Revision 18

#99567

Store at -20C

CST Logo
Orders:

877-616-CELL (2355)

[email protected]

Support:

877-678-TECH (8324)

3 Trask Lane | Danvers | Massachusetts | 01923 | USA

For Research Use Only. Not for Use in Diagnostic Procedures.

Applications:
W, IHC-P, IF-IC

Reactivity:
H

Sensitivity:
Endogenous

MW (kDa):
18, 30-40

Source/Isotype:
Rabbit IgG

UniProt ID:
#Q495A1

Entrez-Gene Id:
201633

Product Usage Information

Application Dilution
Western Blotting 1:2000
Immunohistochemistry (Paraffin) 1:200 - 1:800
Immunofluorescence (Immunocytochemistry) 1:800 - 1:3200

Storage

Supplied in 10 mM sodium HEPES (pH 7.5), 150 mM NaCl, 100 µg/ml BSA, 50% glycerol and less than 0.02% sodium azide. Store at –20°C. Do not aliquot the antibody.

For a carrier free (BSA and azide free) version of this product see product #17046.

Specificity/Sensitivity

TIGIT (E5Y1W) Rabbit Monoclonal Antibody recognizes endogenous levels of total TIGIT protein.

Source / Purification

Monoclonal antibody is produced by immunizing animals with recombinant protein specific to the carboxy terminus of human TIGIT protein. This antibody cross-reacts with an unidentified protein of 42 kDa in some cell extracts.

Background

T-cell immunoreceptor with Ig and ITIM domains (TIGIT), also known as VSIG9, VSTM3, and WUCAM, is a member of the poliovirus receptor family of immunoglobulin proteins (1-3). TIGIT is expressed at low levels on subsets of T cells and NK cells, and is upregulated at the protein level following activation of these cells (1-4). TIGIT marks exhausted T cells in the tumor microenvironment (5) and during human immunodeficiency virus (HIV) infection (6). Research has shown TIGIT interacts with several receptors expressed on antigen presenting cells, such as dendritic cells and macrophages, as well as tumor cells and cells of the microenvironment. TIGIT binds with high affinity to PVR/CD155, and with low affinity to Nectin-2/CD112 and Nectin-3/CD113 (2,4,7). Upon binding to its ligands, TIGIT suppresses T cell activation, and inhibits T and NK cell cytotoxicity. This inhibition can be blocked using monoclonal antibodies directed at the extracellular domain of TIGIT, resulting in rejuvenated antigen-specific CD8+ T cell responses in tumors and during HIV infection (5,6,8). Three potential isoforms of TIGIT have been computationally mapped (9).

Species Reactivity

Species reactivity is determined by testing in at least one approved application (e.g., western blot).

Western Blot Buffer

IMPORTANT: For western blots, incubate membrane with diluted primary antibody in 5% w/v nonfat dry milk, 1X TBS, 0.1% Tween® 20 at 4°C with gentle shaking, overnight.

Applications Key

W: Western Blotting IHC-P: Immunohistochemistry (Paraffin) IF-IC: Immunofluorescence (Immunocytochemistry)

Cross-Reactivity Key

H: Human

Trademarks and Patents

Cell Signaling Technology is a trademark of Cell Signaling Technology, Inc.

SignalStain is a registered trademark of Cell Signaling Technology, Inc.

All other trademarks are the property of their respective owners. Visit cellsignal.com/trademarks for more information.

Limited Uses

Except as otherwise expressly agreed in a writing signed by a legally authorized representative of CST, the following terms apply to Products provided by CST, its affiliates or its distributors. Any Customer's terms and conditions that are in addition to, or different from, those contained herein, unless separately accepted in writing by a legally authorized representative of CST, are rejected and are of no force or effect.

