Revision 3

#12286

Store at -20C

CST Logo
Orders:

877-616-CELL (2355)

[email protected]

Support:

877-678-TECH (8324)

3 Trask Lane | Danvers | Massachusetts | 01923 | USA

For Research Use Only. Not for Use in Diagnostic Procedures.

Applications:
W, IHC-P, IF-IC, FC-FP

Reactivity:
H Mk

Sensitivity:
Endogenous

MW (kDa):
190

Source/Isotype:
Rabbit

UniProt ID:
#P11388

Entrez-Gene Id:
7153

Product Usage Information

Application Dilution
Western Blotting 1:1000
Immunohistochemistry (Paraffin) 1:400
Immunofluorescence (Immunocytochemistry) 1:1600
Flow Cytometry (Fixed/Permeabilized) 1:100

Storage

Supplied in 10 mM sodium HEPES (pH 7.5), 150 mM NaCl, 100 µg/ml BSA, 50% glycerol and less than 0.02% sodium azide. Store at –20°C. Do not aliquot the antibody.

For a carrier free (BSA and azide free) version of this product see product #27498.

Specificity/Sensitivity

Topoisomerase II alpha (D10G9) Rabbit Monoclonal Antibody recognizes endogenous levels of total topoisomerase IIα protein.

Source / Purification

Monoclonal antibody is produced by immunizing animals with a synthetic peptide corresponding to residues near the carboxy terminus of human topoisomerase IIα protein.

Background

DNA topoisomerases I and II are nuclear enzymes; type II consists of two highly homologous isoforms: topoisomerase IIα and IIβ. These enzymes regulate the topology of DNA, maintain genomic integrity, and are essential for processes such as DNA replication, recombination, transcription, and chromosome segregation by allowing DNA strands to pass through each other (1). Topoisomerase I nicks and rejoins one strand of the duplex DNA, while topoisomerase II transiently breaks and closes double-stranded DNA (2). Topoisomerases are very susceptible to various stresses. Acidic pH or oxidative stress can convert topoisomerases to DNA-breaking nucleases, causing genomic instability and cell death. DNA-damaging topoisomerase targeting drugs (e.g., etoposide) also convert topoisomerases to nucleases, with the enzyme usually trapped as an intermediate that is covalently bound to the 5+ end of the cleaved DNA strand(s). Research studies have shown that this intermediate leads to genomic instability and cell death. Thus, agents that target topoisomerases are highly sought after cancer chemotherapeutic drugs (3). Ca2+-regulated phosphorylation of topoisomerase IIα at Ser1106 modulates the activity of this enzyme and its sensitivity to targeting drugs (4).

Species Reactivity

Species reactivity is determined by testing in at least one approved application (e.g., western blot).

Western Blot Buffer

IMPORTANT: For western blots, incubate membrane with diluted primary antibody in 5% w/v BSA, 1X TBS, 0.1% Tween® 20 at 4°C with gentle shaking, overnight.

Applications Key

W: Western Blotting IHC-P: Immunohistochemistry (Paraffin) IF-IC: Immunofluorescence (Immunocytochemistry) FC-FP: Flow Cytometry (Fixed/Permeabilized)

Cross-Reactivity Key

H: Human Mk: Monkey

Trademarks and Patents

Cell Signaling Technology is a trademark of Cell Signaling Technology, Inc.

Alexa Fluor is a registered trademark of Life Technologies Corporation.

All other trademarks are the property of their respective owners. Visit cellsignal.com/trademarks for more information.

Limited Uses

Except as otherwise expressly agreed in a writing signed by a legally authorized representative of CST, the following terms apply to Products provided by CST, its affiliates or its distributors. Any Customer's terms and conditions that are in addition to, or different from, those contained herein, unless separately accepted in writing by a legally authorized representative of CST, are rejected and are of no force or effect.

