Revision 13

#13232

Store at -20C

CST Logo
Orders:

877-616-CELL (2355)

[email protected]

Support:

877-678-TECH (8324)

3 Trask Lane | Danvers | Massachusetts | 01923 | USA

For Research Use Only. Not for Use in Diagnostic Procedures.

Applications:
W, IP, IHC-P, IF-IC, FC-FP, ChIP, ChIP-seq, C&R, C&T

Reactivity:
H

Sensitivity:
Endogenous

MW (kDa):
58-68

Source/Isotype:
Rabbit IgG

UniProt ID:
#Q9UL17

Entrez-Gene Id:
30009

Product Usage Information

For optimal ChIP and ChIP-seq results, use 10 μl of antibody and 10 μg of chromatin (approximately 4 x 106 cells) per IP. This antibody has been validated using SimpleChIP® Enzymatic Chromatin IP Kits.

The CUT&RUN dilution was determined using CUT&RUN Assay Kit #86652.
Application Dilution
Western Blotting 1:1000
Immunoprecipitation 1:100
Immunohistochemistry (Paraffin) 1:1600
Immunofluorescence (Immunocytochemistry) 1:400
Flow Cytometry (Fixed/Permeabilized) 1:100 - 1:400
Chromatin IP 1:50
Chromatin IP-seq 1:50
CUT&RUN 1:50
CUT&Tag 1:50

Storage

Supplied in 10 mM sodium HEPES (pH 7.5), 150 mM NaCl, 100 µg/ml BSA, 50% glycerol and less than 0.02% sodium azide. Store at –20°C. Do not aliquot the antibody.

For a carrier free (BSA and azide free) version of this product see product #27112.

Specificity/Sensitivity

T-bet/TBX21 (D6N8B) Rabbit Monoclonal Antibody recognizes endogenous levels of total T-bet/TBX21 protein.

Source / Purification

Monoclonal antibody is produced by immunizing animals with a synthetic peptide corresponding to residues surrounding Gly465 of human T-bet/TBX21 protein.

Background

The T-box gene family consists of transcription factors characterized by a related DNA-binding domain (T-box) of approximately 200 amino acids (1,2). The T-box genes exhibit diverse temporal and spatial patterns in the developing embryo. Studies have demonstrated members of this family play crucial roles during embryogenesis in a wide range of organisms by regulating cell fate decisions to establish the early body plan and to regulate later processes underlying organogenesis (3-5). Mutations in T-box genes are associated with many developmental defects (6). Recent studies also indicate potential roles in cancer by members of the T-box family (7-9).

T-bet, also as known as TBX21, plays a critical role in development and maintenance of type 1 helper T (Th1) and T-bet deficient mice display impaired Th1 differentiation (10,11).

Species Reactivity

Species reactivity is determined by testing in at least one approved application (e.g., western blot).

Western Blot Buffer

IMPORTANT: For western blots, incubate membrane with diluted primary antibody in 5% w/v BSA, 1X TBS, 0.1% Tween® 20 at 4°C with gentle shaking, overnight.

Applications Key

W: Western Blotting IP: Immunoprecipitation IHC-P: Immunohistochemistry (Paraffin) IF-IC: Immunofluorescence (Immunocytochemistry) FC-FP: Flow Cytometry (Fixed/Permeabilized) ChIP: Chromatin IP ChIP-seq: Chromatin IP-seq C&R: CUT&RUN C&T: CUT&Tag

Cross-Reactivity Key

H: Human

Trademarks and Patents

Cell Signaling Technology is a trademark of Cell Signaling Technology, Inc.

Alexa Fluor is a registered trademark of Life Technologies Corporation.

All other trademarks are the property of their respective owners. Visit cellsignal.com/trademarks for more information.

Limited Uses

Except as otherwise expressly agreed in a writing signed by a legally authorized representative of CST, the following terms apply to Products provided by CST, its affiliates or its distributors. Any Customer's terms and conditions that are in addition to, or different from, those contained herein, unless separately accepted in writing by a legally authorized representative of CST, are rejected and are of no force or effect.

Products are labeled with For Research Use Only or a similar labeling statement and have not been approved, cleared, or licensed by the FDA or other regulatory foreign or domestic entity, for any purpose. Customer shall not use any Product for any diagnostic or therapeutic purpose, or otherwise in any manner that conflicts with its labeling statement. Products sold or licensed by CST are provided for Customer as the end-user and solely for research and development uses. Any use of Product for diagnostic, prophylactic or therapeutic purposes, or any purchase of Product for resale (alone or as a component) or other commercial purpose, requires a separate license from CST. Customer shall (a) not sell, license, loan, donate or otherwise transfer or make available any Product to any third party, whether alone or in combination with other materials, or use the Products to manufacture any commercial products, (b) not copy, modify, reverse engineer, decompile, disassemble or otherwise attempt to discover the underlying structure or technology of the Products, or use the Products for the purpose of developing any products or services that would compete with CST products or services, (c) not alter or remove from the Products any trademarks, trade names, logos, patent or copyright notices or markings, (d) use the Products solely in accordance with CST Product Terms of Sale and any applicable documentation, and (e) comply with any license, terms of service or similar agreement with respect to any third party products or services used by Customer in connection with the Products.