Products are labeled with For Research Use Only or a similar labeling statement and have not been approved, cleared, or licensed by the FDA or other regulatory foreign or domestic entity, for any purpose. Customer shall not use any Product for any diagnostic or therapeutic purpose, or otherwise in any manner that conflicts with its labeling statement. Products sold or licensed by CST are provided for Customer as the end-user and solely for research and development uses. Any use of Product for diagnostic, prophylactic or therapeutic purposes, or any purchase of Product for resale (alone or as a component) or other commercial purpose, requires a separate license from CST. Customer shall (a) not sell, license, loan, donate or otherwise transfer or make available any Product to any third party, whether alone or in combination with other materials, or use the Products to manufacture any commercial products, (b) not copy, modify, reverse engineer, decompile, disassemble or otherwise attempt to discover the underlying structure or technology of the Products, or use the Products for the purpose of developing any products or services that would compete with CST products or services, (c) not alter or remove from the Products any trademarks, trade names, logos, patent or copyright notices or markings, (d) use the Products solely in accordance with CST Product Terms of Sale and any applicable documentation, and (e) comply with any license, terms of service or similar agreement with respect to any third party products or services used by Customer in connection with the Products.

Orders: 877-616-CELL (2355) [email protected] Support: 877-678-TECH (8324) [email protected] Web: cellsignal.com
For Research Use Only. Not for Use in Diagnostic Procedures.

Revision 18

Cell Signaling Technology Logo
Western blot analysis of extracts from human CD8+ T cells and various human cell lines using TIGIT (E5Y1W) XP® Rabbit mAb (upper) and β-Actin (D6A8) Rabbit mAb #8457 (lower).
Western Blotting Image 1: TIGIT (E5Y1W) Rabbit Monoclonal Antibody
Immunohistochemical analysis of paraffin-embedded 293T cell pellets, control (left-top) or TIGIT-transfected (right-top), MJ [G11] cell pellet (left-bottom, positive), and purified CD8+ human peripheral blood mononuclear cell pellet (right-bottom, positive), using TIGIT (E5Y1W) XP® Rabbit mAb. CD8+ T cells were purified from human blood and stimulated for 7 days using beads coated with CD3 and CD28 antibodies in the presence of Human Interleukin-2 (hIL-2) #8907 (7 ng/mL).
Immunohistochemistry Image 1: TIGIT (E5Y1W) Rabbit Monoclonal Antibody
Immunohistochemical analysis of paraffin-embedded human urothelial carcinoma using TIGIT (E5Y1W) XP® Rabbit mAb.
Immunohistochemistry Image 2: TIGIT (E5Y1W) Rabbit Monoclonal Antibody
Orders: 877-616-CELL (2355) [email protected] Support: 877-678-TECH (8324) [email protected] Web: cellsignal.com
For Research Use Only. Not for Use in Diagnostic Procedures.

Revision 18

Cell Signaling Technology Logo
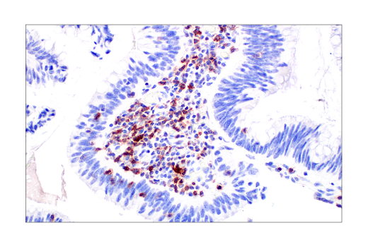
Immunohistochemical analysis of paraffin-embedded human colon adenocarcinoma using TIGIT (E5Y1W) XP® Rabbit mAb.
Immunohistochemistry Image 3: TIGIT (E5Y1W) Rabbit Monoclonal Antibody
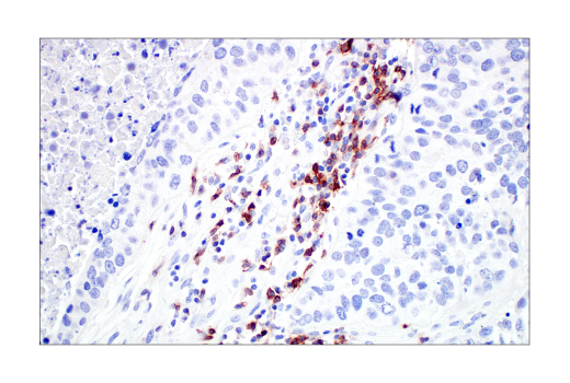
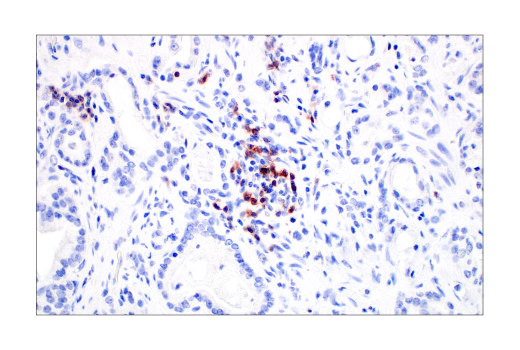
Immunohistochemical analysis of paraffin-embedded human esophageal carcinoma using TIGIT (E5Y1W) XP® Rabbit mAb.
Immunohistochemistry Image 4: TIGIT (E5Y1W) Rabbit Monoclonal Antibody
Immunohistochemical analysis of paraffin-embedded human squamous cell carcinoma of the tonsil using TIGIT (E5Y1W) XP® Rabbit mAb.
Immunohistochemistry Image 5: TIGIT (E5Y1W) Rabbit Monoclonal Antibody
Orders: 877-616-CELL (2355) [email protected] Support: 877-678-TECH (8324) [email protected] Web: cellsignal.com
For Research Use Only. Not for Use in Diagnostic Procedures.

