Revision 1

#79030

Store at -20C

CST Logo
Orders:

877-616-CELL (2355)

[email protected]

Support:

877-678-TECH (8324)

3 Trask Lane | Danvers | Massachusetts | 01923 | USA

For Research Use Only. Not for Use in Diagnostic Procedures.

Applications:
W, IP, IHC-P

Reactivity:
H M R Mk

Sensitivity:
Endogenous

MW (kDa):
140, 160, 180

Source/Isotype:
Rabbit IgG

UniProt ID:
#O15164

Entrez-Gene Id:
8805

Product Usage Information

Application Dilution
Western Blotting 1:1000
Immunoprecipitation 1:100
Immunohistochemistry (Paraffin) 1:100 - 1:400

Storage

Supplied in 10 mM sodium HEPES (pH 7.5), 150 mM NaCl, 100 µg/mL BSA, 50% glycerol, and less than 0.02% sodium azide. Store at –20°C. Do not aliquot the antibody.

Specificity/Sensitivity

TIF1 alpha/TRIM24 (E9T3N) Rabbit Monoclonal Antibody recognizes endogenous levels of total TIF1α/TRIM24 protein.

Source / Purification

Monoclonal antibody is produced by immunizing animals with recombinant protein specific to the carboxy terminus of human TIF1α/TRIM24 protein.

Background

TIF1α, also known as TRIM24, is a member of the TIF1 (transcriptional intermediary factor 1) family, a group of transcriptional regulators that play key roles in development and differentiation. Members of this family are characterized by the presence of two conserved motifs – an N-terminal RING-B box-coiled-coil motif and a C-terminal PHD finger and bromodomain unit (1,2). TIF1α binds to the ligand binding domain of several nuclear receptors to regulate their transcriptional activity (2-4). While initially found to attenuate activities of RAR and protect against hepatocellular carcinomas, TIF1α also plays a role in ERα, AR, and VDR signaling (5-9). TIF1α also functions as an E3 ubiquitin ligase, and negatively regulates p53 (10,11). TIF1α is phosphorylated by ATM at Ser768 upon DNA damage, a modification which disrupts TIF1α-p53 interaction (12). TIF1α is overexpressed in numerous cancer types, and acts via numerous oncogenic signaling pathways including PI3K/Akt, Wnt, and AMPK (13-17).

Species Reactivity

Species reactivity is determined by testing in at least one approved application (e.g., western blot).

Western Blot Buffer

IMPORTANT: For western blots, incubate membrane with diluted primary antibody in 5% w/v BSA, 1X TBS, 0.1% Tween® 20 at 4°C with gentle shaking, overnight.

Applications Key

W: Western Blotting IP: Immunoprecipitation IHC-P: Immunohistochemistry (Paraffin)

Cross-Reactivity Key

H: Human M: Mouse R: Rat Mk: Monkey

Trademarks and Patents

Cell Signaling Technology is a trademark of Cell Signaling Technology, Inc.

SignalStain is a registered trademark of Cell Signaling Technology, Inc.

All other trademarks are the property of their respective owners. Visit cellsignal.com/trademarks for more information.

Limited Uses

Except as otherwise expressly agreed in a writing signed by a legally authorized representative of CST, the following terms apply to Products provided by CST, its affiliates or its distributors. Any Customer's terms and conditions that are in addition to, or different from, those contained herein, unless separately accepted in writing by a legally authorized representative of CST, are rejected and are of no force or effect.

Products are labeled with For Research Use Only or a similar labeling statement and have not been approved, cleared, or licensed by the FDA or other regulatory foreign or domestic entity, for any purpose. Customer shall not use any Product for any diagnostic or therapeutic purpose, or otherwise in any manner that conflicts with its labeling statement. Products sold or licensed by CST are provided for Customer as the end-user and solely for research and development uses. Any use of Product for diagnostic, prophylactic or therapeutic purposes, or any purchase of Product for resale (alone or as a component) or other commercial purpose, requires a separate license from CST. Customer shall (a) not sell, license, loan, donate or otherwise transfer or make available any Product to any third party, whether alone or in combination with other materials, or use the Products to manufacture any commercial products, (b) not copy, modify, reverse engineer, decompile, disassemble or otherwise attempt to discover the underlying structure or technology of the Products, or use the Products for the purpose of developing any products or services that would compete with CST products or services, (c) not alter or remove from the Products any trademarks, trade names, logos, patent or copyright notices or markings, (d) use the Products solely in accordance with CST Product Terms of Sale and any applicable documentation, and (e) comply with any license, terms of service or similar agreement with respect to any third party products or services used by Customer in connection with the Products.

