Revision 8

#25114

Store at -20C

CST Logo
Orders:

877-616-CELL (2355)

[email protected]

Support:

877-678-TECH (8324)

3 Trask Lane | Danvers | Massachusetts | 01923 | USA

For Research Use Only. Not for Use in Diagnostic Procedures.

Applications:
W, IHC-Bond, IHC-P, IF-IC, FC-L

Reactivity:
H Mk

Sensitivity:
Endogenous

MW (kDa):
90, 120

Source/Isotype:
Rabbit IgG

UniProt ID:
#P28908

Entrez-Gene Id:
943

Product Usage Information

Application Dilution
Western Blotting 1:1000
IHC Leica Bond 1:50
Immunohistochemistry (Paraffin) 1:50
Immunofluorescence (Immunocytochemistry) 1:400
Flow Cytometry (Live) 1:200 - 1:800

Storage

Supplied in 10 mM sodium HEPES (pH 7.5), 150 mM NaCl, 100 µg/ml BSA, 50% glycerol and less than 0.02% sodium azide. Store at –20°C. Do not aliquot the antibody.

For a carrier free (BSA and azide free) version of this product see product #18445.

Specificity/Sensitivity

TNFRSF8/CD30 (E7E4D) Rabbit Monoclonal Antibody recognizes endogenous levels of total TNFRSF8/CD30 protein.

Source / Purification

Monoclonal antibody is produced by immunizing animals with recombinant protein specific to the extracellular domain of human TNFRSF8/CD30 protein.

Background

TNFRSF8/CD30 is a type-I transmembrane glycoprotein that is a member of the TNFR superfamily. CD30 is synthesized as a precursor protein that undergoes extensive post-translational modification before becoming embedded in the plasma membrane as a 120-kDa transmembrane protein (1,2). The expression of CD30 is upregulated in activated T cells and may trigger costimulatory signaling pathways upon its engagement (3,4). While its expression is normally restricted to subsets of activated T cells and B cells, CD30 expression is robustly upregulated in hematologic malignancies, such as Hodgkin lymphoma (HL), anaplastic large cell lymphoma (ALCL), and adult T-cell leukemia, thus making it an attractive target for therapeutic intervention (5,6). Research studies have suggested that in certain disease contexts, CD30 recruits TRAF2 and TRAF5 adaptor proteins to drive NF-kappa B activation, aberrant cell growth, and cytokine production (7-9). CD30 signaling is also regulated by TACE-dependent proteolytic cleavage of its ectodomain, which results in reduced CD30L-dependent activation of CD30+ cells (10,11).

Species Reactivity

Species reactivity is determined by testing in at least one approved application (e.g., western blot).

Western Blot Buffer

IMPORTANT: For western blots, incubate membrane with diluted primary antibody in 5% w/v BSA, 1X TBS, 0.1% Tween® 20 at 4°C with gentle shaking, overnight.

Applications Key

W: Western Blotting IHC-Bond: IHC Leica Bond IHC-P: Immunohistochemistry (Paraffin) IF-IC: Immunofluorescence (Immunocytochemistry) FC-L: Flow Cytometry (Live)

Cross-Reactivity Key

H: Human Mk: Monkey

Trademarks and Patents

Cell Signaling Technology is a trademark of Cell Signaling Technology, Inc.

Alexa Fluor is a registered trademark of Life Technologies Corporation.

KARPAS cell line source: Dr. Abraham Karpas at the University of Cambridge.

All other trademarks are the property of their respective owners. Visit cellsignal.com/trademarks for more information.

Limited Uses

Except as otherwise expressly agreed in a writing signed by a legally authorized representative of CST, the following terms apply to Products provided by CST, its affiliates or its distributors. Any Customer's terms and conditions that are in addition to, or different from, those contained herein, unless separately accepted in writing by a legally authorized representative of CST, are rejected and are of no force or effect.

Products are labeled with For Research Use Only or a similar labeling statement and have not been approved, cleared, or licensed by the FDA or other regulatory foreign or domestic entity, for any purpose. Customer shall not use any Product for any diagnostic or therapeutic purpose, or otherwise in any manner that conflicts with its labeling statement. Products sold or licensed by CST are provided for Customer as the end-user and solely for research and development uses. Any use of Product for diagnostic, prophylactic or therapeutic purposes, or any purchase of Product for resale (alone or as a component) or other commercial purpose, requires a separate license from CST. Customer shall (a) not sell, license, loan, donate or otherwise transfer or make available any Product to any third party, whether alone or in combination with other materials, or use the Products to manufacture any commercial products, (b) not copy, modify, reverse engineer, decompile, disassemble or otherwise attempt to discover the underlying structure or technology of the Products, or use the Products for the purpose of developing any products or services that would compete with CST products or services, (c) not alter or remove from the Products any trademarks, trade names, logos, patent or copyright notices or markings, (d) use the Products solely in accordance with CST Product Terms of Sale and any applicable documentation, and (e) comply with any license, terms of service or similar agreement with respect to any third party products or services used by Customer in connection with the Products.

