Revision 4

#28755

Store at -20C

CST Logo
Orders:

877-616-CELL (2355)

[email protected]

Support:

877-678-TECH (8324)

3 Trask Lane | Danvers | Massachusetts | 01923 | USA

For Research Use Only. Not for Use in Diagnostic Procedures.

Applications:
W, IP, IHC-P, IF-IC, FC-FP

Reactivity:
H

Sensitivity:
Endogenous

MW (kDa):
26

Source/Isotype:
Rabbit IgG

UniProt ID:
#P04183

Entrez-Gene Id:
7083

Product Usage Information

Application Dilution
Western Blotting 1:1000
Immunoprecipitation 1:50
Immunohistochemistry (Paraffin) 1:50
Immunofluorescence (Immunocytochemistry) 1:50 - 1:200
Flow Cytometry (Fixed/Permeabilized) 1:100 - 1:400

Storage

Supplied in 10 mM sodium HEPES (pH 7.5), 150 mM NaCl, 100 µg/ml BSA, 50% glycerol and less than 0.02% sodium azide. Store at –20°C. Do not aliquot the antibody.

For a carrier free (BSA and azide free) version of this product see product #34017.

Specificity/Sensitivity

Thymidine Kinase 1 (E2H7Z) Rabbit Monoclonal Antibody recognizes endogenous levels of total thymidine kinase 1 protein.

Source / Purification

Monoclonal antibody is produced by immunizing animals with a synthetic peptide corresponding to residues surrounding Pro209 of human thymidine kinase 1 protein.

Background

Thymidine kinases play a critical role in generating the DNA synthetic precursor deoxythymidine triphosphate (dTTP) by catalyzing the phosphotransfer of phosphate from ATP to deoxythymidine (dT) and thymidine (T) in the cell. There are two known thymidine kinases, cytoplasmic thymidine kinase 1 (TK1) and mitochondrial thymidine kinase 2 (TK2) (1,2). Unlike TK2, which is not modulated by the cell cycle, TK1 expression and activity is regulated in a cell cycle-dependent manner, accumulating during G1-phase to peak levels in S-phase before being degraded prior to cell division (3,4). Stability, but not activity, may be regulated via phosphorylation of TK1 at Ser13 by Cdc2 and/or Cdk2, but the precise mode of regulation remains elusive (5). These observations indicate that TK1 might be a useful marker of cell proliferation; however, recent studies have shown that TK1 plays a more significant role in the DNA damage response (6). Genotoxic stress promotes increased TK1 expression and kinase activity resulting in reduced cellular apoptosis and enhanced DNA repair efficiency (6). More importantly, numerous studies show that TK1 expression and activity are upregulated during neoplasia and disease progression in humans, and increased serum levels of TK1 correlate with poor prognosis and decreased survival in patients with various types of advanced tumors (7-12).

Species Reactivity

Species reactivity is determined by testing in at least one approved application (e.g., western blot).

Western Blot Buffer

IMPORTANT: For western blots, incubate membrane with diluted primary antibody in 5% w/v BSA, 1X TBS, 0.1% Tween® 20 at 4°C with gentle shaking, overnight.

Applications Key

W: Western Blotting IP: Immunoprecipitation IHC-P: Immunohistochemistry (Paraffin) IF-IC: Immunofluorescence (Immunocytochemistry) FC-FP: Flow Cytometry (Fixed/Permeabilized)

Cross-Reactivity Key

H: Human

Trademarks and Patents

Cell Signaling Technology is a trademark of Cell Signaling Technology, Inc.

Alexa Fluor is a registered trademark of Life Technologies Corporation.

All other trademarks are the property of their respective owners. Visit cellsignal.com/trademarks for more information.

Limited Uses

Except as otherwise expressly agreed in a writing signed by a legally authorized representative of CST, the following terms apply to Products provided by CST, its affiliates or its distributors. Any Customer's terms and conditions that are in addition to, or different from, those contained herein, unless separately accepted in writing by a legally authorized representative of CST, are rejected and are of no force or effect.

