Revision 11

#62886

Store at -20C

CST Logo
Orders:

877-616-CELL (2355)

[email protected]

Support:

877-678-TECH (8324)

3 Trask Lane | Danvers | Massachusetts | 01923 | USA

For Research Use Only. Not for Use in Diagnostic Procedures.

Applications:
W, IHC-P, ELISA+

Reactivity:
H M R

Sensitivity:
Endogenous

MW (kDa):
60-80

Source/Isotype:
Rabbit IgG

UniProt ID:
#Q96NM4, #O94900

Entrez-Gene Id:
84969, 9760

Product Usage Information

This product is the carrier free version of product #73758. All data were generated using the same antibody clone in the standard formulation which contains BSA and glycerol.

This formulation is ideal for use with technologies requiring specialized or custom antibody labeling, including fluorophores, metals, lanthanides, and oligonucleotides. It is not recommended for ChIP, ChIP-seq, CUT&RUN, or CUT&Tag assays. If you require a carrier-free formulation for chromatin profiling, please contact us. Optimal dilutions/concentrations should be determined by the end user.

BSA and Azide Free antibodies are quality control tested by size exclusion chromatography (SEC) to determine antibody integrity.

Formulation

Supplied in 1X PBS (10 mM Na2HPO4, 3 mM KCl, 2 mM KH2PO4, and 140 mM NaCl (pH 7.8)). BSA and Azide Free.

For standard formulation of this product see product #73758.

Storage

Store at -20°C. This product will freeze at -20°C so it is recommended to aliquot into single-use vials to avoid multiple freeze/thaw cycles. A slight precipitate may be present and can be dissolved by gently vortexing. This will not interfere with antibody performance.

Specificity/Sensitivity

Tox/Tox2 (E6I3Q) Rabbit Monoclonal Antibody (BSA and Azide Free) recognizes endogenous levels of total Tox and Tox2 proteins. This antibody does not cross-react with Tox3 or Tox4 proteins.

Source / Purification

Monoclonal antibody is produced by immunizing animals with a synthetic peptide corresponding to residues surrounding Ala522 of human Tox protein.

Background

Thymocyte selection-associated high mobility group box protein (Tox) is a DNA-binding nuclear factor and member of the evolutionarily conserved high-motility group (HMG)-box superfamily. Tox also defines a small subfamily of proteins that include Tox2, Tox3, and Tox4, all of which are highly conserved in vertebrate species but have unique tissue expression patterns and functions (1,2).

Tox plays a key role in T cell development in the thymus during positive selection (3-5). A study in Tox-deficient mice also revealed a requirement for Tox in CD4 T cell and NK cell lineage development, including NKT cells, FoxP3+ T regulatory T cells, and lymphoid tissue-inducer (LTi) cells (6-8). Although Tox expression is primarily restricted to developing immune cells in normal tissues, Tox is induced by high antigen stimulation during chronic viral infection or cancer, regulating T cell persistence and exhaustion (9-12). Tox has also been shown to be aberrantly expressed in cutaneous T cell lymphomas (13-14).

Species Reactivity

Species reactivity is determined by testing in at least one approved application (e.g., western blot).

Applications Key

W: Western Blotting IHC-P: Immunohistochemistry (Paraffin) ELISA+: ELISA and/or ELISA-like Assays

Cross-Reactivity Key

H: Human M: Mouse R: Rat

Trademarks and Patents

Cell Signaling Technology is a trademark of Cell Signaling Technology, Inc.

SignalStain is a registered trademark of Cell Signaling Technology, Inc.

All other trademarks are the property of their respective owners. Visit cellsignal.com/trademarks for more information.

Limited Uses

Except as otherwise expressly agreed in a writing signed by a legally authorized representative of CST, the following terms apply to Products provided by CST, its affiliates or its distributors. Any Customer's terms and conditions that are in addition to, or different from, those contained herein, unless separately accepted in writing by a legally authorized representative of CST, are rejected and are of no force or effect.

