Revision 4

#93029

Store at -20C

CST Logo
Orders:

877-616-CELL (2355)

[email protected]

Support:

877-678-TECH (8324)

3 Trask Lane | Danvers | Massachusetts | 01923 | USA

For Research Use Only. Not for Use in Diagnostic Procedures.

Applications:
W, IHC-P

Reactivity:
H

Sensitivity:
Endogenous

MW (kDa):
200, 240

Source/Isotype:
Rabbit IgG

UniProt ID:
#P24821

Entrez-Gene Id:
3371

Product Usage Information

Application Dilution
Western Blotting 1:1000
Immunohistochemistry (Paraffin) 1:200 - 1:800

Storage

Supplied in 10 mM sodium HEPES (pH 7.5), 150 mM NaCl, 100 µg/mL BSA, 50% glycerol, and less than 0.02% sodium azide. Store at –20°C. Do not aliquot the antibody.

For a carrier free (BSA and azide free) version of this product see product #24151.

Specificity/Sensitivity

Tenascin C (E6N4L) Rabbit Monoclonal Antibody recognizes endogenous levels of total Tenascin C protein.

Source / Purification

Monoclonal antibody is produced by immunizing animals with recombinant protein specific to the amino terminus of human Tenascin C protein.

Background

Tenascin C is a large hexameric extracellular matrix glycoprotein that exhibits de-adhesive effects on cell-matrix interaction, enhancing cell proliferation and motility in most cell types. It is highly expressed in remodeling tissues during embryonic development and under pathological conditions in adults, and research studies have shown markedly increased expression in cancerous tissues (1,2). Tenascin C has been implicated in a variety of cellular processes relevant to atherosclerosis, including cell proliferation, migration, and apoptosis. Expression of Tenascin C is tightly controlled in adults and is upregulated in tissues undergoing wound healing (3). In development, the expression of Tenascin C is known to be associated with epithelial-mesenchymal transition (EMT) events, including gastrulation and formation of the neural crest, endocardial cushion, and secondary palate (1). Investigators have shown that Tenascin C is a key determinant of the tumor stroma and is involved in the initiation of tumorigenesis and progression to metastasis (2). Immature and mature astrocytes, radial glial cells, Schwann cells, and a subset of neurons express Tenascin C. Upon CNS trauma or exposure of neurons to excitotoxic agents, Tenascin C expression is upregulated by glial cells. Research studies have shown that Tenascin C is involved in guidance of migrating axons and neurons, synaptic plasticity, and neuronal regeneration, promoting spinal cord regeneration after injury (4).

Species Reactivity

Species reactivity is determined by testing in at least one approved application (e.g., western blot).

Western Blot Buffer

IMPORTANT: For western blots, incubate membrane with diluted primary antibody in 5% w/v BSA, 1X TBS, 0.1% Tween® 20 at 4°C with gentle shaking, overnight.

Applications Key

W: Western Blotting IHC-P: Immunohistochemistry (Paraffin)

Cross-Reactivity Key

H: Human

Trademarks and Patents

Cell Signaling Technology is a trademark of Cell Signaling Technology, Inc.

All other trademarks are the property of their respective owners. Visit cellsignal.com/trademarks for more information.

Limited Uses

Except as otherwise expressly agreed in a writing signed by a legally authorized representative of CST, the following terms apply to Products provided by CST, its affiliates or its distributors. Any Customer's terms and conditions that are in addition to, or different from, those contained herein, unless separately accepted in writing by a legally authorized representative of CST, are rejected and are of no force or effect.

Products are labeled with For Research Use Only or a similar labeling statement and have not been approved, cleared, or licensed by the FDA or other regulatory foreign or domestic entity, for any purpose. Customer shall not use any Product for any diagnostic or therapeutic purpose, or otherwise in any manner that conflicts with its labeling statement. Products sold or licensed by CST are provided for Customer as the end-user and solely for research and development uses. Any use of Product for diagnostic, prophylactic or therapeutic purposes, or any purchase of Product for resale (alone or as a component) or other commercial purpose, requires a separate license from CST. Customer shall (a) not sell, license, loan, donate or otherwise transfer or make available any Product to any third party, whether alone or in combination with other materials, or use the Products to manufacture any commercial products, (b) not copy, modify, reverse engineer, decompile, disassemble or otherwise attempt to discover the underlying structure or technology of the Products, or use the Products for the purpose of developing any products or services that would compete with CST products or services, (c) not alter or remove from the Products any trademarks, trade names, logos, patent or copyright notices or markings, (d) use the Products solely in accordance with CST Product Terms of Sale and any applicable documentation, and (e) comply with any license, terms of service or similar agreement with respect to any third party products or services used by Customer in connection with the Products.

Orders: 877-616-CELL (2355) [email protected] Support: 877-678-TECH (8324) [email protected] Web: cellsignal.com
For Research Use Only. Not for Use in Diagnostic Procedures.

