Revision 7

#3219

Store at -20C

CST Logo
Orders:

877-616-CELL (2355)

[email protected]

Support:

877-678-TECH (8324)

3 Trask Lane | Danvers | Massachusetts | 01923 | USA

For Research Use Only. Not for Use in Diagnostic Procedures.

Applications:
W, W-S, IP, IHC-P, IF-IC, FC-FP, FC-L

Reactivity:
H

Sensitivity:
Endogenous

MW (kDa):
28-30

Source/Isotype:
Rabbit IgG

UniProt ID:
#P50591

Entrez-Gene Id:
8743

Product Usage Information

Application Dilution
Western Blotting 1:1000
Simple Western™ 1:10 - 1:50
Immunoprecipitation 1:50
Immunohistochemistry (Paraffin) 1:800
Immunofluorescence (Immunocytochemistry) 1:400
Flow Cytometry (Fixed/Permeabilized) 1:50
Flow Cytometry (Live) 1:50

Storage

Supplied in 10 mM sodium HEPES (pH 7.5), 150 mM NaCl, 100 µg/ml BSA, 50% glycerol and less than 0.02% sodium azide. Store at –20°C. Do not aliquot the antibody.

For a carrier free (BSA and azide free) version of this product see product #48318.

Specificity/Sensitivity

TRAIL (C92B9) Rabbit Monoclonal Antibody detects endogenous levels of total human TRAIL protein.

Source / Purification

Monoclonal antibody is produced by immunizing animals with a synthetic peptide corresponding to residues surrounding Lys60 of human TRAIL, within the extracellular region of the protein.

Background

Tumor necrosis factor (TNF)-related apoptosis-inducing ligand (TRAIL), also referred to as Apo2 ligand, first identified based on its sequence homology to TNF and Fas/Apo ligand is a member of the TNF family of cytokines and either exists as a type II membrane or soluble protein (1,2). TRAIL induces apoptosis in a variety of transformed cell lines and plays a role in anti-tumor and anti-viral immune surveillance (3). TRAIL signals via binding with death receptors DR4 (TRAIL-R1) (4) and DR5 (TRAIL-R2) (5-8) which can trigger apoptosis as well as NF-κB activation (7,9). Death domains on these receptors leads to the recruitment of a death-induced signaling complex (DISC) leading to caspase-8 and subsequent caspase-3 activation. In addition, TRAIL binds with decoy receptors DcR1 (TRAIL-R3) (6,8,10,11) and DcR2 (TRAIL-R4, TRUNDD) (12,13) which lack the functional cytoplasmic death domain antagonizing TRAIL-induced apoptosis. Osteoprotegerin (OPG) has also been identified as receptor capable of inhibiting TRAIL-induced apoptosis (14). The selectivity of soluble TRAIL at triggering apoptosis in transformed cells as compared to normal cells has led to its investigation as a potential cancer therapeutic (15,16).

Species Reactivity

Species reactivity is determined by testing in at least one approved application (e.g., western blot).

Western Blot Buffer

IMPORTANT: For western blots, incubate membrane with diluted primary antibody in 5% w/v BSA, 1X TBS, 0.1% Tween® 20 at 4°C with gentle shaking, overnight.

Applications Key

W: Western Blotting W-S: Simple Western™ IP: Immunoprecipitation IHC-P: Immunohistochemistry (Paraffin) IF-IC: Immunofluorescence (Immunocytochemistry) FC-FP: Flow Cytometry (Fixed/Permeabilized) FC-L: Flow Cytometry (Live)

Cross-Reactivity Key

H: Human

Trademarks and Patents

Cell Signaling Technology is a trademark of Cell Signaling Technology, Inc.

U.S. Patent No. 7,429,487, foreign equivalents, and child patents deriving therefrom.

All other trademarks are the property of their respective owners. Visit cellsignal.com/trademarks for more information.

Limited Uses

Except as otherwise expressly agreed in a writing signed by a legally authorized representative of CST, the following terms apply to Products provided by CST, its affiliates or its distributors. Any Customer's terms and conditions that are in addition to, or different from, those contained herein, unless separately accepted in writing by a legally authorized representative of CST, are rejected and are of no force or effect.

Products are labeled with For Research Use Only or a similar labeling statement and have not been approved, cleared, or licensed by the FDA or other regulatory foreign or domestic entity, for any purpose. Customer shall not use any Product for any diagnostic or therapeutic purpose, or otherwise in any manner that conflicts with its labeling statement. Products sold or licensed by CST are provided for Customer as the end-user and solely for research and development uses. Any use of Product for diagnostic, prophylactic or therapeutic purposes, or any purchase of Product for resale (alone or as a component) or other commercial purpose, requires a separate license from CST. Customer shall (a) not sell, license, loan, donate or otherwise transfer or make available any Product to any third party, whether alone or in combination with other materials, or use the Products to manufacture any commercial products, (b) not copy, modify, reverse engineer, decompile, disassemble or otherwise attempt to discover the underlying structure or technology of the Products, or use the Products for the purpose of developing any products or services that would compete with CST products or services, (c) not alter or remove from the Products any trademarks, trade names, logos, patent or copyright notices or markings, (d) use the Products solely in accordance with CST Product Terms of Sale and any applicable documentation, and (e) comply with any license, terms of service or similar agreement with respect to any third party products or services used by Customer in connection with the Products.

Orders: 877-616-CELL (2355) [email protected] Support: 877-678-TECH (8324) [email protected] Web: cellsignal.com
For Research Use Only. Not for Use in Diagnostic Procedures.