Orders: 877-616-CELL (2355) [email protected] Support: 877-678-TECH (8324) [email protected] Web: cellsignal.com
For Research Use Only. Not for Use in Diagnostic Procedures.

Revision 8

Cell Signaling Technology Logo
Western blot analysis of extracts from 293T cells, mock transfected (-) or transfected with a construct expressing Myc/DDK-tagged full-length human TNFRSF8/CD30 protein (hCD30-Myc/DDK; +), using TNFRSF8/CD30 (E7E4D) XP® Rabbit mAb (upper), DYKDDDDK Tag Antibody #2368 (middle), and β-Actin (D6A8) Rabbit mAb #8457 (lower).
Western Blotting Image 1: TNFRSF8/CD30 (E7E4D) Rabbit Monoclonal Antibody
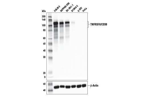
Western blot analysis of extracts from various cell lines using TNFRSF8/CD30 (E7E4D) XP® Rabbit mAb (upper) and β-Actin (D6A8) Rabbit mAb #8457 (lower). As expected, TNFRSF8/CD30 protein is not expressed in either U-937 or HeLa cells. KARPAS-299 cell line source: Dr. Abraham Karpas at the University of Cambridge.
Western Blotting Image 2: TNFRSF8/CD30 (E7E4D) Rabbit Monoclonal Antibody
Immunohistochemical analysis of paraffin-embedded human Hodgkin lymphoma using TNFRSF8/CD30 (E7E4D) XP® Rabbit mAb performed on the Leica® BOND™ Rx.
Immunohistochemistry Image 1: TNFRSF8/CD30 (E7E4D) Rabbit Monoclonal Antibody
Orders: 877-616-CELL (2355) [email protected] Support: 877-678-TECH (8324) [email protected] Web: cellsignal.com
For Research Use Only. Not for Use in Diagnostic Procedures.

Revision 8

Cell Signaling Technology Logo
Immunohistochemical analysis of paraffin-embedded human B-cell non-Hodgkin lymphoma using TNFRSF8/CD30 (E7E4D) XP® Rabbit mAb performed on the Leica® BOND™ Rx.
Immunohistochemistry Image 2: TNFRSF8/CD30 (E7E4D) Rabbit Monoclonal Antibody
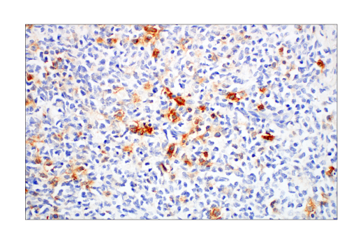
Immunohistochemical analysis of paraffin-embedded human colon adenocarcinoma using TNFRSF8/CD30 (E7E4D) XP® Rabbit mAb performed on the Leica® BOND™ Rx.
Immunohistochemistry Image 3: TNFRSF8/CD30 (E7E4D) Rabbit Monoclonal Antibody
Immunohistochemical analysis of paraffin-embedded human colon adenocarcinoma using TNFRSF8/CD30 (E7E4D) XP® Rabbit mAb performed on the Leica® BOND™ Rx.
Immunohistochemistry Image 4: TNFRSF8/CD30 (E7E4D) Rabbit Monoclonal Antibody
Orders: 877-616-CELL (2355) [email protected] Support: 877-678-TECH (8324) [email protected] Web: cellsignal.com
For Research Use Only. Not for Use in Diagnostic Procedures.

