Revision 5

#83882

Store at -20C

CST Logo
Orders:

877-616-CELL (2355)

[email protected]

Support:

877-678-TECH (8324)

3 Trask Lane | Danvers | Massachusetts | 01923 | USA

For Research Use Only. Not for Use in Diagnostic Procedures.

Applications:
W, IP, IHC-Bond, IHC-P

Reactivity:
M

Sensitivity:
Endogenous

MW (kDa):
45-80

Source/Isotype:
Rabbit IgG

UniProt ID:
#Q8VIM0

Entrez-Gene Id:
171285

Product Usage Information

Application Dilution
Western Blotting 1:1000
Immunoprecipitation 1:100
IHC Leica Bond 1:800
Immunohistochemistry (Paraffin) 1:200

Storage

Supplied in 10 mM sodium HEPES (pH 7.5), 150 mM NaCl, 100 µg/ml BSA, 50% glycerol and less than 0.02% sodium azide. Store at –20°C. Do not aliquot the antibody.

For a carrier free (BSA and azide free) version of this product see product #72911.

Specificity/Sensitivity

TIM-3 (D3M9R) Rabbit Monoclonal Antibody recognizes endogenous levels of total TIM-3 protein.

Source / Purification

Monoclonal antibody is produced by immunizing animals with a synthetic peptide corresponding to residues surrounding Pro137 of mouse TIM-3 protein.

Background

T cell Ig- and mucin-domain-containing molecules (TIMs) are a family of transmembrane proteins expressed by various immune cells. TIM-3 is an inhibitory molecule that is induced following T cell activation (1-3 ). TIM-3 is expressed by exhausted T cells in the settings of chronic infection and cancer (4,5), and tumor-infiltrating T cells that coexpress PD-1 and TIM-3 exhibit the most severe exhausted phenotype (5). Tumor-infiltrating dendritic cells (DCs) also express TIM-3. TIM-3 expression on DCs was found to suppress innate immunity by reducing the immunogenicity of nucleic acids released by dying tumor cells (6). Research studies show that heterodimerization of TIM-3 with CEACAM-1 is critical for the inhibitory function of TIM-3, and co-blockade of TIM-3 and CEACAM-1 enhanced anti-tumor responses in a mouse model of colorectal cancer (7). In addition, blockade of TIM-3 in mouse models of autoimmunity enhanced the severity of disease (1). Finally, binding of Galectin-9 to TIM-3 expressed by Th1 cells induces T cell death (8).

Species Reactivity

Species reactivity is determined by testing in at least one approved application (e.g., western blot).

Western Blot Buffer

IMPORTANT: For western blots, incubate membrane with diluted primary antibody in 5% w/v nonfat dry milk, 1X TBS, 0.1% Tween® 20 at 4°C with gentle shaking, overnight.

Applications Key

W: Western Blotting IP: Immunoprecipitation IHC-Bond: IHC Leica Bond IHC-P: Immunohistochemistry (Paraffin)

Cross-Reactivity Key

M: Mouse

Trademarks and Patents

Cell Signaling Technology is a trademark of Cell Signaling Technology, Inc.

SignalStain is a registered trademark of Cell Signaling Technology, Inc.

All other trademarks are the property of their respective owners. Visit cellsignal.com/trademarks for more information.

Limited Uses

Except as otherwise expressly agreed in a writing signed by a legally authorized representative of CST, the following terms apply to Products provided by CST, its affiliates or its distributors. Any Customer's terms and conditions that are in addition to, or different from, those contained herein, unless separately accepted in writing by a legally authorized representative of CST, are rejected and are of no force or effect.

