Revision 1

#15503

Store at -20C

CST Logo
Orders:

877-616-CELL (2355)

[email protected]

Support:

877-678-TECH (8324)

3 Trask Lane | Danvers | Massachusetts | 01923 | USA

For Research Use Only. Not for Use in Diagnostic Procedures.

Applications:
W, IHC-Bond, IHC-P

Reactivity:
H

Sensitivity:
Endogenous

MW (kDa):
30-40

Source/Isotype:
Rabbit IgG

UniProt ID:
#P01850

Entrez-Gene Id:
28639

Product Usage Information

This product is the carrier free version of product #79485. All data were generated using the same antibody clone in the standard formulation which contains BSA and glycerol.

This formulation is ideal for use with technologies requiring specialized or custom antibody labeling, including fluorophores, metals, lanthanides, and oligonucleotides. It is not recommended for ChIP, ChIP-seq, CUT&RUN or CUT&Tag assays. If you require a carrier free formulation for chromatin profiling, please contact us. Optimal dilutions/concentrations should be determined by the end user.

BSA and Azide Free antibodies are quality control tested by size exclusion chromatography (SEC) to determine antibody integrity.

Formulation

Supplied in 1X PBS (10 mM Na2HPO4, 3 mM KCl, 2 mM KH2PO4, and 140 mM NaCl (pH 7.8)). BSA and Azide Free.

For standard formulation of this product see product #79485

Storage

Store at -20°C. This product will freeze at -20°C so it is recommended to aliquot into single-use vials to avoid multiple freeze/thaw cycles. A slight precipitate may be present and can be dissolved by gently vortexing. This will not interfere with antibody performance.

Specificity/Sensitivity

TRBC1/TCR beta constant region 1 (E6Z3S) Rabbit Monoclonal Antibody (BSA and Azide Free) recognizes endogenous levels of total TRBC1/TCRβ constant region 1 protein. This antibody does not cross-react with TRBC2/TCRβ constant region 2 protein.

Source / Purification

Monoclonal antibody is produced by immunizing animals with a synthetic peptide corresponding to residues near the amino terminus of human TRBC1/TCRβ constant region 1 protein.

Background

The αβ T Cell Receptor (TCR) is a heterodimer composed of an alpha chain and a beta chain expressed on the surface of T cells (1,2). It detects peptide antigen presented by major histocompatibility complex (MHC) molecules (1,2). Detection of cognate antigen leads to activation of the TCR signaling pathway through the CD3 signaling chains that associate with the TCR (1). The TCR chains are made up of a constant region and variable regions that get rearranged during T cell development in the thymus (3). There are two TCRβ constant genes, TRBC1 and TRBC2 (3). A population of normal T cells is polyclonal and contains a mix of TRBC1- and TRBC2-expressing T cells, while T cell malignancies are monoclonal and all express the same TCR which either contains TRBC1 or TRBC2 (4). Therefore, it is possible that T cell malignancies could be identified and targeted with reagents or therapies that can distinguish between TRBC1 and TRBC2 (4).

Species Reactivity

Species reactivity is determined by testing in at least one approved application (e.g., western blot).

Applications Key

W: Western Blotting IHC-Bond: IHC Leica Bond IHC-P: Immunohistochemistry (Paraffin)

Cross-Reactivity Key

H: Human

Trademarks and Patents

Cell Signaling Technology is a trademark of Cell Signaling Technology, Inc.

SignalStain is a registered trademark of Cell Signaling Technology, Inc.

All other trademarks are the property of their respective owners. Visit cellsignal.com/trademarks for more information.

Limited Uses

Except as otherwise expressly agreed in a writing signed by a legally authorized representative of CST, the following terms apply to Products provided by CST, its affiliates or its distributors. Any Customer's terms and conditions that are in addition to, or different from, those contained herein, unless separately accepted in writing by a legally authorized representative of CST, are rejected and are of no force or effect.

Products are labeled with For Research Use Only or a similar labeling statement and have not been approved, cleared, or licensed by the FDA or other regulatory foreign or domestic entity, for any purpose. Customer shall not use any Product for any diagnostic or therapeutic purpose, or otherwise in any manner that conflicts with its labeling statement. Products sold or licensed by CST are provided for Customer as the end-user and solely for research and development uses. Any use of Product for diagnostic, prophylactic or therapeutic purposes, or any purchase of Product for resale (alone or as a component) or other commercial purpose, requires a separate license from CST. Customer shall (a) not sell, license, loan, donate or otherwise transfer or make available any Product to any third party, whether alone or in combination with other materials, or use the Products to manufacture any commercial products, (b) not copy, modify, reverse engineer, decompile, disassemble or otherwise attempt to discover the underlying structure or technology of the Products, or use the Products for the purpose of developing any products or services that would compete with CST products or services, (c) not alter or remove from the Products any trademarks, trade names, logos, patent or copyright notices or markings, (d) use the Products solely in accordance with CST Product Terms of Sale and any applicable documentation, and (e) comply with any license, terms of service or similar agreement with respect to any third party products or services used by Customer in connection with the Products.