Products are labeled with For Research Use Only or a similar labeling statement and have not been approved, cleared, or licensed by the FDA or other regulatory foreign or domestic entity, for any purpose. Customer shall not use any Product for any diagnostic or therapeutic purpose, or otherwise in any manner that conflicts with its labeling statement. Products sold or licensed by CST are provided for Customer as the end-user and solely for research and development uses. Any use of Product for diagnostic, prophylactic or therapeutic purposes, or any purchase of Product for resale (alone or as a component) or other commercial purpose, requires a separate license from CST. Customer shall (a) not sell, license, loan, donate or otherwise transfer or make available any Product to any third party, whether alone or in combination with other materials, or use the Products to manufacture any commercial products, (b) not copy, modify, reverse engineer, decompile, disassemble or otherwise attempt to discover the underlying structure or technology of the Products, or use the Products for the purpose of developing any products or services that would compete with CST products or services, (c) not alter or remove from the Products any trademarks, trade names, logos, patent or copyright notices or markings, (d) use the Products solely in accordance with CST Product Terms of Sale and any applicable documentation, and (e) comply with any license, terms of service or similar agreement with respect to any third party products or services used by Customer in connection with the Products.

Orders: 877-616-CELL (2355) [email protected] Support: 877-678-TECH (8324) [email protected] Web: cellsignal.com
For Research Use Only. Not for Use in Diagnostic Procedures.

Revision 11

Cell Signaling Technology Logo
Western blot analysis of extracts from 293T cells, mock transfected (-) or transfected (+) with constructs expressing Myc/DDK-tagged full-length human Tox protein (hTox-Myc/DDK), Myc/DDK-tagged full-length human Tox2 protein (hTox2-Myc/DDK), Myc/DDK-tagged full-length human Tox3 protein (hTox3-Myc/DDK), or Myc/DDK-tagged full-length human Tox4 protein (hTox4-Myc/DDK), using Tox/Tox2 (E6I3Q) Rabbit mAb (upper), Myc-Tag (71D10) Rabbit mAb #2278 (middle), and β-Actin (D6A8) Rabbit mAb #8457 (lower). Data was generated using the standard formulation of this product.
Western Blotting Image 1: Tox/Tox2 (E6I3Q) Rabbit Monoclonal Antibody (BSA and Azide Free)
Western blot analysis of extracts from human and mouse cell lines and rat tissue using Tox/Tox2 (E6I3Q) Rabbit mAb (upper) and β-Actin (D6A8) Rabbit mAb #8457 (lower). Data was generated using the standard formulation of this product.
Western Blotting Image 2: Tox/Tox2 (E6I3Q) Rabbit Monoclonal Antibody (BSA and Azide Free)
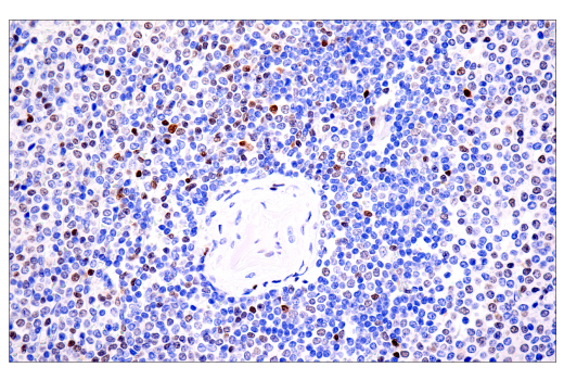
Immunohistochemical analysis of paraffin-embedded normal human spleen using Tox/Tox2 (E6I3Q) Rabbit mAb. Data was generated using the standard formulation of this product.
Immunohistochemistry Image 1: Tox/Tox2 (E6I3Q) Rabbit Monoclonal Antibody (BSA and Azide Free)
Orders: 877-616-CELL (2355) [email protected] Support: 877-678-TECH (8324) [email protected] Web: cellsignal.com
For Research Use Only. Not for Use in Diagnostic Procedures.

