Revision 6

#88183

Store at -20C

CST Logo
Orders:

877-616-CELL (2355)

[email protected]

Support:

877-678-TECH (8324)

3 Trask Lane | Danvers | Massachusetts | 01923 | USA

For Research Use Only. Not for Use in Diagnostic Procedures.

Applications:
W, IP, IHC-Bond, IHC-P, FC-FP

Reactivity:
H

Sensitivity:
Endogenous

MW (kDa):
18-30

Source/Isotype:
Rabbit IgG

UniProt ID:
#Q02223

Entrez-Gene Id:
608

Product Usage Information

Application Dilution
Western Blotting 1:8000
Immunoprecipitation 1:800
IHC Leica Bond 1:150 - 1:600
Immunohistochemistry (Paraffin) 1:300 - 1:1200
Flow Cytometry (Fixed/Permeabilized) 1:1600 - 1:6400

Storage

Supplied in 10 mM sodium HEPES (pH 7.5), 150 mM NaCl, 100 µg/ml BSA, 50% glycerol and less than 0.02% sodium azide. Store at –20°C. Do not aliquot the antibody.

For a carrier-free (BSA and azide free) version of this product see product #84031.

Specificity/Sensitivity

TNFRSF17/BCMA (E6D7B) Rabbit Monoclonal Antibody recognizes endogenous levels of total TNFRSF17/BCMA protein. This antibody displays some non-specific staining of peripheral and CNS tissue when used for IHC-P.

Source / Purification

Monoclonal antibody is produced by immunizing animals with a synthetic peptide corresponding to residues surrounding Leu115 of human TNFRSF17/BCMA protein.

Background

B cell maturation antigen (BCMA/TNFRSF17/CD269) is a transmembrane glycoprotein and member of the TNFR superfamily (1). BCMA expression is largely restricted to the B cell lineage. Pro-survival signaling through this receptor plays a pivotal role in humoral immunity by regulating B cell maturation and plasma cell differentiation upon binding its ligands, BAFF and APRIL (2-6). BCMA is expressed in a number of B cell malignancies and has garnered much attention as a novel therapeutic target for the treatment of multiple myeloma due to its selective and elevated expression on the cell surface of malignant plasma cells (7-10).

Species Reactivity

Species reactivity is determined by testing in at least one approved application (e.g., western blot).

Western Blot Buffer

IMPORTANT: For western blots, incubate membrane with diluted primary antibody in 5% w/v BSA, 1X TBS, 0.1% Tween® 20 at 4°C with gentle shaking, overnight.

Applications Key

W: Western Blotting IP: Immunoprecipitation IHC-Bond: IHC Leica Bond IHC-P: Immunohistochemistry (Paraffin) FC-FP: Flow Cytometry (Fixed/Permeabilized)

Cross-Reactivity Key

H: Human

Trademarks and Patents

Cell Signaling Technology is a trademark of Cell Signaling Technology, Inc.

Alexa Fluor is a registered trademark of Life Technologies Corporation.

All other trademarks are the property of their respective owners. Visit cellsignal.com/trademarks for more information.

Limited Uses

Except as otherwise expressly agreed in a writing signed by a legally authorized representative of CST, the following terms apply to Products provided by CST, its affiliates or its distributors. Any Customer's terms and conditions that are in addition to, or different from, those contained herein, unless separately accepted in writing by a legally authorized representative of CST, are rejected and are of no force or effect.

Products are labeled with For Research Use Only or a similar labeling statement and have not been approved, cleared, or licensed by the FDA or other regulatory foreign or domestic entity, for any purpose. Customer shall not use any Product for any diagnostic or therapeutic purpose, or otherwise in any manner that conflicts with its labeling statement. Products sold or licensed by CST are provided for Customer as the end-user and solely for research and development uses. Any use of Product for diagnostic, prophylactic or therapeutic purposes, or any purchase of Product for resale (alone or as a component) or other commercial purpose, requires a separate license from CST. Customer shall (a) not sell, license, loan, donate or otherwise transfer or make available any Product to any third party, whether alone or in combination with other materials, or use the Products to manufacture any commercial products, (b) not copy, modify, reverse engineer, decompile, disassemble or otherwise attempt to discover the underlying structure or technology of the Products, or use the Products for the purpose of developing any products or services that would compete with CST products or services, (c) not alter or remove from the Products any trademarks, trade names, logos, patent or copyright notices or markings, (d) use the Products solely in accordance with CST Product Terms of Sale and any applicable documentation, and (e) comply with any license, terms of service or similar agreement with respect to any third party products or services used by Customer in connection with the Products.

