Revision 4

#46008

Store at -20C

CST Logo
Orders:

877-616-CELL (2355)

[email protected]

Support:

877-678-TECH (8324)

3 Trask Lane | Danvers | Massachusetts | 01923 | USA

For Research Use Only. Not for Use in Diagnostic Procedures.

Applications:
W, W-S, IP, IHC-P, IF-F, IF-IC, FC-FP

Reactivity:
H M R

Sensitivity:
Endogenous

MW (kDa):
62-82

Source/Isotype:
Rabbit IgG

UniProt ID:
#P15884

Entrez-Gene Id:
6925

Product Usage Information

Application Dilution
Western Blotting 1:1000
Simple Western™ 1:50 - 1:250
Immunoprecipitation 1:50
Immunohistochemistry (Paraffin) 1:1500 - 1:6000
Immunofluorescence (Frozen) 1:50 - 1:200
Immunofluorescence (Immunocytochemistry) 1:1600
Flow Cytometry (Fixed/Permeabilized) 1:3200 - 1:6400

Storage

Supplied in 10 mM sodium HEPES (pH 7.5), 150 mM NaCl, 100 µg/mL BSA, 50% glycerol, and less than 0.02% sodium azide. Store at –20°C. Do not aliquot the antibody.

Specificity/Sensitivity

TCF4/ITF2 (E3X2Y) Rabbit Monoclonal Antibody recognizes endogenous levels of total TCF4/ITF2 protein. This antibody is not recommended for immunohistochemical analysis of human tissues. This antibody is predicted to detect all 16 isoforms of human TCF4/ITF2 protein produced by alternative splicing described on Uniprot (P15884-1 through P15884-16).

Species predicted to react based on 100% sequence homology

Bovine, Dog, Pig, Horse, Rabbit

Source / Purification

Monoclonal antibody is produced by immunizing animals with a synthetic peptide corresponding to residues surrounding Pro653 of human TCF4/ITF2 protein.

Background

Transcription factor 4 (TCF4), also known as immunoglobulin transcription factor 2 (ITF2), is a member of the basic helix-loop-helix family and interacts with Ephrussi-box (E-box) binding sites (1,2). TCF4 is broadly expressed, and due to alternative splicing, transcripts can give rise to over a dozen different isoforms (3). It plays a key role in neuronal development and has been implicated in a variety of developmental disorders, including Pitt-Hopkins syndrome, schizophrenia, and autism (4-9). In addition to its functions in the brain, TCF4 is essential for the development of plasmacytoid dendritic cells (10-12). Finally, in the context of cancer, TCF4 expression may be associated with divergent patient outcomes; higher TCF4 expression is associated with increased survival in non-small cell lung cancer, yet the protein has also recently been reported to confer immunotherapy resistance in melanoma (13,14).

Species Reactivity

Species reactivity is determined by testing in at least one approved application (e.g., western blot).

Western Blot Buffer

IMPORTANT: For western blots, incubate membrane with diluted primary antibody in 5% w/v BSA, 1X TBS, 0.1% Tween® 20 at 4°C with gentle shaking, overnight.

Applications Key

W: Western Blotting W-S: Simple Western™ IP: Immunoprecipitation IHC-P: Immunohistochemistry (Paraffin) IF-F: Immunofluorescence (Frozen) IF-IC: Immunofluorescence (Immunocytochemistry) FC-FP: Flow Cytometry (Fixed/Permeabilized)

Cross-Reactivity Key

H: Human M: Mouse R: Rat

Trademarks and Patents

Cell Signaling Technology is a trademark of Cell Signaling Technology, Inc.

All other trademarks are the property of their respective owners. Visit cellsignal.com/trademarks for more information.

Limited Uses

Except as otherwise expressly agreed in a writing signed by a legally authorized representative of CST, the following terms apply to Products provided by CST, its affiliates or its distributors. Any Customer's terms and conditions that are in addition to, or different from, those contained herein, unless separately accepted in writing by a legally authorized representative of CST, are rejected and are of no force or effect.

