Revision 5

#66850

Store at -20C

CST Logo
Orders:

877-616-CELL (2355)

[email protected]

Support:

877-678-TECH (8324)

3 Trask Lane | Danvers | Massachusetts | 01923 | USA

For Research Use Only. Not for Use in Diagnostic Procedures.

Applications:
IHC-P

Reactivity:
H

Sensitivity:
Endogenous

Source/Isotype:
Mouse IgG1

UniProt ID:
#P10636-8

Entrez-Gene Id:
4137

Product Usage Information

Application Dilution
Immunohistochemistry (Paraffin) 1:400 - 1:1600

Storage

Supplied in 10 mM sodium HEPES (pH 7.5), 150 mM NaCl, 100 µg/mL BSA, 50% glycerol, and less than 0.02% sodium azide. Store at –20°C. Do not aliquot the antibody.

For a carrier free (BSA and azide free) version of this product see product #59939.

Specificity/Sensitivity

Tau (GT-38) Mouse Monoclonal Antibody recognizes paired helical filament conformational tau protein. This antibody preferentially recognizes tau conformations related to Alzheimer's disease compared to other tauopathies.

Source / Purification

Monoclonal antibody is produced by immunizing animals with tau paired helical filaments from human Alzheimer's disease brain.

Background

Tau is a heterogeneous microtubule-associated protein that promotes and stabilizes microtubule assembly, especially in axons. Six isoforms with different amino-terminal inserts and different numbers of tandem repeats near the carboxy terminus have been identified, and tau is hyperphosphorylated at approximately 25 sites by Erk, glycogen synthase kinase-3 (GSK-3), and CDK5 (1,2). Phosphorylation decreases the ability of tau to bind to microtubules. Neurofibrillary tangles are a major hallmark of Alzheimer's disease (AD); these tangles are bundles of paired helical filaments (PHFs) composed of hyperphosphorylated tau. In particular, phosphorylation at Ser396 by GSK-3 or CDK5 destabilizes microtubules. Furthermore, research studies have shown that inclusions of tau are found in a number of other neurodegenerative diseases, collectively known as tauopathies (1,3).

Alternative splicing of exon 10 results in the expression of two groups of tau: three-repeat and four-repeat tau. Isoforms 2, 4, and 5 express three microtubule binding repeat domains (Tau 3R) while isoforms 6, 7, and 8 express four microtubule binding repeat domains (Tau 4R) (4). Expression of Tau 3R and Tau 4R in cells can be different in mild or pathological conditions. For example, Tau 3R is preferentially expressed in Pick's disease (PiD) and corticobasal degeneration (CBD), while Tau 3R and Tau 4R are equally expressed in AD (5,6). The repeat-dependent tau has a different pattern of phosphorylation in different diseases, and also has the ability and patterns of aggregation (7-9). These varying patterns of aggregation result in disease specific conformational structures, including hyperphosphorylated straight filaments (SFs) and PHFs in AD compared to SFs and twisted filaments in both PiD and CBD (10,11).

Species Reactivity

Species reactivity is determined by testing in at least one approved application (e.g., western blot).

Applications Key

IHC-P: Immunohistochemistry (Paraffin)

Cross-Reactivity Key

H: Human

Trademarks and Patents

Cell Signaling Technology is a trademark of Cell Signaling Technology, Inc.

SignalStain is a registered trademark of Cell Signaling Technology, Inc.

All other trademarks are the property of their respective owners. Visit cellsignal.com/trademarks for more information.

Limited Uses

Except as otherwise expressly agreed in a writing signed by a legally authorized representative of CST, the following terms apply to Products provided by CST, its affiliates or its distributors. Any Customer's terms and conditions that are in addition to, or different from, those contained herein, unless separately accepted in writing by a legally authorized representative of CST, are rejected and are of no force or effect.

Products are labeled with For Research Use Only or a similar labeling statement and have not been approved, cleared, or licensed by the FDA or other regulatory foreign or domestic entity, for any purpose. Customer shall not use any Product for any diagnostic or therapeutic purpose, or otherwise in any manner that conflicts with its labeling statement. Products sold or licensed by CST are provided for Customer as the end-user and solely for research and development uses. Any use of Product for diagnostic, prophylactic or therapeutic purposes, or any purchase of Product for resale (alone or as a component) or other commercial purpose, requires a separate license from CST. Customer shall (a) not sell, license, loan, donate or otherwise transfer or make available any Product to any third party, whether alone or in combination with other materials, or use the Products to manufacture any commercial products, (b) not copy, modify, reverse engineer, decompile, disassemble or otherwise attempt to discover the underlying structure or technology of the Products, or use the Products for the purpose of developing any products or services that would compete with CST products or services, (c) not alter or remove from the Products any trademarks, trade names, logos, patent or copyright notices or markings, (d) use the Products solely in accordance with CST Product Terms of Sale and any applicable documentation, and (e) comply with any license, terms of service or similar agreement with respect to any third party products or services used by Customer in connection with the Products.

Orders: 877-616-CELL (2355) [email protected] Support: 877-678-TECH (8324) [email protected] Web: cellsignal.com
For Research Use Only. Not for Use in Diagnostic Procedures.

Revision 5

Cell Signaling Technology Logo
Immunohistochemical analysis of two cases of paraffin-embedded human Alzheimer's brain using Tau (GT-38) Mouse mAb (top) or Tau (D1M9X) XP® Rabbit mAb #46687 (bottom).
Immunohistochemistry Image 1: Tau (GT-38) Mouse Monoclonal Antibody
Immunohistochemical analysis of paraffin-embedded human Alzheimer's brain (left), normal brain (middle), or small intestine (right) using Tau (GT-38) Mouse mAb (top) or Tau (D1M9X) XP® Rabbit mAb #46687 (bottom).
Immunohistochemistry Image 2: Tau (GT-38) Mouse Monoclonal Antibody
Immunohistochemical analysis of paraffin-embedded human Alzheimer's brain using Tau (GT-38) Mouse mAb (left) compared to concentration-matched Mouse (G3A1) mAb IgG1 Isotype Control #5415 (right).
Immunohistochemistry Image 3: Tau (GT-38) Mouse Monoclonal Antibody
Orders: 877-616-CELL (2355) [email protected] Support: 877-678-TECH (8324) [email protected] Web: cellsignal.com
For Research Use Only. Not for Use in Diagnostic Procedures.

Revision 5

Cell Signaling Technology Logo
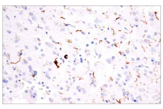
Immunohistochemical analysis of paraffin-embedded human Pick's disease brain using Tau (GT-38) Mouse mAb.
Immunohistochemistry Image 4: Tau (GT-38) Mouse Monoclonal Antibody
Immunohistochemical analysis of paraffin-embedded human Alzheimer's brain (left) and human Pick's disease brain (right) using Tau (GT-38) Mouse mAb.
Immunohistochemistry Image 5: Tau (GT-38) Mouse Monoclonal Antibody
Orders: 877-616-CELL (2355) [email protected] Support: 877-678-TECH (8324) [email protected] Web: cellsignal.com
For Research Use Only. Not for Use in Diagnostic Procedures.