Revision 11

#54505

Store at +4C

CST Logo
Orders:

877-616-CELL (2355)

[email protected]

Support:

877-678-TECH (8324)

3 Trask Lane | Danvers | Massachusetts | 01923 | USA

For Research Use Only. Not for Use in Diagnostic Procedures.

Applications:
IHC-Bond, IHC-P

Reactivity:
H

Sensitivity:
Endogenous

Source/Isotype:
Mouse IgG2b

UniProt ID:
#P02786

Entrez-Gene Id:
7037

Product Usage Information

Application Dilution
IHC Leica Bond 1:400 - 1:1600
Immunohistochemistry (Paraffin) 1:100 - 1:400

Storage

Supplied as liquid tissue culture supernatant containing sodium azide as a preservative. Stable for 12 months when stored at 4°C. Do not aliquot the antibody.

Note: This product is only available in the format listed above. We are unable to provide this in a carrier free, custom formulation.

Specificity/Sensitivity

Transferrin Receptor/CD71 (10F11) Mouse Monoclonal Antibody recognizes endogenous levels of CD71 protein. Non-specific staining was observed in kidney by immunohistochemistry.

Source / Purification

Monoclonal antibody is produced by immunizing animals with a prokaryotic recombinant protein corresponding to a region of the N-terminal intracellular domain of human CD71 protein.

Background

Transferrin receptor 1 (CD71, TFRC) is a type II transmembrane receptor and carrier protein responsible for the uptake of cellular iron through receptor-mediated endocytosis (1). Neutral pH at the cell surface promotes binding of the iron-binding glycoprotein transferrin (Tf) to the CD71 receptor. The receptor-ligand complex enters the cell through receptor-mediated endocytosis and is internalized into an endosome. Relatively lower endosomal pH leads to a change in the local charge environment surrounding the iron-transferrin binding site and results in the release of iron (2). The receptor-ligand complex is recycled to the cell surface where transferrin dissociates from the CD71 receptor (2). Ubiquitously expressed transferrin receptor is continuously recycled and undergoes clathrin-mediated endocytosis regardless of ligand binding state. The interaction between receptor and ligand has been studied in detail. The helical domain of CD71 directly interacts with the transferrin C-lobe and induces a conformation change in Tf to facilitate the transport process (3). Interaction between the receptor CD71 and transferrin is mediated by the membrane protein hemochromatosis (HFE). HFE binds the α-helical domain of CD71, blocking formation of the CD71-transferrin complex and inhibiting iron uptake (4,5). In addition to binding transferrin, CD71 also interacts with H-ferritin at the cell surface and transports this intracellular iron storage protein to cellular endosomes and lysosomes (6). Additional studies indicate that the transferrin receptor is an evolutionarily conserved receptor for a number of arenaviruses and at least one retrovirus (7,8). Aberrant expression of CD71 is seen in a number of cancers, including thyroid carcinomas, lymphomas, and T-lineage leukemias, suggesting a possible therapeutic role for targeted inhibition of the transferrin receptor (9,10).

Species Reactivity

Species reactivity is determined by testing in at least one approved application (e.g., western blot).

Applications Key

IHC-Bond: IHC Leica Bond IHC-P: Immunohistochemistry (Paraffin)

Cross-Reactivity Key

H: Human

Trademarks and Patents

Cell Signaling Technology is a trademark of Cell Signaling Technology, Inc.

SignalStain is a registered trademark of Cell Signaling Technology, Inc.

All other trademarks are the property of their respective owners. Visit cellsignal.com/trademarks for more information.

Limited Uses

Except as otherwise expressly agreed in a writing signed by a legally authorized representative of CST, the following terms apply to Products provided by CST, its affiliates or its distributors. Any Customer's terms and conditions that are in addition to, or different from, those contained herein, unless separately accepted in writing by a legally authorized representative of CST, are rejected and are of no force or effect.

