Revision 1

#4763

Store at -20C

CST Logo
Orders:

877-616-CELL (2355)

[email protected]

Support:

877-678-TECH (8324)

3 Trask Lane | Danvers | Massachusetts | 01923 | USA

For Research Use Only. Not for Use in Diagnostic Procedures.

Product Includes Product # Quantity Mol. Wt Isotype/Source
eIF4A (C32B4) Rabbit Monoclonal Antibody201320 µl48 kDaRabbit IgG
eIF4A1 Antibody249020 µl48 kDaRabbit
Phospho-eIF4B (Ser422) Antibody359120 µl80 kDaRabbit
eIF4B Antibody359220 µl80 kDaRabbit
Phospho-eIF4E (Ser209) Antibody974120 µl25 kDaRabbit
eIF4E (C46H6) Rabbit Monoclonal Antibody206720 µl25 kDaRabbit IgG
Phospho-eIF4G (Ser1108) Antibody244120 µl220 kDaRabbit
eIF4G (C45A4) Rabbit Monoclonal Antibody246920 µl220 kDaRabbit
eIF4H (D85F2) Rabbit Monoclonal Antibody346920 µl25, 27 kDaRabbit IgG
Anti-rabbit IgG, HRP-linked Antibody7074100 µlGoat

Please visit cellsignal.com for individual component applications, species cross-reactivity, dilutions, protocols, and additional product information.

Description

The Translation Initiation Complex Antibody Sampler Kit contains reagents to investigate the initiation of translation within the cell. The kit contains enough primary and secondary antibodies to perform two Western blot experiments per primary antibody.

Storage

Supplied in 10 mM sodium HEPES (pH 7.5), 150 mM NaCl, 100 µg/ml BSA, 50% glycerol and less than 0.02% sodium azide. Store at –20°C. Do not aliquot the antibody.

Background

A variety of factors contribute to the important biological event of translation initiation. The Eukaryotic initiation Factor 4E (eIF4E) complex of translation initiation factors binds to the 5' m7 GTP cap to open up the mRNA secondary structure and allow small ribosome subunit binding (1). eIF4A, an eIF4 complex component that acts as an ATP-dependent RNA helicase, unwinds the secondary structure of the 5' mRNA untranslated region to mediate ribosome binding (2,3). EIF4E binds to the mRNA cap structure to mediate the initiation of translation (4,5). eIF4E interacts with eIF4G, a scaffold protein that promotes assembly of eIF4E and eIF4A into the eIF4F complex (5). eIF4B is thought to assist the eIF4F complex in translation initiation. eIF4H induces the RNA-dependent ATP hydrolysis catalyzed by the initiation factors eIF4A and eIF4B (2,6). eIF4H was further shown to determine the initial rate and extent of eIF4A-mediated mRNA secondary structure unwinding (7).

Trademarks and Patents

Cell Signaling Technology is a trademark of Cell Signaling Technology, Inc.

U.S. Patent No. 7,429,487, foreign equivalents, and child patents deriving therefrom.

All other trademarks are the property of their respective owners. Visit cellsignal.com/trademarks for more information.

Limited Uses

Except as otherwise expressly agreed in a writing signed by a legally authorized representative of CST, the following terms apply to Products provided by CST, its affiliates or its distributors. Any Customer's terms and conditions that are in addition to, or different from, those contained herein, unless separately accepted in writing by a legally authorized representative of CST, are rejected and are of no force or effect.

Products are labeled with For Research Use Only or a similar labeling statement and have not been approved, cleared, or licensed by the FDA or other regulatory foreign or domestic entity, for any purpose. Customer shall not use any Product for any diagnostic or therapeutic purpose, or otherwise in any manner that conflicts with its labeling statement. Products sold or licensed by CST are provided for Customer as the end-user and solely for research and development uses. Any use of Product for diagnostic, prophylactic or therapeutic purposes, or any purchase of Product for resale (alone or as a component) or other commercial purpose, requires a separate license from CST. Customer shall (a) not sell, license, loan, donate or otherwise transfer or make available any Product to any third party, whether alone or in combination with other materials, or use the Products to manufacture any commercial products, (b) not copy, modify, reverse engineer, decompile, disassemble or otherwise attempt to discover the underlying structure or technology of the Products, or use the Products for the purpose of developing any products or services that would compete with CST products or services, (c) not alter or remove from the Products any trademarks, trade names, logos, patent or copyright notices or markings, (d) use the Products solely in accordance with CST Product Terms of Sale and any applicable documentation, and (e) comply with any license, terms of service or similar agreement with respect to any third party products or services used by Customer in connection with the Products.

