Revision 1

#89527

Store at -20C

CST Logo
Orders:

877-616-CELL (2355)

[email protected]

Support:

877-678-TECH (8324)

3 Trask Lane | Danvers | Massachusetts | 01923 | USA

For Research Use Only. Not for Use in Diagnostic Procedures.

Applications:
W, IHC-Bond, IHC-P

Reactivity:
H

Sensitivity:
Endogenous

MW (kDa):
45-53

Source/Isotype:
Rabbit IgG

UniProt ID:
#P13726

Entrez-Gene Id:
2152

Product Usage Information

This product is the carrier free version of product #97438. All data were generated using the same antibody clone in the standard formulation which contains BSA and glycerol.

This formulation is ideal for use with technologies requiring specialized or custom antibody labeling, including fluorophores, metals, lanthanides, and oligonucleotides. It is not recommended for ChIP, ChIP-seq, CUT&RUN or CUT&Tag assays. If you require a carrier free formulation for chromatin profiling, please contact us. Optimal dilutions/concentrations should be determined by the end user.

BSA and Azide Free antibodies are quality control tested by size exclusion chromatography (SEC) to determine antibody integrity.

Formulation

Supplied in 1X PBS (10 mM Na2HPO4, 3 mM KCl, 2 mM KH2PO4, and 140 mM NaCl (pH 7.8)). BSA and Azide Free.

For standard formulation of this product see product #97438

Storage

Store at -20°C. This product will freeze at -20°C so it is recommended to aliquot into single-use vials to avoid multiple freeze/thaw cycles. A slight precipitate may be present and can be dissolved by gently vortexing. This will not interfere with antibody performance.

Specificity/Sensitivity

Tissue Factor/CD142 (E9M6T) Rabbit Monoclonal Antibody (BSA and Azide Free) recognizes endogenous levels of total Tissue Factor/CD142 protein.

Source / Purification

Monoclonal antibody is produced by immunizing animals with a synthetic peptide corresponding to residues surrounding Glu123 of human Tissue Factor/CD142 protein.

Background

Tissue Factor (TF)/CD142 (Coagulation factor III/Thromboplastin) is a type-I transmembrane glycoprotein that serves as the cell surface receptor and cofactor for blood coagulation factors VII and VIIa, and thus plays a central role in hemostasis and thrombosis (1). The TF:VIIa receptor-ligand complex is widely recognized as the initiator of the extrinsic blood coagulation protease cascade, which ultimately leads to the generation of fibrin and thrombin (1). A member of the type-II cytokine receptor superfamily, TF has also been shown to engage the PI3K (2) and MAPK (3) signaling cascades upon binding to factor VIIa in order to drive cellular responses such as cell migration, growth, and proliferation. Although the function of TF under physiologic conditions is to coordinate blood clotting in response to tissue damage, TF is implicated in pathologic conditions such as tumorigenesis. Indeed, TF is aberrantly expressed in colorectal cancer, breast cancer, pancreatic cancer, and glioblastoma multiforme (4). It has been shown to promote tumor angiogenesis, tumor growth, metastasis, and venous thrombosis (5). Given that TF overexpression is associated with numerous types of solid tumors, it has garnered much attention as a potential therapeutic target.

Species Reactivity

Species reactivity is determined by testing in at least one approved application (e.g., western blot).

Applications Key

W: Western Blotting IHC-Bond: IHC Leica Bond IHC-P: Immunohistochemistry (Paraffin)

Cross-Reactivity Key

H: Human

Trademarks and Patents

Cell Signaling Technology is a trademark of Cell Signaling Technology, Inc.

SignalStain is a registered trademark of Cell Signaling Technology, Inc.

All other trademarks are the property of their respective owners. Visit cellsignal.com/trademarks for more information.

Limited Uses

Except as otherwise expressly agreed in a writing signed by a legally authorized representative of CST, the following terms apply to Products provided by CST, its affiliates or its distributors. Any Customer's terms and conditions that are in addition to, or different from, those contained herein, unless separately accepted in writing by a legally authorized representative of CST, are rejected and are of no force or effect.