Revision 8

Cell Signaling Technology Logo
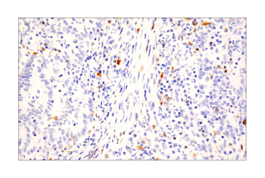
Immunohistochemical analysis of paraffin-embedded human urothelial carcinoma using TNFRSF8/CD30 (E7E4D) XP® Rabbit mAb performed on the Leica® BOND™ Rx.
Immunohistochemistry Image 5: TNFRSF8/CD30 (E7E4D) Rabbit Monoclonal Antibody
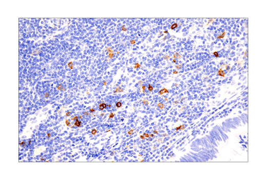
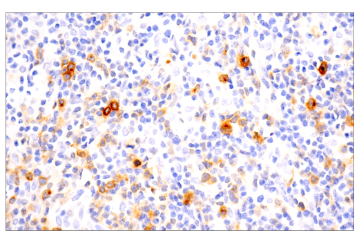
Immunohistochemical analysis of paraffin-embedded human T-cell lymphoma using TNFRSF8/CD30 (E7E4D) XP® Rabbit mAb.
Immunohistochemistry Image 1: TNFRSF8/CD30 (E7E4D) Rabbit Monoclonal Antibody
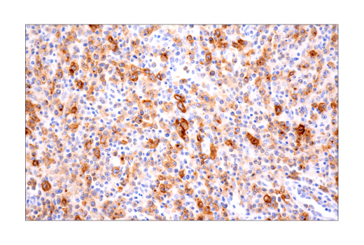
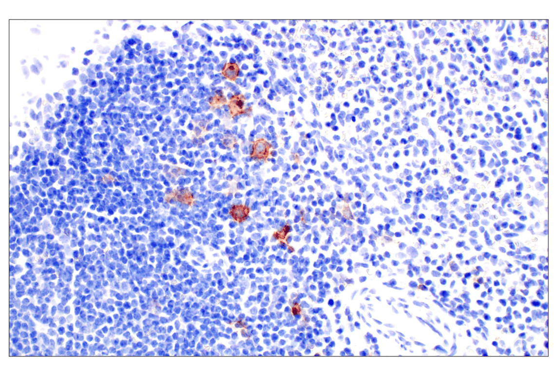
Immunohistochemical analysis of paraffin-embedded human T-cell lymphoma using TNFRSF8/CD30 (E7E4D) XP® Rabbit mAb.
Immunohistochemistry Image 2: TNFRSF8/CD30 (E7E4D) Rabbit Monoclonal Antibody
Orders: 877-616-CELL (2355) [email protected] Support: 877-678-TECH (8324) [email protected] Web: cellsignal.com
For Research Use Only. Not for Use in Diagnostic Procedures.

Revision 8

Cell Signaling Technology Logo
Immunohistochemical analysis of paraffin-embedded human tonsil using TNFRSF8/CD30 (E7E4D) XP® Rabbit mAb (left) or TNFRSF8/CD30 (E4L4I) XP® Rabbit mAb #54535 (right). These two antibodies detect independent, unique epitopes on human TNFRSF8/CD30. The similar staining patterns obtained with both antibodies help to confirm the specificity of the staining.
Immunohistochemistry Image 3: TNFRSF8/CD30 (E7E4D) Rabbit Monoclonal Antibody
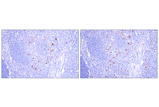
Immunohistochemical analysis of paraffin-embedded rhesus monkey spleen using TNFRSF8/CD30 (E7E4D) XP® Rabbit mAb.
Immunohistochemistry Image 4: TNFRSF8/CD30 (E7E4D) Rabbit Monoclonal Antibody
Immunohistochemical analysis of paraffin-embedded KARPAS 299 cell pellet (left, positive) or HeLa cell pellet (right, negative) using TNFRSF8/CD30 (E7E4D) XP® Rabbit mAb.
Immunohistochemistry Image 5: TNFRSF8/CD30 (E7E4D) Rabbit Monoclonal Antibody
Orders: 877-616-CELL (2355) [email protected] Support: 877-678-TECH (8324) [email protected] Web: cellsignal.com
For Research Use Only. Not for Use in Diagnostic Procedures.

Revision 8

Cell Signaling Technology Logo
Confocal immunofluorescent analysis of HDLM-2 cells (left, high-expressing), NTERA-2 cells (middle, low-expressing) and HeLa cells (right, negative) using TNFRSF8/CD30 (E7E4D) XP® Rabbit mAb (green). Actin filaments were labeled with DyLight™ 554 Phalloidin #13054 (red). Samples were mounted in ProLong® Gold Antifade Reagent with DAPI #8961 (blue).
Immunofluorescence Image 1: TNFRSF8/CD30 (E7E4D) Rabbit Monoclonal Antibody
Flow cytometric analysis of U-937 cells (blue, negative) and HDLM-2 cells (green, positive) using TNFRSF8/CD30 (E7E4D) XP® Rabbit mAb(solid lines) or a concentration-matched Rabbit (DA1E) mAb IgG XP® Isotype Control #3900 (dashed lines). Anti-rabbit IgG (H+L), F(ab')2 Fragment (Alexa Fluor® 488 Conjugate) #4412 was used as a secondary antibody.
Flow Cytometry Image 1: TNFRSF8/CD30 (E7E4D) Rabbit Monoclonal Antibody
Orders: 877-616-CELL (2355) [email protected] Support: 877-678-TECH (8324) [email protected] Web: cellsignal.com
For Research Use Only. Not for Use in Diagnostic Procedures.