or any purchase of Product for resale (alone or as a component) or other commercial purpose, requires a separate license from CST. Customer shall (a) not sell, license, loan, donate or otherwise transfer or make available any Product to any third party, whether alone or in combination with other materials, or use the Products to manufacture any commercial products, (b) not copy, modify, reverse engineer, decompile, disassemble or otherwise attempt to discover the underlying structure or technology of the Products, or use the Products for the purpose of developing any products or services that would compete with CST products or services, (c) not alter or remove from the Products any trademarks, trade names, logos, patent or copyright notices or markings, (d) use the Products solely in accordance with CST Product Terms of Sale and any applicable documentation, and (e) comply with any license, terms of service or similar agreement with respect to any third party products or services used by Customer in connection with the Products.

Orders: 877-616-CELL (2355) [email protected] Support: 877-678-TECH (8324) [email protected] Web: cellsignal.com
For Research Use Only. Not for Use in Diagnostic Procedures.

Revision 4

Cell Signaling Technology Logo
Western blot analysis of extracts from SynGAP1 wild-type (+/+) and SynGAP1 heterozygous KO (+/-) mouse brain using SynGAP-α2 (E4Y6I) Rabbit mAb (upper) or GAPDH (D16H11) XP® Rabbit mAb #5174 (lower). SynGAP1 wild-type (+/+) and SynGAP1 heterozygous KO (+/-) mouse brain kindly provided by Dr. Gavin Rumbaugh, at The Herbert Wertheim UF Scripps Institute for Biomedical Innovation & Technology.
Western Blotting Image 1: SynGAP-alpha2 (E4Y6I) Rabbit Monoclonal Antibody
Western blot analysis of extracts from SynGAP1 wild-type (+/+), SynGAP1 heterozygous KO (+/-), and SynGAP1 homozygous KO (-/-) mouse primary neurons using SynGAP-α2 (E4Y6I) Rabbit mAb (upper) or GAPDH (D16H11) XP® Rabbit mAb #5174 (lower). SynGAP1 wild-type (+/+), SynGAP1 heterozygous KO (+/-), and SynGAP1 homozygous KO (-/-) mouse primary neurons kindly provided by Dr. Gavin Rumbaugh, at The Herbert Wertheim UF Scripps Institute for Biomedical Innovation & Technology.
Western Blotting Image 2: SynGAP-alpha2 (E4Y6I) Rabbit Monoclonal Antibody
Western blot analysis of extracts from various tissues using SynGAP (E4Y6I) Rabbit mAb (upper) or GAPDH (D16H11) XP® Rabbit mAb #5174 (lower). Negative expression of SynGAP protein in lung tissue is consistent with the predicted expression pattern.
Western Blotting Image 3: SynGAP-alpha2 (E4Y6I) Rabbit Monoclonal Antibody
Orders: 877-616-CELL (2355) [email protected] Support: 877-678-TECH (8324) [email protected] Web: cellsignal.com
For Research Use Only. Not for Use in Diagnostic Procedures.

Revision 4

Cell Signaling Technology Logo
Western blot analysis of extracts from 293T cells, mock transfected (-) or transfected with constructs expressing Myc/DDK-tagged human SynGAP-α1 protein (hSynGAP-α1-Myc/DDK; -), Myc/DDK-tagged human SynGAP-α2 protein (hSynGAP-α2-Myc/DDK; +), Myc/DDK-tagged human SynGAP-β protein (hSynGAP-β-Myc/DDK; -), or Myc/DDK-tagged human SynGAP-γ protein (hSynGAP-γ-Myc/DDK; -) using SynGAP-α2 (E4Y6I) Rabbit mAb (upper), SynGAP-α1 (F8I5Q) Rabbit mAb #34124 (upper-middle), SynGAP-β (F9H8E) Rabbit mAb #28580 (lower-middle), or DYKDDDDK Tag (D6W5B) Rabbit mAb #14793 (lower).
Western Blotting Image 4: SynGAP-alpha2 (E4Y6I) Rabbit Monoclonal Antibody
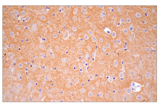
Immunohistochemical analysis of paraffin-embedded normal mouse thalamus using SynGAP (E4Y6I) Rabbit mAb.
Immunohistochemistry Image 1: SynGAP-alpha2 (E4Y6I) Rabbit Monoclonal Antibody
Immunohistochemical analysis of various paraffin-embedded normal mouse tissues: caudoputamen of brain (left-top), thymus (middle-top), liver (right-top), small intestine (left-bottom), kidney (middle-bottom), and testis (right-bottom) using SynGAP (E4Y6I) Rabbit mAb.
Immunohistochemistry Image 2: SynGAP-alpha2 (E4Y6I) Rabbit Monoclonal Antibody
Orders: 877-616-CELL (2355) [email protected] Support: 877-678-TECH (8324) [email protected] Web: cellsignal.com
For Research Use Only. Not for Use in Diagnostic Procedures.

