Revision 11

#85942

Store at -20C

CST Logo
Orders:

877-616-CELL (2355)

[email protected]

Support:

877-678-TECH (8324)

3 Trask Lane | Danvers | Massachusetts | 01923 | USA

For Research Use Only. Not for Use in Diagnostic Procedures.

Applications:
W, IHC-P, IF-F, IF-IC, FC-FP

Reactivity:
H M

Sensitivity:
Endogenous

MW (kDa):
48, 50

Source/Isotype:
Rabbit IgG

UniProt ID:
#P36402-1

Entrez-Gene Id:
6932

Product Usage Information

This product is the carrier free version of product #2203. All data were generated using the same antibody clone in the standard formulation which contains BSA and glycerol.

This formulation is ideal for use with technologies requiring specialized or custom antibody labeling, including fluorophores, metals, lanthanides, and oligonucleotides. It is not recommended for ChIP, ChIP-seq, CUT&RUN or CUT&Tag assays. If you require a carrier free formulation for chromatin profiling, please contact us. Optimal dilutions/concentrations should be determined by the end user.

BSA and Azide Free antibodies are quality control tested by size exclusion chromatography (SEC) to determine antibody integrity.

Formulation

Supplied in 1X PBS (10 mM Na2HPO4, 3 mM KCl, 2 mM KH2PO4, and 140 mM NaCl (pH 7.8)). BSA and Azide Free.

For the standard formulation of this product see product #2203.

Storage

Store at -20°C. This product will freeze at -20°C so it is recommended to aliquot into single-use vials to avoid multiple freeze/thaw cycles. A slight precipitate may be present and can be dissolved by gently vortexing. This will not interfere with antibody performance.

Specificity/Sensitivity

TCF1/TCF7 (C63D9) Rabbit Monoclonal Antibody (BSA and Azide Free) detects endogenous levels of total TCF1/TCF7 protein. This antibody does not recognize the dominant negative isoforms of TCF1/TCF7 lacking the amino-terminal β-catenin binding domain and does not cross-react with LEF1. TCF1/TCF7 (C63D9) (BSA and Azide Free) non-specifically labels glomeruli of kidney and fiber-like structures in adipose tissue, skeletal muscle, lung, ovary, colon, and spleen by immunofluorescence. Non-specific nuclear signal was observed in various epithelial cells by immunohistochemistry.

Source / Purification

Monoclonal antibody is produced by immunizing animals with a synthetic peptide corresponding to a region surrounding Pro96 of human TCF1/TCF7 protein.

Background

LEF1 and TCF are members of the high mobility group (HMG) DNA-binding protein family of transcription factors that consists of the following: Lymphoid Enhancer Factor 1 (LEF1), T Cell Factor 1 (TCF1/TCF7), TCF3/TCF7L1, and TCF4/TCF7L2 (1). LEF1 and TCF1/TCF7 were originally identified as important factors that regulate early lymphoid development (2) and act downstream in Wnt signaling. LEF1 and TCF bind to Wnt response elements to provide docking sites for β-catenin, which translocates to the nucleus to promote the transcription of target genes upon activation of Wnt signaling (3). LEF1 and TCF are dynamically expressed during development and aberrant activation of the Wnt signaling pathway is involved in many types of cancers, including colon cancer (4,5).

TCF1/TCF7 has several isoforms due to alternative splicing and transcription from an alternative promoter. The isoforms generated by the alternative promoter do not contain the amino-terminal β-catenin binding domain and therefore may function in a dominant negative manner (6). TCF1/TCF7 displays dynamic expression both in the total amount and the type of isoforms expressed in T cells during development and differentiation (7).

Species Reactivity

Species reactivity is determined by testing in at least one approved application (e.g., western blot).

Applications Key

W: Western Blotting IHC-P: Immunohistochemistry (Paraffin) IF-F: Immunofluorescence (Frozen) IF-IC: Immunofluorescence (Immunocytochemistry) FC-FP: Flow Cytometry (Fixed/Permeabilized)

Cross-Reactivity Key

H: Human M: Mouse

Trademarks and Patents

Cell Signaling Technology is a trademark of Cell Signaling Technology, Inc.

U.S. Patent No. 7,429,487, foreign equivalents, and child patents deriving therefrom.

All other trademarks are the property of their respective owners. Visit cellsignal.com/trademarks for more information.

Limited Uses

Except as otherwise expressly agreed in a writing signed by a legally authorized representative of CST, the following terms apply to Products provided by CST, its affiliates or its distributors. Any Customer's terms and conditions that are in addition to, or different from, those contained herein, unless separately accepted in writing by a legally authorized representative of CST, are rejected and are of no force or effect.

Products are labeled with For Research Use Only or a similar labeling statement and have not been approved, cleared, or licensed by the FDA or other regulatory foreign or domestic entity, for any purpose. Customer shall not use any Product for any diagnostic or therapeutic purpose, or otherwise in any manner that conflicts with its labeling statement. Products sold or licensed by CST are provided for Customer as the end-user and solely for research and development uses. Any use of Product for diagnostic, prophylactic or therapeutic purposes, or any purchase of Product for resale (alone or as a component) or other commercial purpose, requires a separate license from CST. Customer shall (a) not sell, license, loan, donate or otherwise transfer or make available any Product to any third party, whether alone or in combination with other materials, or use the Products to manufacture any commercial products, (b) not copy, modify, reverse engineer, decompile, disassemble or otherwise attempt to discover the underlying structure or technology of the Products, or use the Products for the purpose of developing any products or services that would compete with CST products or services, (c) not alter or remove from the Products any trademarks, trade names, logos, patent or copyright notices or markings, (d) use the Products solely in accordance with CST Product Terms of Sale and any applicable documentation, and (e) comply with any license, terms of service or similar agreement with respect to any third party products or services used by Customer in connection with the Products.

