Revision 2

#77397

Store at -20C

CST Logo
Orders:

877-616-CELL (2355)

[email protected]

Support:

877-678-TECH (8324)

3 Trask Lane | Danvers | Massachusetts | 01923 | USA

For Research Use Only. Not for Use in Diagnostic Procedures.

Product Includes Product # Quantity Mol. Wt Isotype/Source
alpha-Smooth Muscle Actin (D4K9N) Rabbit Monoclonal Antibody1924520 µl42 kDaRabbit IgG
COL1A1 (E8I9Z) Rabbit Monoclonal Antibody9114420 µl220 kDaRabbit IgG
SMAD2/3 (D7G7) Rabbit Monoclonal Antibody868520 µl52, 60 kDaRabbit IgG
SMAD2 (D43B4) Rabbit Monoclonal Antibody533920 µl60 kDaRabbit IgG
Phospho-SMAD2 (Ser465/Ser467) (E8F3R) Rabbit Monoclonal Antibody1833820 µl60 kDaRabbit IgG
YKL-40 (E2L1M) Rabbit Monoclonal Antibody4706620 µl30-40 kDaRabbit IgG
Phospho-SMAD2 (Ser465/467)/SMAD3 (Ser423/425) (D27F4) Rabbit Monoclonal Antibody882820 µl52, 60 kDaRabbit IgG
TGF-beta (56E4) Rabbit Monoclonal Antibody370920 µl12, 45-60 kDaRabbit IgG
TGF-beta Receptor II (E5M6F) Rabbit Monoclonal Antibody4189620 µl85 kDaRabbit IgG
Anti-rabbit IgG, HRP-linked Antibody7074100 µlGoat

Please visit cellsignal.com for individual component applications, species cross-reactivity, dilutions, protocols, and additional product information.

Description

The TGF-β Fibrosis Pathway Antibody Sampler Kit provides an economical means of investigating activation of TGF-β/ SMAD2/3 signaling pathways in cells or tissues that lead to the expression of profibrotic genes, including expression of α-Smooth Muscle Actin in activated fibroblasts, and upregulation of Collagen1A1, Col11A1, and YKL-40. The kit includes enough antibodies to perform at least two western blot experiments with each primary antibody.

Storage

Supplied in 10 mM sodium HEPES (pH 7.5), 150 mM NaCl, 100 µg/ml BSA, 50% glycerol and less than 0.02% sodium azide. Store at –20°C. Do not aliquot the antibody.

Background

Transforming growth factor-β (TGF-β) superfamily members are critical regulators of cell proliferation and differentiation, developmental patterning and morphogenesis, and disease pathogenesis (1-4). In the context of fibrosis, TGF-β signaling to SMAD2/3 is one of the biggest drivers of the profibrotic program (5).

TGF-β elicits signaling through three cell surface receptors: type I (RI), type II (RII), and type III (RIII). In response to ligand binding, the type II receptors form stable heterotrimeric complexes with the type I receptors, allowing phosphorylation and activation of type I receptor kinase. Activated type I receptors associate with SMAD2/3 and phosphorylate them on a conserved carboxy terminal SSXS motif. The phosphorylated SMADs dissociate from the receptor and form a heterotrimeric complex with the co-Smad (Smad4), allowing translocation of the complex to the nucleus. Once in the nucleus, phosphorylated SMAD2/3 targets a subset of DNA binding proteins to regulate the transcriptional program (6-8).

In the context of fibrosis, SMAD2/3 activation upregulates expression of profibrotic genes such as COL1A1 and other ECM modulators that modify the extracellular matrix of the tissue. (9). TGF-β/ SMAD2/3 signaling also induces expression of α-Smooth Muscle Actin in fibroblasts, causing transformation of these cells to myofibroblasts (10). Myofibroblasts further modify the ECM, causing excessive accumulation of collagens and other ECM components. Injury to the tissue attracts macrophages and other immune cells and the fibrotic tissue soon becomes a site of inflammation (11). In this pro-fibrotic, pro-inflammatory environment, YKL-40, also known as Chitinase-3-like protein 1 (CHI3L1), is secreted. YKL-40 is a pro-inflammatory glycoprotein that also contributes to the progression of fibrosis (12). Measurement of collagen content, α-Smooth Muscle Actin, and the release of YKL-40 are predictive of fibrotic activity.