Orders: 877-616-CELL (2355) [email protected] Support: 877-678-TECH (8324) [email protected] Web: cellsignal.com
For Research Use Only. Not for Use in Diagnostic Procedures.

Revision 6

Cell Signaling Technology Logo
Western blot analysis of extracts from 293T cells, mock transfected (-) or transfected with a construct expressing full-length Myc/DDK-tagged human TNFRSF17 protein (hTNFRSF17-Myc/DDK; +), using TNFRSF17/BCMA (E6D7B) Rabbit mAb (upper), DYKDDDDK Tag Antibody #2368 (middle), and β-Actin (D6A8) Rabbit mAb #8457 (lower).
Western Blotting Image 1: TNFRSF17/BCMA (E6D7B) Rabbit Monoclonal Antibody
Western blot analysis of extracts from various cell lines using TNFRSF17/BCMA (E6D7B) Rabbit mAb (upper) and β-Actin (D6A8) Rabbit mAb #8457 (lower). As expected, TNFRSF17/BCMA protein expression is not detected in either HeLa or CCRF-CEM cells.
Western Blotting Image 2: TNFRSF17/BCMA (E6D7B) Rabbit Monoclonal Antibody
Western blot analysis of extracts from U266 cells, untreated (-) or treated with PNGase F (+), using TNFRSF17/BCMA (E6D7B) Rabbit mAb (upper) and β-Actin (D6A8) Rabbit mAb #8457 (lower).
Western Blotting Image 3: TNFRSF17/BCMA (E6D7B) Rabbit Monoclonal Antibody
Orders: 877-616-CELL (2355) [email protected] Support: 877-678-TECH (8324) [email protected] Web: cellsignal.com
For Research Use Only. Not for Use in Diagnostic Procedures.