Orders: 877-616-CELL (2355) [email protected] Support: 877-678-TECH (8324) [email protected] Web: cellsignal.com
For Research Use Only. Not for Use in Diagnostic Procedures.

Revision 11

Cell Signaling Technology Logo
Western blot analysis of total cell lysates from HT29, Colo201, Jurkat and mouse thymocytes using TCF1/TCF7 (C63D9) Rabbit mAb. Data were generated using the standard formulation of this product.
Western Blotting Image 1: TCF1/TCF7 (C63D9) Rabbit Monoclonal Antibody (BSA and Azide Free)
Immunohistochemical analysis of paraffin-embedded human tonsil using TCF1/TCF7 (C63D9) Rabbit mAb. Data were generated using the standard formulation of this product.
Immunohistochemistry Image 1: TCF1/TCF7 (C63D9) Rabbit Monoclonal Antibody (BSA and Azide Free)
Orders: 877-616-CELL (2355) [email protected] Support: 877-678-TECH (8324) [email protected] Web: cellsignal.com
For Research Use Only. Not for Use in Diagnostic Procedures.

Revision 11

Cell Signaling Technology Logo
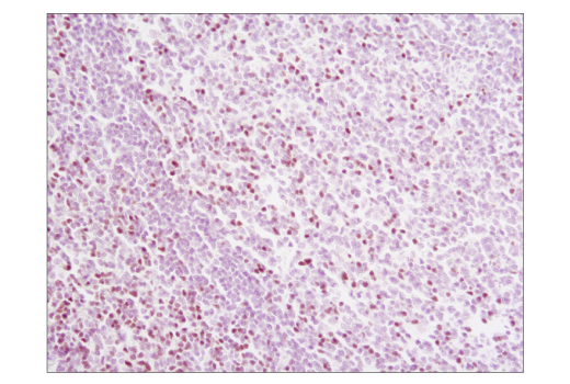
Immunohistochemical analysis of paraffin-embedded human Non-Hodgkin lymphoma using TCF1/TCF7 (C63D9) Rabbit mAb. Data were generated using the standard formulation of this product.
Immunohistochemistry Image 2: TCF1/TCF7 (C63D9) Rabbit Monoclonal Antibody (BSA and Azide Free)
Immunohistochemical analysis of paraffin-embedded human lung carcinoma using TCF1/TCF7 (C63D9) Rabbit mAb in the presence of control peptide (left) or TCF1/TCF7 blocking peptide #1007 (right). Data were generated using the standard formulation of this product.
Immunohistochemistry Image 3: TCF1/TCF7 (C63D9) Rabbit Monoclonal Antibody (BSA and Azide Free)
Orders: 877-616-CELL (2355) [email protected] Support: 877-678-TECH (8324) [email protected] Web: cellsignal.com
For Research Use Only. Not for Use in Diagnostic Procedures.

Revision 11

Cell Signaling Technology Logo
Confocal immunofluorescent analysis of fixed frozen lymph node from wild-type (left) Tcf7GFP flox (right; Jax Strain 030909) mice using TCF1/TCF7 (C63D9) Rabbit mAb #2203 (red) and CD4 (RM4-5) Rat mAb (redFluor™ 710 Conjugate) #75508 (blue). EGFP insertion around Tcf7 exon 2 interferes with expression of long isoforms, but not short isoforms. Data were generated using the standard formulation of this product.
Immunofluorescence Image 1: TCF1/TCF7 (C63D9) Rabbit Monoclonal Antibody (BSA and Azide Free)
Confocal immunofluorescent analysis of DLD-1 cells using TCF1/TCF7 (C63D9) Rabbit mAb (green) and Alexa Fluor® 555 phalloidin (red). Data were generated using the standard formulation of this product.
Immunofluorescence Image 1: TCF1/TCF7 (C63D9) Rabbit Monoclonal Antibody (BSA and Azide Free)
Flow cytometric analysis of A20 cells (blue) and EL-4 cells (green) using TCF1/TCF7 (C63D9) Rabbit mAb (solid lines) or a concentration-matched Rabbit (DA1E) mAb IgG XP® Isotype Control #3900 (dashed lines). Anti-rabbit IgG (H+L), F(ab')2 Fragment (Alexa Fluor® 488 Conjugate) #4412 was used as a secondary antibody. Data were generated using the standard formulation of this product.
Flow Cytometry Image 1: TCF1/TCF7 (C63D9) Rabbit Monoclonal Antibody (BSA and Azide Free)
Orders: 877-616-CELL (2355) [email protected] Support: 877-678-TECH (8324) [email protected] Web: cellsignal.com
For Research Use Only. Not for Use in Diagnostic Procedures.