Revision 11

Cell Signaling Technology Logo
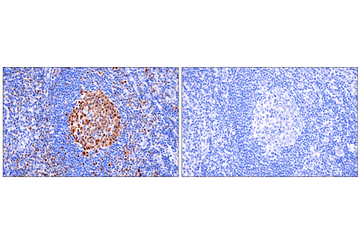
Immunohistochemical analysis of paraffin-embedded human tonsil using Tox/Tox2 (E6I3Q) Rabbit mAb (left) compared to concentration-matched Rabbit (DA1E) mAb IgG XP® Isotype Control #3900 (right). Data was generated using the standard formulation of this product.
Immunohistochemistry Image 2: Tox/Tox2 (E6I3Q) Rabbit Monoclonal Antibody (BSA and Azide Free)
Immunohistochemical analysis of paraffin-embedded human endometrioid adenocarcinoma (left), human T-cell lymphoma (middle), or mouse spleen (right) using Tox/Tox2 (E6I3Q) Rabbit mAb (top) or Tox Rat mAb (bottom). These two antibodies detect independent, unique epitopes on human Tox. The similar staining patterns obtained with both antibodies help to confirm the specificity of the staining. Data was generated using the standard formulation of this product.
Immunohistochemistry Image 3: Tox/Tox2 (E6I3Q) Rabbit Monoclonal Antibody (BSA and Azide Free)
Immunohistochemical analysis of paraffin-embedded rat spleen using Tox/Tox2 (E6I3Q) Rabbit mAb. Data were generated using the standard formulation of this product.
Immunohistochemistry Image 4: Tox/Tox2 (E6I3Q) Rabbit Monoclonal Antibody (BSA and Azide Free)
Orders: 877-616-CELL (2355) [email protected] Support: 877-678-TECH (8324) [email protected] Web: cellsignal.com
For Research Use Only. Not for Use in Diagnostic Procedures.

Revision 11

Cell Signaling Technology Logo
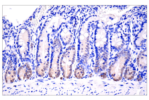
Immunohistochemical analysis of paraffin-embedded rat small intestine using Tox/Tox2 (E6I3Q) Rabbit mAb. Data was generated using the standard formulation of this product.
Immunohistochemistry Image 5: Tox/Tox2 (E6I3Q) Rabbit Monoclonal Antibody (BSA and Azide Free)
Immunohistochemical analysis of paraffin-embedded rat testis using Tox/Tox2 (E6I3Q) Rabbit mAb. Data were generated using the standard formulation of this product.
Immunohistochemistry Image 6: Tox/Tox2 (E6I3Q) Rabbit Monoclonal Antibody (BSA and Azide Free)
Immunohistochemical analysis of paraffin-embedded SU-DHL-4 cell pellet (left, positive) or ZR-75-1 cell pellet (right, negative) using Tox/Tox2 (E6I3Q) Rabbit mAb. Data was generated using the standard formulation of this product.
Immunohistochemistry Image 7: Tox/Tox2 (E6I3Q) Rabbit Monoclonal Antibody (BSA and Azide Free)
Orders: 877-616-CELL (2355) [email protected] Support: 877-678-TECH (8324) [email protected] Web: cellsignal.com
For Research Use Only. Not for Use in Diagnostic Procedures.

Revision 11

Cell Signaling Technology Logo
Data using Tox/Tox2 Matched Antibody Pair #76385 are shown. The two antibodies function as a capture-target-detection sandwich (#62886 and #86380, respectively) to detect endogenous protein expression in positive and negative controls.
ELISA and/or ELISA-like Assays Image 1: Tox/Tox2 (E6I3Q) Rabbit Monoclonal Antibody (BSA and Azide Free)
Orders: 877-616-CELL (2355) [email protected] Support: 877-678-TECH (8324) [email protected] Web: cellsignal.com
For Research Use Only. Not for Use in Diagnostic Procedures.