Revision 1

#40804

Store at -20C

CST Logo
Orders:

877-616-CELL (2355)

[email protected]

Support:

877-678-TECH (8324)

3 Trask Lane | Danvers | Massachusetts | 01923 | USA

For Research Use Only. Not for Use in Diagnostic Procedures.

Applications:
W

Reactivity:
H

Sensitivity:
Endogenous

MW (kDa):
90 (precursor), 120 (mature)

Source/Isotype:
Rabbit

UniProt ID:
#P28908

Entrez-Gene Id:
943

Product Usage Information

Application Dilution
Western Blotting 1:1000

Storage

Supplied in 10 mM sodium HEPES (pH 7.5), 150 mM NaCl, 100 µg/ml BSA and 50% glycerol. Store at –20°C. Do not aliquot the antibody.

Specificity/Sensitivity

TNFRSF8/CD30 Antibody recognizes endogenous levels of total TNFRSF8/CD30 protein.

Source / Purification

Polyclonal antibodies are produced by immunizing animals with a synthetic peptide corresponding to residues near the carboxy terminus of human TNFRSF8/CD30 protein. Antibodies are purified by protein A and peptide affinity chromatography.

Background

TNFRSF8/CD30 is a type-I transmembrane glycoprotein that is a member of the TNFR superfamily. CD30 is synthesized as a precursor protein that undergoes extensive post-translational modification before becoming embedded in the plasma membrane as a 120-kDa transmembrane protein (1,2). The expression of CD30 is upregulated in activated T cells and may trigger costimulatory signaling pathways upon its engagement (3,4). While its expression is normally restricted to subsets of activated T cells and B cells, CD30 expression is robustly upregulated in hematologic malignancies, such as Hodgkin lymphoma (HL), anaplastic large cell lymphoma (ALCL), and adult T-cell leukemia, thus making it an attractive target for therapeutic intervention (5,6). Research studies have suggested that in certain disease contexts, CD30 recruits TRAF2 and TRAF5 adaptor proteins to drive NF-kappa B activation, aberrant cell growth, and cytokine production (7-9). CD30 signaling is also regulated by TACE-dependent proteolytic cleavage of its ectodomain, which results in reduced CD30L-dependent activation of CD30+ cells (10,11).

Species Reactivity

Species reactivity is determined by testing in at least one approved application (e.g., western blot).

Western Blot Buffer

IMPORTANT: For western blots, incubate membrane with diluted primary antibody in 5% w/v BSA, 1X TBS, 0.1% Tween® 20 at 4°C with gentle shaking, overnight.

Applications Key

W: Western Blotting

Cross-Reactivity Key

H: Human

Trademarks and Patents

Cell Signaling Technology is a trademark of Cell Signaling Technology, Inc.

KARPAS cell line source: Dr. Abraham Karpas at the University of Cambridge.

All other trademarks are the property of their respective owners. Visit cellsignal.com/trademarks for more information.

Limited Uses

Except as otherwise expressly agreed in a writing signed by a legally authorized representative of CST, the following terms apply to Products provided by CST, its affiliates or its distributors. Any Customer's terms and conditions that are in addition to, or different from, those contained herein, unless separately accepted in writing by a legally authorized representative of CST, are rejected and are of no force or effect.

Products are labeled with For Research Use Only or a similar labeling statement and have not been approved, cleared, or licensed by the FDA or other regulatory foreign or domestic entity, for any purpose. Customer shall not use any Product for any diagnostic or therapeutic purpose, or otherwise in any manner that conflicts with its labeling statement. Products sold or licensed by CST are provided for Customer as the end-user and solely for research and development uses. Any use of Product for diagnostic, prophylactic or therapeutic purposes, or any purchase of Product for resale (alone or as a component) or other commercial purpose, requires a separate license from CST. Customer shall (a) not sell, license, loan, donate or otherwise transfer or make available any Product to any third party, whether alone or in combination with other materials, or use the Products to manufacture any commercial products, (b) not copy, modify, reverse engineer, decompile, disassemble or otherwise attempt to discover the underlying structure or technology of the Products, or use the Products for the purpose of developing any products or services that would compete with CST products or services, (c) not alter or remove from the Products any trademarks, trade names, logos, patent or copyright notices or markings, (d) use the Products solely in accordance with CST Product Terms of Sale and any applicable documentation, and (e) comply with any license, terms of service or similar agreement with respect to any third party products or services used by Customer in connection with the Products.

Orders: 877-616-CELL (2355) [email protected] Support: 877-678-TECH (8324) [email protected] Web: cellsignal.com
For Research Use Only. Not for Use in Diagnostic Procedures.

Revision 1

Cell Signaling Technology Logo
Western blot analysis of extracts from 293T cells, mock transfected (-) or transfected with a construct expressing Myc/DDK-tagged full-length human TNFRSF8/CD30 protein (hCD30-Myc/DDK; +), using TNFRSF8/CD30 Antibody (upper), DYKDDDDK Tag Antibody #2368 (middle), and β-Actin (D6A8) Rabbit mAb #8457 (lower).
Western Blotting Image 1: TNFRSF8/CD30 Antibody
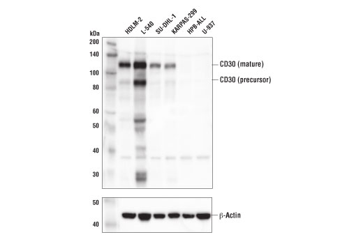
Western blot analysis of extracts from various cell lines using TNFRSF8/CD30 Antibody (upper) and β-Actin (D6A8) Rabbit mAb #8457 (lower). As expected, TNFRSF8/CD30 protein is not detected in either HPB-ALL or U-937 cells. KARPAS-299 cell line source: Dr. Abraham Karpas at the University of Cambridge.
Western Blotting Image 2: TNFRSF8/CD30 Antibody
Western blot analysis of extracts from KARPAS-299 cells, untreated (-) or treated with TPA #4174 (200nM, 90min; +), using TNFRSF8/CD30 Antibody (upper) or β-Actin (D6A8) Rabbit mAb #8457 (lower). KARPAS-299 cell line source: Dr. Abraham Karpas at the University of Cambridge.
Western Blotting Image 3: TNFRSF8/CD30 Antibody
Orders: 877-616-CELL (2355) [email protected] Support: 877-678-TECH (8324) [email protected] Web: cellsignal.com
For Research Use Only. Not for Use in Diagnostic Procedures.