Products are labeled with For Research Use Only or a similar labeling statement and have not been approved, cleared, or licensed by the FDA or other regulatory foreign or domestic entity, for any purpose. Customer shall not use any Product for any diagnostic or therapeutic purpose, or otherwise in any manner that conflicts with its labeling statement. Products sold or licensed by CST are provided for Customer as the end-user and solely for research and development uses. Any use of Product for diagnostic, prophylactic or therapeutic purposes, or any purchase of Product for resale (alone or as a component) or other commercial purpose, requires a separate license from CST. Customer shall (a) not sell, license, loan, donate or otherwise transfer or make available any Product to any third party, whether alone or in combination with other materials, or use the Products to manufacture any commercial products, (b) not copy, modify, reverse engineer, decompile, disassemble or otherwise attempt to discover the underlying structure or technology of the Products, or use the Products for the purpose of developing any products or services that would compete with CST products or services, (c) not alter or remove from the Products any trademarks, trade names, logos, patent or copyright notices or markings, (d) use the Products solely in accordance with CST Product Terms of Sale and any applicable documentation, and (e) comply with any license, terms of service or similar agreement with respect to any third party products or services used by Customer in connection with the Products.

Orders: 877-616-CELL (2355) [email protected] Support: 877-678-TECH (8324) [email protected] Web: cellsignal.com
For Research Use Only. Not for Use in Diagnostic Procedures.

Revision 4

Cell Signaling Technology Logo
Western blot analysis of extracts from various human cell lines using TCF4/ITF2 (E3X2Y) Rabbit mAb (upper) or GAPDH (D16H11) XP® Rabbit mAb #5174 (lower). Negative expression of TCF4/ITF2 protein in Kasumi-1, A549, and JAR cells is consistent with the predicted expression pattern.
Western Blotting Image 1: TCF4/ITF2 (E3X2Y) Rabbit Monoclonal Antibody
Western blot analysis of extracts from various human, mouse, and rat cell lines and mouse and rat brain tissues using TCF4/ITF2 (E3X2Y) Rabbit mAb (upper) or GAPDH (D16H11) XP® Rabbit mAb #5174 (lower). Negative expression of TCF4/ITF2 protein in Kasumi-1 and EL4 cells is consistent with the predicted expression pattern.
Western Blotting Image 2: TCF4/ITF2 (E3X2Y) Rabbit Monoclonal Antibody
Western blot analysis of extracts from 293T cells, mock transfected (-) or transfected with a construct expressing Myc/DDK-tagged full-length human TCF4/ITF2 protein (hTCF4/ITF2-Myc/DDK; +), using TCF4/ITF2 (E3X2Y) Rabbit mAb (upper) or GAPDH (D16H11) XP® Rabbit mAb #5174 (lower).
Western Blotting Image 3: TCF4/ITF2 (E3X2Y) Rabbit Monoclonal Antibody
Orders: 877-616-CELL (2355) [email protected] Support: 877-678-TECH (8324) [email protected] Web: cellsignal.com
For Research Use Only. Not for Use in Diagnostic Procedures.

