Revision 3

#2429

Store at -20C

CST Logo
Orders:

877-616-CELL (2355)

[email protected]

Support:

877-678-TECH (8324)

3 Trask Lane | Danvers | Massachusetts | 01923 | USA

For Research Use Only. Not for Use in Diagnostic Procedures.

Applications:
W, IHC-P

Reactivity:
H M R

Sensitivity:
Endogenous

MW (kDa):
12

Source/Isotype:
Rabbit IgG

UniProt ID:
#P10599

Entrez-Gene Id:
7295

Product Usage Information

Application Dilution
Western Blotting 1:1000
Immunohistochemistry (Paraffin) 1:400

Storage

Supplied in 10 mM sodium HEPES (pH 7.5), 150 mM NaCl, 100 µg/ml BSA, 50% glycerol and less than 0.02% sodium azide. Store at –20°C. Do not aliquot the antibody.

For a carrier free (BSA and azide free) version of this product see product #78132.

Specificity/Sensitivity

Thioredoxin 1 (C63C6) Rabbit Monoclonal Antibody detects endogenous levels of total thioredoxin 1 protein.

Source / Purification

Thioredoxin 1 (C63C6) Rabbit mAb is produced by immunizing rabbits with a synthetic peptide corresponding to residues surrounding Ala9 of human thioredoxin 1.

Background

Thioredoxin is a small redox protein found in many eukaryotes and prokaryotes. A pair of cysteines within a highly conserved, active site sequence can be oxidized to form a disulfide bond that is then reduced by thioredoxin reductase (1). Multiple forms of thioredoxin have been identified, including cytosolic thioredoxin 1 (TRX1) and mitochondrial thioredoxin 2 (TRX2). Thioredoxin participates in many cellular processes including redox signaling, response to oxidative stress, and protein reduction (1). A potential role of thioredoxin in human disorders such as cancer, aging, and heart disease is currently under investigation (2). Thioredoxin can play a key role in cancer progression, because it acts as a negative regulator of the proapoptotic kinase ASK1 (3). Changes in thioredoxin expression have been associated with meningococcal septic shock and acute lung injury (4,5).

Species Reactivity

Species reactivity is determined by testing in at least one approved application (e.g., western blot).

Western Blot Buffer

IMPORTANT: For western blots, incubate membrane with diluted primary antibody in 5% w/v BSA, 1X TBS, 0.1% Tween® 20 at 4°C with gentle shaking, overnight.

Applications Key

W: Western Blotting IHC-P: Immunohistochemistry (Paraffin)

Cross-Reactivity Key

H: Human M: Mouse R: Rat

Trademarks and Patents

Cell Signaling Technology is a trademark of Cell Signaling Technology, Inc.

U.S. Patent No. 7,429,487, foreign equivalents, and child patents deriving therefrom.

All other trademarks are the property of their respective owners. Visit cellsignal.com/trademarks for more information.

Limited Uses

Except as otherwise expressly agreed in a writing signed by a legally authorized representative of CST, the following terms apply to Products provided by CST, its affiliates or its distributors. Any Customer's terms and conditions that are in addition to, or different from, those contained herein, unless separately accepted in writing by a legally authorized representative of CST, are rejected and are of no force or effect.

Products are labeled with For Research Use Only or a similar labeling statement and have not been approved, cleared, or licensed by the FDA or other regulatory foreign or domestic entity, for any purpose. Customer shall not use any Product for any diagnostic or therapeutic purpose, or otherwise in any manner that conflicts with its labeling statement. Products sold or licensed by CST are provided for Customer as the end-user and solely for research and development uses. Any use of Product for diagnostic, prophylactic or therapeutic purposes, or any purchase of Product for resale (alone or as a component) or other commercial purpose, requires a separate license from CST. Customer shall (a) not sell, license, loan, donate or otherwise transfer or make available any Product to any third party, whether alone or in combination with other materials, or use the Products to manufacture any commercial products, (b) not copy, modify, reverse engineer, decompile, disassemble or otherwise attempt to discover the underlying structure or technology of the Products, or use the Products for the purpose of developing any products or services that would compete with CST products or services, (c) not alter or remove from the Products any trademarks, trade names, logos, patent or copyright notices or markings, (d) use the Products solely in accordance with CST Product Terms of Sale and any applicable documentation, and (e) comply with any license, terms of service or similar agreement with respect to any third party products or services used by Customer in connection with the Products.

Orders: 877-616-CELL (2355) [email protected] Support: 877-678-TECH (8324) [email protected] Web: cellsignal.com
For Research Use Only. Not for Use in Diagnostic Procedures.

Revision 3

Cell Signaling Technology Logo
Western blot analysis of extracts from various cell types using Thioredoxin 1 (C63C6) Rabbit mAb.
Western Blotting Image 1: Thioredoxin 1 (C63C6) Rabbit Monoclonal Antibody
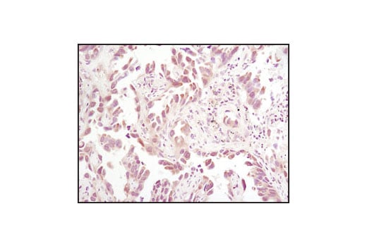
Immunohistochemical analysis of paraffin-embedded human lung carcinoma using Thioredoxin 1 (C63C6) Rabbit mAb.
Immunohistochemistry Image 1: Thioredoxin 1 (C63C6) Rabbit Monoclonal Antibody
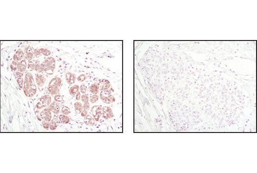
Immunohistochemical analysis of paraffin-embedded human breast carcinoma using Thioredoxin 1 (C63C6) Rabbit mAb in the presence of control peptide (left) or Thioredoxin Blocking Peptide #1057 (right).
Immunohistochemistry Image 2: Thioredoxin 1 (C63C6) Rabbit Monoclonal Antibody
Orders: 877-616-CELL (2355) [email protected] Support: 877-678-TECH (8324) [email protected] Web: cellsignal.com
For Research Use Only. Not for Use in Diagnostic Procedures.