Revision 1

#34822

Store at -20C

CST Logo
Orders:

877-616-CELL (2355)

[email protected]

Support:

877-678-TECH (8324)

3 Trask Lane | Danvers | Massachusetts | 01923 | USA

For Research Use Only. Not for Use in Diagnostic Procedures.

Applications:
W, IF-IC

Reactivity:
H M R

Sensitivity:
Endogenous

MW (kDa):
22

Source/Isotype:
Rabbit IgG

UniProt ID:
#O14925

Entrez-Gene Id:
100287932

Product Usage Information

Application Dilution
Western Blotting 1:1000
Immunofluorescence (Immunocytochemistry) 1:400 - 1:800

Storage

Supplied in 10 mM sodium HEPES (pH 7.5), 150 mM NaCl, 100 µg/mL BSA, 50% glycerol, and less than 0.02% sodium azide. Store at –20°C. Do not aliquot the antibody.

Specificity/Sensitivity

TIM23 (E1Q7L) Rabbit Monoclonal Antibody recognizes endogenous levels of total TIM23 protein.

Source / Purification

Monoclonal antibody is produced by immunizing animals with a synthetic peptide corresponding to residues surrounding Ala29 of human TIM23 protein.

Background

TIM23 is a subunit of the mitochondrial import inner membrane translocase complex. This complex mediates translocation of presequence-containing proteins into the mitochondrial matrix and inner membrane. Besides TIM23, there are multiple subunits in the complex, including TIM17A, TIM17B, and TIM50 (1,2). Studies show that mutant huntingtin (mHTT), the protein causing neurodegenerative Huntington’s disease, binds to TIM23 subunit. There are less soluble matrix mitochondrial proteins imported by the TIM23 complex in cells expressing mHTT and in the brain tissues of Huntington’s disease patients when compared with controls (2). In addition, asbestos causes translocation of NOX4 to the mitochondrial matrix through direct interaction with TIM23 in lung macrophages. TIM23 increases NOX4-induced reactive oxygen species (ROS) in mitochondria and metabolic reprogramming to oxidative phosphorylation (3).

Species Reactivity

Species reactivity is determined by testing in at least one approved application (e.g., western blot).

Western Blot Buffer

IMPORTANT: For western blots, incubate membrane with diluted primary antibody in 5% w/v nonfat dry milk, 1X TBS, 0.1% Tween® 20 at 4°C with gentle shaking, overnight.

Applications Key

W: Western Blotting IF-IC: Immunofluorescence (Immunocytochemistry)

Cross-Reactivity Key

H: Human M: Mouse R: Rat

Trademarks and Patents

Cell Signaling Technology is a trademark of Cell Signaling Technology, Inc.

All other trademarks are the property of their respective owners. Visit cellsignal.com/trademarks for more information.

Limited Uses

Except as otherwise expressly agreed in a writing signed by a legally authorized representative of CST, the following terms apply to Products provided by CST, its affiliates or its distributors. Any Customer's terms and conditions that are in addition to, or different from, those contained herein, unless separately accepted in writing by a legally authorized representative of CST, are rejected and are of no force or effect.

Products are labeled with For Research Use Only or a similar labeling statement and have not been approved, cleared, or licensed by the FDA or other regulatory foreign or domestic entity, for any purpose. Customer shall not use any Product for any diagnostic or therapeutic purpose, or otherwise in any manner that conflicts with its labeling statement. Products sold or licensed by CST are provided for Customer as the end-user and solely for research and development uses. Any use of Product for diagnostic, prophylactic or therapeutic purposes, or any purchase of Product for resale (alone or as a component) or other commercial purpose, requires a separate license from CST. Customer shall (a) not sell, license, loan, donate or otherwise transfer or make available any Product to any third party, whether alone or in combination with other materials, or use the Products to manufacture any commercial products, (b) not copy, modify, reverse engineer, decompile, disassemble or otherwise attempt to discover the underlying structure or technology of the Products, or use the Products for the purpose of developing any products or services that would compete with CST products or services, (c) not alter or remove from the Products any trademarks, trade names, logos, patent or copyright notices or markings, (d) use the Products solely in accordance with CST Product Terms of Sale and any applicable documentation, and (e) comply with any license, terms of service or similar agreement with respect to any third party products or services used by Customer in connection with the Products.