Revision 6

Cell Signaling Technology Logo
Immunoprecipitation of TNFRSF17/BCMA from U266 cell extracts. Lane 1 is 10% input, lane 2 is Rabbit (DA1E) mAb IgG XP® Isotype Control #3900, and lane 3 is TNFRSF17/BCMA (E6D7B) Rabbit mAb. Western blot analysis was performed using TNFRSF17/BCMA (E6D7B) Rabbit mAb. A HRP-conjugated heavy chain specific secondary antibody was used for detection.
Immunoprecipitation Image 1: TNFRSF17/BCMA (E6D7B) Rabbit Monoclonal Antibody
Immunohistochemical analysis of paraffin-embedded human bone marrow using TNFRSF17/BCMA (E6D7B) Rabbit mAb performed on the Leica BOND RX.
Immunohistochemistry Image 1: TNFRSF17/BCMA (E6D7B) Rabbit Monoclonal Antibody
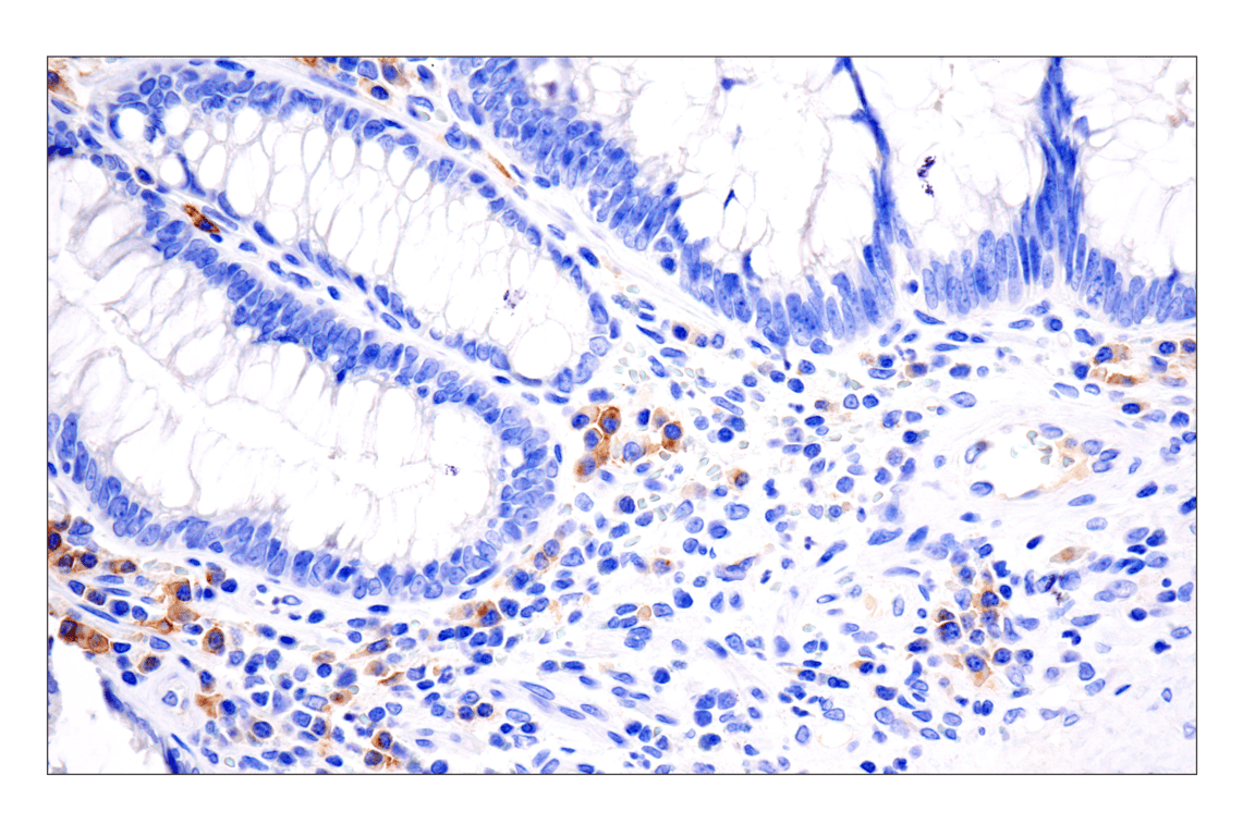
Immunohistochemical analysis of paraffin-embedded human colon adenocarcinoma using TNFRSF17/BCMA (E6D7B) Rabbit mAb performed on the Leica BOND RX.
Immunohistochemistry Image 2: TNFRSF17/BCMA (E6D7B) Rabbit Monoclonal Antibody
Orders: 877-616-CELL (2355) [email protected] Support: 877-678-TECH (8324) [email protected] Web: cellsignal.com
For Research Use Only. Not for Use in Diagnostic Procedures.

