Revision 4

#8946

Store at -20C

CST Logo
Orders:

877-616-CELL (2355)

[email protected]

Support:

877-678-TECH (8324)

3 Trask Lane | Danvers | Massachusetts | 01923 | USA

For Research Use Only. Not for Use in Diagnostic Procedures.

Applications:
W, IHC-P

Reactivity:
H Mk

Sensitivity:
Endogenous

MW (kDa):
26

Source/Isotype:
Rabbit IgG

UniProt ID:
#P01033

Entrez-Gene Id:
7076

Product Usage Information

Application Dilution
Western Blotting 1:1000
Immunohistochemistry (Paraffin) 1:1000 - 1:4000

Storage

Supplied in 10 mM sodium HEPES (pH 7.5), 150 mM NaCl, 100 µg/ml BSA, 50% glycerol and less than 0.02% sodium azide. Store at –20°C. Do not aliquot the antibody.

For a carrier free (BSA and azide free) version of this product see product #76074.

Specificity/Sensitivity

TIMP1 (D10E6) Rabbit Monoclonal Antibody recognizes endogenous levels of total TIMP1 protein.

Source / Purification

Monoclonal antibody is produced by immunizing animals with a synthetic peptide corresponding to residues surrounding Ala134 of human TIMP1 protein.

Background

TIMPs are members of the family of tissue inhibitors of matrix metalloproteinases (MMPs) that includes TIMP1, TIMP2, TIMP3, and TIMP4. The main function of TIMPs is their inhibitory effect on MMPs. TIMPs irreversibly inactivate MMPs by directly binding to their catalytic zinc cofactor and resultant inhibition of proteinase function (1,2). In addition to MMP inhibition, TIMPs have also been shown to interact with various membrane receptors on the cell surface. Some of these interactions include TIMP1 with CD63, TIMP2 with α3β1 integrin, and TIMP3 with VEGFR2, all of which result in distinct cellular effects (3). TIMPs are involved in a wide variety of biological functions, such as tumor angiogenesis and progression (4,5), wound healing, and vascular remodeling (6,7). Mutations in TIMP3 are associated with Sorsby's fundus dystrophy (8,9).

Species Reactivity

Species reactivity is determined by testing in at least one approved application (e.g., western blot).

Western Blot Buffer

IMPORTANT: For western blots, incubate membrane with diluted primary antibody in 5% w/v BSA, 1X TBS, 0.1% Tween® 20 at 4°C with gentle shaking, overnight.

Applications Key

W: Western Blotting IHC-P: Immunohistochemistry (Paraffin)

Cross-Reactivity Key

H: Human Mk: Monkey

Trademarks and Patents

Cell Signaling Technology is a trademark of Cell Signaling Technology, Inc.

All other trademarks are the property of their respective owners. Visit cellsignal.com/trademarks for more information.

Limited Uses

Except as otherwise expressly agreed in a writing signed by a legally authorized representative of CST, the following terms apply to Products provided by CST, its affiliates or its distributors. Any Customer's terms and conditions that are in addition to, or different from, those contained herein, unless separately accepted in writing by a legally authorized representative of CST, are rejected and are of no force or effect.

Products are labeled with For Research Use Only or a similar labeling statement and have not been approved, cleared, or licensed by the FDA or other regulatory foreign or domestic entity, for any purpose. Customer shall not use any Product for any diagnostic or therapeutic purpose, or otherwise in any manner that conflicts with its labeling statement. Products sold or licensed by CST are provided for Customer as the end-user and solely for research and development uses. Any use of Product for diagnostic, prophylactic or therapeutic purposes, or any purchase of Product for resale (alone or as a component) or other commercial purpose, requires a separate license from CST. Customer shall (a) not sell, license, loan, donate or otherwise transfer or make available any Product to any third party, whether alone or in combination with other materials, or use the Products to manufacture any commercial products, (b) not copy, modify, reverse engineer, decompile, disassemble or otherwise attempt to discover the underlying structure or technology of the Products, or use the Products for the purpose of developing any products or services that would compete with CST products or services, (c) not alter or remove from the Products any trademarks, trade names, logos, patent or copyright notices or markings, (d) use the Products solely in accordance with CST Product Terms of Sale and any applicable documentation, and (e) comply with any license, terms of service or similar agreement with respect to any third party products or services used by Customer in connection with the Products.

