Revision 4

#93005

Store at -20C

CST Logo
Orders:

877-616-CELL (2355)

[email protected]

Support:

877-678-TECH (8324)

3 Trask Lane | Danvers | Massachusetts | 01923 | USA

For Research Use Only. Not for Use in Diagnostic Procedures.

Applications:
W, IP, IF-F, IF-IC, FC-FP, FC-L

Reactivity:
M

Sensitivity:
Endogenous

MW (kDa):
20-30

Source/Isotype:
Rabbit IgG

UniProt ID:
#Q9ET35

Entrez-Gene Id:
57916

Product Usage Information

Application Dilution
Western Blotting 1:1000
Immunoprecipitation 1:100
Immunofluorescence (Frozen) 1:50 - 1:100
Immunofluorescence (Immunocytochemistry) 1:50 - 1:100
Flow Cytometry (Fixed/Permeabilized) 1:50 - 1:200
Flow Cytometry (Live) 1:50 - 1:200

Storage

Supplied in 10 mM sodium HEPES (pH 7.5), 150 mM NaCl, 100 µg/ml BSA, 50% glycerol and less than 0.02% sodium azide. Store at –20°C. Do not aliquot the antibody.

For a carrier free (BSA and azide free) version of this product see product #81309.

Specificity/Sensitivity

TACI/TNFRSF13B/CD267 (E3P6X) Rabbit Monoclonal Antibody recognizes endogenous levels of total TACI/TNFRSF13B/CD267 protein. This antibody is predicted to recognize mulitple isoforms of TACI/TNFRSF13B/CD267.

Source / Purification

Monoclonal antibody is produced by immunizing animals with recombinant protein specific to the amino terminus of mouse TACI/TNFRSF13B/CD267 protein.

Background

Transmembrane activator and calcium-modulating cyclophilin ligand interactor (TACI), also known as tumor necrosis factor receptor superfamily member 13B (TNFRSF13B) and cluster of differentiation 267 (CD267), is a single-pass type III membrane receptor that is highly expressed on the surface of mature innate-like B cells, such as marginal zone and B-1 B cells in mice, and memory B cells in humans (1-3). TACI/TNFRSF13B/CD267 is also expressed on the surface of activated T cells (4), while monocytes and dendritic cells express lower levels of TACI/TNFRSF13B/CD267 primarily intracellularly (5,6). TACI/TNFRSF13B/CD267 is the receptor for soluble ligands BAFF/TNFSF13B and APRIL/TNFSF13 (7,8). Upon ligation, TACI/TNFRSF13B/CD267 recruits tumor necrosis factor receptor–associated factor (TRAF) family members and calcium signal-modulating cyclophilin ligand (CAMLG) in order to activate NFAT, NF-κB, and AP-1 transcriptional programs (9-11). TACI/TNFRSF13B/CD267 is necessary for T cell-independent type II and type I responses (1,12), negative regulation of B cell and T follicular helper cell numbers (13,14), and promotion of class switch recombination in B cells (15). Mutations and aberrant regulation of TACI/TNFRSF13B/CD267 has been associated with cancer, autoimmune diseases, and immunodeficiency disorders (16-18). Multiple isoforms produced by alternative splicing have been identified.

Species Reactivity

Species reactivity is determined by testing in at least one approved application (e.g., western blot).

Western Blot Buffer

IMPORTANT: For western blots, incubate membrane with diluted primary antibody in 5% w/v nonfat dry milk, 1X TBS, 0.1% Tween® 20 at 4°C with gentle shaking, overnight.

Applications Key

W: Western Blotting IP: Immunoprecipitation IF-F: Immunofluorescence (Frozen) IF-IC: Immunofluorescence (Immunocytochemistry) FC-FP: Flow Cytometry (Fixed/Permeabilized) FC-L: Flow Cytometry (Live)

Cross-Reactivity Key

M: Mouse

Trademarks and Patents

Cell Signaling Technology is a trademark of Cell Signaling Technology, Inc.

Alexa Fluor is a registered trademark of Life Technologies Corporation.

All other trademarks are the property of their respective owners. Visit cellsignal.com/trademarks for more information.

Limited Uses

Except as otherwise expressly agreed in a writing signed by a legally authorized representative of CST, the following terms apply to Products provided by CST, its affiliates or its distributors. Any Customer's terms and conditions that are in addition to, or different from, those contained herein, unless separately accepted in writing by a legally authorized representative of CST, are rejected and are of no force or effect.

Products are labeled with For Research Use Only or a similar labeling statement and have not been approved, cleared, or licensed by the FDA or other regulatory foreign or domestic entity, for any purpose. Customer shall not use any Product for any diagnostic or therapeutic purpose, or otherwise in any manner that conflicts with its labeling statement. Products sold or licensed by CST are provided for Customer as the end-user and solely for research and development uses. Any use of Product for diagnostic, prophylactic or therapeutic purposes, or any purchase of Product for resale (alone or as a component) or other commercial purpose, requires a separate license from CST. Customer shall (a) not sell, license, loan, donate or otherwise transfer or make available any Product to any third party, whether alone or in combination with other materials, or use the Products to manufacture any commercial products, (b) not copy, modify, reverse engineer, decompile, disassemble or otherwise attempt to discover the underlying structure or technology of the Products, or use the Products for the purpose of developing any products or services that would compete with CST products or services, (c) not alter or remove from the Products any trademarks, trade names, logos, patent or copyright notices or markings, (d) use the Products solely in accordance with CST Product Terms of Sale and any applicable documentation, and (e) comply with any license, terms of service or similar agreement with respect to any third party products or services used by Customer in connection with the Products.