Revision 6

Cell Signaling Technology Logo
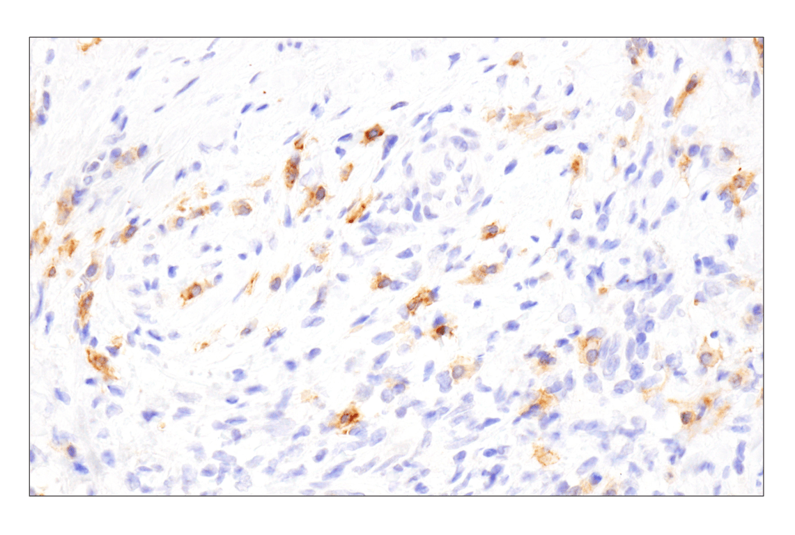
Immunohistochemical analysis of paraffin-embedded human esophageal carcinoma using TNFRSF17/BCMA (E6D7B) Rabbit mAb performed on the Leica BOND RX.
Immunohistochemistry Image 3: TNFRSF17/BCMA (E6D7B) Rabbit Monoclonal Antibody
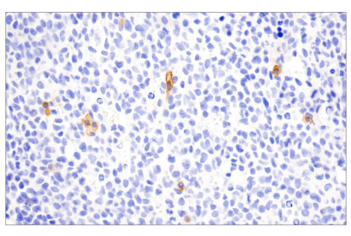
Immunohistochemical analysis of paraffin-embedded human acute myeloid leukemia in bone marrow using TNFRSF17/BCMA (E6D7B) Rabbit mAb.
Immunohistochemistry Image 1: TNFRSF17/BCMA (E6D7B) Rabbit Monoclonal Antibody
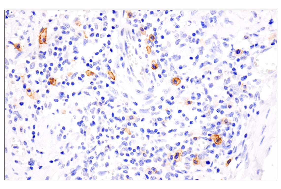
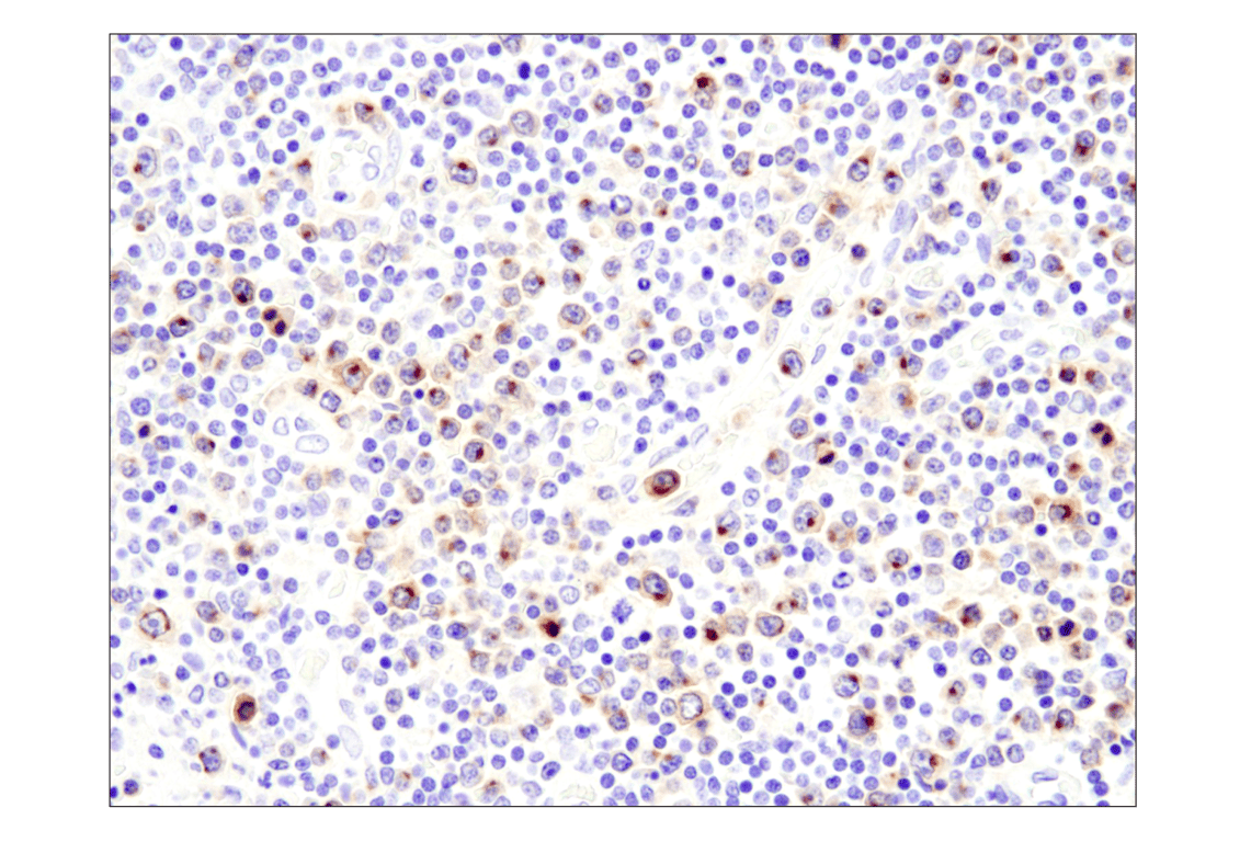
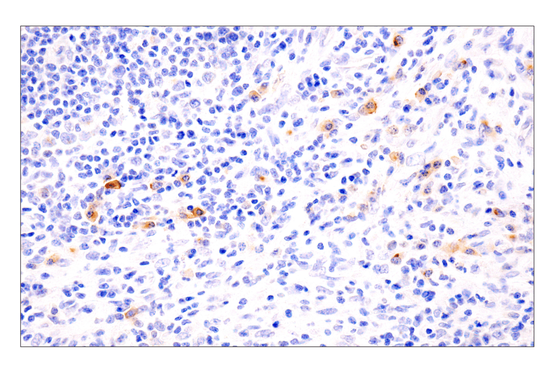
Immunohistochemical analysis of paraffin-embedded human Hodgkin lymphoma using TNFRSF17/BCMA (E6D7B) Rabbit mAb.
Immunohistochemistry Image 2: TNFRSF17/BCMA (E6D7B) Rabbit Monoclonal Antibody
Orders: 877-616-CELL (2355) [email protected] Support: 877-678-TECH (8324) [email protected] Web: cellsignal.com
For Research Use Only. Not for Use in Diagnostic Procedures.

