Revision 6

#73758

Store at -20C

CST Logo
Orders:

877-616-CELL (2355)

[email protected]

Support:

877-678-TECH (8324)

3 Trask Lane | Danvers | Massachusetts | 01923 | USA

For Research Use Only. Not for Use in Diagnostic Procedures.

Applications:
W, IP, IHC-Bond, IHC-P

Reactivity:
H M R

Sensitivity:
Endogenous

MW (kDa):
60-80

Source/Isotype:
Rabbit IgG

UniProt ID:
#Q96NM4, #O94900

Entrez-Gene Id:
84969, 9760

Product Usage Information

Application Dilution
Western Blotting 1:1000
Immunoprecipitation 1:200
IHC Leica Bond 1:800 - 1:3200
Immunohistochemistry (Paraffin) 1:400 - 1:1600

Storage

Supplied in 10 mM sodium HEPES (pH 7.5), 150 mM NaCl, 100 µg/ml BSA, 50% glycerol and less than 0.02% sodium azide. Store at –20°C. Do not aliquot the antibody.

For a carrier free (BSA and azide free) version of this product see product #62886.

Specificity/Sensitivity

Tox/Tox2 (E6I3Q) Rabbit Monoclonal Antibody recognizes endogenous levels of total Tox and Tox2 proteins. This antibody does not cross-react with Tox3 or Tox4 proteins.

Source / Purification

Monoclonal antibody is produced by immunizing animals with a synthetic peptide corresponding to residues surrounding Ala522 of human Tox protein.

Background

Thymocyte selection-associated high mobility group box protein (Tox) is a DNA-binding nuclear factor and member of the evolutionarily conserved high-motility group (HMG)-box superfamily. Tox also defines a small subfamily of proteins that include Tox2, Tox3, and Tox4, all of which are highly conserved in vertebrate species but have unique tissue expression patterns and functions (1,2).

Tox plays a key role in T cell development in the thymus during positive selection (3-5). A study in Tox-deficient mice also revealed a requirement for Tox in CD4 T cell and NK cell lineage development, including NKT cells, FoxP3+ T regulatory T cells, and lymphoid tissue-inducer (LTi) cells (6-8). Although Tox expression is primarily restricted to developing immune cells in normal tissues, Tox is induced by high antigen stimulation during chronic viral infection or cancer, regulating T cell persistence and exhaustion (9-12). Tox has also been shown to be aberrantly expressed in cutaneous T cell lymphomas (13-14).

Species Reactivity

Species reactivity is determined by testing in at least one approved application (e.g., western blot).

Western Blot Buffer

IMPORTANT: For western blots, incubate membrane with diluted primary antibody in 5% w/v BSA, 1X TBS, 0.1% Tween® 20 at 4°C with gentle shaking, overnight.

Applications Key

W: Western Blotting IP: Immunoprecipitation IHC-Bond: IHC Leica Bond IHC-P: Immunohistochemistry (Paraffin)

Cross-Reactivity Key

H: Human M: Mouse R: Rat

Trademarks and Patents

Cell Signaling Technology is a trademark of Cell Signaling Technology, Inc.

SignalStain is a registered trademark of Cell Signaling Technology, Inc.

All other trademarks are the property of their respective owners. Visit cellsignal.com/trademarks for more information.

Limited Uses

Except as otherwise expressly agreed in a writing signed by a legally authorized representative of CST, the following terms apply to Products provided by CST, its affiliates or its distributors. Any Customer's terms and conditions that are in addition to, or different from, those contained herein, unless separately accepted in writing by a legally authorized representative of CST, are rejected and are of no force or effect.

Products are labeled with For Research Use Only or a similar labeling statement and have not been approved, cleared, or licensed by the FDA or other regulatory foreign or domestic entity, for any purpose. Customer shall not use any Product for any diagnostic or therapeutic purpose, or otherwise in any manner that conflicts with its labeling statement. Products sold or licensed by CST are provided for Customer as the end-user and solely for research and development uses. Any use of Product for diagnostic, prophylactic or therapeutic purposes, or any purchase of Product for resale (alone or as a component) or other commercial purpose, requires a separate license from CST. Customer shall (a) not sell, license, loan, donate or otherwise transfer or make available any Product to any third party, whether alone or in combination with other materials, or use the Products to manufacture any commercial products, (b) not copy, modify, reverse engineer, decompile, disassemble or otherwise attempt to discover the underlying structure or technology of the Products, or use the Products for the purpose of developing any products or services that would compete with CST products or services, (c) not alter or remove from the Products any trademarks, trade names, logos, patent or copyright notices or markings, (d) use the Products solely in accordance with CST Product Terms of Sale and any applicable documentation, and (e) comply with any license, terms of service or similar agreement with respect to any third party products or services used by Customer in connection with the Products.