Revision 4

Cell Signaling Technology Logo
Simple Western™ analysis of lysates (1.0 mg/mL) from KMS-11 cells using TCF4/ITF2 (E3X2Y) Rabbit mAb #46008. The virtual lane view (left) shows the target band (as indicated) at 1:50 and 1:250 dilutions of primary antibody. The corresponding electropherogram view (right) plots chemiluminescence by molecular weight along the capillary at 1:50 (blue line) and 1:250 (green line) dilutions of primary antibody. This experiment was performed under reducing conditions on the Jess™ ​​​​​​​Simple Western instrument from ProteinSimple, a BioTechne brand, using the 12-230 kDa separation module.
Western Blotting Image 1: TCF4/ITF2 (E3X2Y) Rabbit Monoclonal Antibody
Immunoprecipitation of TCF4/ITF2 protein from KMS-11 cell extracts. Lane 1 is 10% input, lane 2 is Rabbit (DA1E) mAb IgG XP® Isotope Control #3900, and lane 3 is TCF4/ITF2 (E3X2Y) Rabbit mAb. Western blot analysis was performed using TCF4/ITF2 (E3X2Y) Rabbit mAb. Mouse Anti-Rabbit IgG (Light-Chain Specific) (D4W3E) mAb (HRP Conjugate) #93702 was used as a secondary antibody.
Immunoprecipitation Image 1: TCF4/ITF2 (E3X2Y) Rabbit Monoclonal Antibody
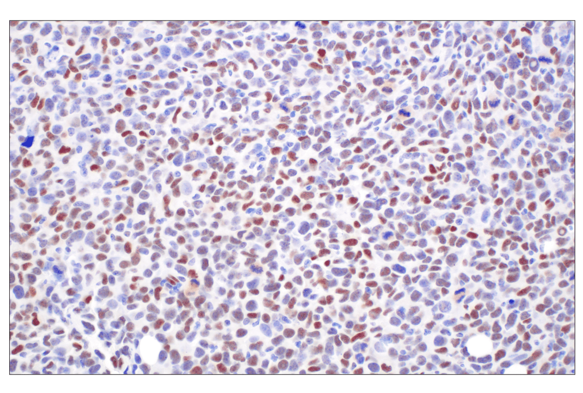
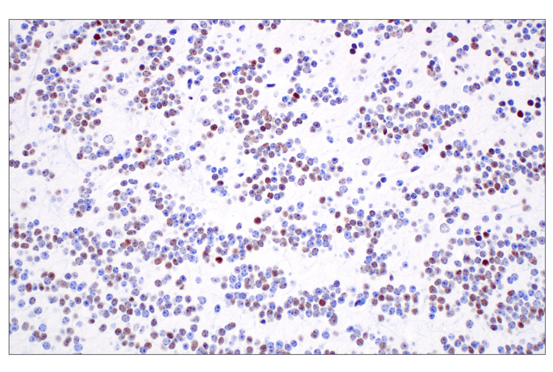
Immunohistochemical analysis of paraffin-embedded LL/2 syngeneic tumor using TCF4/ITF2 (E3X2Y) Rabbit mAb.
Immunohistochemistry Image 1: TCF4/ITF2 (E3X2Y) Rabbit Monoclonal Antibody
Orders: 877-616-CELL (2355) [email protected] Support: 877-678-TECH (8324) [email protected] Web: cellsignal.com
For Research Use Only. Not for Use in Diagnostic Procedures.

Revision 4

Cell Signaling Technology Logo

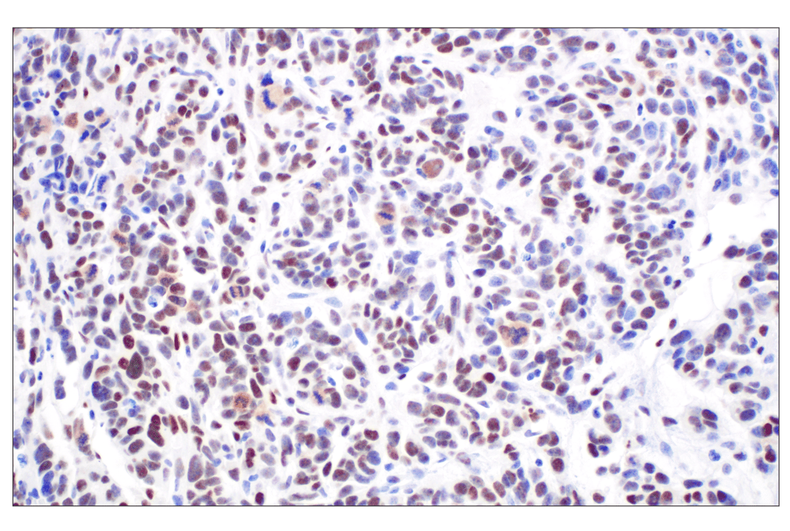
Immunohistochemical analysis of paraffin-embedded A20 syngeneic tumor using TCF4/ITF2 (E3X2Y) Rabbit mAb.