Trademarks and Patents

Cell Signaling Technology is a trademark of Cell Signaling Technology, Inc.

CST is a registered trademark of Cell Signaling Technology, Inc.

U.S. Patent No. 5,675,063.

All other trademarks are the property of their respective owners. Visit cellsignal.com/trademarks for more information.

Limited Uses

Except as otherwise expressly agreed in a writing signed by a legally authorized representative of CST, the following terms apply to Products provided by CST, its affiliates or its distributors. Any Customer's terms and conditions that are in addition to, or different from, those contained herein, unless separately accepted in writing by a legally authorized representative of CST, are rejected and are of no force or effect.

Products are labeled with For Research Use Only or a similar labeling statement and have not been approved, cleared, or licensed by the FDA or other regulatory foreign or domestic entity, for any purpose. Customer shall not use any Product for any diagnostic or therapeutic purpose, or otherwise in any manner that conflicts with its labeling statement. Products sold or licensed by CST are provided for Customer as the end-user and solely for research and development uses. Any use of Product for diagnostic, prophylactic or therapeutic purposes, or any purchase of Product for resale (alone or as a component) or other commercial purpose, requires a separate license from CST. Customer shall (a) not sell, license, loan, donate or otherwise transfer or make available any Product to any third party, whether alone or in combination with other materials, or use the Products to manufacture any commercial products, (b) not copy, modify, reverse engineer, decompile, disassemble or otherwise attempt to discover the underlying structure or technology of the Products, or use the Products for the purpose of developing any products or services that would compete with CST products or services, (c) not alter or remove from the Products any trademarks, trade names, logos, patent or copyright notices or markings, (d) use the Products solely in accordance with CST Product Terms of Sale and any applicable documentation, and (e) comply with any license, terms of service or similar agreement with respect to any third party products or services used by Customer in connection with the Products.

Orders: 877-616-CELL (2355) [email protected] Support: 877-678-TECH (8324) [email protected] Web: cellsignal.com
For Research Use Only. Not for Use in Diagnostic Procedures.

Revision 2

Cell Signaling Technology Logo
Western blot analysis of extracts from HaCaT cells, untreated (-) or treated with Human Transforming Growth Factor β3 (hTGF-β3) #8425 (100ng/ml, 30mins) (+), using Phospho SMAD2 (Ser465/Ser467) (E8F3R) Rabbit mAb (upper) and total Smad2 (D43B4) XP® Rabbit mAb, #5339 (lower).
undefined Image 1: TGF-beta Fibrosis Pathway Antibody Sampler Kit
Immunohistochemical analysis of paraffin-embedded human endometrioid carcinoma using alpha-Smooth Muscle Actin (D4K9N) XP® Rabbit mAb performed on the Leica® Bond™ Rx.
undefined Image 2: TGF-beta Fibrosis Pathway Antibody Sampler Kit
Western blotting analysis of extracts from various human, mouse, and rat tissues using α-Smooth Muscle Actin (D4K9N) XP® Rabbit mAb (upper) and GAPDH #5174 (lower). As expected, skeletal muscle samples are negative for α-smooth muscle actin.
undefined Image 3: TGF-beta Fibrosis Pathway Antibody Sampler Kit
Orders: 877-616-CELL (2355) [email protected] Support: 877-678-TECH (8324) [email protected] Web: cellsignal.com
For Research Use Only. Not for Use in Diagnostic Procedures.

Revision 2

Cell Signaling Technology Logo
Western blot analysis of recombinant active TGF-β1 using TGF-β (56E4) Rabbit mAb.
undefined Image 4: TGF-beta Fibrosis Pathway Antibody Sampler Kit
Western blot analysis of extracts from 293T cells, mock transfected (-), transfected with Myc/DDK-tagged TGF-β Receptor I protein (TGF-β Receptor I-Myc/DDK; +), or transfected with Myc/DDK-tagged TGF-β Receptor II protein (TGF-β Receptor II-Myc/DDK; +), using TGF-β Receptor II (E5M6F) Rabbit mAb (upper), Myc-Tag (71D10) Rabbit mAb #2278 (middle), and GAPDH (D16H11) XP® Rabbit mAb #5174 (lower).
undefined Image 5: TGF-beta Fibrosis Pathway Antibody Sampler Kit
Western blot analysis of extracts from THP-1 and A-204 using YKL-40 (E2L1M) Rabbit mAb upper) and loading control α-Actinin (D6F6) XP® Rabbit mAb #6487. As expected, A-204 is low to negative for YKL-40 expression.
undefined Image 6: TGF-beta Fibrosis Pathway Antibody Sampler Kit
Orders: 877-616-CELL (2355) [email protected] Support: 877-678-TECH (8324) [email protected] Web: cellsignal.com
For Research Use Only. Not for Use in Diagnostic Procedures.

