Revision 3

#49661

Store at -20C

CST Logo
Orders:

877-616-CELL (2355)

[email protected]

Support:

877-678-TECH (8324)

3 Trask Lane | Danvers | Massachusetts | 01923 | USA

For Research Use Only. Not for Use in Diagnostic Procedures.

Applications:
IHC-P, IF-F

Reactivity:
H M R

Sensitivity:
Endogenous (IHC-P, IF-F), Transfected (W)

MW (kDa):
74

Source/Isotype:
Rabbit IgG

UniProt ID:
#Q16650

Entrez-Gene Id:
10716

Product Usage Information

Application Dilution
Immunohistochemistry (Paraffin) 1:250
Immunofluorescence (Frozen) 1:400

Storage

Supplied in 10 mM sodium HEPES (pH 7.5), 150 mM NaCl, 100 µg/ml BSA, 50% glycerol and less than 0.02% sodium azide. Store at –20°C. Do not aliquot the antibody.

For a carrier free (BSA and azide free) version of this product see product #42120.

Specificity/Sensitivity

TBR1 (D6C6X) Rabbit Monoclonal Antibody recognizes endogenous levels of total TBR1 protein. Low levels of nuclear staining of unknown specificity have been observed in mouse small intestine, spleen, and pancreas.

Source / Purification

Monoclonal antibody is produced by immunizing animals with a synthetic peptide corresponding to residues surrounding Pro415 of human TBR1 protein.

Background

T-box, brain, 1 (TBR1) is a transcription factor important in vertebrate embryo development. As a member of T-Box family of transcription factors, TBR1 is expressed in postmitotic glutamatergic projection neurons (1). During cortical neurogenesis, sequential expression of transcription factors Pax6, TBR2, and TBR1 regulates discrete steps in projection neuron differentiation (2). TBR1 is enriched in layer 6 of the developing cortex. In the absence of TBR1, TBR1 mutants exhibit profound defects in frontal cortex and layer 6 differentiation, suggesting that TBR1 regulates regional and laminar identity of postmitotic cortical neurons (3). Therefore, TBR1 expression can be used as a marker for postmitotic glutamatergic neurons and cortical laminar specificity.
T-box, brain, 1 (TBR1) is a transcription factor important in vertebrate embryo development. As a member of T-Box family of transcription factors, TBR1 is expressed in postmitotic glutamatergic projection neurons (1). During cortical neurogenesis, sequential expression of transcription factors Pax6, TBR2, and TBR1 regulates discrete steps in projection neuron differentiation (2). TBR1 is enriched in layer 6 of the developing cortex. In the absence of TBR1, TBR1 mutants exhibit profound defects in frontal cortex and layer 6 differentiation, suggesting that TBR1 regulates regional and laminar identity of postmitotic cortical neurons (3). Therefore, TBR1 expression can be used as a marker for postmitotic glutamatergic neurons and cortical laminar specificity.

Species Reactivity

Species reactivity is determined by testing in at least one approved application (e.g., western blot).

Applications Key

IHC-P: Immunohistochemistry (Paraffin) IF-F: Immunofluorescence (Frozen)

Cross-Reactivity Key

H: Human M: Mouse R: Rat

Trademarks and Patents

Cell Signaling Technology is a trademark of Cell Signaling Technology, Inc.

Alexa Fluor is a registered trademark of Life Technologies Corporation.

All other trademarks are the property of their respective owners. Visit cellsignal.com/trademarks for more information.

Limited Uses

Except as otherwise expressly agreed in a writing signed by a legally authorized representative of CST, the following terms apply to Products provided by CST, its affiliates or its distributors. Any Customer's terms and conditions that are in addition to, or different from, those contained herein, unless separately accepted in writing by a legally authorized representative of CST, are rejected and are of no force or effect.