Products are labeled with For Research Use Only or a similar labeling statement and have not been approved, cleared, or licensed by the FDA or other regulatory foreign or domestic entity, for any purpose. Customer shall not use any Product for any diagnostic or therapeutic purpose, or otherwise in any manner that conflicts with its labeling statement. Products sold or licensed by CST are provided for Customer as the end-user and solely for research and development uses. Any use of Product for diagnostic, prophylactic or therapeutic purposes, or any purchase of Product for resale (alone or as a component) or other commercial purpose, requires a separate license from CST. Customer shall (a) not sell, license, loan, donate or otherwise transfer or make available any Product to any third party, whether alone or in combination with other materials, or use the Products to manufacture any commercial products, (b) not copy, modify, reverse engineer, decompile, disassemble or otherwise attempt to discover the underlying structure or technology of the Products, or use the Products for the purpose of developing any products or services that would compete with CST products or services, (c) not alter or remove from the Products any trademarks, trade names, logos, patent or copyright notices or markings, (d) use the Products solely in accordance with CST Product Terms of Sale and any applicable documentation, and (e) comply with any license, terms of service or similar agreement with respect to any third party products or services used by Customer in connection with the Products.

Orders: 877-616-CELL (2355) [email protected] Support: 877-678-TECH (8324) [email protected] Web: cellsignal.com
For Research Use Only. Not for Use in Diagnostic Procedures.

Revision 3

Cell Signaling Technology Logo
Western blot analysis of extracts from various cell lines using Topoisomerase IIα (D10G9) XP® Rabbit mAb (upper) or β-Actin (D6A8) Rabbit mAb #8457 (lower).
Western Blotting Image 1: Topoisomerase II alpha (D10G9) Rabbit Monoclonal Antibody
Immunohistochemical analysis of paraffin-embedded human breast carcinoma using Topoisomerase IIα (D10G9) XP® Rabbit mAb.
Immunohistochemistry Image 1: Topoisomerase II alpha (D10G9) Rabbit Monoclonal Antibody
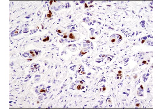
Immunohistochemical analysis of paraffin-embedded human colon carcinoma using Topoisomerase IIα (D10G9) XP® Rabbit mAb.
Immunohistochemistry Image 2: Topoisomerase II alpha (D10G9) Rabbit Monoclonal Antibody
Orders: 877-616-CELL (2355) [email protected] Support: 877-678-TECH (8324) [email protected] Web: cellsignal.com
For Research Use Only. Not for Use in Diagnostic Procedures.

Revision 3

Cell Signaling Technology Logo
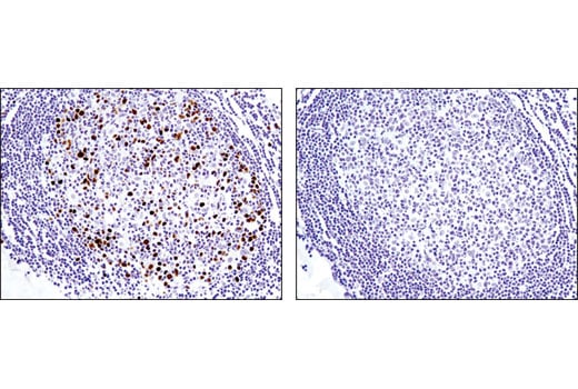
Immunohistochemical analysis of paraffin-embedded human lymph node using Topoisomerase IIα (D10G9) XP® Rabbit mAb in the presence of control peptide (left) or antigen-specific peptide (right).
Immunohistochemistry Image 3: Topoisomerase II alpha (D10G9) Rabbit Monoclonal Antibody
Confocal immunofluorescent analysis of HeLa cells using Topoisomerase IIα (D10G9) XP® Rabbit mAb (green). Actin filaments were labeled with DY-554 phalloidin (red).
Immunofluorescence Image 1: Topoisomerase II alpha (D10G9) Rabbit Monoclonal Antibody
Flow cytometric analysis of Jurkat cells using Topoisomerase IIα (D10G9) XP® Rabbit mAb compared to concentration-matched Rabbit (DA1E) mAb IgG XP® Isotype Control #3900 (red). Anti-rabbit IgG (H+L), F(ab')2 Fragment (Alexa Fluor® 488 Conjugate) #4412 was used as a secondary antibody.
Flow Cytometry Image 1: Topoisomerase II alpha (D10G9) Rabbit Monoclonal Antibody
Orders: 877-616-CELL (2355) [email protected] Support: 877-678-TECH (8324) [email protected] Web: cellsignal.com
For Research Use Only. Not for Use in Diagnostic Procedures.