Revision 2

Cell Signaling Technology Logo
Western blot analysis of extracts from HeLa cells (lane 1) or SMAD2 knock-out cells (lane 2) using Smad2 (D43B4) XP® Rabbit mAb #5339 (upper), and α-Actinin (D6F6) XP® Rabbit mAb #6487 (lower). The absence of signal in the SMAD2 knock-out HeLa cells confirms specificity of the antibody for SMAD2.
undefined Image 7: TGF-beta Fibrosis Pathway Antibody Sampler Kit
After the primary antibody is bound to the target protein, a complex with HRP-linked secondary antibody is formed. The LumiGLO® is added and emits light during enzyme catalyzed decomposition.
undefined Image 8: TGF-beta Fibrosis Pathway Antibody Sampler Kit
Western blot analysis of extracts from HeLa and ACHN cells using SMAD2/3 (D7G7) XP® Rabbit mAb.
undefined Image 9: TGF-beta Fibrosis Pathway Antibody Sampler Kit
Orders: 877-616-CELL (2355) [email protected] Support: 877-678-TECH (8324) [email protected] Web: cellsignal.com
For Research Use Only. Not for Use in Diagnostic Procedures.

Revision 2

Cell Signaling Technology Logo
Western blot analysis of extracts from HaCaT cells, untreated (-) or treated with hTGF-β3 #8425 (+) in the absence or presence of the TGFR inhibitor SB 431542, using Phospho-SMAD2 (Ser465/467)/SMAD3 (Ser423/425) (D27F4) Rabbit mAb (upper) or SMAD2/3 (D7G7) XP® Rabbit mAb #8685 (lower).
undefined Image 10: TGF-beta Fibrosis Pathway Antibody Sampler Kit
Western blot analysis of extracts from various cell lines using COL1A1 (E8I9Z) XP® Rabbit mAb (upper) and β-Actin (D6A8) Rabbit mAb #8457 (lower).
undefined Image 11: TGF-beta Fibrosis Pathway Antibody Sampler Kit
Immunoprecipitation of phospho-SMAD2 (Ser465/Ser467) from extracts of HaCaT cells treated with Human Transforming Growth Factor β1 (hTGF-β1) #8915 (10nM, 30mins). Lane 1 is 10% input, lane 2 is Rabbit (DA1E) mAb IgG XP® Isotype Control #3900, and lane 3 is Phospho-SMAD2 (Ser465/Ser467) (E8F3R) Rabbit mAb. Western blot analysis was performed using P-SMAD2 (Ser465/ Ser467) (E8F3R) Rabbit mAb. Mouse Anti-rabbit IgG (Conformation Specific) (L27A9) mAb (HRP Conjugate) #5127 was used for detection to avoid cross-reactivity with IgG.
undefined Image 12: TGF-beta Fibrosis Pathway Antibody Sampler Kit
Orders: 877-616-CELL (2355) [email protected] Support: 877-678-TECH (8324) [email protected] Web: cellsignal.com
For Research Use Only. Not for Use in Diagnostic Procedures.

Revision 2

Cell Signaling Technology Logo
Immunoprecipitation of α-smooth muscle actin from mouse colon tissue extracts. Lane 1 is 10% input, lane 2 is Rabbit (DA1E) mAb IgG XP® Isotype Control #3900, and lane 3 is α-Smooth Muscle Actin (D4K9N) XP® Rabbit mAb. Western blot analysis was performed using α-Smooth Muscle Actin (D4K9N) XP® Rabbit mAb.
undefined Image 13: TGF-beta Fibrosis Pathway Antibody Sampler Kit
Immunohistochemical analysis of paraffin-embedded human appendix using α-Smooth Muscle Actin (D4K9N) XP® Rabbit mAb.
undefined Image 14: TGF-beta Fibrosis Pathway Antibody Sampler Kit
Western blot analysis of extracts of HeLa cells, mock transfected or transfected with TGF-β1 precursor, using TGF-β (56E4) Rabbit mAb.
undefined Image 15: TGF-beta Fibrosis Pathway Antibody Sampler Kit
Orders: 877-616-CELL (2355) [email protected] Support: 877-678-TECH (8324) [email protected] Web: cellsignal.com
For Research Use Only. Not for Use in Diagnostic Procedures.