Products are labeled with For Research Use Only or a similar labeling statement and have not been approved, cleared, or licensed by the FDA or other regulatory foreign or domestic entity, for any purpose. Customer shall not use any Product for any diagnostic or therapeutic purpose, or otherwise in any manner that conflicts with its labeling statement. Products sold or licensed by CST are provided for Customer as the end-user and solely for research and development uses. Any use of Product for diagnostic, prophylactic or therapeutic purposes, or any purchase of Product for resale (alone or as a component) or other commercial purpose, requires a separate license from CST. Customer shall (a) not sell, license, loan, donate or otherwise transfer or make available any Product to any third party, whether alone or in combination with other materials, or use the Products to manufacture any commercial products, (b) not copy, modify, reverse engineer, decompile, disassemble or otherwise attempt to discover the underlying structure or technology of the Products, or use the Products for the purpose of developing any products or services that would compete with CST products or services, (c) not alter or remove from the Products any trademarks, trade names, logos, patent or copyright notices or markings, (d) use the Products solely in accordance with CST Product Terms of Sale and any applicable documentation, and (e) comply with any license, terms of service or similar agreement with respect to any third party products or services used by Customer in connection with the Products.

Orders: 877-616-CELL (2355) [email protected] Support: 877-678-TECH (8324) [email protected] Web: cellsignal.com
For Research Use Only. Not for Use in Diagnostic Procedures.

Revision 1

Cell Signaling Technology Logo
Western blot annalysis of extracts from 293T cells, mock transfected (-) or transfected with a construct expressing Myc/DDK-tagged full-length human tissue factor protein (hTF-Myc/DDK; +), using Tissue Factor/CD142 (E9M6T) XP® Rabbit mAb (upper), DYKDDDDK Tag Antibody #2368 (middle), and β-Actin (D6A8) Rabbit mAb #8457 (lower). Data were generated using the standard formulation of this product.
Western Blotting Image 1: Tissue Factor/CD142 (E9M6T) Rabbit Monoclonal Antibody (BSA and Azide Free)
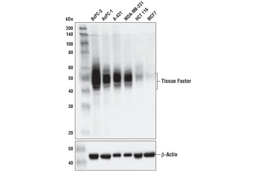
Western blot analysis of extracts from various cell lines using Tissue Factor/CD142 (E9M6T) XP® Rabbit mAb (upper) and β-Actin (D6A8) Rabbit mAb #8457 (lower). As expected, Tissue Factor/CD142 protein is expressed at low levels in MCF7 and HCT 116 cells. Data were generated using the standard formulation of this product.
Western Blotting Image 2: Tissue Factor/CD142 (E9M6T) Rabbit Monoclonal Antibody (BSA and Azide Free)
Western blot analysis of extracts from MDA-MB-231 cells, untreated (-) or treated with PNGase F (+), using Tissue Factor/CD142 (E9M6T) XP® Rabbit mAb (upper) and β-Actin (D6A8) Rabbit mAb #8457 (lower). Data were generated using the standard formulation of this product.
Western Blotting Image 3: Tissue Factor/CD142 (E9M6T) Rabbit Monoclonal Antibody (BSA and Azide Free)
Orders: 877-616-CELL (2355) [email protected] Support: 877-678-TECH (8324) [email protected] Web: cellsignal.com
For Research Use Only. Not for Use in Diagnostic Procedures.