Orders: 877-616-CELL (2355) [email protected] Support: 877-678-TECH (8324) [email protected] Web: cellsignal.com
For Research Use Only. Not for Use in Diagnostic Procedures.

Revision 6

Cell Signaling Technology Logo
Western blot analysis of extracts from human and mouse cell lines and rat tissue using Tox/Tox2 (E6I3Q) Rabbit mAb (upper) and β-Actin (D6A8) Rabbit mAb #8457 (lower).
Western Blotting Image 1: Tox/Tox2 (E6I3Q) Rabbit Monoclonal Antibody
Western blot analysis of extracts from 293T cells, mock transfected (-) or transfected (+) with constructs expressing Myc/DDK-tagged full-length human Tox protein (hTox-Myc/DDK), Myc/DDK-tagged full-length human Tox2 protein (hTox2-Myc/DDK), Myc/DDK-tagged full-length human Tox3 protein (hTox3-Myc/DDK), or Myc/DDK-tagged full-length human Tox4 protein (hTox4-Myc/DDK), using Tox/Tox2 (E6I3Q) Rabbit mAb (upper), Myc-Tag (71D10) Rabbit mAb #2278 (middle), and β-Actin (D6A8) Rabbit mAb #8457 (lower).
Western Blotting Image 2: Tox/Tox2 (E6I3Q) Rabbit Monoclonal Antibody
Immunoprecipitation of Tox/Tox2 protein from SU-DHL-4 cell extracts. Lane 1 is 10% input, lane 2 is Rabbit (DA1E) mAb IgG XP® Isotype Control #3900, and lane 3 is Tox/Tox2 (E6I3Q) Rabbit mAb. Western blot analysis was performed using Tox/Tox2 (E6I3Q) Rabbit mAb.
Immunoprecipitation Image 1: Tox/Tox2 (E6I3Q) Rabbit Monoclonal Antibody
Orders: 877-616-CELL (2355) [email protected] Support: 877-678-TECH (8324) [email protected] Web: cellsignal.com
For Research Use Only. Not for Use in Diagnostic Procedures.

Revision 6

Cell Signaling Technology Logo
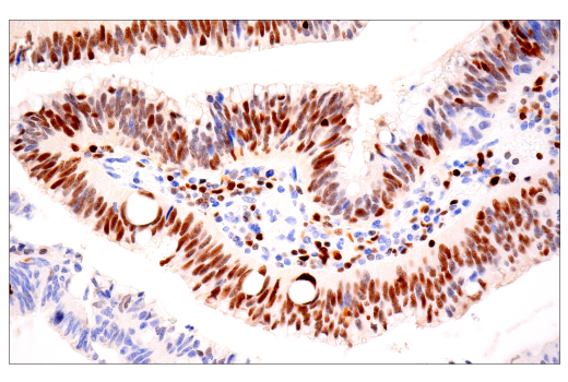
Immunohistochemical analysis of paraffin-embedded human colon carcinoma using Tox/Tox2 (E6I3Q) Rabbit mAb performed on the Leica® BOND™ Rx.
Immunohistochemistry Image 1: Tox/Tox2 (E6I3Q) Rabbit Monoclonal Antibody
Immunohistochemical analysis of paraffin-embedded human colon carcinoma using Tox/Tox2 (E6I3Q) Rabbit mAb performed on the Leica® BOND™ Rx.
Immunohistochemistry Image 2: Tox/Tox2 (E6I3Q) Rabbit Monoclonal Antibody
Immunohistochemical analysis of paraffin-embedded human renal cell carcinoma using Tox/Tox2 (E6I3Q) Rabbit mAb performed on the Leica® BOND™ Rx.
Immunohistochemistry Image 3: Tox/Tox2 (E6I3Q) Rabbit Monoclonal Antibody
Orders: 877-616-CELL (2355) [email protected] Support: 877-678-TECH (8324) [email protected] Web: cellsignal.com
For Research Use Only. Not for Use in Diagnostic Procedures.