Orders: 877-616-CELL (2355) [email protected] Support: 877-678-TECH (8324) [email protected] Web: cellsignal.com
For Research Use Only. Not for Use in Diagnostic Procedures.

Revision 1

Cell Signaling Technology Logo
Western blot analysis of extracts from various cell lines using TRBC1/TCRβ constant region 1 (E6Z3S) Rabbit mAb (upper) and β-Actin (D6A8) Rabbit mAb #8457 (lower). As expected, TRBC1/TCRβ constant region 1 protein is not expressed in either TALL-1 or MOLT-4 cells, which are TRBC2-restricted (TRBC1-negative/TRBC2-positive). Data were generated using the standard formulation of this product.
Western Blotting Image 1: TRBC1/TCR beta constant region 1 (E6Z3S) Rabbit Monoclonal Antibody (BSA and Azide Free)
Western blot analysis of extracts from 293T cells, mock transfected (-) or transfected (+) with constructs expressing Myc/DDK-tagged full-length human TRBC1/TCRβ constant region 1 protein (hTRBC1-Myc/DDK) and Myc/DDK-tagged full-length human TRBC2/TCRβ constant region 2 protein (hTRBC2-Myc/DDK), using TRBC1/TCRβ constant region 1 (E6Z3S) Rabbit mAb (upper), DYKDDDDK Tag Antibody #2368 (middle), and β-Actin (D6A8) Rabbit mAb #8457 (lower). Data were generated using the standard formulation of this product.
Western Blotting Image 2: TRBC1/TCR beta constant region 1 (E6Z3S) Rabbit Monoclonal Antibody (BSA and Azide Free)
Immunohistochemical analysis of paraffin-embedded human T-cell lymphoma using TRBC1/TCRβ constant region 1 (E6Z3S) Rabbit mAb performed on the Leica® BOND™ Rx. Data were generated using the standard formulation of this product.
Immunohistochemistry Image 1: TRBC1/TCR beta constant region 1 (E6Z3S) Rabbit Monoclonal Antibody (BSA and Azide Free)
Orders: 877-616-CELL (2355) [email protected] Support: 877-678-TECH (8324) [email protected] Web: cellsignal.com
For Research Use Only. Not for Use in Diagnostic Procedures.

Revision 1

Cell Signaling Technology Logo
Immunohistochemical analysis of paraffin-embedded human colon carcinoma using TRBC1/TCRβ constant region 1 (E6Z3S) Rabbit mAb performed on the Leica® BOND™ Rx. Data were generated using the standard formulation of this product.
Immunohistochemistry Image 2: TRBC1/TCR beta constant region 1 (E6Z3S) Rabbit Monoclonal Antibody (BSA and Azide Free)
Immunohistochemical analysis of paraffin-embedded human lymph node using TRBC1/TCRβ constant region 1 (E6Z3S) Rabbit mAb. Data were generated using the standard formulation of this product.
Immunohistochemistry Image 1: TRBC1/TCR beta constant region 1 (E6Z3S) Rabbit Monoclonal Antibody (BSA and Azide Free)
Immunohistochemical analysis of paraffin-embedded human squamous cell carcinoma using TRBC1/TCRβ constant region 1 (E6Z3S) Rabbit mAb. Data were generated using the standard formulation of this product.
Immunohistochemistry Image 2: TRBC1/TCR beta constant region 1 (E6Z3S) Rabbit Monoclonal Antibody (BSA and Azide Free)
Orders: 877-616-CELL (2355) [email protected] Support: 877-678-TECH (8324) [email protected] Web: cellsignal.com
For Research Use Only. Not for Use in Diagnostic Procedures.