Products are labeled with For Research Use Only or a similar labeling statement and have not been approved, cleared, or licensed by the FDA or other regulatory foreign or domestic entity, for any purpose. Customer shall not use any Product for any diagnostic or therapeutic purpose, or otherwise in any manner that conflicts with its labeling statement. Products sold or licensed by CST are provided for Customer as the end-user and solely for research and development uses. Any use of Product for diagnostic, prophylactic or therapeutic purposes, or any purchase of Product for resale (alone or as a component) or other commercial purpose, requires a separate license from CST. Customer shall (a) not sell, license, loan, donate or otherwise transfer or make available any Product to any third party, whether alone or in combination with other materials, or use the Products to manufacture any commercial products, (b) not copy, modify, reverse engineer, decompile, disassemble or otherwise attempt to discover the underlying structure or technology of the Products, or use the Products for the purpose of developing any products or services that would compete with CST products or services, (c) not alter or remove from the Products any trademarks, trade names, logos, patent or copyright notices or markings, (d) use the Products solely in accordance with CST Product Terms of Sale and any applicable documentation, and (e) comply with any license, terms of service or similar agreement with respect to any third party products or services used by Customer in connection with the Products.

Orders: 877-616-CELL (2355) [email protected] Support: 877-678-TECH (8324) [email protected] Web: cellsignal.com
For Research Use Only. Not for Use in Diagnostic Procedures.

Revision 11

Cell Signaling Technology Logo
Immunohistochemical analysis of paraffin-embedded human colon carcinoma using Transferrin Receptor/CD71 (10F11) Mouse mAb performed on the Leica® BOND™ Rx.
Immunohistochemistry Image 1: Transferrin Receptor/CD71 (10F11) Mouse Monoclonal Antibody
Immunohistochemical analysis of paraffin-embedded human urothelial adenocarcinoma using Transferrin Receptor/CD71 (10F11) Mouse mAb performed on the Leica® BOND™ Rx.
Immunohistochemistry Image 2: Transferrin Receptor/CD71 (10F11) Mouse Monoclonal Antibody
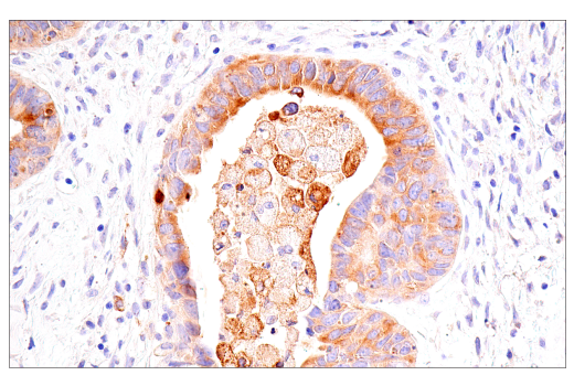
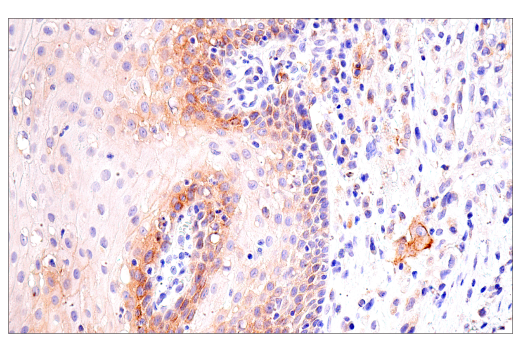
Immunohistochemical analysis of paraffin-embedded human esophageal adenocarcinoma using Transferrin Receptor/CD71 (10F11) Mouse mAb performed on the Leica® BOND™ Rx.
Immunohistochemistry Image 3: Transferrin Receptor/CD71 (10F11) Mouse Monoclonal Antibody
Orders: 877-616-CELL (2355) [email protected] Support: 877-678-TECH (8324) [email protected] Web: cellsignal.com
For Research Use Only. Not for Use in Diagnostic Procedures.