Revision 4

Cell Signaling Technology Logo
Western blot analysis of extracts from RH-30 and IGROV-1 cells using Tenascin C (E6N4L) Rabbit mAb (upper) or β-Actin (D6A8) Rabbit mAb #8457 (lower). Negative expression of Tenascin C protein in IGROV-1 cells is consistent with the predicted expression pattern.
Western Blotting Image 1: Tenascin C (E6N4L) Rabbit Monoclonal Antibody
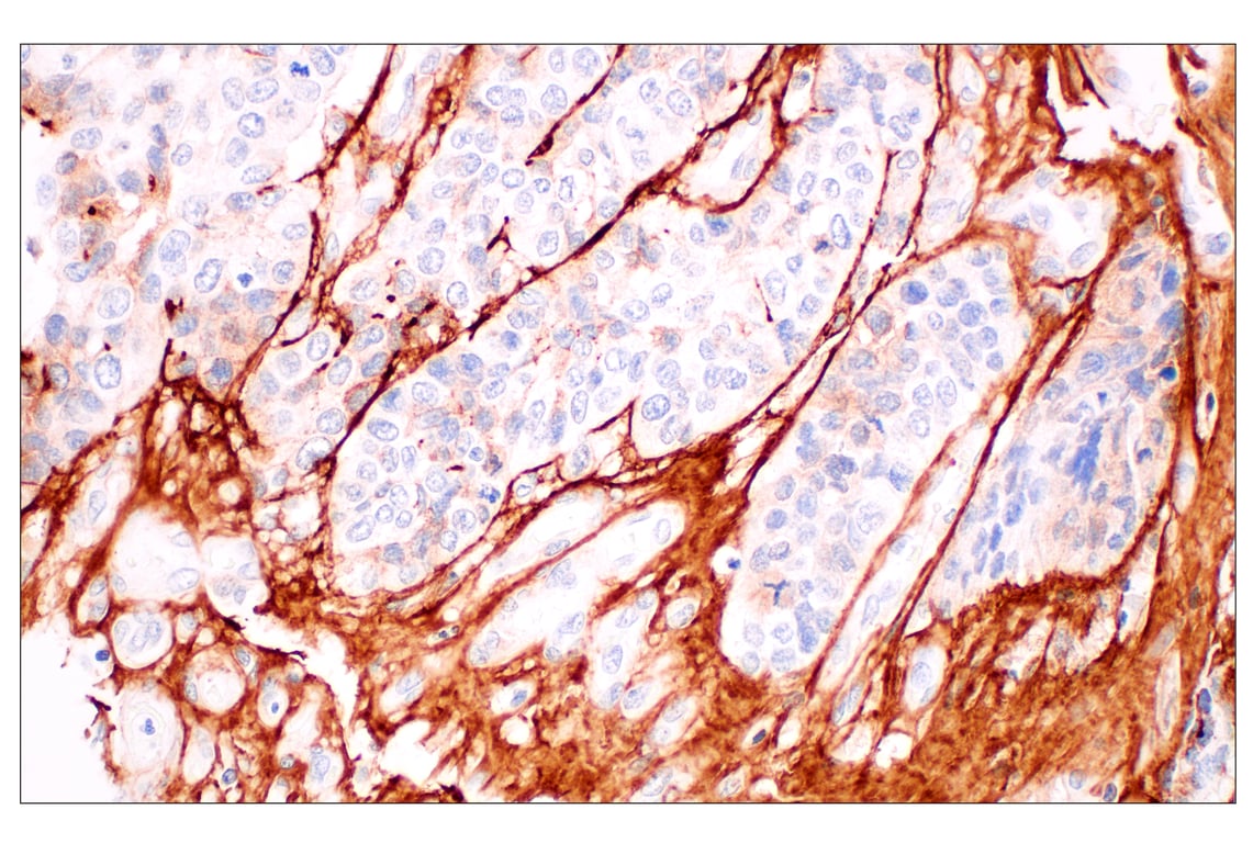
Immunohistochemical analysis of paraffin-embedded human adenoid cystic carcinoma of the salivary gland using Tenascin C (E6N4L) Rabbit mAb.
Immunohistochemistry Image 1: Tenascin C (E6N4L) Rabbit Monoclonal Antibody
Immunohistochemical analysis of paraffin-embedded human colon adenocarcinoma using Tenascin C (E6N4L) Rabbit mAb.
Immunohistochemistry Image 2: Tenascin C (E6N4L) Rabbit Monoclonal Antibody
Orders: 877-616-CELL (2355) [email protected] Support: 877-678-TECH (8324) [email protected] Web: cellsignal.com
For Research Use Only. Not for Use in Diagnostic Procedures.