Orders: 877-616-CELL (2355) [email protected] Support: 877-678-TECH (8324) [email protected] Web: cellsignal.com
For Research Use Only. Not for Use in Diagnostic Procedures.

Revision 1

Cell Signaling Technology Logo
Western blot analysis of extracts from various cell types using eIF4A (C32B4) Rabbit mAb.
undefined Image 1: Translation Initiation Complex Antibody Sampler Kit
Western blot analysis of extracts from various cell lines using eIF4E (C46H6) Rabbit mAb.
undefined Image 2: Translation Initiation Complex Antibody Sampler Kit
Western blot analysis of extracts from 293 cells expressing GST-eIF4GI Ser1192Ala or GST-eIF4GI Ser1108Ala mutant protein, using Phospho-eIF4G (Ser1108) Antibody. (Provided by Brian Raught, McGill University, Montreal, QuŽbec.)
undefined Image 3: Translation Initiation Complex Antibody Sampler Kit
Orders: 877-616-CELL (2355) [email protected] Support: 877-678-TECH (8324) [email protected] Web: cellsignal.com
For Research Use Only. Not for Use in Diagnostic Procedures.

Revision 1

Cell Signaling Technology Logo
Western blot analysis of extracts from various cell lines using eIF4G (C45A4) Rabbit mAb.
undefined Image 4: Translation Initiation Complex Antibody Sampler Kit
Western blot analysis of extracts from various cell lines, using eIF4A1 Antibody.
undefined Image 5: Translation Initiation Complex Antibody Sampler Kit
Western blot analysis of extracts from HepG2, HeLa and NBT-II cells using eIF4H (D85F2) XP® Rabbit mAb.
undefined Image 6: Translation Initiation Complex Antibody Sampler Kit
Orders: 877-616-CELL (2355) [email protected] Support: 877-678-TECH (8324) [email protected] Web: cellsignal.com
For Research Use Only. Not for Use in Diagnostic Procedures.

Revision 1

Cell Signaling Technology Logo
Western blot analysis of extracts from HeLa cells using Phospho-eIF4B (Ser422) Antibody (upper) or eIF4B Antibody #3592 (lower). 48 hours following siRNA transfection, cells were treated with Rapamycin (50 nM) and U0126 (10 µM) as indicated.
undefined Image 7: Translation Initiation Complex Antibody Sampler Kit
Western blot analysis of extracts from HeLa, 293 and NIH/3T3 cells using eIF4B Antibody.
undefined Image 8: Translation Initiation Complex Antibody Sampler Kit
After the primary antibody is bound to the target protein, a complex with HRP-linked secondary antibody is formed. The LumiGLO® is added and emits light during enzyme catalyzed decomposition.
undefined Image 9: Translation Initiation Complex Antibody Sampler Kit
Orders: 877-616-CELL (2355) [email protected] Support: 877-678-TECH (8324) [email protected] Web: cellsignal.com
For Research Use Only. Not for Use in Diagnostic Procedures.

Revision 1

Cell Signaling Technology Logo
Western blot analysis of extracts from NIH/3T3 cells, untreated or treated with serum, PD98059 or Dexamethasone, using Phospho-eIF4E (Ser209) Antibody (upper) or eIF4E Antibody #9742 (lower).
undefined Image 10: Translation Initiation Complex Antibody Sampler Kit
Western blot analysis of extracts from HeLa cells, transfected with 100 nM SignalSilence® Control siRNA (Fluorescein Conjugate) #6201 (-) or SignalSilence® eIF4E siRNA I #6311 or SignalSilence® eIF4E siRNA II #6554 (+), using eIF4E (C46H6) Rabbit mAb #2067 and α-Tubulin (11H10) Rabbit mAb #2125. The eIF4E (C46H6) Rabbit mAb confirms silencing of eIF4E expression and α-Tubulin (11H10) Rabbit mAb is used to control for loading and specificity of eIF4E siRNA.
undefined Image 11: Translation Initiation Complex Antibody Sampler Kit
Western blot analysis of extracts from PC12 cells, untreated (lane 1), NGF-treated (10 ng/ml) (lane 2), anisomycin-treated (25 µM) (lane 3), U0126-treated #9903 (10 µM) (lane 4), Rapamycin-treated #9904 (100 nM ) (lane 5) or LY294002-treated #9901 (25 µM) (lane 6), using Phospho-eIF4G (Ser1108) Antibody.
undefined Image 12: Translation Initiation Complex Antibody Sampler Kit
Orders: 877-616-CELL (2355) [email protected] Support: 877-678-TECH (8324) [email protected] Web: cellsignal.com
For Research Use Only. Not for Use in Diagnostic Procedures.