Orders: 877-616-CELL (2355) [email protected] Support: 877-678-TECH (8324) [email protected] Web: cellsignal.com
For Research Use Only. Not for Use in Diagnostic Procedures.

Revision 13

Cell Signaling Technology Logo
Western blot analysis of extracts from NK-92 and K-562 cells using T-bet/TBX21 (D6N8B) XP® Rabbit mAb (upper) and β-Actin (D6A8) Rabbit mAb #8457 (lower).
Western Blotting Image 1: T-bet/TBX21 (D6N8B) Rabbit Monoclonal Antibody
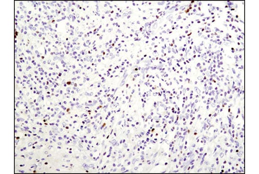
Immunohistochemical analysis of paraffin-embedded human breast carcinoma using T-bet/TBX21 (D6N8B) XP® Rabbit mAb.
Immunohistochemistry Image 1: T-bet/TBX21 (D6N8B) Rabbit Monoclonal Antibody
Immunohistochemical analysis of paraffin-embedded MJ [G11] cell pellet (left, positive) or K-562 cell pellet (right, negative) using T-bet/TBX21 (D6N8B) XP® Rabbit mAb.
Immunohistochemistry Image 2: T-bet/TBX21 (D6N8B) Rabbit Monoclonal Antibody
Orders: 877-616-CELL (2355) [email protected] Support: 877-678-TECH (8324) [email protected] Web: cellsignal.com
For Research Use Only. Not for Use in Diagnostic Procedures.

Revision 13

Cell Signaling Technology Logo
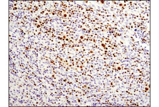
Immunohistochemical analysis of paraffin-embedded Non-Hodgkin B-cell lymphoma using T-bet/TBX21 (D6N8B) XP® Rabbit mAb.
Immunohistochemistry Image 3: T-bet/TBX21 (D6N8B) Rabbit Monoclonal Antibody
Immunohistochemical analysis of paraffin-embedded human tonsil using T-bet/TBX21 (D6N8B) XP® Rabbit mAb in the presence of control peptide (left) or antigen-specific peptide (right).
Immunohistochemistry Image 4: T-bet/TBX21 (D6N8B) Rabbit Monoclonal Antibody
Immunofluorescent analysis of NK-92 (positive, left) and K-562 (negative, right) cells using T-bet/TBX21 XP® (D6N8B) Rabbit mAb (green). Blue pseudocolor = DRAQ5® #4084 (fluorescent DNA dye).
Immunofluorescence Image 1: T-bet/TBX21 (D6N8B) Rabbit Monoclonal Antibody
Orders: 877-616-CELL (2355) [email protected] Support: 877-678-TECH (8324) [email protected] Web: cellsignal.com
For Research Use Only. Not for Use in Diagnostic Procedures.

Revision 13

Cell Signaling Technology Logo
Flow cytometric analysis of human PBMCs using T-bet/TBX21 (D6N8B) XP® Rabbit mAb co-stained with either CD56, CD3 or CD19. CD56+ NK cells and a subset of CD3+ T cells are both distinctly positive for T-bet/TBX21 whereas CD19+ B cells are negative. Anti-rabbit IgG (H+L), F(ab')2 Fragment (Alexa Fluor® 647 Conjugate) #4414 was used as a secondary antibody for the T-Bet/TBX21 primary.
Flow Cytometry Image 1: T-bet/TBX21 (D6N8B) Rabbit Monoclonal Antibody
Chromatin immunoprecipitations were performed with cross-linked chromatin from NK-92 cells and T-bet/TBX21 (D6N8B) XP® Rabbit mAb, using SimpleChIP® Plus Enzymatic Chromatin IP Kit (Magnetic Beads) #9005. DNA Libraries were prepared using SimpleChIP® ChIP-seq DNA Library Prep Kit for Illumina® #56795. The figure shows binding across CCL4, a known target gene of T-bet/TBX21 (see additional figure containing ChIP-qPCR data).
Chromatin Immunoprecipitation Image 1: T-bet/TBX21 (D6N8B) Rabbit Monoclonal Antibody
Chromatin immunoprecipitations were performed with cross-linked chromatin from 4 x 106 NK-92 cells and T-bet/TBX21 (D6N8B) XP® Rabbit mAb, using SimpleChIP® Plus Enzymatic Chromatin IP Kit (Magnetic Beads) #9005. DNA Libraries were prepared using SimpleChIP® ChIP-seq DNA Library Prep Kit for Illumina® #56795. The figure shows binding across chromosome 17 (upper), including CCL4 (lower), a known target gene of T-bet/TBX21 (see additional figure containing ChIP-qPCR data).
Chromatin Immunoprecipitation Image 2: T-bet/TBX21 (D6N8B) Rabbit Monoclonal Antibody
Orders: 877-616-CELL (2355) [email protected] Support: 877-678-TECH (8324) [email protected] Web: cellsignal.com
For Research Use Only. Not for Use in Diagnostic Procedures.

