Revision 3

#3711

Store at -20C

CST Logo
Orders:

877-616-CELL (2355)

[email protected]

Support:

877-678-TECH (8324)

3 Trask Lane | Danvers | Massachusetts | 01923 | USA

For Research Use Only. Not for Use in Diagnostic Procedures.

Applications:
W

Reactivity:
H M R

Sensitivity:
Endogenous

MW (kDa):
12, 25, 45 to 65

Source/Isotype:
Rabbit

UniProt ID:
#P61812, #P01137, #P10600

Entrez-Gene Id:
7042, 7040, 7043

Product Usage Information

Application Dilution
Western Blotting 1:1000

Storage

Supplied in 10 mM sodium HEPES (pH 7.5), 150 mM NaCl, 100 µg/ml BSA and 50% glycerol. Store at –20°C. Do not aliquot the antibody.

Specificity/Sensitivity

TGF-beta Antibody detects recombinant TGF-β1, TGF-β2, and TGF-β3. This antibody also detects endogenous levels of the TGF-β1 precursor proteins.

Source / Purification

Polyclonal antibodies are produced by immunizing animals with synthetic peptide corresponding to a region in the carboxy terminus of TGF-beta1. Antibodies are purified by protein A and peptide affinity chromatography.

Background

Transforming growth factor-β (TGF-β) proteins belong to the TGF-β superfamily of cytokines that play a critical role in regulating cell proliferation and differentiation, developmental patterning and morphogenesis, and disease pathogenesis (1-3). TGF-β ligands elicit signaling through three cell surface receptors: type I (RI), type II (RII), and type III (RIII) TGF-β receptors. Type I and type II receptors are serine/threonine kinases that form a heteromeric complex following ligand binding to the type II receptor. In response to ligand binding, the type II receptors form a stable complex with the type I receptors, triggering phosphorylation and activation of the type I receptor (4). This results in the recruitment of receptor-mediated SMADs (SMAD2, SMAD3), which are phosphorylated by the type I kinase in an SSXS domain in the C-terminus. This leads to recruitment of the co-SMAD (SMAD4), and subsequent translocation of this heteromeric SMAD complex to the nucleus, where it regulates transcription of target genes (5-7). The type III receptor, also known as betaglycan, is a transmembrane proteoglycan with a large extracellular domain that binds TGF-β with high affinity but lacks a cytoplasmic signaling domain. Expression of the type III receptor can regulate TGF-β signaling through presentation of the ligand to the signaling complex (8).

There are three TGF-beta family members, designated TGF-β1, TGF-β2, and TGF-β3, which are encoded by distinct genes and are expressed in a tissue specific manner (10). TGF-β proteins are synthesized as precursor proteins that are cleaved and reassembled in association with other proteins to form latent complexes. Activation occurs by proteolytic release of TGF-β monomers, which dimerize to form the mature TGF-β ligands.

Species Reactivity

Species reactivity is determined by testing in at least one approved application (e.g., western blot).

Western Blot Buffer

IMPORTANT: For western blots, incubate membrane with diluted primary antibody in 5% w/v BSA, 1X TBS, 0.1% Tween® 20 at 4°C with gentle shaking, overnight.

Applications Key

W: Western Blotting

Cross-Reactivity Key

H: Human M: Mouse R: Rat

Trademarks and Patents

Cell Signaling Technology is a trademark of Cell Signaling Technology, Inc.

All other trademarks are the property of their respective owners. Visit cellsignal.com/trademarks for more information.

Limited Uses

Except as otherwise expressly agreed in a writing signed by a legally authorized representative of CST, the following terms apply to Products provided by CST, its affiliates or its distributors. Any Customer's terms and conditions that are in addition to, or different from, those contained herein, unless separately accepted in writing by a legally authorized representative of CST, are rejected and are of no force or effect.

Products are labeled with For Research Use Only or a similar labeling statement and have not been approved, cleared, or licensed by the FDA or other regulatory foreign or domestic entity, for any purpose. Customer shall not use any Product for any diagnostic or therapeutic purpose, or otherwise in any manner that conflicts with its labeling statement. Products sold or licensed by CST are provided for Customer as the end-user and solely for research and development uses. Any use of Product for diagnostic, prophylactic or therapeutic purposes, or any purchase of Product for resale (alone or as a component) or other commercial purpose, requires a separate license from CST. Customer shall (a) not sell, license, loan, donate or otherwise transfer or make available any Product to any third party, whether alone or in combination with other materials, or use the Products to manufacture any commercial products, (b) not copy, modify, reverse engineer, decompile, disassemble or otherwise attempt to discover the underlying structure or technology of the Products, or use the Products for the purpose of developing any products or services that would compete with CST products or services, (c) not alter or remove from the Products any trademarks, trade names, logos, patent or copyright notices or markings, (d) use the Products solely in accordance with CST Product Terms of Sale and any applicable documentation, and (e) comply with any license, terms of service or similar agreement with respect to any third party products or services used by Customer in connection with the Products.

Orders: 877-616-CELL (2355) [email protected] Support: 877-678-TECH (8324) [email protected] Web: cellsignal.com
For Research Use Only. Not for Use in Diagnostic Procedures.

Revision 3

Cell Signaling Technology Logo
Western blot analysis of extracts from human platelets, K562, and HCT116 lysate using TGF-β Antibody (upper) and

α-Actinin (D6F6) XP® Rabbit mAb (lower) #6487.

Western Blotting Image 1: TGF-beta Antibody
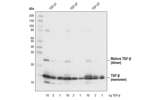
Western blot analysis of recombinant human TGF-beta1, TGF-beta2 and TGF-beta3, using TGF-beta Antibody.
Western Blotting Image 2: TGF-beta Antibody
Orders: 877-616-CELL (2355) [email protected] Support: 877-678-TECH (8324) [email protected] Web: cellsignal.com
For Research Use Only. Not for Use in Diagnostic Procedures.