Revision 1

#95633

Store at -20C

CST Logo
Orders:

877-616-CELL (2355)

[email protected]

Support:

877-678-TECH (8324)

3 Trask Lane | Danvers | Massachusetts | 01923 | USA

For Research Use Only. Not for Use in Diagnostic Procedures.

Applications:
W, IHC-P, IF-IC

Reactivity:
H M Mk

Sensitivity:
Endogenous

MW (kDa):
50

Source/Isotype:
Rabbit IgG

UniProt ID:
#P28347

Entrez-Gene Id:
7003

Product Usage Information

This product is the carrier free version of product #12292. All data were generated using the same antibody clone in the standard formulation which contains BSA and glycerol.

This formulation is ideal for use with technologies requiring specialized or custom antibody labeling, including fluorophores, metals, lanthanides, and oligonucleotides. It is not recommended for ChIP, ChIP-seq, CUT&RUN or CUT&Tag assays. If you require a carrier free formulation for chromatin profiling, please contact us. Optimal dilutions/concentrations should be determined by the end user.

BSA and Azide Free antibodies are quality control tested by size exclusion chromatography (SEC) to determine antibody integrity.

Formulation

Supplied in 1X PBS (10 mM Na2HPO4, 3 mM KCl, 2 mM KH2PO4, and 140 mM NaCl (pH 7.8)). BSA and Azide Free.

For standard formulation of this product see product #12292

Storage

Store at -20°C. This product will freeze at -20°C so it is recommended to aliquot into single-use vials to avoid multiple freeze/thaw cycles. A slight precipitate may be present and can be dissolved by gently vortexing. This will not interfere with antibody performance.

Specificity/Sensitivity

TEAD1 (D9X2L) Rabbit Monoclonal Antibody (BSA and Azide Free) recognizes endogenous levels of total TEAD1 protein.

Species predicted to react based on 100% sequence homology

Rat

Source / Purification

Monoclonal antibody is produced by immunizing animals with a synthetic peptide corresponding to residues surrounding Phe193 of human TEAD1 protein.

Background

The Hippo pathway is an important evolutionarily conserved signaling pathway that controls organ size and tumor suppression by inhibiting cell proliferation and promoting apoptosis (1,2). An integral function of the Hippo pathway is to repress the activity of Yes-associated protein (YAP), a proposed oncogene whose activity is regulated by phosphorylation and subcellular localization (3,4). When the Hippo pathway is turned on, YAP is phosphorylated by LATS1/2 kinase and sequestered in the cytoplasm by 14-3-3 protein binding, rendering YAP inactive. When the Hippo pathway is off, non-phosphorylated YAP translocates to the nucleus where it associates with various transcription factors including members of the transcriptional enhancer factor (TEF) family, also known as the TEA domain (TEAD) family (TEAD1-4) (5,6). Although widely expressed in tissues, the TEAD family proteins have specific tissue and developmental distributions. YAP/TEAD complexes regulate the expression of genes involved in cell proliferation and apoptosis (5).

Species Reactivity

Species reactivity is determined by testing in at least one approved application (e.g., western blot).

Applications Key

W: Western Blotting IHC-P: Immunohistochemistry (Paraffin) IF-IC: Immunofluorescence (Immunocytochemistry)

Cross-Reactivity Key

H: Human M: Mouse Mk: Monkey

Trademarks and Patents

Cell Signaling Technology is a trademark of Cell Signaling Technology, Inc.

SignalStain is a registered trademark of Cell Signaling Technology, Inc.

All other trademarks are the property of their respective owners. Visit cellsignal.com/trademarks for more information.

Limited Uses

Except as otherwise expressly agreed in a writing signed by a legally authorized representative of CST, the following terms apply to Products provided by CST, its affiliates or its distributors. Any Customer's terms and conditions that are in addition to, or different from, those contained herein, unless separately accepted in writing by a legally authorized representative of CST, are rejected and are of no force or effect.

