Revision 3

#51406

Store at -80C

CST Logo
Orders:

877-616-CELL (2355)

[email protected]

Support:

877-678-TECH (8324)

3 Trask Lane | Danvers | Massachusetts | 01923 | USA

For Research Use Only. Not for Use in Diagnostic Procedures.

Applications:
W, IHC-P, ELISA

Reactivity:
H

Sensitivity:
Endogenous

MW (kDa):
65-70

Source/Isotype:
Rabbit IgG

UniProt ID:
#P19484

Entrez-Gene Id:
7942

Product Usage Information

This product is the carrier free version of product #37785. All data were generated using the same antibody clone in the standard formulation which contains BSA and glycerol.

This formulation is ideal for use with technologies requiring specialized or custom antibody labeling, including fluorophores, metals, lanthanides, and oligonucleotides. It is not recommended for ChIP, ChIP-seq, CUT&RUN or CUT&Tag assays. If you require a carrier free formulation for chromatin profiling, please contact us. Optimal dilutions/concentrations should be determined by the end user.

BSA and Azide Free antibodies are quality control tested by size exclusion chromatography (SEC) to determine antibody integrity.

Formulation

Supplied in 1X PBS (10 mM Na2HPO4, 3 mM KCl, 2 mM KH2PO4, and 140 mM NaCl (pH 7.8)). BSA and Azide Free.

For standard formulation of this product see product #37785

Storage

Store at -20°C. This product will freeze at -20°C so it is recommended to aliquot into single-use vials to avoid multiple freeze/thaw cycles. A slight precipitate may be present and can be dissolved by gently vortexing. This will not interfere with antibody performance.

Specificity/Sensitivity

TFEB (D2O7D) Rabbit Monoclonal Antibody (BSA and Azide Free) recognizes endogenous levels of total TFEB protein.

Source / Purification

Monoclonal antibody is produced by immunizing animals with a synthetic peptide corresponding to residues surrounding Gly412 of human TFEB protein.

Background

Transcription factor EB (TFEB) is a member of the Myc-related, bHLH leucine-zipper family of transcription factors that drives the expression of a network of genes known as the Coordinated Lysosomal Expression and Regulation (CLEAR) network (1,2). TFEB specifically recognizes and binds regulatory sequences within the CLEAR box (GTCACGTGAC) of lysosomal and autophagy genes, resulting in the upregulated expression of genes involved in lysosome biogenesis and function, and regulation of autophagy (1,2). TFEB is activated in response to nutrient deprivation, stimulating translocation to the nucleus where it forms homo- or heterooligomers with other members of the microphthalmia transcription factor (MiTF) subfamily and resulting in upregulation of autophagosomes and lysosomes (3-5). Recently, it has been shown that TFEB is a component of mammalian target of rapamycin (mTOR) complex 1 (mTORC1), which regulates the phosphorylation and nuclear translocation of TFEB in response to cellular starvation and stress (6-9). During normal growth conditions, TFEB is phosphorylated at Ser211 in an mTORC1-dependent manner. Phosphorylation promotes association of TFEB with 14-3-3 family proteins and retention in the cytosol. Inhibition of mTORC1 results in a loss of TFEB phosphorylation, dissociation of the TFEB/14-3-3 complex, and rapid transport of TFEB to the nucleus where it increases transcription of CLEAR and autophagy genes (10). TFEB has also been shown to be activated in a nutrient-dependent manner by p42 MAP kinase (Erk2). TFEB is phosphorylated at Ser142 by Erk2 in response to nutrient deprivation, resulting in nuclear localization and activation, and indicating that pathways other than mTOR contribute to nutrient sensing via TFEB (3).

Species Reactivity

Species reactivity is determined by testing in at least one approved application (e.g., western blot).

Applications Key

W: Western Blotting IHC-P: Immunohistochemistry (Paraffin) ELISA: ELISA

Cross-Reactivity Key

H: Human

Trademarks and Patents

Cell Signaling Technology is a trademark of Cell Signaling Technology, Inc.

SignalStain is a registered trademark of Cell Signaling Technology, Inc.

All other trademarks are the property of their respective owners. Visit cellsignal.com/trademarks for more information.

Limited Uses

Except as otherwise expressly agreed in a writing signed by a legally authorized representative of CST, the following terms apply to Products provided by CST, its affiliates or its distributors. Any Customer's terms and conditions that are in addition to, or different from, those contained herein, unless separately accepted in writing by a legally authorized representative of CST, are rejected and are of no force or effect.