Revision 6

Cell Signaling Technology Logo
Immunohistochemical analysis of paraffin-embedded human gastric adenocarcinoma using Tox/Tox2 (E6I3Q) Rabbit mAb performed on the Leica® BOND™ Rx.
Immunohistochemistry Image 4: Tox/Tox2 (E6I3Q) Rabbit Monoclonal Antibody
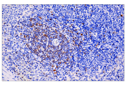
Immunohistochemical analysis of paraffin-embedded normal human spleen using Tox/Tox2 (E6I3Q) Rabbit mAb.
Immunohistochemistry Image 1: Tox/Tox2 (E6I3Q) Rabbit Monoclonal Antibody
Immunohistochemical analysis of paraffin-embedded rat testis using Tox/Tox2 (E6I3Q) Rabbit mAb.
Immunohistochemistry Image 2: Tox/Tox2 (E6I3Q) Rabbit Monoclonal Antibody
Orders: 877-616-CELL (2355) [email protected] Support: 877-678-TECH (8324) [email protected] Web: cellsignal.com
For Research Use Only. Not for Use in Diagnostic Procedures.

Revision 6

Cell Signaling Technology Logo
Immunohistochemical analysis of paraffin-embedded rat spleen using Tox/Tox2 (E6I3Q) Rabbit mAb.
Immunohistochemistry Image 3: Tox/Tox2 (E6I3Q) Rabbit Monoclonal Antibody
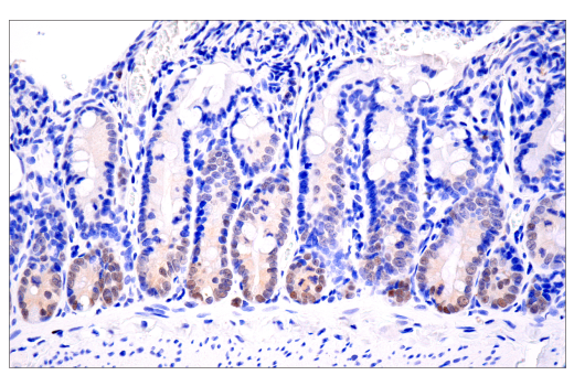
Immunohistochemical analysis of paraffin-embedded rat small intestine using Tox/Tox2 (E6I3Q) Rabbit mAb.
Immunohistochemistry Image 4: Tox/Tox2 (E6I3Q) Rabbit Monoclonal Antibody
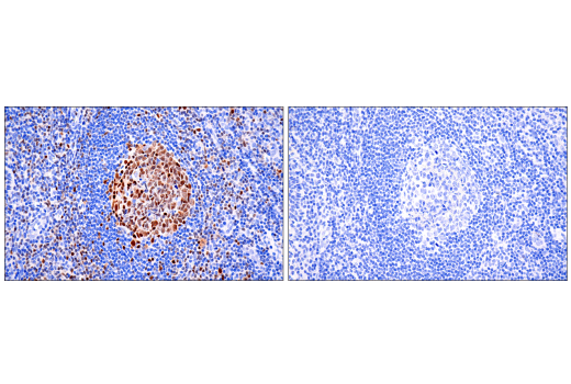
Immunohistochemical analysis of paraffin-embedded SU-DHL-4 cell pellet (left, positive) or ZR-75-1 cell pellet (right, negative) using Tox/Tox2 (E6I3Q) Rabbit mAb.
Immunohistochemistry Image 5: Tox/Tox2 (E6I3Q) Rabbit Monoclonal Antibody
Orders: 877-616-CELL (2355) [email protected] Support: 877-678-TECH (8324) [email protected] Web: cellsignal.com
For Research Use Only. Not for Use in Diagnostic Procedures.

Revision 6

Cell Signaling Technology Logo
Immunohistochemical analysis of paraffin-embedded human tonsil using Tox/Tox2 (E6I3Q) Rabbit mAb (left) compared to concentration-matched Rabbit (DA1E) mAb IgG XP® Isotype Control #3900 (right).
Immunohistochemistry Image 6: Tox/Tox2 (E6I3Q) Rabbit Monoclonal Antibody
Immunohistochemical analysis of paraffin-embedded human endometrioid adenocarcinoma (left), human T-cell lymphoma (middle), or mouse spleen (right) using Tox/Tox2 (E6I3Q) Rabbit mAb (top) or Tox Rat mAb (bottom). These two antibodies detect independent, unique epitopes on human Tox. The similar staining patterns obtained with both antibodies help to confirm the specificity of the staining.
Immunohistochemistry Image 7: Tox/Tox2 (E6I3Q) Rabbit Monoclonal Antibody
Orders: 877-616-CELL (2355) [email protected] Support: 877-678-TECH (8324) [email protected] Web: cellsignal.com
For Research Use Only. Not for Use in Diagnostic Procedures.