Products are labeled with For Research Use Only or a similar labeling statement and have not been approved, cleared, or licensed by the FDA or other regulatory foreign or domestic entity, for any purpose. Customer shall not use any Product for any diagnostic or therapeutic purpose, or otherwise in any manner that conflicts with its labeling statement. Products sold or licensed by CST are provided for Customer as the end-user and solely for research and development uses. Any use of Product for diagnostic, prophylactic or therapeutic purposes, or any purchase of Product for resale (alone or as a component) or other commercial purpose, requires a separate license from CST. Customer shall (a) not sell, license, loan, donate or otherwise transfer or make available any Product to any third party, whether alone or in combination with other materials, or use the Products to manufacture any commercial products, (b) not copy, modify, reverse engineer, decompile, disassemble or otherwise attempt to discover the underlying structure or technology of the Products, or use the Products for the purpose of developing any products or services that would compete with CST products or services, (c) not alter or remove from the Products any trademarks, trade names, logos, patent or copyright notices or markings, (d) use the Products solely in accordance with CST Product Terms of Sale and any applicable documentation, and (e) comply with any license, terms of service or similar agreement with respect to any third party products or services used by Customer in connection with the Products.

Orders: 877-616-CELL (2355) [email protected] Support: 877-678-TECH (8324) [email protected] Web: cellsignal.com
For Research Use Only. Not for Use in Diagnostic Procedures.

Revision 1

Cell Signaling Technology Logo
Western blot analysis of extracts from various cell lines using TEAD1 (D9X2L) Rabbit mAb. Data were generated using the standard formulation of this product.
Western Blotting Image 1: TEAD1 (D9X2L) Rabbit Monoclonal Antibody (BSA and Azide Free)
Western blot analysis of extracts from COS-7 cells transfected with a construct expressing either Myc/DDK-tagged full-length human TEAD1 (hTEAD1-Myc/DDK;+), Myc/DDK-tagged full-length human TEAD2 (hTEAD2-Myc/DDK;+), Myc/DDK-tagged full-length human TEAD3 (hTEAD3-Myc/DDK;+), or Myc/DDK-tagged full-length human TEAD4 (hTEAD4-Myc/DDK;+), using TEAD1 (D9X2L) Rabbit mAb #12292 (A), TEAD2 Antibody #8870 (B), TEAD3 Antibody (C), or Pan-TEAD (D3F7L) Rabbit mAb #13295 (D). Data were generated using the standard formulation of this product.
Western Blotting Image 2: TEAD1 (D9X2L) Rabbit Monoclonal Antibody (BSA and Azide Free)
Immunohistochemical analysis of paraffin-embedded OVCAR3 cell pellet (left, high-expressing) or MDA-MB-453 cell pellet (right, low-expressing) using TEAD1 (D9X2L) Rabbit mAb. Data were generated using the standard formulation of this product.
Immunohistochemistry Image 1: TEAD1 (D9X2L) Rabbit Monoclonal Antibody (BSA and Azide Free)
Orders: 877-616-CELL (2355) [email protected] Support: 877-678-TECH (8324) [email protected] Web: cellsignal.com
For Research Use Only. Not for Use in Diagnostic Procedures.