Revision 7

Cell Signaling Technology Logo
Western blot analysis of extract from 786-0 cells and differentiated THP-1 cells, untreated or treated overnight with LPS, using TRAIL (C92B9) Rabbit mAb.
Western Blotting Image 1: TRAIL (C92B9) Rabbit Monoclonal Antibody
Western blot analysis of extracts from HeLa cells, mock transfected or transfected with human TRAIL expression construct, using TRAIL (C92B9) Rabbit mAb.
Western Blotting Image 2: TRAIL (C92B9) Rabbit Monoclonal Antibody
Simple Western™ analysis of 786-O (0.1 mg/mL) cell lysate using TRAIL (C92B9) Rabbit mAb #3219. The virtual lane view (left) shows the target band (as indicated) at 1:10 and 1:50 dilutions of primary antibody. The corresponding electropherogram view (right) plots chemiluminescence by molecular weight along the capillary at 1:10 (blue line) and 1:50 (green line) dilutions of primary antibody. This experiment was performed under reducing conditions on the Jess™ Simple Western instrument from ProteinSimple, a BioTechne brand, using the 12-230 kDa separation module.
Western Blotting Image 1: TRAIL (C92B9) Rabbit Monoclonal Antibody
Orders: 877-616-CELL (2355) [email protected] Support: 877-678-TECH (8324) [email protected] Web: cellsignal.com
For Research Use Only. Not for Use in Diagnostic Procedures.

Revision 7

Cell Signaling Technology Logo
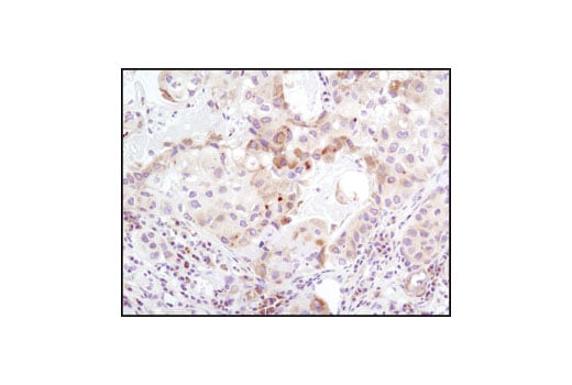
Immunohistochemical analysis of paraffin-embedded human lung carcinoma using TRAIL (C92B9) Rabbit mAb.
Immunohistochemistry Image 1: TRAIL (C92B9) Rabbit Monoclonal Antibody
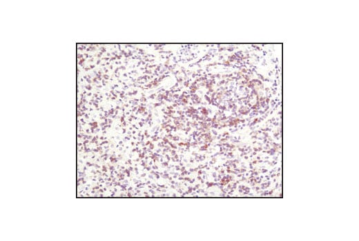
Immunohistochemical analysis of paraffin-embedded human lymphoma using TRAIL (C92B9) Rabbit mAb.
Immunohistochemistry Image 2: TRAIL (C92B9) Rabbit Monoclonal Antibody
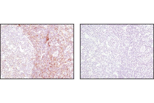
Immunohistochemical analysis of paraffin-embedded 786-0 (positive, left) or HeLa (negative, right) cell pellets using TRAIL (C92B9) Rabbit mAb.
Immunohistochemistry Image 3: TRAIL (C92B9) Rabbit Monoclonal Antibody
Orders: 877-616-CELL (2355) [email protected] Support: 877-678-TECH (8324) [email protected] Web: cellsignal.com
For Research Use Only. Not for Use in Diagnostic Procedures.

Revision 7

Cell Signaling Technology Logo
Immunohistochemical analysis of paraffin-embedded human tonsil using TRAIL (C92B9) Rabbit mAb in the presence of control peptide (left) or antigen-specific peptide (right).
Immunohistochemistry Image 4: TRAIL (C92B9) Rabbit Monoclonal Antibody
Confocal immunofluorescent analysis of 786-0 cells using TRAIL (C92B9) Rabbit mAb (green). Actin filaments have been labeled with DY-554 phalloidin (red). Blue pseudocolor = DRAQ5™ (fluorescent DNA dye).
Immunofluorescence Image 1: TRAIL (C92B9) Rabbit Monoclonal Antibody
Flow cytometric analysis of 786-0 cells using TRAIL (C92B9) Rabbit mAb (blue) compared to a nonspecific negative control antibody (red).
Flow Cytometry Image 1: TRAIL (C92B9) Rabbit Monoclonal Antibody
Orders: 877-616-CELL (2355) [email protected] Support: 877-678-TECH (8324) [email protected] Web: cellsignal.com
For Research Use Only. Not for Use in Diagnostic Procedures.

Revision 7

Cell Signaling Technology Logo
Flow cytometric analysis of live THP-1 cells treated with TPA (80 nM, 18 h), rested for 48 h in fresh media, and then untreated (blue, negative) or treated with LPS (5 μg/mL, 18 h) (green, positive) and preincubated with human Fc block (2.5 μg/million cells, 10 min) using TRAIL (C92B9) Rabbit mAb (solid lines) or concentration-matched Rabbit (DA1E) mAb IgG XP® Isotype Control #3900 (dashed lines). Anti-rabbit IgG (H+L), F(ab')₂ Fragment (Alexa Fluor® 488 Conjugate) #4412 was used as a secondary antibody.
Flow Cytometry Image 1: TRAIL (C92B9) Rabbit Monoclonal Antibody
Orders: 877-616-CELL (2355) [email protected] Support: 877-678-TECH (8324) [email protected] Web: cellsignal.com
For Research Use Only. Not for Use in Diagnostic Procedures.