Products are labeled with For Research Use Only or a similar labeling statement and have not been approved, cleared, or licensed by the FDA or other regulatory foreign or domestic entity, for any purpose. Customer shall not use any Product for any diagnostic or therapeutic purpose, or otherwise in any manner that conflicts with its labeling statement. Products sold or licensed by CST are provided for Customer as the end-user and solely for research and development uses. Any use of Product for diagnostic, prophylactic or therapeutic purposes, or any purchase of Product for resale (alone or as a component) or other commercial purpose, requires a separate license from CST. Customer shall (a) not sell, license, loan, donate or otherwise transfer or make available any Product to any third party, whether alone or in combination with other materials, or use the Products to manufacture any commercial products, (b) not copy, modify, reverse engineer, decompile, disassemble or otherwise attempt to discover the underlying structure or technology of the Products, or use the Products for the purpose of developing any products or services that would compete with CST products or services, (c) not alter or remove from the Products any trademarks, trade names, logos, patent or copyright notices or markings, (d) use the Products solely in accordance with CST Product Terms of Sale and any applicable documentation, and (e) comply with any license, terms of service or similar agreement with respect to any third party products or services used by Customer in connection with the Products.

Orders: 877-616-CELL (2355) [email protected] Support: 877-678-TECH (8324) [email protected] Web: cellsignal.com
For Research Use Only. Not for Use in Diagnostic Procedures.

Revision 3

Cell Signaling Technology Logo
Western blot analysis of extracts from various cell lines using TFEB (D2O7D) Rabbit mAb (upper) or β-Actin (D6A8) Rabbit mAb #8457 (lower). Data were generated using the standard formulation of this product.
Western Blotting Image 1: TFEB (D2O7D) Rabbit Monoclonal Antibody (BSA and Azide Free)
Western blot analysis of extracts from 293T cells, untransfected (-) or transfected with a construct expresssing full-length human TFEB (hTFEB; +) using TFEB (D2O7D) Rabbit mAb. Data were generated using the standard formulation of this product.
Western Blotting Image 2: TFEB (D2O7D) Rabbit Monoclonal Antibody (BSA and Azide Free)
Immunohistochemical analysis of paraffin-embedded human lung carcinoma using TFEB (D2O7D) Rabbit mAb. Data were generated using the standard formulation of this product.
Immunohistochemistry Image 1: TFEB (D2O7D) Rabbit Monoclonal Antibody (BSA and Azide Free)
Orders: 877-616-CELL (2355) [email protected] Support: 877-678-TECH (8324) [email protected] Web: cellsignal.com
For Research Use Only. Not for Use in Diagnostic Procedures.

Revision 3

Cell Signaling Technology Logo
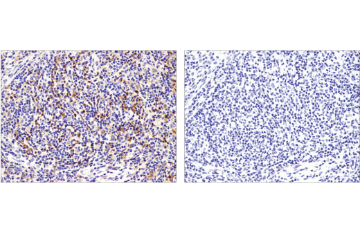
Immunohistochemical analysis of paraffin-embedded human lymphoma using TFEB (D2O7D) Rabbit mAb in the presence of control peptide (left) or antigen-specific peptide (right). Data were generated using the standard formulation of this product.
Immunohistochemistry Image 2: TFEB (D2O7D) Rabbit Monoclonal Antibody (BSA and Azide Free)
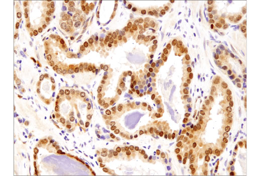
Immunohistochemical analysis of paraffin-embedded human prostate carcinoma using TFEB (D2O7D) Rabbit mAb. Data were generated using the standard formulation of this product.
Immunohistochemistry Image 3: TFEB (D2O7D) Rabbit Monoclonal Antibody (BSA and Azide Free)
Data using Phospho-TFEB (Ser122) Matched Antibody Pair #26770 are shown. The two antibodies function as a capture-target-detection sandwich (#86732 and #51406, respectively) to detect endogenous protein expression in positive and negative controls.
ELISA Image 1: TFEB (D2O7D) Rabbit Monoclonal Antibody (BSA and Azide Free)
Orders: 877-616-CELL (2355) [email protected] Support: 877-678-TECH (8324) [email protected] Web: cellsignal.com
For Research Use Only. Not for Use in Diagnostic Procedures.