Revision 3

#55147

Store at -20C

CST Logo
Orders:

877-616-CELL (2355)

[email protected]

Support:

877-678-TECH (8324)

3 Trask Lane | Danvers | Massachusetts | 01923 | USA

For Research Use Only. Not for Use in Diagnostic Procedures.

Applications:
W, IF-IC, FC-FP, FC-L

Reactivity:
H

Sensitivity:
Endogenous

MW (kDa):
45-53

Source/Isotype:
Rabbit IgG

UniProt ID:
#P13726

Entrez-Gene Id:
2152

Product Usage Information

Application Dilution
Western Blotting 1:1000
Immunofluorescence (Immunocytochemistry) 1:100
Flow Cytometry (Fixed/Permeabilized) 1:200 - 1:800
Flow Cytometry (Live) 1:50 - 1:200

Storage

Supplied in 10 mM sodium HEPES (pH 7.5), 150 mM NaCl, 100 µg/ml BSA, 50% glycerol and less than 0.02% sodium azide. Store at –20°C. Do not aliquot the antibody.

Specificity/Sensitivity

Tissue Factor/CD142 (E2Y6L) Rabbit Monoclonal Antibody recognizes endogenous levels of total Tissue Factor/CD142 protein.

Source / Purification

Monoclonal antibody is produced by immunizing animals with a synthetic peptide corresponding to residues surrounding Glu123 of human Tissue Factor/CD142 protein.

Background

Tissue Factor (TF)/CD142 (Coagulation factor III/Thromboplastin) is a type-I transmembrane glycoprotein that serves as the cell surface receptor and cofactor for blood coagulation factors VII and VIIa, and thus plays a central role in hemostasis and thrombosis (1). The TF:VIIa receptor-ligand complex is widely recognized as the initiator of the extrinsic blood coagulation protease cascade, which ultimately leads to the generation of fibrin and thrombin (1). A member of the type-II cytokine receptor superfamily, TF has also been shown to engage the PI3K (2) and MAPK (3) signaling cascades upon binding to factor VIIa in order to drive cellular responses such as cell migration, growth, and proliferation. Although the function of TF under physiologic conditions is to coordinate blood clotting in response to tissue damage, TF is implicated in pathologic conditions such as tumorigenesis. Indeed, TF is aberrantly expressed in colorectal cancer, breast cancer, pancreatic cancer, and glioblastoma multiforme (4). It has been shown to promote tumor angiogenesis, tumor growth, metastasis, and venous thrombosis (5). Given that TF overexpression is associated with numerous types of solid tumors, it has garnered much attention as a potential therapeutic target.

Species Reactivity

Species reactivity is determined by testing in at least one approved application (e.g., western blot).

Western Blot Buffer

IMPORTANT: For western blots, incubate membrane with diluted primary antibody in 5% w/v BSA, 1X TBS, 0.1% Tween® 20 at 4°C with gentle shaking, overnight.

Applications Key

W: Western Blotting IF-IC: Immunofluorescence (Immunocytochemistry) FC-FP: Flow Cytometry (Fixed/Permeabilized) FC-L: Flow Cytometry (Live)

Cross-Reactivity Key

H: Human

Trademarks and Patents

Cell Signaling Technology is a trademark of Cell Signaling Technology, Inc.

Alexa Fluor is a registered trademark of Life Technologies Corporation.

All other trademarks are the property of their respective owners. Visit cellsignal.com/trademarks for more information.

Limited Uses

Except as otherwise expressly agreed in a writing signed by a legally authorized representative of CST, the following terms apply to Products provided by CST, its affiliates or its distributors. Any Customer's terms and conditions that are in addition to, or different from, those contained herein, unless separately accepted in writing by a legally authorized representative of CST, are rejected and are of no force or effect.

Products are labeled with For Research Use Only or a similar labeling statement and have not been approved, cleared, or licensed by the FDA or other regulatory foreign or domestic entity, for any purpose. Customer shall not use any Product for any diagnostic or therapeutic purpose, or otherwise in any manner that conflicts with its labeling statement. Products sold or licensed by CST are provided for Customer as the end-user and solely for research and development uses. Any use of Product for diagnostic, prophylactic or therapeutic purposes, or any purchase of Product for resale (alone or as a component) or other commercial purpose, requires a separate license from CST. Customer shall (a) not sell, license, loan, donate or otherwise transfer or make available any Product to any third party, whether alone or in combination with other materials, or use the Products to manufacture any commercial products, (b) not copy, modify, reverse engineer, decompile, disassemble or otherwise attempt to discover the underlying structure or technology of the Products, or use the Products for the purpose of developing any products or services that would compete with CST products or services, (c) not alter or remove from the Products any trademarks, trade names, logos, patent or copyright notices or markings, (d) use the Products solely in accordance with CST Product Terms of Sale and any applicable documentation, and (e) comply with any license, terms of service or similar agreement with respect to any third party products or services used by Customer in connection with the Products.