Orders: 877-616-CELL (2355) [email protected] Support: 877-678-TECH (8324) [email protected] Web: cellsignal.com
For Research Use Only. Not for Use in Diagnostic Procedures.

Revision 1

Cell Signaling Technology Logo
Western blot analysis of extracts from various cell lines using TIF1α/TRIM24 (E9T3N) Rabbit mAb.
Western Blotting Image 1: TIF1 alpha/TRIM24 (E9T3N) Rabbit Monoclonal Antibody
Western blot analysis of extracts from control HCT 116 cells (lane 1) or knockout HCT 116 cells (lane 2) using TIF1α/TRIM24 (E9T3N) Rabbit mAb (upper) or α-Actinin (D6F6) XP® Rabbit mAb #6487 (lower).
Western Blotting Image 2: TIF1 alpha/TRIM24 (E9T3N) Rabbit Monoclonal Antibody
Immunoprecipitation of TIF1α/TRIM24 protein from HCT 116 cell extracts. Lane 1 is 10% input, lane 2 is Rabbit (DA1E) mAb IgG XP® Isotype Control #3900, and lane 3 is TIF1α/TRIM24 (E9T3N) Rabbit mAb. Western blot analysis was performed using TIF1α/TRIM24 (E9T3N) Rabbit mAb. Anti-rabbit IgG, HRP-linked Antibody #7074 was used as the secondary antibody.
Immunoprecipitation Image 1: TIF1 alpha/TRIM24 (E9T3N) Rabbit Monoclonal Antibody
Orders: 877-616-CELL (2355) [email protected] Support: 877-678-TECH (8324) [email protected] Web: cellsignal.com
For Research Use Only. Not for Use in Diagnostic Procedures.

Revision 1

Cell Signaling Technology Logo
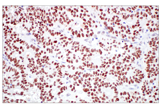
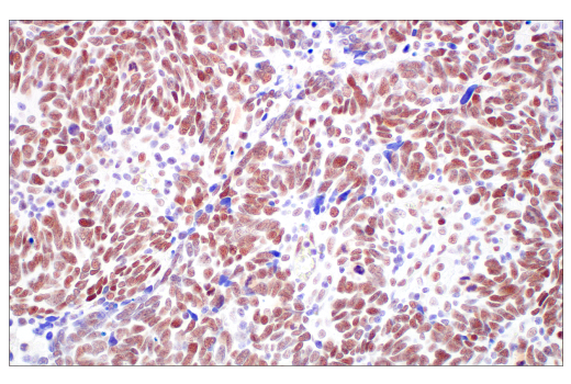
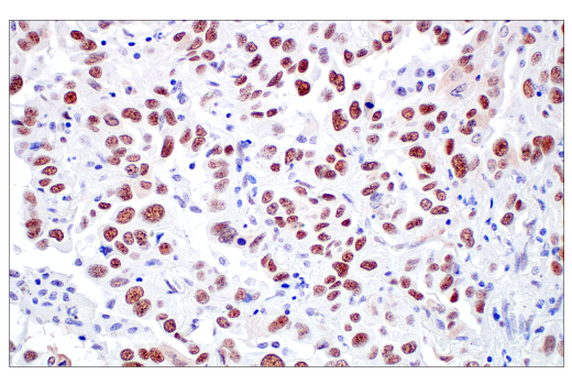
Immunohistochemical analysis of paraffin-embedded human urothelial carcinoma using TIF1α/TRIM24 (E9T3N) Rabbit mAb.
Immunohistochemistry Image 1: TIF1 alpha/TRIM24 (E9T3N) Rabbit Monoclonal Antibody
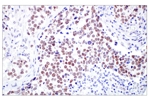
Immunohistochemical analysis of paraffin-embedded human colon adenocarcinoma using TIF1α/TRIM24 (E9T3N) Rabbit mAb.
Immunohistochemistry Image 2: TIF1 alpha/TRIM24 (E9T3N) Rabbit Monoclonal Antibody
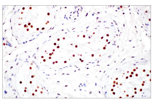
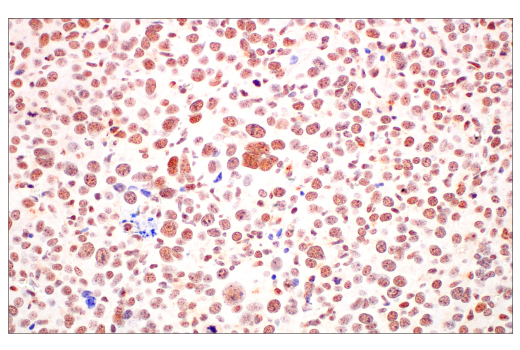
Immunohistochemical analysis of paraffin-embedded human gastrointestinal stromal tumor using TIF1α/TRIM24 (E9T3N) Rabbit mAb.
Immunohistochemistry Image 3: TIF1 alpha/TRIM24 (E9T3N) Rabbit Monoclonal Antibody
Orders: 877-616-CELL (2355) [email protected] Support: 877-678-TECH (8324) [email protected] Web: cellsignal.com
For Research Use Only. Not for Use in Diagnostic Procedures.