Revision 4

Cell Signaling Technology Logo
Immunohistochemical analysis of paraffin-embedded human urothelial carcinoma using Tenascin C (E6N4L) Rabbit mAb.
Immunohistochemistry Image 3: Tenascin C (E6N4L) Rabbit Monoclonal Antibody
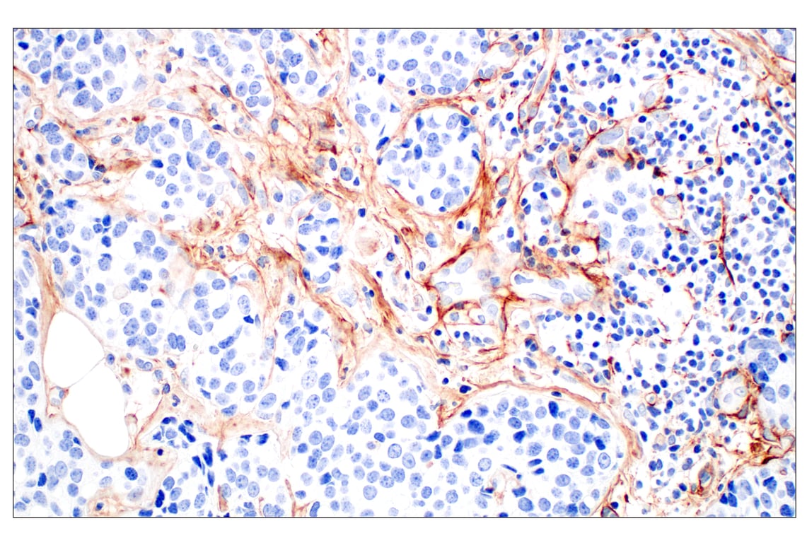
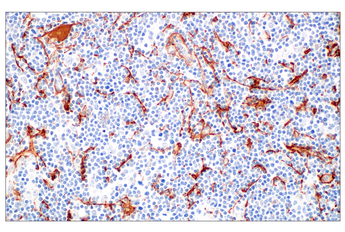
Immunohistochemical analysis of paraffin-embedded human Hodgkin lymphoma using Tenascin C (E6N4L) Rabbit mAb.
Immunohistochemistry Image 4: Tenascin C (E6N4L) Rabbit Monoclonal Antibody
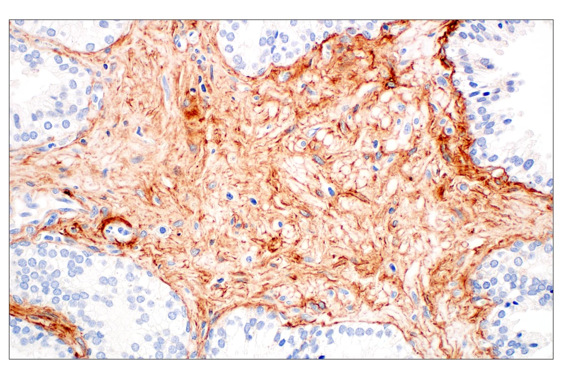
Immunohistochemical analysis of paraffin-embedded human ductal breast carcinoma using Tenascin C (E6N4L) Rabbit mAb.
Immunohistochemistry Image 5: Tenascin C (E6N4L) Rabbit Monoclonal Antibody
Orders: 877-616-CELL (2355) [email protected] Support: 877-678-TECH (8324) [email protected] Web: cellsignal.com
For Research Use Only. Not for Use in Diagnostic Procedures.

Revision 4

Cell Signaling Technology Logo
Immunohistochemical analysis of paraffin-embedded human urothelial carcinoma using Tenascin C (E6N4L) Rabbit mAb.
Immunohistochemistry Image 6: Tenascin C (E6N4L) Rabbit Monoclonal Antibody
Immunohistochemical analysis of paraffin-embedded normal human small intestine using Tenascin C (E6N4L) Rabbit mAb.
Immunohistochemistry Image 7: Tenascin C (E6N4L) Rabbit Monoclonal Antibody
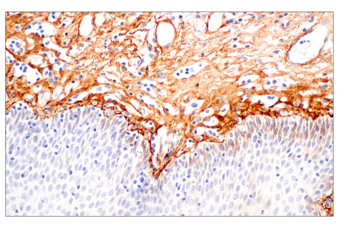
Immunohistochemical analysis of paraffin-embedded normal human esophagus using Tenascin C (E6N4L) Rabbit mAb.
Immunohistochemistry Image 8: Tenascin C (E6N4L) Rabbit Monoclonal Antibody
Orders: 877-616-CELL (2355) [email protected] Support: 877-678-TECH (8324) [email protected] Web: cellsignal.com
For Research Use Only. Not for Use in Diagnostic Procedures.

Revision 4

Cell Signaling Technology Logo
Immunohistochemical analysis of paraffin-embedded normal human kidney using Tenascin C (E6N4L) Rabbit mAb (left) compared to concentration-matched Rabbit (DA1E) mAb IgG XP® Isotype Control #3900 (right).
Immunohistochemistry Image 9: Tenascin C (E6N4L) Rabbit Monoclonal Antibody
Immunohistochemical analysis of paraffin-embedded RH-30 cell pellet (left, positive) or IGROV-1 cell pellet (right, negative) using Tenascin C (E6N4L) Rabbit mAb.
Immunohistochemistry Image 10: Tenascin C (E6N4L) Rabbit Monoclonal Antibody
Orders: 877-616-CELL (2355) [email protected] Support: 877-678-TECH (8324) [email protected] Web: cellsignal.com
For Research Use Only. Not for Use in Diagnostic Procedures.