Revision 18

Cell Signaling Technology Logo
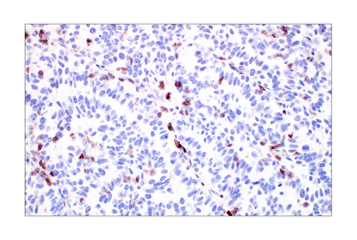
Immunohistochemical analysis of paraffin-embedded human non-small cell lung carcinoma using TIGIT (E5Y1W) XP® Rabbit mAb.
Immunohistochemistry Image 6: TIGIT (E5Y1W) Rabbit Monoclonal Antibody
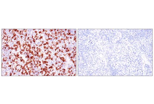
Immunohistochemical analysis of paraffin-embedded human B-cell non-Hodgkin lymphoma using TIGIT (E5Y1W) XP® Rabbit mAb (left) compared to concentration-matched Rabbit (DA1E) mAb IgG XP® Isotype Control #3900 (right).
Immunohistochemistry Image 7: TIGIT (E5Y1W) Rabbit Monoclonal Antibody
Immunohistochemical analysis of paraffin-embedded human prostate adenocarcinoma using TIGIT (E5Y1W) XP® Rabbit mAb.
Immunohistochemistry Image 8: TIGIT (E5Y1W) Rabbit Monoclonal Antibody
Orders: 877-616-CELL (2355) [email protected] Support: 877-678-TECH (8324) [email protected] Web: cellsignal.com
For Research Use Only. Not for Use in Diagnostic Procedures.

Revision 18

Cell Signaling Technology Logo
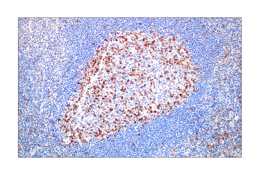
Immunohistochemical analysis of paraffin-embedded human tonsil using TIGIT (E5Y1W) XP® Rabbit mAb.
Immunohistochemistry Image 9: TIGIT (E5Y1W) Rabbit Monoclonal Antibody
Confocal immunofluorescent analysis of human CD8+ T cells using TIGIT (E5Y1W) XP® Rabbit mAb (green) and CD8α (RPA-T8) Mouse mAb (FITC Conjugate) #55397 (red pseudocolor). Samples were mounted in ProLong® Gold Antifade Reagent with DAPI #8961 (blue). CD8+ T cells were purified from human blood and stimulated for 7 days using beads coated with CD3 and CD28 antibodies in the presence of Human Interleukin-2 (hIL-2) #8907 (20 ng/mL).
Immunofluorescence Image 1: TIGIT (E5Y1W) Rabbit Monoclonal Antibody
Confocal immunofluorescent analysis of MJ [G11] cells (left, positive) and IGROV-1 cells (right, negative) using TIGIT (E5Y1W) XP® Rabbit mAb (green). Samples were mounted in ProLong® Gold Antifade Reagent with DAPI #8961 (blue).
Immunofluorescence Image 2: TIGIT (E5Y1W) Rabbit Monoclonal Antibody
Orders: 877-616-CELL (2355) [email protected] Support: 877-678-TECH (8324) [email protected] Web: cellsignal.com
For Research Use Only. Not for Use in Diagnostic Procedures.