Revision 3

#32361

Store at -20C

CST Logo
Orders:

877-616-CELL (2355)

[email protected]

Support:

877-678-TECH (8324)

3 Trask Lane | Danvers | Massachusetts | 01923 | USA

For Research Use Only. Not for Use in Diagnostic Procedures.

Applications:
W, IP

Reactivity:
M

Sensitivity:
Endogenous

MW (kDa):
65-70

Source/Isotype:
Rabbit IgG

UniProt ID:
#Q9R210

Entrez-Gene Id:
21425

Product Usage Information

Application Dilution
Western Blotting 1:1000
Immunoprecipitation 1:200

Storage

Supplied in 10 mM sodium HEPES (pH 7.5), 150 mM NaCl, 100 µg/ml BSA, 50% glycerol and less than 0.02% sodium azide. Store at –20°C. Do not aliquot the antibody.

Specificity/Sensitivity

TFEB (D4L2P) Rabbit Monoclonal Antibody recognizes endogenous levels of total mouse TFEB protein.

Source / Purification

Monoclonal antibody is produced by immunizing animals with a synthetic peptide corresponding to residues surrounding Pro413 of mouse TFEB protein.

Background

Transcription factor EB (TFEB) is a member of the Myc-related, bHLH leucine-zipper family of transcription factors that drives the expression of a network of genes known as the Coordinated Lysosomal Expression and Regulation (CLEAR) network (1,2). TFEB specifically recognizes and binds regulatory sequences within the CLEAR box (GTCACGTGAC) of lysosomal and autophagy genes, resulting in the upregulated expression of genes involved in lysosome biogenesis and function, and regulation of autophagy (1,2). TFEB is activated in response to nutrient deprivation, stimulating translocation to the nucleus where it forms homo- or heterooligomers with other members of the microphthalmia transcription factor (MiTF) subfamily and resulting in upregulation of autophagosomes and lysosomes (3-5). Recently, it has been shown that TFEB is a component of mammalian target of rapamycin (mTOR) complex 1 (mTORC1), which regulates the phosphorylation and nuclear translocation of TFEB in response to cellular starvation and stress (6-9). During normal growth conditions, TFEB is phosphorylated at Ser211 in an mTORC1-dependent manner. Phosphorylation promotes association of TFEB with 14-3-3 family proteins and retention in the cytosol. Inhibition of mTORC1 results in a loss of TFEB phosphorylation, dissociation of the TFEB/14-3-3 complex, and rapid transport of TFEB to the nucleus where it increases transcription of CLEAR and autophagy genes (10). TFEB has also been shown to be activated in a nutrient-dependent manner by p42 MAP kinase (Erk2). TFEB is phosphorylated at Ser142 by Erk2 in response to nutrient deprivation, resulting in nuclear localization and activation, and indicating that pathways other than mTOR contribute to nutrient sensing via TFEB (3).

Species Reactivity

Species reactivity is determined by testing in at least one approved application (e.g., western blot).

Western Blot Buffer

IMPORTANT: For western blots, incubate membrane with diluted primary antibody in 5% w/v BSA, 1X TBS, 0.1% Tween® 20 at 4°C with gentle shaking, overnight.

Applications Key

W: Western Blotting IP: Immunoprecipitation

Cross-Reactivity Key

M: Mouse

Trademarks and Patents

Cell Signaling Technology is a trademark of Cell Signaling Technology, Inc.

All other trademarks are the property of their respective owners. Visit cellsignal.com/trademarks for more information.

Limited Uses

Except as otherwise expressly agreed in a writing signed by a legally authorized representative of CST, the following terms apply to Products provided by CST, its affiliates or its distributors. Any Customer's terms and conditions that are in addition to, or different from, those contained herein, unless separately accepted in writing by a legally authorized representative of CST, are rejected and are of no force or effect.

Products are labeled with For Research Use Only or a similar labeling statement and have not been approved, cleared, or licensed by the FDA or other regulatory foreign or domestic entity, for any purpose. Customer shall not use any Product for any diagnostic or therapeutic purpose, or otherwise in any manner that conflicts with its labeling statement. Products sold or licensed by CST are provided for Customer as the end-user and solely for research and development uses. Any use of Product for diagnostic, prophylactic or therapeutic purposes, or any purchase of Product for resale (alone or as a component) or other commercial purpose, requires a separate license from CST. Customer shall (a) not sell, license, loan, donate or otherwise transfer or make available any Product to any third party, whether alone or in combination with other materials, or use the Products to manufacture any commercial products, (b) not copy, modify, reverse engineer, decompile, disassemble or otherwise attempt to discover the underlying structure or technology of the Products, or use the Products for the purpose of developing any products or services that would compete with CST products or services, (c) not alter or remove from the Products any trademarks, trade names, logos, patent or copyright notices or markings, (d) use the Products solely in accordance with CST Product Terms of Sale and any applicable documentation, and (e) comply with any license, terms of service or similar agreement with respect to any third party products or services used by Customer in connection with the Products.

Orders: 877-616-CELL (2355) [email protected] Support: 877-678-TECH (8324) [email protected] Web: cellsignal.com
For Research Use Only. Not for Use in Diagnostic Procedures.

Revision 3

Cell Signaling Technology Logo
Western blot analysis of extracts from A20, CTLL-2, and EL4 cell lines using TFEB (D4L2P) Rabbit mAb.
Western Blotting Image 1: TFEB (D4L2P) Rabbit Monoclonal Antibody
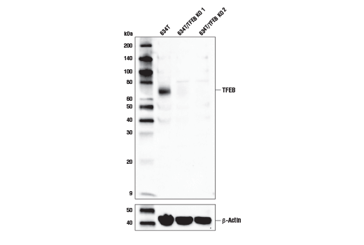
Western blot analysis of extracts from 634T wild-type or two 634T cell lines with a TFEB knockout using TFEB (D4L2P) Rabbit mAb (upper) or β-Actin (D6A8) Rabbit mAb #8457 (lower). Knockout cells were kindly provided by Dr. Reuben Shaw, Salk Institute for Biological Studies, La Jolla, CA.
Western Blotting Image 2: TFEB (D4L2P) Rabbit Monoclonal Antibody
Immunoprecipitation of TFEB from A20 cell extracts. Lane 1 is 10% input, lane 2 is Rabbit (DA1E) mAb IgG XP® Isotype Control #3900, and lane 3 is TFEB (D4L2P) Rabbit mAb. Western blot was performed using TFEB (D4L2P) Rabbit mAb. Mouse Anti-Rabbit IgG (Conformation Specific) (L27A9) mAb (HRP Conjugate) #5127 was used as a secondary antibody.
Immunoprecipitation Image 1: TFEB (D4L2P) Rabbit Monoclonal Antibody
Orders: 877-616-CELL (2355) [email protected] Support: 877-678-TECH (8324) [email protected] Web: cellsignal.com
For Research Use Only. Not for Use in Diagnostic Procedures.