Revision 6

Cell Signaling Technology Logo
Immunohistochemical analysis of paraffin-embedded human ductal breast carcinoma using TNFRSF17/BCMA (E6D7B) Rabbit mAb.
Immunohistochemistry Image 3: TNFRSF17/BCMA (E6D7B) Rabbit Monoclonal Antibody
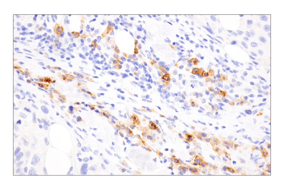
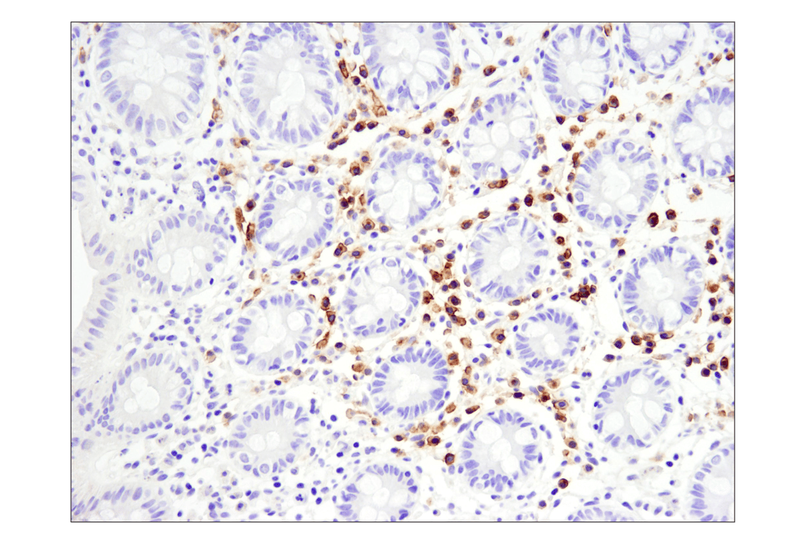
Immunohistochemical analysis of paraffin-embedded human colon carcinoma using TNFRSF17/BCMA (E6D7B) Rabbit mAb.
Immunohistochemistry Image 4: TNFRSF17/BCMA (E6D7B) Rabbit Monoclonal Antibody
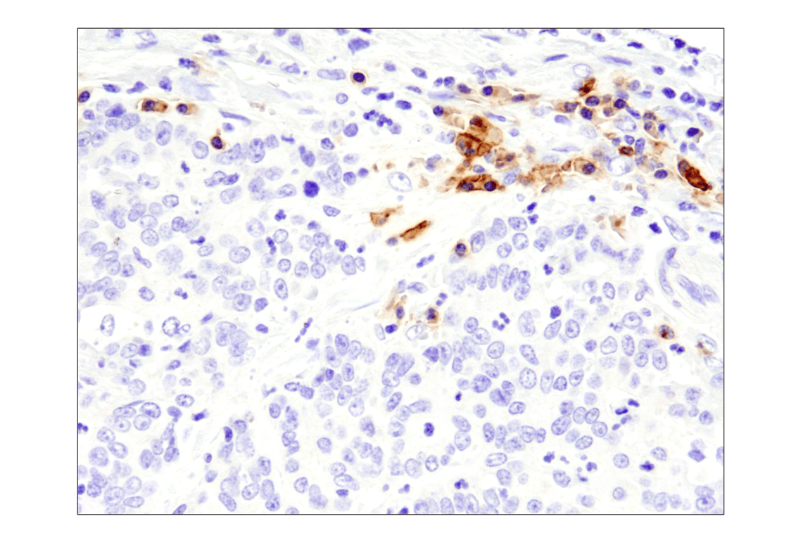
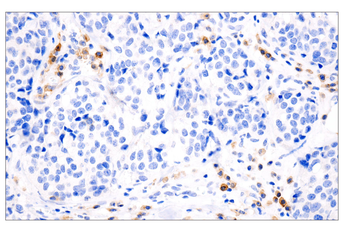
Immunohistochemical analysis of paraffin-embedded human squamous cell lung carcinoma using TNFRSF17/BCMA (E6D7B) Rabbit mAb.
Immunohistochemistry Image 5: TNFRSF17/BCMA (E6D7B) Rabbit Monoclonal Antibody
Orders: 877-616-CELL (2355) [email protected] Support: 877-678-TECH (8324) [email protected] Web: cellsignal.com