Products are labeled with For Research Use Only or a similar labeling statement and have not been approved, cleared, or licensed by the FDA or other regulatory foreign or domestic entity, for any purpose. Customer shall not use any Product for any diagnostic or therapeutic purpose, or otherwise in any manner that conflicts with its labeling statement. Products sold or licensed by CST are provided for Customer as the end-user and solely for research and development uses. Any use of Product for diagnostic, prophylactic or therapeutic purposes, or any purchase of Product for resale (alone or as a component) or other commercial purpose, requires a separate license from CST. Customer shall (a) not sell, license, loan, donate or otherwise transfer or make available any Product to any third party, whether alone or in combination with other materials, or use the Products to manufacture any commercial products, (b) not copy, modify, reverse engineer, decompile, disassemble or otherwise attempt to discover the underlying structure or technology of the Products, or use the Products for the purpose of developing any products or services that would compete with CST products or services, (c) not alter or remove from the Products any trademarks, trade names, logos, patent or copyright notices or markings, (d) use the Products solely in accordance with CST Product Terms of Sale and any applicable documentation, and (e) comply with any license, terms of service or similar agreement with respect to any third party products or services used by Customer in connection with the Products.

Orders: 877-616-CELL (2355) [email protected] Support: 877-678-TECH (8324) [email protected] Web: cellsignal.com
For Research Use Only. Not for Use in Diagnostic Procedures.

Revision 4

Cell Signaling Technology Logo
Western blot analysis of extracts from HT-29 cells, mock treated (-) or aphidicolin-treated (10 μg/ml, 24 hr; +) and HCT 116 cells, wild-type (-) or thymidine kinase 1 knockout (+), using Thymidine Kinase 1 (E2H7Z) Rabbit mAb (upper) or β-Actin (D6A8) Rabbit mAb #8457 (lower).
Western Blotting Image 1: Thymidine Kinase 1 (E2H7Z) Rabbit Monoclonal Antibody
Immunoprecipitation of Thymidine Kinase 1 from HT-29 cell extracts treated with aphidicolin (10 μg/ml, 24 hr). Lane 1 is 10% input, lane 2 is Rabbit (DA1E) mAb IgG XP® Isotype Control #3900, and lane 3 is Thymidine Kinase 1 (E2H7Z) Rabbit mAb. Western blot analysis was performed using Thymidine Kinase 1 (E2H7Z) Rabbit mAb. Anti-rabbit IgG, HRP-linked Antibody #7074 was used as a secondary antibody.
Immunoprecipitation Image 1: Thymidine Kinase 1 (E2H7Z) Rabbit Monoclonal Antibody
Immunohistochemical analysis of paraffin-embedded human ovarian papillary serous carcinoma using Thymidine Kinase 1 (E2H7Z) Rabbit mAb.
Immunohistochemistry Image 1: Thymidine Kinase 1 (E2H7Z) Rabbit Monoclonal Antibody
Orders: 877-616-CELL (2355) [email protected] Support: 877-678-TECH (8324) [email protected] Web: cellsignal.com
For Research Use Only. Not for Use in Diagnostic Procedures.