Products are labeled with For Research Use Only or a similar labeling statement and have not been approved, cleared, or licensed by the FDA or other regulatory foreign or domestic entity, for any purpose. Customer shall not use any Product for any diagnostic or therapeutic purpose, or otherwise in any manner that conflicts with its labeling statement. Products sold or licensed by CST are provided for Customer as the end-user and solely for research and development uses. Any use of Product for diagnostic, prophylactic or therapeutic purposes, or any purchase of Product for resale (alone or as a component) or other commercial purpose, requires a separate license from CST. Customer shall (a) not sell, license, loan, donate or otherwise transfer or make available any Product to any third party, whether alone or in combination with other materials, or use the Products to manufacture any commercial products, (b) not copy, modify, reverse engineer, decompile, disassemble or otherwise attempt to discover the underlying structure or technology of the Products, or use the Products for the purpose of developing any products or services that would compete with CST products or services, (c) not alter or remove from the Products any trademarks, trade names, logos, patent or copyright notices or markings, (d) use the Products solely in accordance with CST Product Terms of Sale and any applicable documentation, and (e) comply with any license, terms of service or similar agreement with respect to any third party products or services used by Customer in connection with the Products.

Orders: 877-616-CELL (2355) [email protected] Support: 877-678-TECH (8324) [email protected] Web: cellsignal.com
For Research Use Only. Not for Use in Diagnostic Procedures.

Revision 5

Cell Signaling Technology Logo
Western blot analysis of extracts from various cell lines using TIM-3 (D3M9R) XP® Rabbit mAb (upper) or β-Actin (D6A8) Rabbit mAb #8457 (lower).
Western Blotting Image 1: TIM-3 (D3M9R) Rabbit Monoclonal Antibody
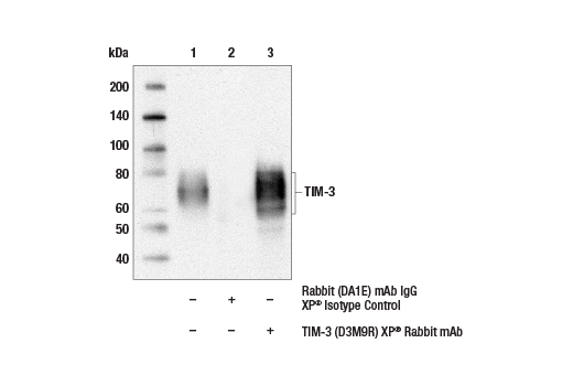
Immunoprecipitation of TIM-3 from Raw264.7 cell extracts. Lane 1 is 10% input, lane 2 is Rabbit (DA1E) XP® Isotype Control #3900, and lane 3 is TIM-3 (D3M9R) XP® Rabbit mAb. Western blot analysis was performed using TIM-3 (D3M9R) XP® Rabbit mAb.
Immunoprecipitation Image 1: TIM-3 (D3M9R) Rabbit Monoclonal Antibody
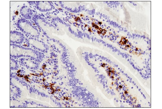
Immunohistochemical analysis of paraffin-embedded mouse small intestine using TIM-3 (D3M9R) XP® Rabbit mAb performed on the Leica® BOND™ Rx.
Immunohistochemistry Image 1: TIM-3 (D3M9R) Rabbit Monoclonal Antibody
Orders: 877-616-CELL (2355) [email protected] Support: 877-678-TECH (8324) [email protected] Web: cellsignal.com
For Research Use Only. Not for Use in Diagnostic Procedures.

Revision 5

Cell Signaling Technology Logo
Immunohistochemical analysis of paraffin-embedded mouse lung using TIM-3 (D3M9R) XP® Rabbit mAb.
Immunohistochemistry Image 1: TIM-3 (D3M9R) Rabbit Monoclonal Antibody
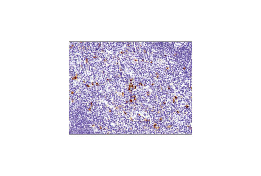
Immunohistochemical analysis of paraffin-embedded mouse spleen using TIM-3 (D3M9R) XP® Rabbit mAb.
Immunohistochemistry Image 2: TIM-3 (D3M9R) Rabbit Monoclonal Antibody
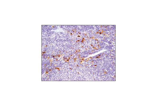
Immunohistochemical analysis of paraffin-embedded mouse thymus using TIM-3 (D3M9R) XP® Rabbit mAb.
Immunohistochemistry Image 3: TIM-3 (D3M9R) Rabbit Monoclonal Antibody
Orders: 877-616-CELL (2355) [email protected] Support: 877-678-TECH (8324) [email protected] Web: cellsignal.com
For Research Use Only. Not for Use in Diagnostic Procedures.