Revision 1

#83308

Store at -20C

CST Logo
Orders:

877-616-CELL (2355)

[email protected]

Support:

877-678-TECH (8324)

3 Trask Lane | Danvers | Massachusetts | 01923 | USA

For Research Use Only. Not for Use in Diagnostic Procedures.

Applications:
IHC-P

Reactivity:
H

Sensitivity:
Endogenous

Source/Isotype:
Mouse IgG2a

UniProt ID:
#Q4V9L6

Entrez-Gene Id:
338773

Product Usage Information

This product is the carrier-free version of product # 41134. All data were generated using the same antibody clone in the standard formulation which contains BSA and glycerol.

This formulation is ideal for use with technologies requiring specialized or custom antibody labeling, including fluorophores, metals, lanthanides, and oligonucleotides. It is not recommended for ChIP, ChIP-seq, CUT&RUN, or CUT&Tag assays. If you require a carrier-free formulation for chromatin profiling, please contact us. Optimal dilutions/concentrations should be determined by the end user.

BSA and Azide Free antibodies are quality control tested by size exclusion chromatography (SEC) to determine antibody integrity.

Formulation

Supplied in 1X PBS (10 mM Na2HPO4, 3 mM KCl, 2 mM KH2PO4, and 140 mM NaCl (pH 7.8)). BSA and Azide Free.

For standard formulation of this product see product #41134.

Storage

Store at -20°C. This product will freeze at -20°C so it is recommended to aliquot into single-use vials to avoid multiple freeze/thaw cycles. A slight precipitate may be present and can be dissolved by gently vortexing. This will not interfere with antibody performance.

Specificity/Sensitivity

TMEM119 (E3E4T) Mouse Monoclonal Antibody (BSA and Azide Free) recognizes endogenous levels of total TMEM119 protein.

Source / Purification

Monoclonal antibody is produced by immunizing animals with a synthetic peptide corresponding to residues near the amino terminus of human TMEM119 protein.

Background

Transmembrane protein 119 (TMEM119) is a cell-surface protein of unknown function, expressed exclusively by the microglia subset of myeloid and neural cells (1). Iba1+ microglia with both ramified and amoeboid morphologies express TMEM119, while Iba1+ macrophages are TMEM119 negative (2). TMEM119 and other homeostatic genes have been shown to be downregulated in disease-associated microglia (DAM). DAM are conserved in human and mouse and have been identified in Alzheimer’s disease (AD), amyotrophic lateral sclerosis (ALS), and 5XFAD and APP/PS1 mouse models (3,4). This protein’s specificity as a microglia marker has proven itself important for labeling microglia in healthy tissue as well as deciphering them from infiltrating macrophages and other cell types in neurodegenerative disease models (1,2).

Species Reactivity

Species reactivity is determined by testing in at least one approved application (e.g., western blot).

Applications Key

IHC-P: Immunohistochemistry (Paraffin)

Cross-Reactivity Key

H: Human

Trademarks and Patents

Cell Signaling Technology is a trademark of Cell Signaling Technology, Inc.

All other trademarks are the property of their respective owners. Visit cellsignal.com/trademarks for more information.

Limited Uses

Except as otherwise expressly agreed in a writing signed by a legally authorized representative of CST, the following terms apply to Products provided by CST, its affiliates or its distributors. Any Customer's terms and conditions that are in addition to, or different from, those contained herein, unless separately accepted in writing by a legally authorized representative of CST, are rejected and are of no force or effect.

Products are labeled with For Research Use Only or a similar labeling statement and have not been approved, cleared, or licensed by the FDA or other regulatory foreign or domestic entity, for any purpose. Customer shall not use any Product for any diagnostic or therapeutic purpose, or otherwise in any manner that conflicts with its labeling statement. Products sold or licensed by CST are provided for Customer as the end-user and solely for research and development uses. Any use of Product for diagnostic, prophylactic or therapeutic purposes, or any purchase of Product for resale (alone or as a component) or other commercial purpose, requires a separate license from CST. Customer shall (a) not sell, license, loan, donate or otherwise transfer or make available any Product to any third party, whether alone or in combination with other materials, or use the Products to manufacture any commercial products, (b) not copy, modify, reverse engineer, decompile, disassemble or otherwise attempt to discover the underlying structure or technology of the Products, or use the Products for the purpose of developing any products or services that would compete with CST products or services, (c) not alter or remove from the Products any trademarks, trade names, logos, patent or copyright notices or markings, (d) use the Products solely in accordance with CST Product Terms of Sale and any applicable documentation, and (e) comply with any license, terms of service or similar agreement with respect to any third party products or services used by Customer in connection with the Products.