Revision 4

Cell Signaling Technology Logo
Immunohistochemical analysis of paraffin-embedded human gastric adenocarcinoma using Thymidine Kinase 1 (E2H7Z) Rabbit mAb.
Immunohistochemistry Image 2: Thymidine Kinase 1 (E2H7Z) Rabbit Monoclonal Antibody
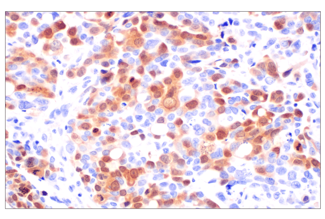
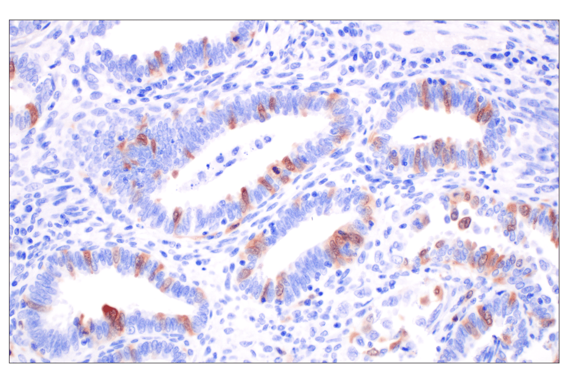
Immunohistochemical analysis of paraffin-embedded human endometrioid adenocarcinoma using Thymidine Kinase 1 (E2H7Z) Rabbit mAb.
Immunohistochemistry Image 3: Thymidine Kinase 1 (E2H7Z) Rabbit Monoclonal Antibody
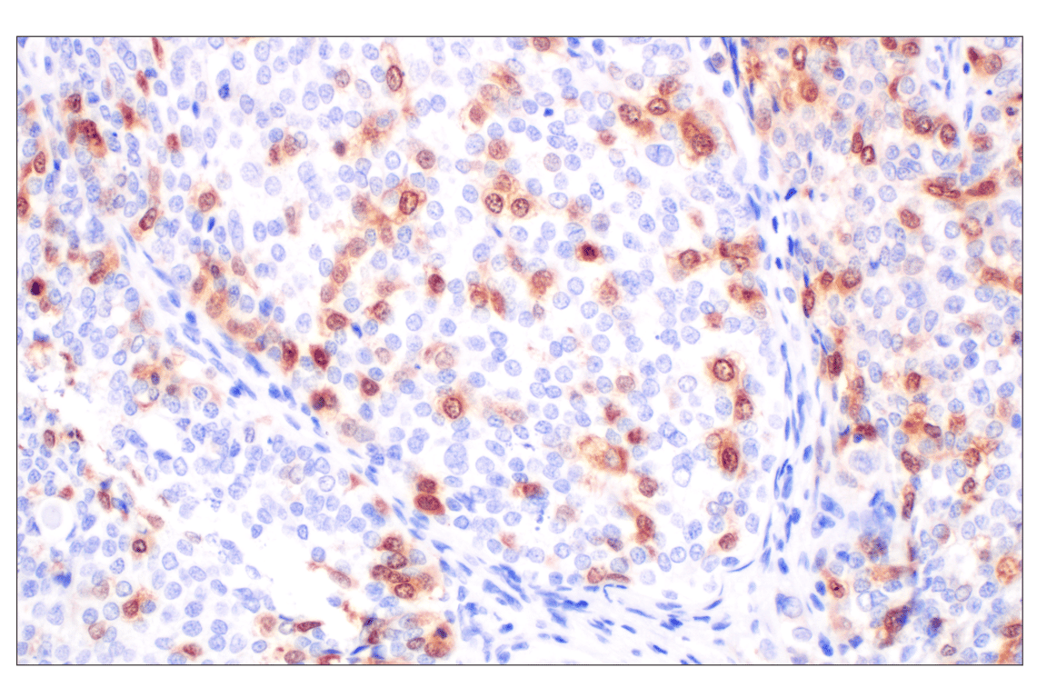
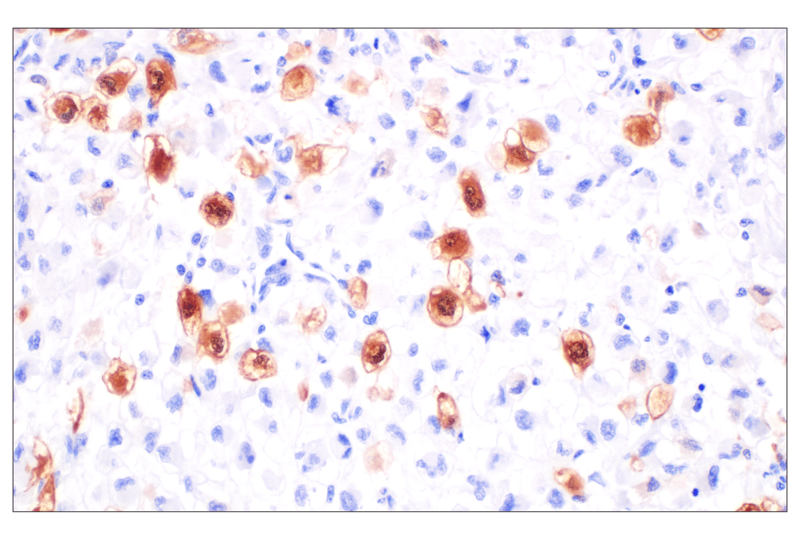
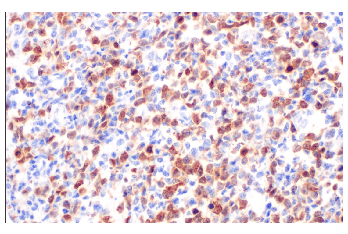
Immunohistochemical analysis of paraffin-embedded human B-cell non-Hodgkin lymphoma using Thymidine Kinase 1 (E2H7Z) Rabbit mAb.
Immunohistochemistry Image 4: Thymidine Kinase 1 (E2H7Z) Rabbit Monoclonal Antibody
Orders: 877-616-CELL (2355) [email protected] Support: 877-678-TECH (8324) [email protected] Web: cellsignal.com
For Research Use Only. Not for Use in Diagnostic Procedures.