Revision 1

Cell Signaling Technology Logo
Western blot analysis of extracts from THP-1 cells, untreated (-) or treated with LPS #14011 (1 μg/mL, 6h; +), using Tissue Factor (E9M6T) XP® Rabbit mAb (upper) and β-Actin (D6A8) Rabbit mAb #8457 (lower). Data were generated using the standard formulation of this product.
Western Blotting Image 4: Tissue Factor/CD142 (E9M6T) Rabbit Monoclonal Antibody (BSA and Azide Free)
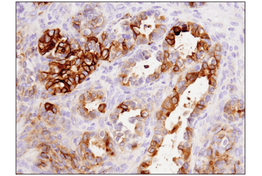
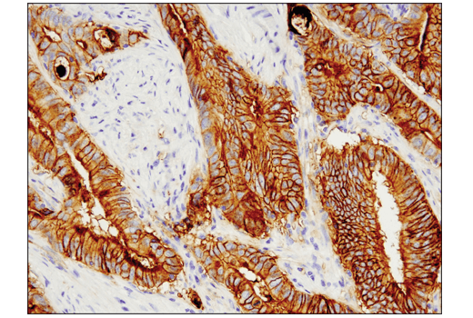
Immunohistochemical analysis of paraffin-embedded human colon adenocarcinoma using Tissue Factor/CD142 (E9M6T) XP® Rabbit mAb performed on the Leica® Bond™ Rx. Data were generated using the standard formulation of this product.
Immunohistochemistry Image 1: Tissue Factor/CD142 (E9M6T) Rabbit Monoclonal Antibody (BSA and Azide Free)
Immunohistochemical analysis of paraffin-embedded human squamous cell carcinoma of the lung using Tissue Factor/CD142 (E9M6T) XP® Rabbit mAb. Data were generated using the standard formulation of this product.
Immunohistochemistry Image 1: Tissue Factor/CD142 (E9M6T) Rabbit Monoclonal Antibody (BSA and Azide Free)
Orders: 877-616-CELL (2355) [email protected] Support: 877-678-TECH (8324) [email protected] Web: cellsignal.com
For Research Use Only. Not for Use in Diagnostic Procedures.

Revision 1

Cell Signaling Technology Logo
Immunohistochemical analysis of paraffin-embedded human lung adenocarcinoma using Tissue Factor/CD142 (E9M6T) XP® Rabbit mAb. Data were generated using the standard formulation of this product.
Immunohistochemistry Image 2: Tissue Factor/CD142 (E9M6T) Rabbit Monoclonal Antibody (BSA and Azide Free)
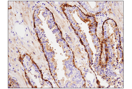
Immunohistochemical analysis of paraffin-embedded human ovarian clear cell carcinoma using Tissue Factor/CD142 (E9M6T) XP® Rabbit mAb. Data were generated using the standard formulation of this product.
Immunohistochemistry Image 3: Tissue Factor/CD142 (E9M6T) Rabbit Monoclonal Antibody (BSA and Azide Free)
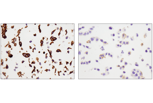
Immunohistochemical analysis of paraffin-embedded A431 cell pellet (left, high) or MCF7 cell pellet (right, low) using Tissue Factor/CD142 (E9M6T) XP® Rabbit mAb. Data were generated using the standard formulation of this product.
Immunohistochemistry Image 4: Tissue Factor/CD142 (E9M6T) Rabbit Monoclonal Antibody (BSA and Azide Free)
Orders: 877-616-CELL (2355) [email protected] Support: 877-678-TECH (8324) [email protected] Web: cellsignal.com
For Research Use Only. Not for Use in Diagnostic Procedures.

Revision 1

Cell Signaling Technology Logo
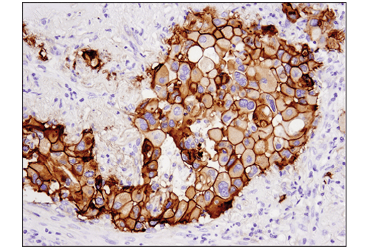
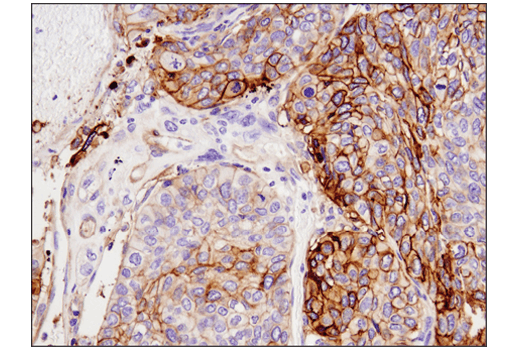
Immunohistochemical analysis of paraffin-embedded human prostate carcinoma using Tissue Factor/CD142 (E9M6T) XP® Rabbit mAb. Data were generated using the standard formulation of this product.
Immunohistochemistry Image 5: Tissue Factor/CD142 (E9M6T) Rabbit Monoclonal Antibody (BSA and Azide Free)
Orders: 877-616-CELL (2355) [email protected] Support: 877-678-TECH (8324) [email protected] Web: cellsignal.com
For Research Use Only. Not for Use in Diagnostic Procedures.