Revision 2

Cell Signaling Technology Logo
Western blot analysis of extracts from Hep G2 and HuH-7 cells, untreated (-) or treated with PNGase F (+), using TGF-β Receptor II (E5M6F) Rabbit mAb (upper) and GAPDH (D16H11) XP® Rabbit mAb #5174 (lower).
undefined Image 16: TGF-beta Fibrosis Pathway Antibody Sampler Kit
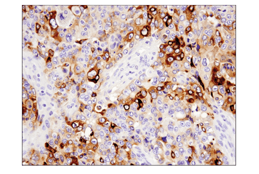
Immunohistochemical analysis of paraffin-embedded human lung squamous cell carcinoma using YKL-40 (E2L1M) Rabbit mAb.
undefined Image 17: TGF-beta Fibrosis Pathway Antibody Sampler Kit
Western blot analysis of extracts from various cell lines using Smad2 (D43B4) XP® Rabbit mAb.
undefined Image 18: TGF-beta Fibrosis Pathway Antibody Sampler Kit
Orders: 877-616-CELL (2355) [email protected] Support: 877-678-TECH (8324) [email protected] Web: cellsignal.com
For Research Use Only. Not for Use in Diagnostic Procedures.

Revision 2

Cell Signaling Technology Logo
Immunoprecipitation of SMAD2/3 protein from HCT116 extracts. Lane 1 is 10% input, lane 2 is Rabbit (DA1E) mAb IgG XP® Isotype Control #3900, and lane 3 is SMAD2/3 (D7G7) XP®. Western blot analysis was performed using SMAD2/3 (D7G7) XP®. Mouse Anti-rabbit IgG (Conformation Specific) (L27A9) mAb #3678 was used as a secondary antibody.
undefined Image 19: TGF-beta Fibrosis Pathway Antibody Sampler Kit
Immunoprecipitation of COL1A1 protein from U-118 MG cell extracts. Lane 1 is 10% input, lane 2 is Rabbit (DA1E) mAb IgG XP® Isotype Control #3900, and lane 3 is COL1A1 (E8I9Z) XP® Rabbit mAb. Western blot analysis was performed using COL1A1 (E8I9Z) XP® Rabbit mAb. Anti-rabbit IgG, HRP-linked Antibody #7074 was used as secondary antibody.
undefined Image 20: TGF-beta Fibrosis Pathway Antibody Sampler Kit
Confocal immunofluorescent analysis of serum-starved HT-1080 cells, untreated (left), treated with Human Transforming Growth Factor β3 (hTGF-β3) #8425 (100 ng/mL, 20 min; center), or treated with hTGF-β3 and post-processed with λ-phosphatase (right), using Phospho-Smad2 (Ser465/467) (E8F3R) Rabbit mAb (green). Actin filaments were labeled with DyLight™ 554 Phalloidin #13054 (red).
undefined Image 21: TGF-beta Fibrosis Pathway Antibody Sampler Kit
Orders: 877-616-CELL (2355) [email protected] Support: 877-678-TECH (8324) [email protected] Web: cellsignal.com
For Research Use Only. Not for Use in Diagnostic Procedures.

Revision 2

Cell Signaling Technology Logo
Immunohistochemical analysis of paraffin-embedded human ductal carcinoma of the breast using α-Smooth Muscle Actin (D4K9N) XP® Rabbit mAb.
undefined Image 22: TGF-beta Fibrosis Pathway Antibody Sampler Kit
Western blot analysis of extracts from K-562, Saos-2 and 786-0 cells using TGF-β (56E4) Rabbit mAb.
undefined Image 23: TGF-beta Fibrosis Pathway Antibody Sampler Kit
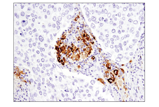
Immunohistochemical analysis of paraffin-embedded human non-Hodgkin's lymphoma using YKL-40 (E2L1M) Rabbit mAb.
undefined Image 24: TGF-beta Fibrosis Pathway Antibody Sampler Kit
Orders: 877-616-CELL (2355) [email protected] Support: 877-678-TECH (8324) [email protected] Web: cellsignal.com
For Research Use Only. Not for Use in Diagnostic Procedures.