Revision 4

Cell Signaling Technology Logo
Immunohistochemical analysis of paraffin-embedded human squamous cell lung carcinoma using Thymidine Kinase 1 (E2H7Z) Rabbit mAb.
Immunohistochemistry Image 5: Thymidine Kinase 1 (E2H7Z) Rabbit Monoclonal Antibody
Immunohistochemical analysis of paraffin-embedded human renal cell carcinoma using Thymidine Kinase 1 (E2H7Z) Rabbit mAb.
Immunohistochemistry Image 6: Thymidine Kinase 1 (E2H7Z) Rabbit Monoclonal Antibody
Immunohistochemical analysis of paraffin-embedded human tonsil using Thymidine Kinase 1 (E2H7Z) Rabbit mAb.
Immunohistochemistry Image 7: Thymidine Kinase 1 (E2H7Z) Rabbit Monoclonal Antibody
Orders: 877-616-CELL (2355) [email protected] Support: 877-678-TECH (8324) [email protected] Web: cellsignal.com
For Research Use Only. Not for Use in Diagnostic Procedures.

Revision 4

Cell Signaling Technology Logo
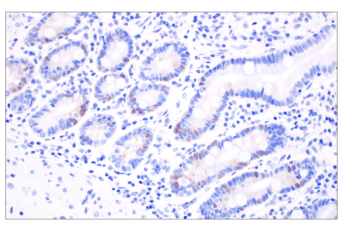
Immunohistochemical analysis of paraffin-embedded normal human small intestine using Thymidine Kinase 1 (E2H7Z) Rabbit mAb.
Immunohistochemistry Image 8: Thymidine Kinase 1 (E2H7Z) Rabbit Monoclonal Antibody
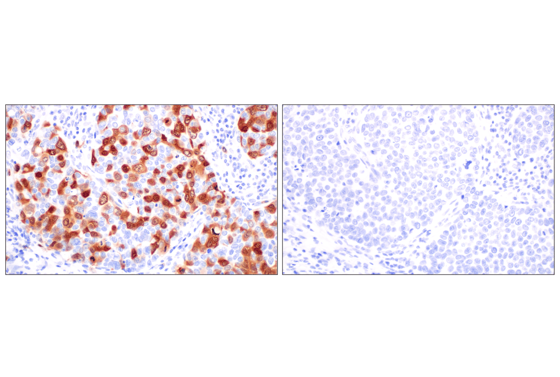
Immunohistochemical analysis of paraffin-embedded ductal breast carcinoma using Thymidine Kinase 1 (E2H7Z) Rabbit mAb (left) compared to concentration-matched Rabbit (DA1E) mAb IgG XP® Isotype Control #3900 (right).
Immunohistochemistry Image 9: Thymidine Kinase 1 (E2H7Z) Rabbit Monoclonal Antibody
Confocal immunofluorescent analysis of HCT 116 cells, wild-type (left, positive) or thymidine kinase 1 knockout (right, negative), using Thymidine Kinase 1 (E2H7Z) Rabbit mAb (green). Actin filaments were labeled with DyLight™ 554 Phalloidin #13054 (red). Samples were mounted in ProLong® Gold Antifade Reagent with DAPI #8961 (blue).
Immunofluorescence Image 1: Thymidine Kinase 1 (E2H7Z) Rabbit Monoclonal Antibody
Orders: 877-616-CELL (2355) [email protected] Support: 877-678-TECH (8324) [email protected] Web: cellsignal.com
For Research Use Only. Not for Use in Diagnostic Procedures.

Revision 4

Cell Signaling Technology Logo
Flow cytometric analysis of HCT 116 cells, wild-type (green, positive) or thymidine kinase 1 knockout (blue, negative), using Thymidine Kinase 1 (E2H7Z) Rabbit mAb (solid lines) or a concentration-matched Rabbit (DA1E) mAb IgG XP® Isotype Control #3900 (dashed lines). Anti-rabbit IgG (H+L), F(ab')2 Fragment (Alexa Fluor® 488 Conjugate) #4412 was used as a secondary antibody.
Flow Cytometry Image 1: Thymidine Kinase 1 (E2H7Z) Rabbit Monoclonal Antibody
Orders: 877-616-CELL (2355) [email protected] Support: 877-678-TECH (8324) [email protected] Web: cellsignal.com
For Research Use Only. Not for Use in Diagnostic Procedures.