Revision 1

Cell Signaling Technology Logo
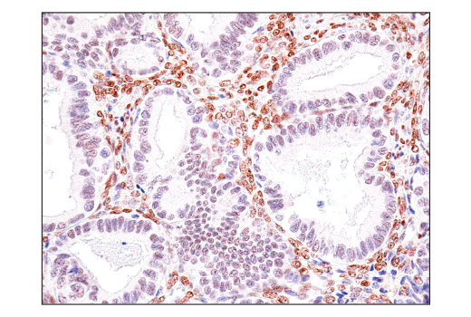
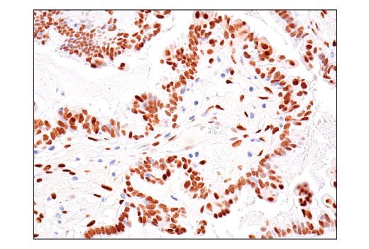
Immunohistochemical analysis of paraffin-embedded human endometrioid adenocarcinoma using TEAD1 (D9X2L) Rabbit mAb. Data were generated using the standard formulation of this product.
Immunohistochemistry Image 2: TEAD1 (D9X2L) Rabbit Monoclonal Antibody (BSA and Azide Free)
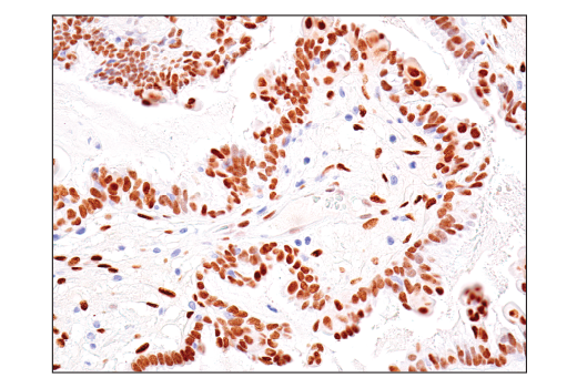
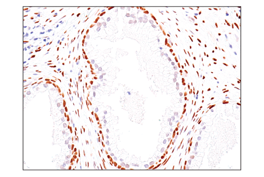
Immunohistochemical analysis of paraffin-embedded human esophageal adenocarcinoma using TEAD1 (D9X2L) Rabbit mAb. Data were generated using the standard formulation of this product.
Immunohistochemistry Image 3: TEAD1 (D9X2L) Rabbit Monoclonal Antibody (BSA and Azide Free)
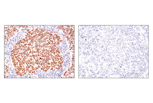
Immunohistochemical analysis of paraffin-embedded human neuroendocrine lung carcinoma using TEAD1 (D9X2L) Rabbit mAb (left) compared to concentration-matched Rabbit (DA1E) mAb IgG XP® Isotype Control #3900 (right). Data were generated using the standard formulation of this product.
Immunohistochemistry Image 4: TEAD1 (D9X2L) Rabbit Monoclonal Antibody (BSA and Azide Free)
Orders: 877-616-CELL (2355) [email protected] Support: 877-678-TECH (8324) [email protected] Web: cellsignal.com
For Research Use Only. Not for Use in Diagnostic Procedures.

Revision 1

Cell Signaling Technology Logo
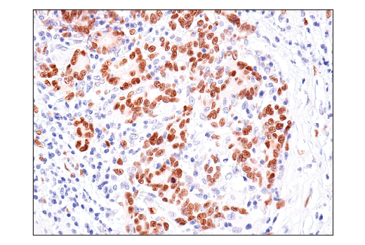
Immunohistochemical analysis of paraffin-embedded human ovarian serous carcinoma using TEAD1 (D9X2L) Rabbit mAb. Data were generated using the standard formulation of this product.
Immunohistochemistry Image 5: TEAD1 (D9X2L) Rabbit Monoclonal Antibody (BSA and Azide Free)
Immunohistochemical analysis of paraffin-embedded human prostate carcinoma using TEAD1 (D9X2L) Rabbit mAb. Data were generated using the standard formulation of this product.
Immunohistochemistry Image 6: TEAD1 (D9X2L) Rabbit Monoclonal Antibody (BSA and Azide Free)
Immunohistochemical analysis of paraffin-embedded mouse spleen using TEAD1 (D9X2L) Rabbit mAb. Data were generated using the standard formulation of this product.
Immunohistochemistry Image 7: TEAD1 (D9X2L) Rabbit Monoclonal Antibody (BSA and Azide Free)
Orders: 877-616-CELL (2355) [email protected] Support: 877-678-TECH (8324) [email protected] Web: cellsignal.com
For Research Use Only. Not for Use in Diagnostic Procedures.

Revision 1

Cell Signaling Technology Logo
Immunohistochemical analysis of paraffin-embedded mouse testis using TEAD1 (D9X2L) Rabbit mAb. Data were generated using the standard formulation of this product.
Immunohistochemistry Image 8: TEAD1 (D9X2L) Rabbit Monoclonal Antibody (BSA and Azide Free)
Confocal immunofluorescent analysis of NIH:OVCAR-3 cells (left, positive) and MDA-MB-453 cells (right, negative) using TEAD1 (D9X2L) Rabbit mAb #12292 (green) and Cytochrome c (6H2.B4) Mouse mAb #12963 (blue). Actin filaments were labeled with DyLight™ 554 Phalloidin #13054 (red). Samples were mounted in ProLong® Gold Antifade Reagent #9071. Data were generated using the standard formulation of this product.
Immunofluorescence Image 1: TEAD1 (D9X2L) Rabbit Monoclonal Antibody (BSA and Azide Free)
Orders: 877-616-CELL (2355) [email protected] Support: 877-678-TECH (8324) [email protected] Web: cellsignal.com
For Research Use Only. Not for Use in Diagnostic Procedures.