Orders: 877-616-CELL (2355) [email protected] Support: 877-678-TECH (8324) [email protected] Web: cellsignal.com
For Research Use Only. Not for Use in Diagnostic Procedures.

Revision 4

Cell Signaling Technology Logo
Western blot analysis of extracts from various mouse cell lines using TACI/TNFRSF13B/CD267 (E3P6X) Rabbit mAb (upper) and β-actin (D6A8) Rabbit mAb #8457 (lower).
Western Blotting Image 1: TACI/TNFRSF13B/CD267 (E3P6X) Rabbit Monoclonal Antibody
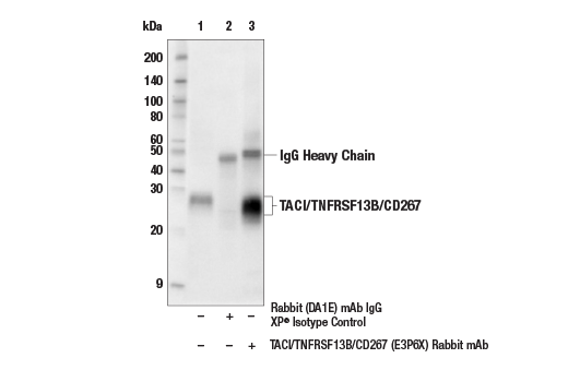
Immunoprecipitation of TACI/TNFRSF13B/CD267 protein from J558 cell extracts. Lane 1 is 10% input, lane 2 is Rabbit (DA1E) mAb IgG XP® Isotype Control #3900, and lane 3 is TACI/TNFRSF13B/CD267 (E3P6X) Rabbit mAb. Western blot analysis was performed using TACI/TNFRSF13B/CD267 (E3P6X) Rabbit mAb. Mouse Anti-rabbit IgG (Conformation Specific) (L27A9) mAb (HRP Conjugate) #5127 was used as the secondary antibody.
Immunoprecipitation Image 1: TACI/TNFRSF13B/CD267 (E3P6X) Rabbit Monoclonal Antibody
Confocal immunofluorescent analysis of mouse spleen using TACI/TNFRSF13B/CD267 (E3P6X) Rabbit mAb (green pseudocolor) and CD45R/B220 (RA3-6B2) Rat mAb (FITC Conjugate) #34399 (red pseudocolor). Sections were mounted in ProLong® Gold Antifade Reagent with DAPI #8961 (blue).
Immunofluorescence Image 1: TACI/TNFRSF13B/CD267 (E3P6X) Rabbit Monoclonal Antibody
Orders: 877-616-CELL (2355) [email protected] Support: 877-678-TECH (8324) [email protected] Web: cellsignal.com
For Research Use Only. Not for Use in Diagnostic Procedures.

Revision 4

Cell Signaling Technology Logo
Confocal immunofluorescent analysis of A20 cells (left, positive) and Neuro-2a cells (right, negative) using TACI/TNFRSF13B/CD267 (E3P6X) Rabbit mAb (green). Samples were mounted in ProLong® Gold Antifade Reagent with DAPI #8961 (blue).
Immunofluorescence Image 1: TACI/TNFRSF13B/CD267 (E3P6X) Rabbit Monoclonal Antibody
Flow cytometric analysis of live mouse splenocytes using TACI/TNFRSF13B/CD267 (E3P6X) Rabbit mAb (right) or concentration-matched Rabbit (DA1E) mAb IgG XP® Isotype Control #3900 (left), co-stained with CD19 (1D3) Rat mAb (violetFluor™ 450 Conjugate) #54508. Anti-rabbit IgG (H+L), F(ab')2 Fragment (Alexa Fluor® 488 Conjugate) #4412 was used as a secondary antibody.
Flow Cytometry Image 1: TACI/TNFRSF13B/CD267 (E3P6X) Rabbit Monoclonal Antibody
Flow cytometric analysis of BA/F3 cells (blue, negative) and A20 cells (green, positive) using TACI/TNFRSF13B/CD267 (E3P6X) Rabbit mAb (solid lines) or concentration-matched Rabbit (DA1E) mAb IgG XP® Isotype Control #3900 (dashed lines). Anti-rabbit IgG (H+L), F(ab')2 Fragment (Alexa Fluor® 488 Conjugate) #4412 was used as a secondary antibody.
Flow Cytometry Image 2: TACI/TNFRSF13B/CD267 (E3P6X) Rabbit Monoclonal Antibody
Orders: 877-616-CELL (2355) [email protected] Support: 877-678-TECH (8324) [email protected] Web: cellsignal.com
For Research Use Only. Not for Use in Diagnostic Procedures.