Revision 2

Cell Signaling Technology Logo
Confocal immunofluorescent analysis of NIH/3T3 cells, serum-starved (left) or treated with hTGF-β3 #8425 (right), using Smad2 (D43B4) XP® Rabbit mAb (green). Actin filaments have been labeled with DY-554 phalloidin (red).
undefined Image 25: TGF-beta Fibrosis Pathway Antibody Sampler Kit
Confocal immunofluorescent analysis of HeLa cells, serum starved (left), treated with hTGF-β3 #8425 (100 ng/ml, 30 min, center), or treated with hTGF-β3 and SB43152 (10 ug/mL, 1 hr, right), using SMAD2/3 (D7G7) XP® Rabbit mAb (green). Actin filaments were labeled with DY-554 phalloidin (red).
undefined Image 26: TGF-beta Fibrosis Pathway Antibody Sampler Kit
Flow cytometric analysis of serum-starved HT-1080 cells, untreated (blue), treated with Human Transforming Growth Factor β3 (hTGF-β3) #8425 (100 ng/mL, 30 min; green) or pretreated with SB43152 (10 ug/mL, 30 min) and treated with hTGF-β3 (100 ng/mL, 30 min; red), using Phospho-Smad2 (Ser465/467) (E8F3R) Rabbit mAb (solid lines) or concentration-matched Rabbit (DA1E) mAb IgG XP® Isotype Control #3900 (dashed lines). Anti-rabbit IgG (H+L), F(ab')2 Fragment (Alexa Fluor® 488 Conjugate) #4412 was used as a secondary antibody.
undefined Image 27: TGF-beta Fibrosis Pathway Antibody Sampler Kit
Orders: 877-616-CELL (2355) [email protected] Support: 877-678-TECH (8324) [email protected] Web: cellsignal.com
For Research Use Only. Not for Use in Diagnostic Procedures.

Revision 2

Cell Signaling Technology Logo
Immunohistochemical analysis of paraffin-embedded human colon carcinoma using α-Smooth Muscle Actin (D4K9N) XP® Rabbit mAb.
undefined Image 28: TGF-beta Fibrosis Pathway Antibody Sampler Kit
Immunohistochemical analysis of paraffin-embedded human serous papillary carcinoma of the ovary using YKL-40 (E2L1M) Rabbit mAb.
undefined Image 29: TGF-beta Fibrosis Pathway Antibody Sampler Kit
Flow cytometric analysis of HeLa cells using SMAD2 (D43B4) XP® Rabbit mAb (solid line) compared to concentration-matched Rabbit (DA1E) mAb IgG XP® Isotype Control #3900 (dashed line). Anti-rabbit IgG (H+L), F(ab')2 Fragment (Alexa Fluor® 488 Conjugate) #4412 was used as a secondary antibody.
undefined Image 30: TGF-beta Fibrosis Pathway Antibody Sampler Kit
Orders: 877-616-CELL (2355) [email protected] Support: 877-678-TECH (8324) [email protected] Web: cellsignal.com
For Research Use Only. Not for Use in Diagnostic Procedures.

Revision 2

Cell Signaling Technology Logo
Flow cytometric analysis of HeLa cells using SMAD2/3 (D7G7) XP® Rabbit mAb (solid line) compared to concentration-matched Rabbit (DA1E) mAb IgG XP® Isotype Control #3900 (dashed line). Anti-rabbit IgG (H+L), F(ab')2 Fragment (Alexa Fluor® 488 Conjugate) #4412 was used as a secondary control.
undefined Image 31: TGF-beta Fibrosis Pathway Antibody Sampler Kit
Chromatin immunoprecipitations were performed with cross-linked chromatin from HaCaT cells treated with Human Growth Factor β1 #8915 (7 ng/ml, 1 hr) and either Phospho-SMAD2 (Ser465/Ser467) (E8F3R) Rabbit mAb or Normal Rabbit IgG #2729 using SimpleChIP® Plus Enzymatic Chromatin IP Kit (Magnetic Beads) #9005. The enriched DNA was quantified by real-time PCR using SimpleChIP® Human ID1 Promoter Primers #5139, Human JunB Promoter Primers, and SimpleChIP® Human α Satellite Repeat Primers #4486. The amount of immunoprecipitated DNA in each sample is represented as signal relative to the total amount of input chromatin, which is equivalent to one.
undefined Image 32: TGF-beta Fibrosis Pathway Antibody Sampler Kit
Immunohistochemical analysis of paraffin-embedded human non-small cell lung carcinoma using α-Smooth Muscle Actin (D4K9N) XP® Rabbit mAb.
undefined Image 33: TGF-beta Fibrosis Pathway Antibody Sampler Kit
Orders: 877-616-CELL (2355) [email protected] Support: 877-678-TECH (8324) [email protected] Web: cellsignal.com
For Research Use Only. Not for Use in Diagnostic Procedures.