Revision 13

Cell Signaling Technology Logo
Chromatin immunoprecipitations were performed with cross-linked chromatin from NK-92 cells and either T-bet/TBX21 (D6N8B) XP® Rabbit mAb or Normal Rabbit IgG #2729 using SimpleChIP® Enzymatic Chromatin IP Kit (Magnetic Beads) #9003. The enriched DNA was quantified by real-time PCR using human CCL4 promoter primers, SimpleChIP® Human IFN-γ Promoter Primers #13051, and SimpleChIP® Human α Satellite Repeat Primers #4486. The amount of immunoprecipitated DNA in each sample is represented as signal relative to the total amount of input chromatin, which is equivalent to one.
Chromatin Immunoprecipitation Image 3: T-bet/TBX21 (D6N8B) Rabbit Monoclonal Antibody
CUT&RUN was performed with NK-92 cells and T-bet/TBX21 (D6N8B) XP® Rabbit mAb, using CUT&RUN Assay Kit #86652. DNA library was prepared using DNA Library Prep Kit for Illumina (ChIP-seq, CUT&RUN) #56795. The figure shows binding across CKS1B gene, a known target gene of T-bet (see additional figure containing CUT&RUN-qPCR data).
CUT & RUN Image 1: T-bet/TBX21 (D6N8B) Rabbit Monoclonal Antibody
CUT&RUN was performed with NK-92 cells and T-bet/TBX21 (D6N8B) XP® Rabbit mAb, using CUT&RUN Assay Kit #86652. DNA Libraries were prepared using DNA Library Prep Kit for Illumina (ChIP-seq, CUT&RUN) #56795. The figures show binding across chromosome 1 (upper), including CKS1B gene (lower), a known target gene of T-bet (see additional figure containing CUT&RUN-qPCR data).
CUT & RUN Image 2: T-bet/TBX21 (D6N8B) Rabbit Monoclonal Antibody
Orders: 877-616-CELL (2355) [email protected] Support: 877-678-TECH (8324) [email protected] Web: cellsignal.com
For Research Use Only. Not for Use in Diagnostic Procedures.

Revision 13

Cell Signaling Technology Logo
CUT&RUN was performed with NK-92 cells and T-bet/TBX21 (D6N8B) XP® Rabbit mAb or Rabbit (DA1E) mAb IgG XP® Isotype Control (CUT&RUN) #66362, using CUT&RUN Assay Kit #86652. The enriched DNA was quantified by real-time PCR using human GTPbP8 intron 1 primers, human CKS1B exon 1 primers, and human KC6 upstream primers. The amount of immunoprecipitated DNA in each sample is represented as signal relative to the total amount of input chromatin, which is equivalent to one.
CUT & RUN Image 3: T-bet/TBX21 (D6N8B) Rabbit Monoclonal Antibody
CUT&Tag was performed with NK-92 cells and T-bet/TBX21 (D6N8B) XP(R) Rabbit mAb, using CUT&Tag Assay Kit #77552. DNA library was prepared using CUT&Tag Dual Index Primers and PCR Master Mix for Illumina Systems #47415. The figure shows binding across IFNG, a known target gene of T-bet/TBX21 (see additional figure containing ChIP-qPCR data).
CUT & Tag Image 1: T-bet/TBX21 (D6N8B) Rabbit Monoclonal Antibody
CUT&Tag was performed with NK-92 cells and T-bet/TBX21 (D6N8B) XP® Rabbit mAb, using CUT&Tag Assay Kit #77552. DNA library was prepared using CUT&Tag Dual Index Primers and PCR Master Mix for Illumina Systems #47415. The figures show binding across chromosome 12 (upper), including IFNG (lower), a known target gene of T-bet/TBX21 (see additional figure containing ChIP-qPCR data).
CUT & Tag Image 2: T-bet/TBX21 (D6N8B) Rabbit Monoclonal Antibody
Orders: 877-616-CELL (2355) [email protected] Support: 877-678-TECH (8324) [email protected] Web: cellsignal.com
For Research Use Only. Not for Use in Diagnostic Procedures.