Revision 1

Cell Signaling Technology Logo
Immunohistochemical analysis of paraffin-embedded human appendix using TRBC1/TCRβ constant region 1 (E6Z3S) Rabbit mAb. Data were generated using the standard formulation of this product.
Immunohistochemistry Image 3: TRBC1/TCR beta constant region 1 (E6Z3S) Rabbit Monoclonal Antibody (BSA and Azide Free)
Immunohistochemical analysis of paraffin-embedded human squamous cell carcinoma of the tonsil using TRBC1/TCRβ constant region 1 (E6Z3S) Rabbit mAb. Data were generated using the standard formulation of this product.
Immunohistochemistry Image 4: TRBC1/TCR beta constant region 1 (E6Z3S) Rabbit Monoclonal Antibody (BSA and Azide Free)
Immunohistochemical analysis of paraffin-embedded Jurkat cell pellet (left, TRBC1-positive/TRBC2-negative) or TALL-1 cell pellet (right, TRBC1-negative/TRBC2-positive) using TRBC1/TCRβ constant region 1 (E6Z3S) Rabbit mAb. Data were generated using the standard formulation of this product.
Immunohistochemistry Image 5: TRBC1/TCR beta constant region 1 (E6Z3S) Rabbit Monoclonal Antibody (BSA and Azide Free)
Orders: 877-616-CELL (2355) [email protected] Support: 877-678-TECH (8324) [email protected] Web: cellsignal.com
For Research Use Only. Not for Use in Diagnostic Procedures.

Revision 1

Cell Signaling Technology Logo
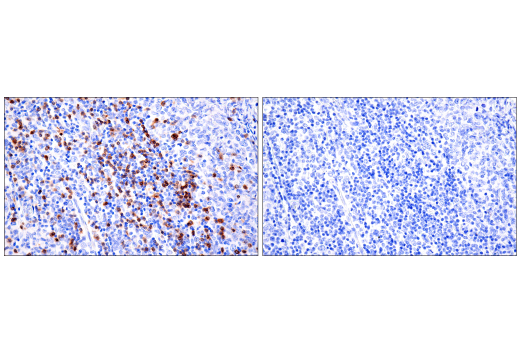
Immunohistochemical analysis of paraffin-embedded human T-cell lymphoma using TRBC1/TCRβ constant region 1 (E6Z3S) Rabbit mAb (left) compared to concentration-matched Rabbit (DA1E) mAb IgG XP® Isotype Control #3900 (right). Data were generated using the standard formulation of this product.
Immunohistochemistry Image 6: TRBC1/TCR beta constant region 1 (E6Z3S) Rabbit Monoclonal Antibody (BSA and Azide Free)
Immunohistochemical analysis of paraffin-embedded human endometrioid adenocarcinoma using TRBC1/TCRβ constant region 1 (E6Z3S) Rabbit mAb. Data were generated using the standard formulation of this product.
Immunohistochemistry Image 7: TRBC1/TCR beta constant region 1 (E6Z3S) Rabbit Monoclonal Antibody (BSA and Azide Free)
Immunohistochemical analysis of paraffin-embedded human tonsil using TRBC1/TCRβ constant region 1 (E6Z3S) Rabbit mAb. Data were generated using the standard formulation of this product.
Immunohistochemistry Image 8: TRBC1/TCR beta constant region 1 (E6Z3S) Rabbit Monoclonal Antibody (BSA and Azide Free)
Orders: 877-616-CELL (2355) [email protected] Support: 877-678-TECH (8324) [email protected] Web: cellsignal.com
For Research Use Only. Not for Use in Diagnostic Procedures.

Revision 1

Cell Signaling Technology Logo
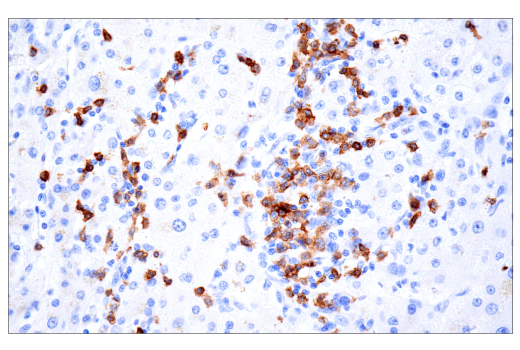
Immunohistochemical analysis of paraffin-embedded human hepatocellular carcinoma using TRBC1/TCRβ constant region 1 (E6Z3S) Rabbit mAb. Data were generated using the standard formulation of this product.
Immunohistochemistry Image 9: TRBC1/TCR beta constant region 1 (E6Z3S) Rabbit Monoclonal Antibody (BSA and Azide Free)
Orders: 877-616-CELL (2355) [email protected] Support: 877-678-TECH (8324) [email protected] Web: cellsignal.com
For Research Use Only. Not for Use in Diagnostic Procedures.