Revision 2

Cell Signaling Technology Logo
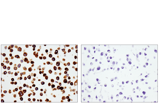
Immunohistochemical analysis of paraffin-embedded THP-1 cell pellet (left, positive) or A-204 cell pellet (right, negative) using YKL-40 (E2L1M) Rabbit mAb.
undefined Image 34: TGF-beta Fibrosis Pathway Antibody Sampler Kit
Immunohistochemical analysis of paraffin-embedded human prostate carcinoma using α-Smooth Muscle Actin (D4K9N) XP® Rabbit mAb.
undefined Image 35: TGF-beta Fibrosis Pathway Antibody Sampler Kit
Confocal immunofluorescent analysis of THP-1 cells (left, positive) and A-204 cells (right, negative) using YKL-40 (E2L1M) Rabbit mAb (green). Actin filaments were labeled with DyLight™ 554 Phalloidin #13054 (red). Samples were mounted in ProLong® Gold Antifade Reagent with DAPI #8961 (blue).
undefined Image 36: TGF-beta Fibrosis Pathway Antibody Sampler Kit
Orders: 877-616-CELL (2355) [email protected] Support: 877-678-TECH (8324) [email protected] Web: cellsignal.com
For Research Use Only. Not for Use in Diagnostic Procedures.

Revision 2

Cell Signaling Technology Logo
Chromatin immunoprecipitations were performed with cross-linked chromatin from HaCaT cells treated with Human TGF-β3 #8425 (7 ng/ml) for 1 h and either Smad2 (D43B4) XP® Rabbit mAb #5339 or Normal Rabbit IgG #2729 using SimpleChIP® Plus Enzymatic Chromatin IP Kit (Magnetic Beads) #9005. The enriched DNA was quantified by real-time PCR using SimpleChIP® Human CDKN1A Intron 1 Primers #4669, SimpleChIP® Human ID1 Promoter Primers #5139, and SimpleChIP® Human α Satellite Repeat Primers #4486. The amount of immunoprecipitated DNA in each sample is represented as signal relative to the total amount of input chromatin, which is equivalent to one.
undefined Image 37: TGF-beta Fibrosis Pathway Antibody Sampler Kit
Chromatin immunoprecipitations were performed with cross-linked chromatin from HaCaT cells treated with hTGF-β3 #8425 (7 ng/ml, 1 hr) and SMAD2/3 (D7G7) XP® Rabbit mAb, using SimpleChIP® Enzymatic Chromatin IP Kit (Magnetic Beads) #9003. DNA Libraries were prepared using DNA Library Prep Kit for Illumina® (ChIP-seq, CUT&RUN) #56795. The figure shows binding across ID1, a known target gene of SMAD2/3 (see additional figure containing ChIP-qPCR data). For additional ChIP-seq tracks, please download the product datasheet.
undefined Image 38: TGF-beta Fibrosis Pathway Antibody Sampler Kit
Immunohistochemical analysis of paraffin-embedded mouse small intestine using α-Smooth Muscle Actin (D4K9N) XP® Rabbit mAb.
undefined Image 39: TGF-beta Fibrosis Pathway Antibody Sampler Kit
Orders: 877-616-CELL (2355) [email protected] Support: 877-678-TECH (8324) [email protected] Web: cellsignal.com
For Research Use Only. Not for Use in Diagnostic Procedures.