Revision 1

Cell Signaling Technology Logo
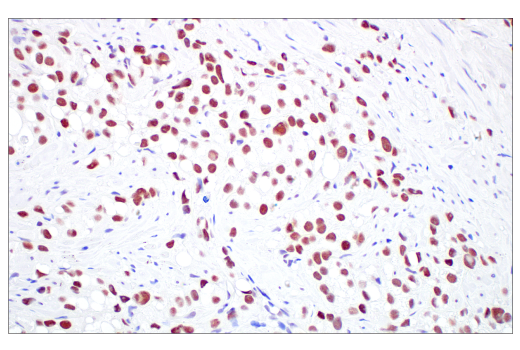
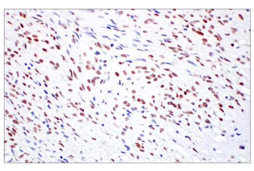
Immunohistochemical analysis of paraffin-embedded human large cell neuroendocrine lung carcinoma using TIF1α/TRIM24 (E9T3N) Rabbit mAb.
Immunohistochemistry Image 4: TIF1 alpha/TRIM24 (E9T3N) Rabbit Monoclonal Antibody
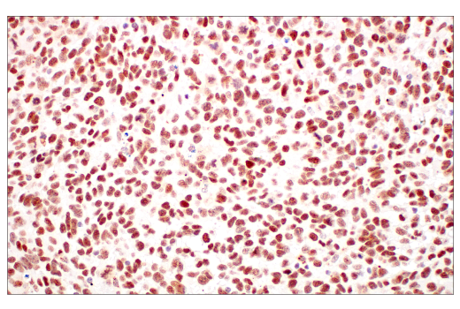
Immunohistochemical analysis of paraffin-embedded human non-small cell lung carcinoma using TIF1α/TRIM24 (E9T3N) Rabbit mAb.
Immunohistochemistry Image 5: TIF1 alpha/TRIM24 (E9T3N) Rabbit Monoclonal Antibody
Immunohistochemical analysis of paraffin-embedded human prostate adenocarcinoma using TIF1α/TRIM24 (E9T3N) Rabbit mAb.
Immunohistochemistry Image 6: TIF1 alpha/TRIM24 (E9T3N) Rabbit Monoclonal Antibody
Orders: 877-616-CELL (2355) [email protected] Support: 877-678-TECH (8324) [email protected] Web: cellsignal.com
For Research Use Only. Not for Use in Diagnostic Procedures.