Revision 4

Cell Signaling Technology Logo
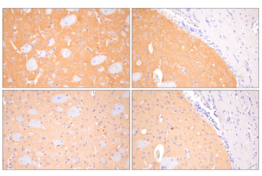
Immunohistochemical analysis of paraffin-embedded normal mouse brain (two regions of interest) using SynGAP (E4Y6I) Rabbit mAb (top) or a SynGAP Rabbit mAb (bottom). These two antibodies detect unique, non-overlapping epitopes on mouse SynGAP. The similar staining patterns obtained with both antibodies help to confirm the specificity of the staining.
Immunohistochemistry Image 3: SynGAP-alpha2 (E4Y6I) Rabbit Monoclonal Antibody
Immunohistochemical analysis of paraffin-embedded normal mouse hippocampus using SynGAP (E4Y6I) Rabbit mAb (left) compared to concentration-matched Rabbit (DA1E) mAb IgG XP® Isotype Control #3900 (right).
Immunohistochemistry Image 4: SynGAP-alpha2 (E4Y6I) Rabbit Monoclonal Antibody
Confocal immunofluorescent analysis of fixed frozen mouse hippocampus from SynGAP1 wild-type (+/+) (left) and SynGAP1 heterozygous KO (+/-) (right) mice labeled with SynGAP-α2 (E4Y6I) Rabbit mAb (green) and ProLong Gold Antifade Reagent with DAPI #8961 (blue).
Immunofluorescence Image 1: SynGAP-alpha2 (E4Y6I) Rabbit Monoclonal Antibody
Orders: 877-616-CELL (2355) [email protected] Support: 877-678-TECH (8324) [email protected] Web: cellsignal.com
For Research Use Only. Not for Use in Diagnostic Procedures.

Revision 4

Cell Signaling Technology Logo
Confocal immunofluorescent analysis of fixed frozen mouse striatum from SynGAP1 wild-type (+/+) (left) and SynGAP1 heterozygous KO (+/-) (right) mice labeled with SynGAP-α2 (E4Y6I) Rabbit mAb (green) and ProLong Gold Antifade Reagent with DAPI #8961 (blue).
Immunofluorescence Image 2: SynGAP-alpha2 (E4Y6I) Rabbit Monoclonal Antibody
Confocal immunofluorescent analysis of fixed frozen mouse hippocampus labeled with SynGAP (E4Y6I) Rabbit mAb (left, green) and co-labeled with GFAP (E6N9L) Mouse mAb #34001 (right, red) and DAPI #4083 (right, blue).
Immunofluorescence Image 3: SynGAP-alpha2 (E4Y6I) Rabbit Monoclonal Antibody
Confocal immunofluorescent analysis of fixed frozen mouse striatum labeled with SynGAP (E4Y6I) Rabbit mAb (left, green) and co-labeled with GFAP (E6N9L) Mouse mAb #34001 (right, red) and DAPI #4083 (right, blue).
Immunofluorescence Image 4: SynGAP-alpha2 (E4Y6I) Rabbit Monoclonal Antibody
Orders: 877-616-CELL (2355) [email protected] Support: 877-678-TECH (8324) [email protected] Web: cellsignal.com
For Research Use Only. Not for Use in Diagnostic Procedures.