Revision 11

Cell Signaling Technology Logo
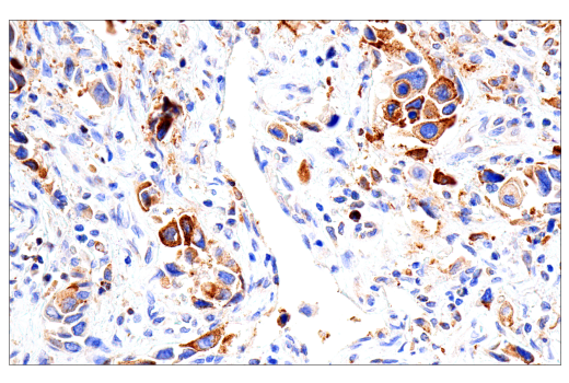
Immunohistochemical analysis of paraffin-embedded human soft tissue squamous cell carcinoma using Transferrin Receptor/CD71 (10F11) Mouse mAb.
Immunohistochemistry Image 1: Transferrin Receptor/CD71 (10F11) Mouse Monoclonal Antibody
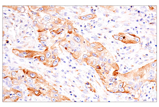
Immunohistochemical analysis of paraffin-embedded human esophageal adenocarcinoma using Transferrin Receptor/CD71 (10F11) Mouse mAb.
Immunohistochemistry Image 2: Transferrin Receptor/CD71 (10F11) Mouse Monoclonal Antibody
Immunohistochemical analysis of paraffin-embedded human endometrioid adenocarcinoma using Transferrin Receptor/CD71 (10F11) Mouse mAb.
Immunohistochemistry Image 3: Transferrin Receptor/CD71 (10F11) Mouse Monoclonal Antibody
Orders: 877-616-CELL (2355) [email protected] Support: 877-678-TECH (8324) [email protected] Web: cellsignal.com
For Research Use Only. Not for Use in Diagnostic Procedures.

Revision 11

Cell Signaling Technology Logo
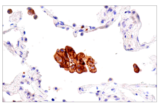
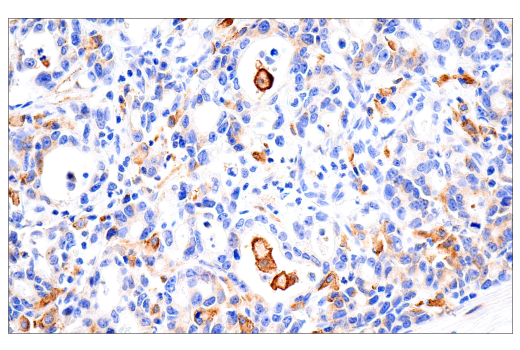
Immunohistochemical analysis of paraffin-embedded human neuroendocrine lung carcinoma using Transferrin Receptor/CD71 (10F11) Mouse mAb.
Immunohistochemistry Image 4: Transferrin Receptor/CD71 (10F11) Mouse Monoclonal Antibody
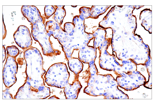
Immunohistochemical analysis of paraffin-embedded normal human placenta using Transferrin Receptor/CD71 (10F11) Mouse mAb.
Immunohistochemistry Image 5: Transferrin Receptor/CD71 (10F11) Mouse Monoclonal Antibody
Immunohistochemical analysis of paraffin-embedded normal human lung using Transferrin Receptor/CD71 (10F11) Mouse mAb.
Immunohistochemistry Image 6: Transferrin Receptor/CD71 (10F11) Mouse Monoclonal Antibody
Orders: 877-616-CELL (2355) [email protected] Support: 877-678-TECH (8324) [email protected] Web: cellsignal.com
For Research Use Only. Not for Use in Diagnostic Procedures.

Revision 11

Cell Signaling Technology Logo
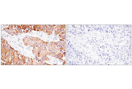
Immunohistochemical analysis of paraffin-embedded human urothelial carcinoma using Transferrin Receptor/CD71 (10F11) Mouse mAb (left) compared to concentration-matched Mouse (E7Q5L) mAb IgG2b Isotype Control #53484 (right).
Immunohistochemistry Image 7: Transferrin Receptor/CD71 (10F11) Mouse Monoclonal Antibody
Orders: 877-616-CELL (2355) [email protected] Support: 877-678-TECH (8324) [email protected] Web: cellsignal.com
For Research Use Only. Not for Use in Diagnostic Procedures.