Revision 1

Cell Signaling Technology Logo
Immunohistochemical analysis of paraffin-embedded human small cell carcinoma of the salivary gland using TIF1α/TRIM24 (E9T3N) Rabbit mAb.
Immunohistochemistry Image 7: TIF1 alpha/TRIM24 (E9T3N) Rabbit Monoclonal Antibody
Immunohistochemical analysis of paraffin-embedded normal human testis using TIF1α/TRIM24 (E9T3N) Rabbit mAb.
Immunohistochemistry Image 8: TIF1 alpha/TRIM24 (E9T3N) Rabbit Monoclonal Antibody
Immunohistochemical analysis of paraffin-embedded normal human placenta using TIF1α/TRIM24 (E9T3N) Rabbit mAb.
Immunohistochemistry Image 9: TIF1 alpha/TRIM24 (E9T3N) Rabbit Monoclonal Antibody
Orders: 877-616-CELL (2355) [email protected] Support: 877-678-TECH (8324) [email protected] Web: cellsignal.com
For Research Use Only. Not for Use in Diagnostic Procedures.

Revision 1

Cell Signaling Technology Logo
Immunohistochemical analysis of paraffin-embedded mouse testis using TIF1α/TRIM24 (E9T3N) Rabbit mAb.
Immunohistochemistry Image 10: TIF1 alpha/TRIM24 (E9T3N) Rabbit Monoclonal Antibody
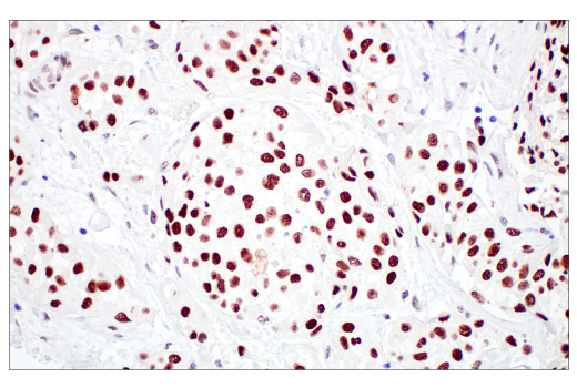
Immunohistochemical analysis of paraffin-embedded Renca syngeneic tumor using TIF1α/TRIM24 (E9T3N) Rabbit mAb.
Immunohistochemistry Image 11: TIF1 alpha/TRIM24 (E9T3N) Rabbit Monoclonal Antibody
Immunohistochemical analysis of paraffin-embedded GL261 syngeneic tumor using TIF1α/TRIM24 (E9T3N) Rabbit mAb.
Immunohistochemistry Image 12: TIF1 alpha/TRIM24 (E9T3N) Rabbit Monoclonal Antibody
Orders: 877-616-CELL (2355) [email protected] Support: 877-678-TECH (8324) [email protected] Web: cellsignal.com
For Research Use Only. Not for Use in Diagnostic Procedures.

Revision 1

Cell Signaling Technology Logo
Immunohistochemical analysis of paraffin-embedded human endometrioid adenocarcinoma using TIF1α/TRIM24 (E9T3N) Rabbit mAb (left) compared to concentration-matched Rabbit (DA1E) mAb IgG XP® Isotype Control #3900 (right). 
Immunohistochemistry Image 13: TIF1 alpha/TRIM24 (E9T3N) Rabbit Monoclonal Antibody
Immunohistochemical analysis of paraffin-embedded 22Rv1 cell pellet (left, high-expressing) or AsPC-1 cell pellet (right, low-expressing) using TIF1α/TRIM24 (E9T3N) Rabbit mAb.
Immunohistochemistry Image 14: TIF1 alpha/TRIM24 (E9T3N) Rabbit Monoclonal Antibody
Orders: 877-616-CELL (2355) [email protected] Support: 877-678-TECH (8324) [email protected] Web: cellsignal.com
For Research Use Only. Not for Use in Diagnostic Procedures.