For Research Use Only. Not for Use in Diagnostic Procedures.

Revision 6

Cell Signaling Technology Logo
Immunohistochemical analysis of paraffin-embedded human oropharyngeal squamous cell carcinoma using TNFRSF17/BCMA (E6D7B) Rabbit mAb.
Immunohistochemistry Image 6: TNFRSF17/BCMA (E6D7B) Rabbit Monoclonal Antibody
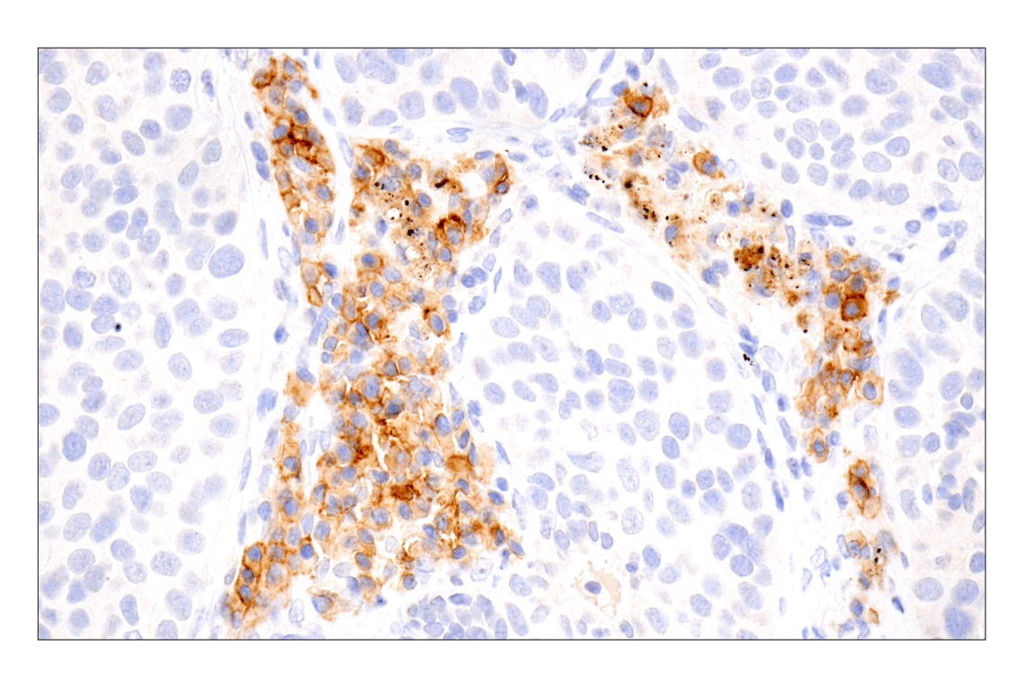
Immunohistochemical analysis of paraffin-embedded human hepatocellular carcinoma using TNFRSF17/BCMA (E6D7B) Rabbit mAb.
Immunohistochemistry Image 7: TNFRSF17/BCMA (E6D7B) Rabbit Monoclonal Antibody
Immunohistochemical analysis of paraffin-embedded human esophageal carcinoma using TNFRSF17/BCMA (E6D7B) Rabbit mAb.
Immunohistochemistry Image 8: TNFRSF17/BCMA (E6D7B) Rabbit Monoclonal Antibody
Orders: 877-616-CELL (2355) [email protected] Support: 877-678-TECH (8324) [email protected] Web: cellsignal.com
For Research Use Only. Not for Use in Diagnostic Procedures.

