Revision 1

#90540

Store at -20C

CST Logo
Orders:

877-616-CELL (2355)

[email protected]

Support:

877-678-TECH (8324)

3 Trask Lane | Danvers | Massachusetts | 01923 | USA

For Research Use Only. Not for Use in Diagnostic Procedures.

Applications:
W, IP

Reactivity:
H

Sensitivity:
Endogenous

MW (kDa):
45-65

Source/Isotype:
Rabbit IgG

UniProt ID:
#P09758

Entrez-Gene Id:
4070

Product Usage Information

Application Dilution
Western Blotting 1:1000
Immunoprecipitation 1:50

Storage

Supplied in 10 mM sodium HEPES (pH 7.5), 150 mM NaCl, 100 µg/ml BSA, 50% glycerol and less than 0.02% sodium azide. Store at –20°C. Do not aliquot the antibody.

Specificity/Sensitivity

TACSTD2/TROP2 (D1W5W) Rabbit Monoclonal Antibody recognizes endogenous levels of total TACSTD2/TROP2 protein.

Source / Purification

Monoclonal antibody is produced by immunizing animals with a synthetic peptide corresponding to residues surrounding Val90 of human TACSTD2/TROP2 protein.

Background

TROP2 is a transmembrane glycoprotein encoded by gene TACSTD2 (tumor-associated calcium signal transducer 2). TROP2 was first discovered as a biomarker of invasive trophoblast cells and later reported in many types of cancer cells, in various organs during development, and adult stem cells during homeostasis (1,2). TROP2 has an extracellular domain with EGF thyroglobulin type-1 repeats, a transmembrane domain, and a short cytoplasmic tail with a HIKE domain containing a PIP2 binding site and PKC phosphorylation site (Ser303) (1-4). TROP2 functions by regulating multiple signaling pathways, including the interaction of its extracellular domain with integrin beta1 to regulate FAK signaling, the association of its transmembrane domain with claudin-1 and claudin-7 for tight junction formation, and the regulation of intracellular calcium release by its PIP2 binding and activation of the ERK/MAPK pathway (1,2,5-8). All these functions are important for its role in tumor proliferation, metastasis, and invasion (1,2). PKC can phosphorylate TROP2 at Ser303; the phosphorylation changes the cytoplasmic tail conformation and further promotes its signaling (9). TROP2 can be activated through intramembrane proteolysis first by TACE, followed by further cleavage by Presenilin 1 and Presenilin 2. The proteolysis process is required for its role in tumor cell proliferation (10,11).

Species Reactivity

Species reactivity is determined by testing in at least one approved application (e.g., western blot).

Western Blot Buffer

IMPORTANT: For western blots, incubate membrane with diluted primary antibody in 5% w/v BSA, 1X TBS, 0.1% Tween® 20 at 4°C with gentle shaking, overnight.

Applications Key

W: Western Blotting IP: Immunoprecipitation

Cross-Reactivity Key

H: Human

Trademarks and Patents

Cell Signaling Technology is a trademark of Cell Signaling Technology, Inc.

All other trademarks are the property of their respective owners. Visit cellsignal.com/trademarks for more information.

Limited Uses

Except as otherwise expressly agreed in a writing signed by a legally authorized representative of CST, the following terms apply to Products provided by CST, its affiliates or its distributors. Any Customer's terms and conditions that are in addition to, or different from, those contained herein, unless separately accepted in writing by a legally authorized representative of CST, are rejected and are of no force or effect.

Products are labeled with For Research Use Only or a similar labeling statement and have not been approved, cleared, or licensed by the FDA or other regulatory foreign or domestic entity, for any purpose. Customer shall not use any Product for any diagnostic or therapeutic purpose, or otherwise in any manner that conflicts with its labeling statement. Products sold or licensed by CST are provided for Customer as the end-user and solely for research and development uses. Any use of Product for diagnostic, prophylactic or therapeutic purposes, or any purchase of Product for resale (alone or as a component) or other commercial purpose, requires a separate license from CST. Customer shall (a) not sell, license, loan, donate or otherwise transfer or make available any Product to any third party, whether alone or in combination with other materials, or use the Products to manufacture any commercial products, (b) not copy, modify, reverse engineer, decompile, disassemble or otherwise attempt to discover the underlying structure or technology of the Products, or use the Products for the purpose of developing any products or services that would compete with CST products or services, (c) not alter or remove from the Products any trademarks, trade names, logos, patent or copyright notices or markings, (d) use the Products solely in accordance with CST Product Terms of Sale and any applicable documentation, and (e) comply with any license, terms of service or similar agreement with respect to any third party products or services used by Customer in connection with the Products.

Orders: 877-616-CELL (2355) [email protected] Support: 877-678-TECH (8324) [email protected] Web: cellsignal.com
For Research Use Only. Not for Use in Diagnostic Procedures.

Revision 1

Cell Signaling Technology Logo
Western blot analysis of extracts from various cell lines using TACSTD2/TROP2 (D1W5W) Rabbit mAb.
Western Blotting Image 1: TACSTD2/TROP2 (D1W5W) Rabbit Monoclonal Antibody
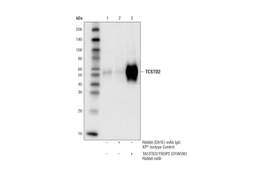
Immunoprecipitation of TACSTD2 protein from UACC-812 cell extracts. Lane 1 is 10% input, lane 2 is Rabbit (DA1E) mAb IgG XP® Isotype Control #3900, and lane 3 is TACSTD2/TROP2 (D1W5W) Rabbit mAb. Western blot analysis was performed using TA CSTD2/TROP2 (D1W5W) Rabbit mAb.
Immunoprecipitation Image 1: TACSTD2/TROP2 (D1W5W) Rabbit Monoclonal Antibody
Orders: 877-616-CELL (2355) [email protected] Support: 877-678-TECH (8324) [email protected] Web: cellsignal.com
For Research Use Only. Not for Use in Diagnostic Procedures.