Revision 1

#47988

Store at -20C

CST Logo
Orders:

877-616-CELL (2355)

[email protected]

Support:

877-678-TECH (8324)

3 Trask Lane | Danvers | Massachusetts | 01923 | USA

For Research Use Only. Not for Use in Diagnostic Procedures.

Applications:
W, IP

Reactivity:
H

Sensitivity:
Endogenous

MW (kDa):
18, 23

Source/Isotype:
Rabbit

UniProt ID:
#Q02223

Entrez-Gene Id:
608

Product Usage Information

Application Dilution
Western Blotting 1:1000
Immunoprecipitation 1:50

Storage

Supplied in 10 mM sodium HEPES (pH 7.5), 150 mM NaCl, 100 µg/ml BSA and 50% glycerol. Store at –20°C. Do not aliquot the antibody.

Specificity/Sensitivity

TNFRSF17/BCMA Antibody recognizes endogenous levels of total TNFRSF17/BCMA protein.

Source / Purification

Polyclonal antibodies are produced by immunizing animals with a synthetic peptide corresponding to residues surrounding Leu115 of human TNFRSF17/BCMA protein. Antibodies are purified by protein A and peptide affinity chromatography.

Background

B cell maturation antigen (BCMA/TNFRSF17/CD269) is a transmembrane glycoprotein and member of the TNFR superfamily (1). BCMA expression is largely restricted to the B cell lineage. Pro-survival signaling through this receptor plays a pivotal role in humoral immunity by regulating B cell maturation and plasma cell differentiation upon binding its ligands, BAFF and APRIL (2-6). BCMA is expressed in a number of B cell malignancies and has garnered much attention as a novel therapeutic target for the treatment of multiple myeloma due to its selective and elevated expression on the cell surface of malignant plasma cells (7-10).

Species Reactivity

Species reactivity is determined by testing in at least one approved application (e.g., western blot).

Western Blot Buffer

IMPORTANT: For western blots, incubate membrane with diluted primary antibody in 5% w/v BSA, 1X TBS, 0.1% Tween® 20 at 4°C with gentle shaking, overnight.

Applications Key

W: Western Blotting IP: Immunoprecipitation

Cross-Reactivity Key

H: Human

Trademarks and Patents

Cell Signaling Technology is a trademark of Cell Signaling Technology, Inc.

All other trademarks are the property of their respective owners. Visit cellsignal.com/trademarks for more information.

Limited Uses

Except as otherwise expressly agreed in a writing signed by a legally authorized representative of CST, the following terms apply to Products provided by CST, its affiliates or its distributors. Any Customer's terms and conditions that are in addition to, or different from, those contained herein, unless separately accepted in writing by a legally authorized representative of CST, are rejected and are of no force or effect.

Products are labeled with For Research Use Only or a similar labeling statement and have not been approved, cleared, or licensed by the FDA or other regulatory foreign or domestic entity, for any purpose. Customer shall not use any Product for any diagnostic or therapeutic purpose, or otherwise in any manner that conflicts with its labeling statement. Products sold or licensed by CST are provided for Customer as the end-user and solely for research and development uses. Any use of Product for diagnostic, prophylactic or therapeutic purposes, or any purchase of Product for resale (alone or as a component) or other commercial purpose, requires a separate license from CST. Customer shall (a) not sell, license, loan, donate or otherwise transfer or make available any Product to any third party, whether alone or in combination with other materials, or use the Products to manufacture any commercial products, (b) not copy, modify, reverse engineer, decompile, disassemble or otherwise attempt to discover the underlying structure or technology of the Products, or use the Products for the purpose of developing any products or services that would compete with CST products or services, (c) not alter or remove from the Products any trademarks, trade names, logos, patent or copyright notices or markings, (d) use the Products solely in accordance with CST Product Terms of Sale and any applicable documentation, and (e) comply with any license, terms of service or similar agreement with respect to any third party products or services used by Customer in connection with the Products.

Orders: 877-616-CELL (2355) [email protected] Support: 877-678-TECH (8324) [email protected] Web: cellsignal.com
For Research Use Only. Not for Use in Diagnostic Procedures.

Revision 1

Cell Signaling Technology Logo
Western blot analysis of extracts from U266, H929, and CCRF-CEM cells using TNFRSF17/BCMA Antibody (upper) and β-Actin (D6A8) Rabbit mAb #8457 (lower). As expected, TNFRSF17/BCMA protein is not detected in CCRF-CEM cells.
Western Blotting Image 1: TNFRSF17/BCMA Antibody
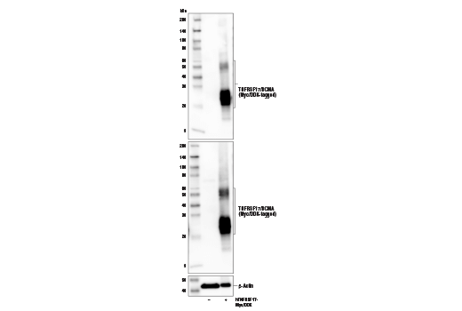
Western blot analysis of extracts from 293T cells, mock transfected (-) or transfected with a construct expressing full-length Myc/DDK-tagged human TNFRSF17 protein (hTNFRSF17-Myc/DDK; +), using TNFRSF17/BCMA Antibody (upper), DYKDDDDK Tag Antibody #2368 (middle), and β-Actin (D6A8) Rabbit mAb #8457 (lower).
Western Blotting Image 2: TNFRSF17/BCMA Antibody
Immunoprecipitation of TNFRSF17/BCMA from H929 cell extracts. Lane 1 is 10% input, lane 2 is Normal Rabbit IgG #2729, and lane 3 is TNFRSF17/BCMA Antibody. Western blot analysis was performed using TNFRSF17/BCMA Antibody.
Immunoprecipitation Image 1: TNFRSF17/BCMA Antibody
Orders: 877-616-CELL (2355) [email protected] Support: 877-678-TECH (8324) [email protected] Web: cellsignal.com
For Research Use Only. Not for Use in Diagnostic Procedures.