Revision 1

Cell Signaling Technology Logo
Immunohistochemical analysis of paraffin-embedded human glioblastoma using eIF4G (C45A4) Rabbit mAb.
undefined Image 13: Translation Initiation Complex Antibody Sampler Kit
Confocal immunofluorescent analysis of HeLa cells (left) and MCF-7 cells (right) using eIF4H (D85F2) XP® Rabbit mAb (green). Actin filaments have been labeled with DY-554 phalloidin (red). Blue pseudocolor = DRAQ5® #4084 (fluorescent DNA dye).
undefined Image 14: Translation Initiation Complex Antibody Sampler Kit
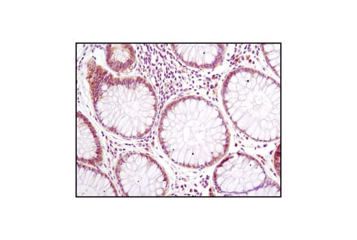
Immunohistochemical analysis of paraffin-embedded human colon carcinoma using eIF4E (C46H6) Rabbit mAb.
undefined Image 15: Translation Initiation Complex Antibody Sampler Kit
Orders: 877-616-CELL (2355) [email protected] Support: 877-678-TECH (8324) [email protected] Web: cellsignal.com
For Research Use Only. Not for Use in Diagnostic Procedures.

Revision 1

Cell Signaling Technology Logo
Confocal immunofluorescent analysis of HeLa cells either rapamycin-treated (left) or serum-treated (right), using Phospho-eIF4G (Ser1108) Antibody (green). Actin filaments have been labeled with Alexa Fluor® 555 phalloidin (red). Blue pseudocolor = DRAQ5™ (fluorescent DNA dye).
undefined Image 16: Translation Initiation Complex Antibody Sampler Kit
Immunohistochemical analysis of paraffin-embedded human lung carcinoma using eIF4G (C45A4) Rabbit mAb.
undefined Image 17: Translation Initiation Complex Antibody Sampler Kit
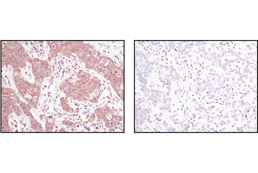
Immunohistochemical analysis of paraffin-embedded human breast carcinoma using eIF4E (C46H6) Rabbit mAb in the presence of control peptide (left) or antigen-specific peptide (right).
undefined Image 18: Translation Initiation Complex Antibody Sampler Kit
Orders: 877-616-CELL (2355) [email protected] Support: 877-678-TECH (8324) [email protected] Web: cellsignal.com
For Research Use Only. Not for Use in Diagnostic Procedures.

Revision 1

Cell Signaling Technology Logo
Confocal immunofluorescent analysis of HeLa cells using eIF4G (C45A4) Rabbit mAb (green). Actin filaments have been labeled with Alexa Fluor® 555 phalloidin (red). Blue pseudocolor = DRAQ5® #4084 (fluorescent DNA dye).
undefined Image 19: Translation Initiation Complex Antibody Sampler Kit
Flow cytometric analysis of HeLa cells using eIF4G (C45A4) Rabbit mAb (blue) compared to a nonspecific negative control antibody (red).
undefined Image 20: Translation Initiation Complex Antibody Sampler Kit
Enhanced cross-linking and immunoprecipitation (eCLIP) was performed with RNA from K-562 cells and eIF4H (D85F2) XP® Rabbit mAb using a protocol based on the RBP-eCLIP Kit from EclipseBio. The figure shows binding across the RPLP0 transcript. Data is kindly provided by the laboratory of Dr. Gene Yeo and used with permission.
undefined Image 21: Translation Initiation Complex Antibody Sampler Kit
Orders: 877-616-CELL (2355) [email protected] Support: 877-678-TECH (8324) [email protected] Web: cellsignal.com
For Research Use Only. Not for Use in Diagnostic Procedures.