Revision 3

#4562

Store at -20C

CST Logo
Orders:

877-616-CELL (2355)

[email protected]

Support:

877-678-TECH (8324)

3 Trask Lane | Danvers | Massachusetts | 01923 | USA

For Research Use Only. Not for Use in Diagnostic Procedures.

Applications:
W, IP, IHC-P

Reactivity:
H M Mk

Sensitivity:
Endogenous

MW (kDa):
135, 138

Source/Isotype:
Rabbit

UniProt ID:
#P78347

Entrez-Gene Id:
2969

Product Usage Information

Application Dilution
Western Blotting 1:1000
Immunoprecipitation 1:50
Immunohistochemistry (Paraffin) 1:200 - 1:800

Storage

Supplied in 10 mM sodium HEPES (pH 7.5), 150 mM NaCl, 100 µg/ml BSA and 50% glycerol. Store at –20°C. Do not aliquot the antibody.

Specificity/Sensitivity

TFII-I Antibody detects endogenous levels of total TFII-I (all isoforms).

Source / Purification

Polyclonal antibodies are produced by immunizing animals with a synthetic peptide corresponding to residues of human TFII-I. Antibodies are purified by protein A and peptide affinity chromatography.

Background

TFII-I (also known as SPIN and BAP-135) is a multifunctional transcription factor that facilitates basal transcriptional machinery assembly at the core promotor region, as well as the assembly of the transcriptional activator complex at upstream regulatory sites (1). Four isoforms of TFII-I (alpha, beta, gamma, and delta) form homo- or heteromeric complexes, which may perform different functions on different promoters (1). In B cells, cross-linking of BCR (B cell receptors) leads to TFII-I phosphorylation at Tyr248 by Btk (2). This phosphorylation disrupts the association of Btk and TFII-I and enhances TFII-I transcriptional activity and nuclear localization (2). In nonlymphoid cells, TFII-I is phosphorylated at Tyr248 by Src dependent kinase or JAK2 (3,4). PKG (cGMP-dependent kinase) interacts with and phosphorylates TFII-I at Ser371 and 743, which also promotes TFII-I transcription activity (5). TFII-I activity is also modulated by HDAC3 (Histone Deacetylase 3) through a physical interaction between the two proteins (6).

Species Reactivity

Species reactivity is determined by testing in at least one approved application (e.g., western blot).

Western Blot Buffer

IMPORTANT: For western blots, incubate membrane with diluted primary antibody in 5% w/v BSA, 1X TBS, 0.1% Tween® 20 at 4°C with gentle shaking, overnight.

Applications Key

W: Western Blotting IP: Immunoprecipitation IHC-P: Immunohistochemistry (Paraffin)

Cross-Reactivity Key

H: Human M: Mouse Mk: Monkey

Trademarks and Patents

Cell Signaling Technology is a trademark of Cell Signaling Technology, Inc.

All other trademarks are the property of their respective owners. Visit cellsignal.com/trademarks for more information.

Limited Uses

Except as otherwise expressly agreed in a writing signed by a legally authorized representative of CST, the following terms apply to Products provided by CST, its affiliates or its distributors. Any Customer's terms and conditions that are in addition to, or different from, those contained herein, unless separately accepted in writing by a legally authorized representative of CST, are rejected and are of no force or effect.

Products are labeled with For Research Use Only or a similar labeling statement and have not been approved, cleared, or licensed by the FDA or other regulatory foreign or domestic entity, for any purpose. Customer shall not use any Product for any diagnostic or therapeutic purpose, or otherwise in any manner that conflicts with its labeling statement. Products sold or licensed by CST are provided for Customer as the end-user and solely for research and development uses. Any use of Product for diagnostic, prophylactic or therapeutic purposes, or any purchase of Product for resale (alone or as a component) or other commercial purpose, requires a separate license from CST. Customer shall (a) not sell, license, loan, donate or otherwise transfer or make available any Product to any third party, whether alone or in combination with other materials, or use the Products to manufacture any commercial products, (b) not copy, modify, reverse engineer, decompile, disassemble or otherwise attempt to discover the underlying structure or technology of the Products, or use the Products for the purpose of developing any products or services that would compete with CST products or services, (c) not alter or remove from the Products any trademarks, trade names, logos, patent or copyright notices or markings, (d) use the Products solely in accordance with CST Product Terms of Sale and any applicable documentation, and (e) comply with any license, terms of service or similar agreement with respect to any third party products or services used by Customer in connection with the Products.

Orders: 877-616-CELL (2355) [email protected] Support: 877-678-TECH (8324) [email protected] Web: cellsignal.com
For Research Use Only. Not for Use in Diagnostic Procedures.

Revision 3

Cell Signaling Technology Logo
Western blot analysis of extracts from HeLa, HEK293, U-937, COS, C2C12 and WEHI-231 cells, using TFII-I Antibody.
Western Blotting Image 1: TFII-I Antibody
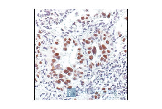
Immunohistochemical analysis of paraffin-embedded human lung carcinoma, using TFII-I Antibody.
Immunohistochemistry Image 1: TFII-I Antibody
Orders: 877-616-CELL (2355) [email protected] Support: 877-678-TECH (8324) [email protected] Web: cellsignal.com
For Research Use Only. Not for Use in Diagnostic Procedures.