Revision 6

Cell Signaling Technology Logo
Immunohistochemical analysis of paraffin-embedded human papillary carcinoma of the breast using TNFRSF17/BCMA (E6D7B) Rabbit mAb.
Immunohistochemistry Image 9: TNFRSF17/BCMA (E6D7B) Rabbit Monoclonal Antibody
Immunohistochemical analysis of paraffin-embedded human colon carcinoma using TNFRSF17/BCMA (E6D7B) Rabbit mAb.
Immunohistochemistry Image 10: TNFRSF17/BCMA (E6D7B) Rabbit Monoclonal Antibody
Immunohistochemical analysis of paraffin-embedded normal human lymph node using TNFRSF17/BCMA (E6D7B) Rabbit mAb.
Immunohistochemistry Image 11: TNFRSF17/BCMA (E6D7B) Rabbit Monoclonal Antibody
Orders: 877-616-CELL (2355) [email protected] Support: 877-678-TECH (8324) [email protected] Web: cellsignal.com
For Research Use Only. Not for Use in Diagnostic Procedures.

Revision 6

Cell Signaling Technology Logo
Immunohistochemical analysis of paraffin-embedded normal human colon using TNFRSF17/BCMA (E6D7B) Rabbit mAb.
Immunohistochemistry Image 12: TNFRSF17/BCMA (E6D7B) Rabbit Monoclonal Antibody
Immunohistochemical analysis of paraffin-embedded U266B1 cell pellet (left, positive) or HeLa cell pellet (right, negative) using TNFRSF17/BCMA (E6D7B) Rabbit mAb.
Immunohistochemistry Image 13: TNFRSF17/BCMA (E6D7B) Rabbit Monoclonal Antibody
Flow cytometric analysis of Jurkat cells (blue, negative) and NCI-H929 cells (green, positive) using TNFRSF17/BCMA (E6D7B) Rabbit mAb (solid lines) or a concentration-matched Rabbit (DA1E) mAb IgG XP® Isotype Control #3900 (dashed lines). Anti-rabbit IgG (H+L), F(ab')2 Fragment (Alexa Fluor® 488 Conjugate) #4412 was used as a secondary antibody.
Flow Cytometry Image 1: TNFRSF17/BCMA (E6D7B) Rabbit Monoclonal Antibody
Orders: 877-616-CELL (2355) [email protected] Support: 877-678-TECH (8324) [email protected] Web: cellsignal.com
For Research Use Only. Not for Use in Diagnostic Procedures.