Immunohistochemistry Image 2: TCF4/ITF2 (E3X2Y) Rabbit Monoclonal Antibody

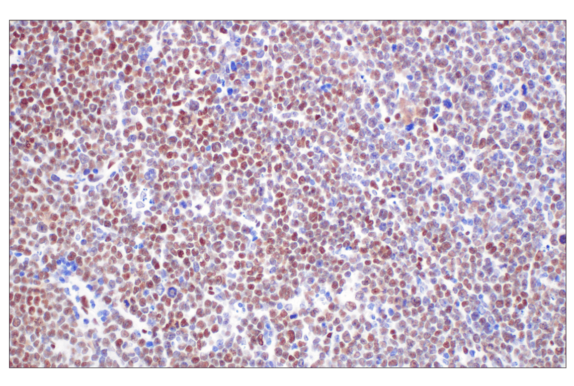
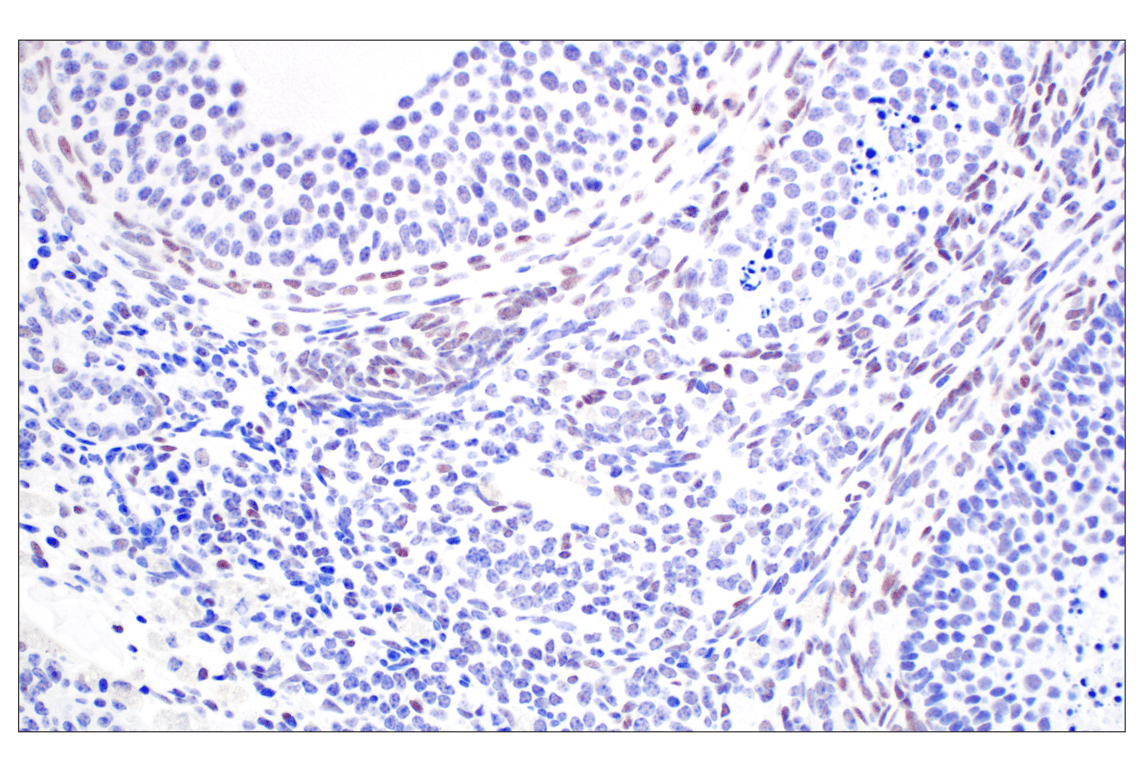
Immunohistochemical analysis of paraffin-embedded GL261 syngeneic tumor using TCF4/ITF2 (E3X2Y) Rabbit mAb.

Immunohistochemistry Image 3: TCF4/ITF2 (E3X2Y) Rabbit Monoclonal Antibody

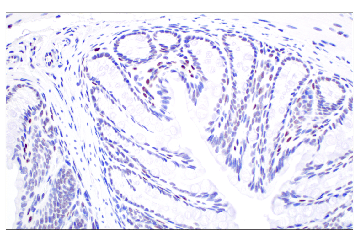
Immunohistochemical analysis of paraffin-embedded mouse colon using TCF4/ITF2 (E3X2Y) Rabbit mAb.