Orders: 877-616-CELL (2355) [email protected] Support: 877-678-TECH (8324) [email protected] Web: cellsignal.com
For Research Use Only. Not for Use in Diagnostic Procedures.

Revision 4

Cell Signaling Technology Logo
Western blot analysis of extracts from various cell lines using TIMP1 (D10E6) Rabbit mAb.
Western Blotting Image 1: TIMP1 (D10E6) Rabbit Monoclonal Antibody
Immunohistochemical analysis of paraffin-embedded human colon carcinoma using TIMP1 (D10E6) Rabbit mAb.
Immunohistochemistry Image 1: TIMP1 (D10E6) Rabbit Monoclonal Antibody
Immunohistochemical analysis of paraffin-embedded human ductal breast carcinoma using TIMP1 (D10E6) Rabbit mAb.
Immunohistochemistry Image 2: TIMP1 (D10E6) Rabbit Monoclonal Antibody
Orders: 877-616-CELL (2355) [email protected] Support: 877-678-TECH (8324) [email protected] Web: cellsignal.com
For Research Use Only. Not for Use in Diagnostic Procedures.

Revision 4

Cell Signaling Technology Logo
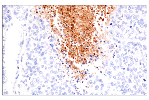
Immunohistochemical analysis of paraffin-embedded human esophageal caricinoma using TIMP1 (D10E6) Rabbit mAb.

Immunohistochemistry Image 3: TIMP1 (D10E6) Rabbit Monoclonal Antibody
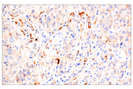
Immunohistochemical analysis of paraffin-embedded human squamous cell lung carcinoma using TIMP1 (D10E6) Rabbit mAb.
Immunohistochemistry Image 4: TIMP1 (D10E6) Rabbit Monoclonal Antibody
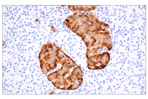
Immunohistochemical analysis of paraffin-embedded normal human pancreas using TIMP1 (D10E6) Rabbit mAb.
Immunohistochemistry Image 5: TIMP1 (D10E6) Rabbit Monoclonal Antibody
Orders: 877-616-CELL (2355) [email protected] Support: 877-678-TECH (8324) [email protected] Web: cellsignal.com
For Research Use Only. Not for Use in Diagnostic Procedures.

Revision 4

Cell Signaling Technology Logo
Immunohistochemical analysis of paraffin-embedded normal human small intestine using TIMP1 (D10E6) Rabbit mAb.
Immunohistochemistry Image 6: TIMP1 (D10E6) Rabbit Monoclonal Antibody
Immunohistochemical analysis of paraffin-embedded human prostate carcinoma using TIMP1 (D10E6) Rabbit mAb (left) compared to concentration-matched Rabbit (DA1E) mAb IgG XP® Isotype Control #3900 (right).
Immunohistochemistry Image 7: TIMP1 (D10E6) Rabbit Monoclonal Antibody
Immunohistochemical analysis of paraffin-embedded U-87 MG cell pellet (left, positive) or Ramos cell pellet (right, negative) using TIMP1 (D10E6) Rabbit mAb.
Immunohistochemistry Image 8: TIMP1 (D10E6) Rabbit Monoclonal Antibody
Orders: 877-616-CELL (2355) [email protected] Support: 877-678-TECH (8324) [email protected] Web: cellsignal.com
For Research Use Only. Not for Use in Diagnostic Procedures.