Products are labeled with For Research Use Only or a similar labeling statement and have not been approved, cleared, or licensed by the FDA or other regulatory foreign or domestic entity, for any purpose. Customer shall not use any Product for any diagnostic or therapeutic purpose, or otherwise in any manner that conflicts with its labeling statement. Products sold or licensed by CST are provided for Customer as the end-user and solely for research and development uses. Any use of Product for diagnostic, prophylactic or therapeutic purposes, or any purchase of Product for resale (alone or as a component) or other commercial purpose, requires a separate license from CST. Customer shall (a) not sell, license, loan, donate or otherwise transfer or make available any Product to any third party, whether alone or in combination with other materials, or use the Products to manufacture any commercial products, (b) not copy, modify, reverse engineer, decompile, disassemble or otherwise attempt to discover the underlying structure or technology of the Products, or use the Products for the purpose of developing any products or services that would compete with CST products or services, (c) not alter or remove from the Products any trademarks, trade names, logos, patent or copyright notices or markings, (d) use the Products solely in accordance with CST Product Terms of Sale and any applicable documentation, and (e) comply with any license, terms of service or similar agreement with respect to any third party products or services used by Customer in connection with the Products.

Orders: 877-616-CELL (2355) [email protected] Support: 877-678-TECH (8324) [email protected] Web: cellsignal.com
For Research Use Only. Not for Use in Diagnostic Procedures.

Revision 3

Cell Signaling Technology Logo
Immunohistochemical analysis of paraffin-embedded human brain using TBR1 (D6C6X) Rabbit mAb.
Immunohistochemistry Image 1: TBR1 (D6C6X) Rabbit Monoclonal Antibody
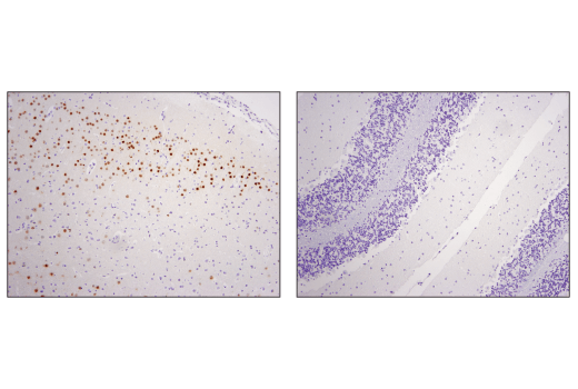
Immunohistochemical analysis of paraffin-embedded mouse brain using TBR1 (D6C6X) Rabbit mAb in the presence of control peptide (left) or antigen-specific peptide (right).
Immunohistochemistry Image 2: TBR1 (D6C6X) Rabbit Monoclonal Antibody
Immunohistochemical analysis of paraffin-embedded E13 mouse embryo using TBR1 (D6C6X) Rabbit mAb.
Immunohistochemistry Image 3: TBR1 (D6C6X) Rabbit Monoclonal Antibody
Orders: 877-616-CELL (2355) [email protected] Support: 877-678-TECH (8324) [email protected] Web: cellsignal.com
For Research Use Only. Not for Use in Diagnostic Procedures.

Revision 3

Cell Signaling Technology Logo
Immunohistochemical analysis of paraffin-embedded rat brain, cortex (left) and cerebellum (right), using TBR1 (D6C6X) Rabbit mAb.
Immunohistochemistry Image 4: TBR1 (D6C6X) Rabbit Monoclonal Antibody
Confocal immunofluorescent analysis of E14.5 mouse cortex using TBR1 (D6C6X) Rabbit mAb (green) and GFAP (GA5) Mouse mAb (Alexa Fluor® 555 Conjugate) #3656 (red). Blue pseudocolor = DRAQ5® #4084 (fluorescent DNA dye).
Immunofluorescence Image 1: TBR1 (D6C6X) Rabbit Monoclonal Antibody
Orders: 877-616-CELL (2355) [email protected] Support: 877-678-TECH (8324) [email protected] Web: cellsignal.com
For Research Use Only. Not for Use in Diagnostic Procedures.