Revision 2

Cell Signaling Technology Logo
Chromatin immunoprecipitations were performed with cross-linked chromatin from HaCaT cells treated with hTGF-β3 #8425 (7 ng/ml, 1 hr) and SMAD2/3 (D7G7) XP® Rabbit mAb, using SimpleChIP® Enzymatic Chromatin IP Kit (Magnetic Beads) #9003. DNA Libraries were prepared using DNA Library Prep Kit for Illumina® (ChIP-seq, CUT&RUN) #56795. The figure shows binding across chromosome 20 (upper), including ID1 (lower), a known target gene of SMAD2/3 (see additional figure containing ChIP-qPCR data).
undefined Image 40: TGF-beta Fibrosis Pathway Antibody Sampler Kit
Immunohistochemical analysis of paraffin-embedded mouse skeletal muscle using α-Smooth Muscle Actin (D4K9N) XP® Rabbit mAb.
undefined Image 41: TGF-beta Fibrosis Pathway Antibody Sampler Kit
Chromatin immunoprecipitations were performed with cross-linked chromatin from HaCaT cells treated with hTGF-β3 #8425 (7 ng/ml, 1 hr) and either SMAD2/3 (D7G7) XP® Rabbit mAb or Normal Rabbit IgG #2729 using SimpleChIP® Enzymatic Chromatin IP Kit (Magnetic Beads) #9003. The enriched DNA was quantified by real-time PCR using SimpleChIP® Human CDKN1A Intron 1 Primers #4669, SimpleChIP® Human ID1 Promoter Primers #5139, and SimpleChIP® Human α Satellite Repeat Primers #4486. The amount of immunoprecipitated DNA in each sample is represented as signal relative to the total amount of input chromatin, which is equivalent to one.
undefined Image 42: TGF-beta Fibrosis Pathway Antibody Sampler Kit
Orders: 877-616-CELL (2355) [email protected] Support: 877-678-TECH (8324) [email protected] Web: cellsignal.com
For Research Use Only. Not for Use in Diagnostic Procedures.

Revision 2

Cell Signaling Technology Logo
Immunohistochemical analysis of paraffin-embedded rhesus monkey kidney using alpha-Smooth Muscle Actin (D4K9N) XP® Rabbit mAb.
undefined Image 43: TGF-beta Fibrosis Pathway Antibody Sampler Kit
Simple Western™ analysis of lysates (0.1 mg/mL) from Saos-2 cells using TGF-β (56E4) Rabbit mAb #3709. The virtual lane view (left) shows the target band (as indicated) at a 1:10 dilution of primary antibody. The corresponding electropherogram view (right) plots chemiluminescence by molecular weight along the capillary at a 1:10 dilution of primary antibody. This experiment was performed under reducing conditions on the Jess™ ​​​​​​​Simple Western instrument from ProteinSimple, a BioTechne brand, using the 12-230 kDa separation module.
undefined Image 44: TGF-beta Fibrosis Pathway Antibody Sampler Kit
Immunohistochemical analysis of paraffin-embedded rhesus monkey spleen using alpha-Smooth Muscle Actin (D4K9N) XP® Rabbit mAb.
undefined Image 45: TGF-beta Fibrosis Pathway Antibody Sampler Kit
Orders: 877-616-CELL (2355) [email protected] Support: 877-678-TECH (8324) [email protected] Web: cellsignal.com
For Research Use Only. Not for Use in Diagnostic Procedures.

Revision 2

Cell Signaling Technology Logo
Confocal immunofluorescent analysis of mouse small intestine (left) and skeletal muscle (right) using α-Smooth Muscle Actin (D4K9N) XP® Rabbit mAb (green). Actin filaments were labeled with DyLight™ 554 Phalloidin #13054 (red). Blue pseudocolor = DRAQ5® #4084 (fluorescent DNA dye).
undefined Image 46: TGF-beta Fibrosis Pathway Antibody Sampler Kit
Immunohistochemical analysis of paraffin-embedded rat colon using alpha-Smooth Muscle Actin (D4K9N) XP® Rabbit mAb.
undefined Image 47: TGF-beta Fibrosis Pathway Antibody Sampler Kit

Immunohistochemical analysis of paraffin-embedded rat brain using alpha-Smooth Muscle Actin (D4K9N) XP® Rabbit mAb.

undefined Image 48: TGF-beta Fibrosis Pathway Antibody Sampler Kit
Orders: 877-616-CELL (2355) [email protected] Support: 877-678-TECH (8324) [email protected] Web: cellsignal.com
For Research Use Only. Not for Use in Diagnostic Procedures.