Orders: 877-616-CELL (2355) [email protected] Support: 877-678-TECH (8324) [email protected] Web: cellsignal.com
For Research Use Only. Not for Use in Diagnostic Procedures.

Revision 1

Cell Signaling Technology Logo
Immunohistochemical analysis of paraffin-embedded human Alzheimer's brain using TMEM119 (E3E4T) Mouse mAb. Data were generated using the standard formulation of this product.
Immunohistochemistry Image 1: TMEM119 (E3E4T) Mouse Monoclonal Antibody (BSA and Azide Free)
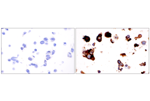
Immunohistochemical analysis of paraffin-embedded human lung adenocarcinoma using TMEM119 (E3E4T) Mouse mAb (left) compared to concentration-matched Mouse (E5Y6Q) mAb IgG2a Isotype Control #61656 (right). Data were generated using the standard formulation of this product.
Immunohistochemistry Image 2: TMEM119 (E3E4T) Mouse Monoclonal Antibody (BSA and Azide Free)
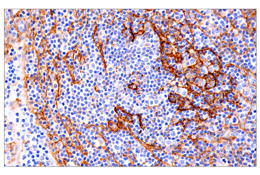
Immunohistochemical analysis of paraffin-embedded human lymphoma using TMEM119 (E3E4T) Mouse mAb. Data were generated using the standard formulation of this product.
Immunohistochemistry Image 3: TMEM119 (E3E4T) Mouse Monoclonal Antibody (BSA and Azide Free)
Orders: 877-616-CELL (2355) [email protected] Support: 877-678-TECH (8324) [email protected] Web: cellsignal.com
For Research Use Only. Not for Use in Diagnostic Procedures.

Revision 1

Cell Signaling Technology Logo
Immunohistochemical analysis of paraffin-embedded human cerebellum (left) or colon carcinoma (right) using TMEM119 (E3E4T) Mouse mAb (top) or TMEM119 Rabbit mAb (bottom). These two antibodies detect independent, unique epitopes on human TMEM119. The similar staining patterns obtained with both antibodies help to confirm the specificity of the staining. Data were generated using the standard formulation of this product.
Immunohistochemistry Image 4: TMEM119 (E3E4T) Mouse Monoclonal Antibody (BSA and Azide Free)
Immunohistochemical analysis of paraffin-embedded 293T cell pellet, untransfected (left) or TMEM119-transfected (right), using TMEM119 (E3E4T) Mouse mAb. Data were generated using the standard formulation of this product.
Immunohistochemistry Image 5: TMEM119 (E3E4T) Mouse Monoclonal Antibody (BSA and Azide Free)
Immunohistochemical analysis of paraffin-embedded normal human brain using TMEM119 (E3E4T) Mouse mAb. Data were generated using the standard formulation of this product.
Immunohistochemistry Image 6: TMEM119 (E3E4T) Mouse Monoclonal Antibody (BSA and Azide Free)
Orders: 877-616-CELL (2355) [email protected] Support: 877-678-TECH (8324) [email protected] Web: cellsignal.com
For Research Use Only. Not for Use in Diagnostic Procedures.

Revision 1

Cell Signaling Technology Logo
Immunohistochemical analysis of paraffin-embedded normal human testis using TMEM119 (E3E4T) Mouse mAb. Data were generated using the standard formulation of this product.
Immunohistochemistry Image 7: TMEM119 (E3E4T) Mouse Monoclonal Antibody (BSA and Azide Free)
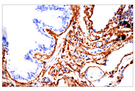
Immunohistochemical analysis of paraffin-embedded normal human lung using TMEM119 (E3E4T) Mouse mAb. Data were generated using the standard formulation of this product.
Immunohistochemistry Image 8: TMEM119 (E3E4T) Mouse Monoclonal Antibody (BSA and Azide Free)
Orders: 877-616-CELL (2355) [email protected] Support: 877-678-TECH (8324) [email protected] Web: cellsignal.com
For Research Use Only. Not for Use in Diagnostic Procedures.