Orders: 877-616-CELL (2355) [email protected] Support: 877-678-TECH (8324) [email protected] Web: cellsignal.com
For Research Use Only. Not for Use in Diagnostic Procedures.

Revision 1

Cell Signaling Technology Logo
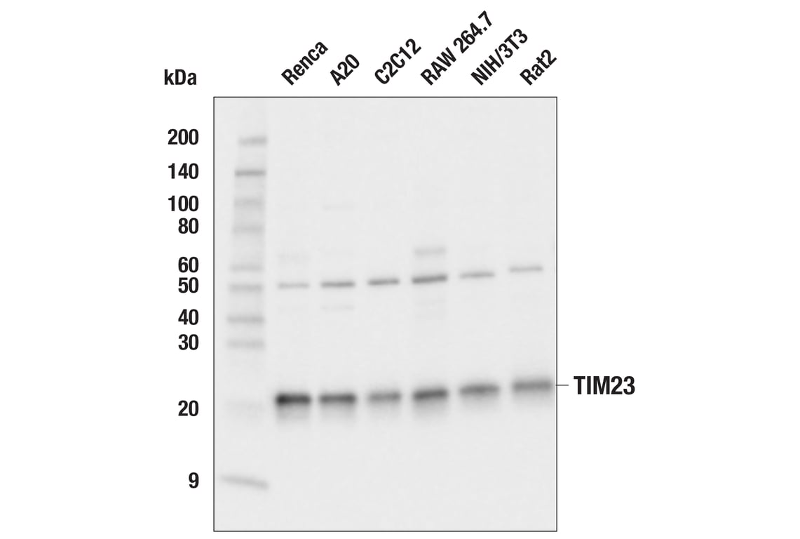
Western blot analysis of extracts from various cell lines using TIM23 (E1Q7L) Rabbit mAb.
Western Blotting Image 1: TIM23 (E1Q7L) Rabbit Monoclonal Antibody
Western blot analysis of extracts from HeLa cells, untreated (-) or treated with Staurosporine #9953 (1 μM) and Z-VAD(OMe)-FMK #60332 (50 μM) for 24 hr (+), using TIM23 (E1Q7L) Rabbit mAb (upper) or GAPDH (D16H11) XP® Rabbit mAb #5174 (lower). TIM23 protein level is reduced by staurosporine and Z-VAD(OMe)-FMK treatment as expected.
Western Blotting Image 2: TIM23 (E1Q7L) Rabbit Monoclonal Antibody
Western blot analysis of extracts from various cell lines using TIM23 (E1Q7L) Rabbit mAb.
Western Blotting Image 3: TIM23 (E1Q7L) Rabbit Monoclonal Antibody
Orders: 877-616-CELL (2355) [email protected] Support: 877-678-TECH (8324) [email protected] Web: cellsignal.com
For Research Use Only. Not for Use in Diagnostic Procedures.

Revision 1

Cell Signaling Technology Logo
Confocal immunofluorescent analysis of OVCAR-8 cells using TIM23 (E1Q7L) Rabbit mAb (left, green). Free secondary binding sites were then blocked with Rabbit (DA1E) mAb IgG XP® Isotype Control #3900 prior to co-labeling with COX IV (3E11) Rabbit mAb (Alexa Fluor® 647 Conjugate) #7561 (right, red) and DAPI #4083 (right, blue).
Immunofluorescence Image 1: TIM23 (E1Q7L) Rabbit Monoclonal Antibody
Confocal immunofluorescent analysis of HeLa cells, untreated (left) or treated with Staurosporine #9953 and Z-VAD(OMe)-FMK #60332 (1 μM and 50 μM, respectively, 24 hr; right), using TIM23 (E1Q7L) Rabbit mAb (green). Free secondary binding sites were then blocked with Rabbit (DA1E) mAb IgG XP® Isotype Control #3900 prior to co-labeling with COX IV (3E11) Rabbit mAb (Alexa Fluor® 647 Conjugate) #7561 (red) and DAPI #4083 (blue).
Immunofluorescence Image 2: TIM23 (E1Q7L) Rabbit Monoclonal Antibody
Orders: 877-616-CELL (2355) [email protected] Support: 877-678-TECH (8324) [email protected] Web: cellsignal.com
For Research Use Only. Not for Use in Diagnostic Procedures.