Revision 2

Cell Signaling Technology Logo
Immunohistochemical analysis of paraffin-embedded Syrian hamster ovary using alpha-Smooth Muscle Actin (D4K9N) XP® Rabbit mAb.
undefined Image 49: TGF-beta Fibrosis Pathway Antibody Sampler Kit
Immunohistochemical analysis of paraffin-embedded Syrian hamster uterus using alpha-Smooth Muscle Actin (D4K9N) XP® Rabbit mAb.
undefined Image 50: TGF-beta Fibrosis Pathway Antibody Sampler Kit
Western blot analysis of extracts from HT-1080 cells, untreated (-) or treated with hTGF-β3 #8425 (10 ng/ml, 30 min; +), using SMAD2 (L16D3) Mouse mAb #3103 (Panel A) and Phospho-SMAD2 (Ser465/Ser467) (E8F3R) Rabbit mAb #18338 (Panel B). Anti-mouse IgG (H+L) (DyLight 680 Conjugate) #5470 (red) and Anti-rabbit IgG (H+L) (DyLight 800 4X PEG Conjugate) #5151 (green) were used as secondary antibodies.
undefined Image 51: TGF-beta Fibrosis Pathway Antibody Sampler Kit
Orders: 877-616-CELL (2355) [email protected] Support: 877-678-TECH (8324) [email protected] Web: cellsignal.com
For Research Use Only. Not for Use in Diagnostic Procedures.

Revision 2

Cell Signaling Technology Logo
Simple Western™ analysis of extracts (1 mg/mL) from Human Colon tissue using α-Smooth Muscle Actin (D4K9N) XP® Rabbit mAb #19245. The virtual lane view (left) shows a single target band (as indicated) at 1:10 and 1:50 dilutions of primary antibody. The corresponding electropherogram view (right) plots chemiluminescence by molecular weight along the capillary at 1:10 (blue line) and 1:50 (green line) dilutions of primary antibody. This experiment was performed under reducing conditions on the Jess™ Simple Western instrument from ProteinSimple, a BioTechne brand, using the 12-230 kDa separation module.
undefined Image 52: TGF-beta Fibrosis Pathway Antibody Sampler Kit
Simple WesternTM analysis of lysates (1 mg/ml) from THP-1 cells using YKL-40 (E2L1M) Rabbit mAb #47066. The virtual lane view (left) shows the target band (as indicated) at 1:10 and 1:50 dilutions of primary antibody. The corresponding electropherogram view (right) plots chemiluminescence by molecular weight along the capillary at 1:10 (blue line) and 1:50 (green line) dilutions of primary antibody. This experiment was performed under reducing conditions on the JessTM Simple Western instrument from ProteinSimple, a BioTechne brand, using the 12-230kDa.
undefined Image 53: TGF-beta Fibrosis Pathway Antibody Sampler Kit
Immunoprecipitation of Smad2 from HeLa cell extracts. Lane 1 is 10% input, lane 2 is Rabbit (DA1E) mAb IgG XP® Isotype Control #3900, and lane 3 is SMAD2 (D43B4) XP® Rabbit mAb. Western blot analysis was performed using SMAD2 (L16D3) Mouse mAb #3103. Anti-mouse IgG, HRP-linked Antibody #7076 was used as a secondary antibody.
undefined Image 54: TGF-beta Fibrosis Pathway Antibody Sampler Kit
Orders: 877-616-CELL (2355) [email protected] Support: 877-678-TECH (8324) [email protected] Web: cellsignal.com
For Research Use Only. Not for Use in Diagnostic Procedures.

Revision 2

Cell Signaling Technology Logo
Simple Western™ analysis of lysates (1.0 mg/mL) from serum starved HT-1080 cells treated + hTGF-β3 (10ng/mL, 30 mins) using Phospho-SMAD2 (Ser465/467)/SMAD3 (Ser423/425) (D27F4) Rabbit mAb #8828. The virtual lane view (left) shows the target band (as indicated) at 1:50 and 1:250 dilutions of primary antibody. The corresponding electropherogram view (right) plots chemiluminescence by molecular weight along the capillary at 1:50 (blue line) and 1:250 (green line) dilutions of primary antibody. This experiment was performed under reducing conditions on the Jess™ Simple Western instrument from ProteinSimple, a BioTechne brand, using the 12-230 kDa separation module.
undefined Image 55: TGF-beta Fibrosis Pathway Antibody Sampler Kit
Orders: 877-616-CELL (2355) [email protected] Support: 877-678-TECH (8324) [email protected] Web: cellsignal.com
For Research Use Only. Not for Use in Diagnostic Procedures.