Revision 3

#86050

Store at -20C

CST Logo
Orders:

877-616-CELL (2355)

[email protected]

Support:

877-678-TECH (8324)

3 Trask Lane | Danvers | Massachusetts | 01923 | USA

For Research Use Only. Not for Use in Diagnostic Procedures.

Applications:
W, IP

Reactivity:
H

Sensitivity:
Endogenous

MW (kDa):
42, 44

Source/Isotype:
Rabbit IgG

UniProt ID:
#P31483

Entrez-Gene Id:
7072

Product Usage Information

Application Dilution
Western Blotting 1:1000
Immunoprecipitation 1:100

Storage

Supplied in 10 mM sodium HEPES (pH 7.5), 150 mM NaCl, 100 µg/ml BSA, 50% glycerol and less than 0.02% sodium azide. Store at –20°C. Do not aliquot the antibody.

Specificity/Sensitivity

TIA-1 (D1Q3K) Rabbit Monoclonal Antibody recognizes endogenous levels of total TIA-1 protein.

Source / Purification

Monoclonal antibody is produced by immunizing animals with a synthetic peptide corresponding to residues near the carboxy terminus of human TIA-1 protein.

Background

T-cell intracellular antibody 1 (TIA-1) is a member of the RNA-recognition motif (RRM) family of RNA-binding proteins that was originally found to induce DNA fragmentation in digitonin-permeabilized thymocytes (1). TIA-1 protein has about 80% identity to the related TIAR protein, both of which possess three amino-terminal RRM domains and a glutamine-rich carboxyl terminus (1,2). Alternative splicing is responsible for generating at least two isoforms of TIA-1 and TIAR (3,4). Several research studies indicate that TIA-1 and TIAR play a role in apoptosis, cellular stress, and inflammation. Importantly, TIA-1 and TIAR translocate from the nucleus to stress granules in response to a variety of environmental stresses (5-8). Stress granules function as sites of translational repression in response to potentially damaging conditions. mRNA transcripts targeted by TIA-1 and TIAR include TNF-α, Cox2, cytochrome c, GADD45α, and HIF-1α (8-13).

Species Reactivity

Species reactivity is determined by testing in at least one approved application (e.g., western blot).

Western Blot Buffer

IMPORTANT: For western blots, incubate membrane with diluted primary antibody in 5% w/v BSA, 1X TBS, 0.1% Tween® 20 at 4°C with gentle shaking, overnight.

Applications Key

W: Western Blotting IP: Immunoprecipitation

Cross-Reactivity Key

H: Human

Trademarks and Patents

Cell Signaling Technology is a trademark of Cell Signaling Technology, Inc.

KARPAS cell line source: Dr. Abraham Karpas at the University of Cambridge.

All other trademarks are the property of their respective owners. Visit cellsignal.com/trademarks for more information.

Limited Uses

Except as otherwise expressly agreed in a writing signed by a legally authorized representative of CST, the following terms apply to Products provided by CST, its affiliates or its distributors. Any Customer's terms and conditions that are in addition to, or different from, those contained herein, unless separately accepted in writing by a legally authorized representative of CST, are rejected and are of no force or effect.

Products are labeled with For Research Use Only or a similar labeling statement and have not been approved, cleared, or licensed by the FDA or other regulatory foreign or domestic entity, for any purpose. Customer shall not use any Product for any diagnostic or therapeutic purpose, or otherwise in any manner that conflicts with its labeling statement. Products sold or licensed by CST are provided for Customer as the end-user and solely for research and development uses. Any use of Product for diagnostic, prophylactic or therapeutic purposes, or any purchase of Product for resale (alone or as a component) or other commercial purpose, requires a separate license from CST. Customer shall (a) not sell, license, loan, donate or otherwise transfer or make available any Product to any third party, whether alone or in combination with other materials, or use the Products to manufacture any commercial products, (b) not copy, modify, reverse engineer, decompile, disassemble or otherwise attempt to discover the underlying structure or technology of the Products, or use the Products for the purpose of developing any products or services that would compete with CST products or services, (c) not alter or remove from the Products any trademarks, trade names, logos, patent or copyright notices or markings, (d) use the Products solely in accordance with CST Product Terms of Sale and any applicable documentation, and (e) comply with any license, terms of service or similar agreement with respect to any third party products or services used by Customer in connection with the Products.

Orders: 877-616-CELL (2355) [email protected] Support: 877-678-TECH (8324) [email protected] Web: cellsignal.com
For Research Use Only. Not for Use in Diagnostic Procedures.

Revision 3

Cell Signaling Technology Logo
Western blot analysis of extracts from various cell lines uisng TIA-1 (D1Q3K) Rabbit mAb.
Western Blotting Image 1: TIA-1 (D1Q3K) Rabbit Monoclonal Antibody
Western blot analysis of HAP1 extracts from WT (left) or TIA1 KO (right) using TIA-1 (D1Q3K) Rabbit mAb. Membranes stained with Ponceau S for total protein normalization (lower). These data were provided by YCharOS Inc., an open science company with the mission of characterizing commercially available antibodies, as a companion to validation data generated by CST scientists.
Western Blotting Image 2: TIA-1 (D1Q3K) Rabbit Monoclonal Antibody
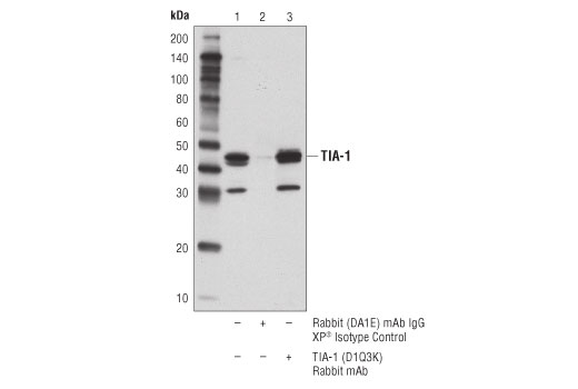
Immunoprecipitation of TIA-1 from KARPAS-299 cell lysates. Lane 1 represents 10% input, lane 2 is Rabbit (DA1E) mAb IgG XP® Isotype Control #3900, and lane 3 is TIA-1 (D1Q3K) Rabbit mAb. Western blot was performed using TIA-1 (D1Q3K) Rabbit mAb. A conformation specific secondary antibody was used to avoid cross-reactivity with IgG. Cell line source: Dr. Abraham Karpas at the University of Cambridge.
Immunoprecipitation Image 1: TIA-1 (D1Q3K) Rabbit Monoclonal Antibody
Orders: 877-616-CELL (2355) [email protected] Support: 877-678-TECH (8324) [email protected] Web: cellsignal.com
For Research Use Only. Not for Use in Diagnostic Procedures.