Immunohistochemistry Image 4: TCF4/ITF2 (E3X2Y) Rabbit Monoclonal Antibody
Orders: 877-616-CELL (2355) [email protected] Support: 877-678-TECH (8324) [email protected] Web: cellsignal.com
For Research Use Only. Not for Use in Diagnostic Procedures.

Revision 4

Cell Signaling Technology Logo
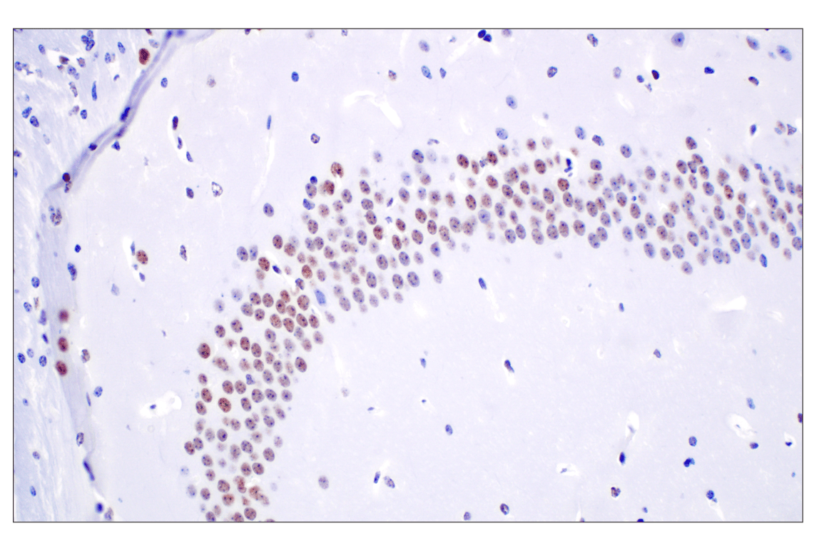
Immunohistochemical analysis of paraffin-embedded mouse hippocampus using TCF4/ITF2 (E3X2Y) Rabbit mAb.
Immunohistochemistry Image 5: TCF4/ITF2 (E3X2Y) Rabbit Monoclonal Antibody
Immunohistochemical analysis of paraffin-embedded mouse olfactory bulb using TCF4/ITF2 (E3X2Y) Rabbit mAb.
Immunohistochemistry Image 6: TCF4/ITF2 (E3X2Y) Rabbit Monoclonal Antibody
Immunohistochemical analysis of paraffin-embedded mouse ovary using TCF4/ITF2 (E3X2Y) Rabbit mAb.
Immunohistochemistry Image 7: TCF4/ITF2 (E3X2Y) Rabbit Monoclonal Antibody
Orders: 877-616-CELL (2355) [email protected] Support: 877-678-TECH (8324) [email protected] Web: cellsignal.com
For Research Use Only. Not for Use in Diagnostic Procedures.

Revision 4

Cell Signaling Technology Logo
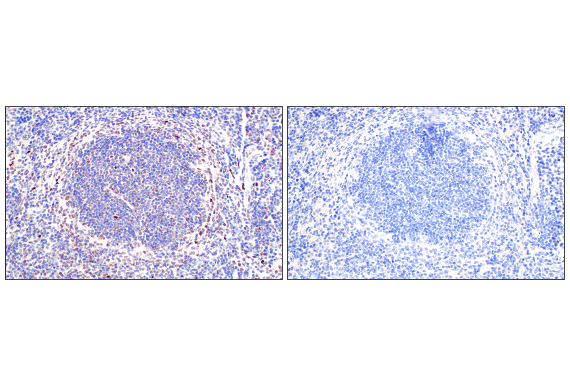
Immunohistochemical analysis of paraffin-embedded mouse spleen using TCF4/ITF2 (E3X2Y) Rabbit mAb (left) or a TCF4/ITF2 Rabbit mAb (right). These two antibodies detect unique, non-overlapping epitopes on mouse TCF4/ITF2. The similar staining patterns obtained with both antibodies help to confirm the specificity of the staining.
Immunohistochemistry Image 8: TCF4/ITF2 (E3X2Y) Rabbit Monoclonal Antibody
Immunohistochemical analysis of paraffin-embedded mouse spleen using TCF4/ITF2 (E3X2Y) Rabbit mAb (left) compared to concentration-matched Rabbit (DA1E) mAb IgG XP® Isotype Control #3900 (right).
Immunohistochemistry Image 9: TCF4/ITF2 (E3X2Y) Rabbit Monoclonal Antibody
Immunohistochemical analysis of paraffin-embedded A20 cell pellet (left, positive) or EL4 cell pellet (right, negative) using TCF4/ITF2 (E3X2Y) Rabbit mAb.
Immunohistochemistry Image 10: TCF4/ITF2 (E3X2Y) Rabbit Monoclonal Antibody
Orders: 877-616-CELL (2355) [email protected] Support: 877-678-TECH (8324) [email protected] Web: cellsignal.com
For Research Use Only. Not for Use in Diagnostic Procedures.