Orders: 877-616-CELL (2355) [email protected] Support: 877-678-TECH (8324) [email protected] Web: cellsignal.com
For Research Use Only. Not for Use in Diagnostic Procedures.

Revision 3

Cell Signaling Technology Logo
Western blot analysis of extracts from various cell lines using Tissue Factor/CD142 (E2Y6L) Rabbit mAb (upper) and β-Actin (D6A8) Rabbit mAb #8457 (lower). As expected, Tissue Factor/CD142 protein is expressed at very low levels in MCF7, PANC-1 and THP-1 cells.
Western Blotting Image 1: Tissue Factor/CD142 (E2Y6L) Rabbit Monoclonal Antibody
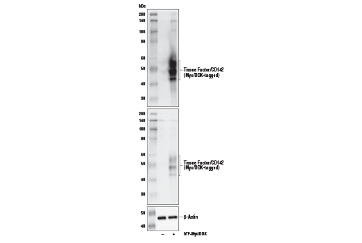
Western blot analysis of extracts from 293T cells, mock transfected (-) or transfected with a construct expressing Myc/DDK-tagged full-length human tissue factor protein (hTF-Myc/DDK; +), using Tissue Factor/CD142 (E2Y6L) Rabbit mAb (upper), DYKDDDDK Tag Antibody #2368 (middle), and β-Actin (D6A8) Rabbit mAb #8457 (lower).
Western Blotting Image 2: Tissue Factor/CD142 (E2Y6L) Rabbit Monoclonal Antibody
Western blot analysis of extracts from MDA-MB-231 cells, untreated (-) or treated with PNGase F (+), using Tissue Factor/CD142 (E2Y6L) Rabbit mAb (upper) and β-Actin (D6A8) Rabbit mAb #8457 (lower).
Western Blotting Image 3: Tissue Factor/CD142 (E2Y6L) Rabbit Monoclonal Antibody
Orders: 877-616-CELL (2355) [email protected] Support: 877-678-TECH (8324) [email protected] Web: cellsignal.com
For Research Use Only. Not for Use in Diagnostic Procedures.

Revision 3

Cell Signaling Technology Logo
Confocal immunofluorescent analysis of BxPC-3 cells (left, positive) and MCF7 cells (right, negative) using Tissue Factor/CD142 (E2Y6L) Rabbit mAb (green). Red = Propidium Iodide (PI)/RNase Staining Solution #4087.
Immunofluorescence Image 1: Tissue Factor/CD142 (E2Y6L) Rabbit Monoclonal Antibody
Flow cytometric analysis of THP-1 cells (blue) and A-431 cells (green) using Tissue Factor/CD142 (E2Y6L) Rabbit mAb (solid lines) or concentration-matched Rabbit (DA1E) mAb IgG XP® Isotype Control #3900 (dashed lines). Anti-rabbit IgG (H+L), F(ab')2 Fragment (Alexa Fluor® 488 Conjugate) #4412 was used as a secondary antibody.
Flow Cytometry Image 1: Tissue Factor/CD142 (E2Y6L) Rabbit Monoclonal Antibody
Flow cytometric analysis of live Ramos cells (blue) and BxPC-3 cells (green) using Tissue Factor/CD142 (E2Y6L) Rabbit mAb (solid lines) or concentration-matched Rabbit (DA1E) mAb IgG XP® Isotype Control #3900 (dashed lines). Anti-rabbit IgG (H+L), F(ab')₂ Fragment (Alexa Fluor® 488 Conjugate) #4412 was used as a secondary antibody.
Flow Cytometry Image 1: Tissue Factor/CD142 (E2Y6L) Rabbit Monoclonal Antibody
Orders: 877-616-CELL (2355) [email protected] Support: 877-678-TECH (8324) [email protected] Web: cellsignal.com
For Research Use Only. Not for Use in Diagnostic Procedures.