Revision 4

Cell Signaling Technology Logo
Confocal immunofluorescent analysis of fixed frozen mouse colon labeled with TCF4/ITF2 (E3X2Y) Rabbit mAb (green), CD45 (30-F11) Rat mAb #55307 (red), and ProLong Gold Antifade Reagent with DAPI #8961 (blue).
Immunofluorescence Image 1: TCF4/ITF2 (E3X2Y) Rabbit Monoclonal Antibody
Confocal immunofluorescent analysis of fixed frozen mouse hippocampus labeled with TCF4/ITF2 (E3X2Y) Rabbit mAb (green) and ProLong Gold Antifade Reagent with DAPI #8961 (blue).
Immunofluorescence Image 2: TCF4/ITF2 (E3X2Y) Rabbit Monoclonal Antibody
Confocal immunofluorescent analysis of fixed frozen mouse spleen labeled with TCF4/ITF2 (E3X2Y) Rabbit mAb (green), CD45 (30-F11) Rat mAb #55307 (red), and ProLong Gold Antifade Reagent with DAPI #8961 (blue).
Immunofluorescence Image 3: TCF4/ITF2 (E3X2Y) Rabbit Monoclonal Antibody
Orders: 877-616-CELL (2355) [email protected] Support: 877-678-TECH (8324) [email protected] Web: cellsignal.com
For Research Use Only. Not for Use in Diagnostic Procedures.

Revision 4

Cell Signaling Technology Logo
Confocal immunofluorescent analysis of NCI-H520 cells (left, positive) and JAR cells (right, negative) using TCF4/ITF2 (E3X2Y) Rabbit mAb (green), DyLight 554 Phalloidin #13054 (red), and DAPI #4083 (blue).
Immunofluorescence Image 1: TCF4/ITF2 (E3X2Y) Rabbit Monoclonal Antibody
Flow cytometric analysis of fixed/permeabilized Kasumi-1 cells (blue, negative) and KMS-11 cells (green, positive) using TCF4/ITF2 (E3X2Y) Rabbit mAb (solid lines) or concentration-matched Rabbit (DA1E) mAb IgG XP® Isotype Control #3900 (dashed lines). Anti-rabbit IgG F(ab')2 Fragment (Alexa Fluor® 488 Conjugate) #4412 was used as a secondary antibody.
Flow Cytometry Image 1: TCF4/ITF2 (E3X2Y) Rabbit Monoclonal Antibody
Flow cytometric analysis of fixed/permeabilized EL4 cells (blue, low-expressing) and A20 cells (green, high-expressing) using TCF4/ITF2 (E3X2Y) Rabbit mAb (solid lines) or concentration-matched Rabbit (DA1E) mAb IgG XP® Isotype Control #3900 (dashed lines). Anti-rabbit IgG F(ab')2 Fragment (Alexa Fluor® 488 Conjugate) #4412 was used as a secondary antibody.
Flow Cytometry Image 2: TCF4/ITF2 (E3X2Y) Rabbit Monoclonal Antibody
Orders: 877-616-CELL (2355) [email protected] Support: 877-678-TECH (8324) [email protected] Web: cellsignal.com
For Research Use Only. Not for Use in Diagnostic Procedures.