Revision 4

#79485

Store at -20C

CST Logo
Orders:

877-616-CELL (2355)

[email protected]

Support:

877-678-TECH (8324)

3 Trask Lane | Danvers | Massachusetts | 01923 | USA

For Research Use Only. Not for Use in Diagnostic Procedures.

Applications:
W, IHC-Bond, IHC-P

Reactivity:
H

Sensitivity:
Endogenous

MW (kDa):
30-40

Source/Isotype:
Rabbit IgG

UniProt ID:
#P01850

Entrez-Gene Id:
28639

Product Usage Information

Application Dilution
Western Blotting 1:1000
IHC Leica Bond 1:400 - 1:1600
Immunohistochemistry (Paraffin) 1:50 - 1:200

Storage

Supplied in 10 mM sodium HEPES (pH 7.5), 150 mM NaCl, 100 µg/ml BSA, 50% glycerol and less than 0.02% sodium azide. Store at –20°C. Do not aliquot the antibody.

For a carrier free (BSA and azide free) version of this product see product #15503.

Specificity/Sensitivity

TRBC1/TCR beta constant region 1 (E6Z3S) Rabbit Monoclonal Antibody recognizes endogenous levels of total TRBC1/TCRβ constant region 1 protein. This antibody does not cross-react with TRBC2/TCRβ constant region 2 protein.

Source / Purification

Monoclonal antibody is produced by immunizing animals with a synthetic peptide corresponding to residues near the amino terminus of human TRBC1/TCRβ constant region 1 protein.

Background

The αβ T Cell Receptor (TCR) is a heterodimer composed of an alpha chain and a beta chain expressed on the surface of T cells (1,2). It detects peptide antigen presented by major histocompatibility complex (MHC) molecules (1,2). Detection of cognate antigen leads to activation of the TCR signaling pathway through the CD3 signaling chains that associate with the TCR (1). The TCR chains are made up of a constant region and variable regions that get rearranged during T cell development in the thymus (3). There are two TCRβ constant genes, TRBC1 and TRBC2 (3). A population of normal T cells is polyclonal and contains a mix of TRBC1- and TRBC2-expressing T cells, while T cell malignancies are monoclonal and all express the same TCR which either contains TRBC1 or TRBC2 (4). Therefore, it is possible that T cell malignancies could be identified and targeted with reagents or therapies that can distinguish between TRBC1 and TRBC2 (4).

Species Reactivity

Species reactivity is determined by testing in at least one approved application (e.g., western blot).

Western Blot Buffer

IMPORTANT: For western blots, incubate membrane with diluted primary antibody in 5% w/v BSA, 1X TBS, 0.1% Tween® 20 at 4°C with gentle shaking, overnight.

Applications Key

W: Western Blotting IHC-Bond: IHC Leica Bond IHC-P: Immunohistochemistry (Paraffin)

Cross-Reactivity Key

H: Human

Trademarks and Patents

Cell Signaling Technology is a trademark of Cell Signaling Technology, Inc.

SignalStain is a registered trademark of Cell Signaling Technology, Inc.

All other trademarks are the property of their respective owners. Visit cellsignal.com/trademarks for more information.

Limited Uses

Except as otherwise expressly agreed in a writing signed by a legally authorized representative of CST, the following terms apply to Products provided by CST, its affiliates or its distributors. Any Customer's terms and conditions that are in addition to, or different from, those contained herein, unless separately accepted in writing by a legally authorized representative of CST, are rejected and are of no force or effect.

Products are labeled with For Research Use Only or a similar labeling statement and have not been approved, cleared, or licensed by the FDA or other regulatory foreign or domestic entity, for any purpose. Customer shall not use any Product for any diagnostic or therapeutic purpose, or otherwise in any manner that conflicts with its labeling statement. Products sold or licensed by CST are provided for Customer as the end-user and solely for research and development uses. Any use of Product for diagnostic, prophylactic or therapeutic purposes, or any purchase of Product for resale (alone or as a component) or other commercial purpose, requires a separate license from CST. Customer shall (a) not sell, license, loan, donate or otherwise transfer or make available any Product to any third party, whether alone or in combination with other materials, or use the Products to manufacture any commercial products, (b) not copy, modify, reverse engineer, decompile, disassemble or otherwise attempt to discover the underlying structure or technology of the Products, or use the Products for the purpose of developing any products or services that would compete with CST products or services, (c) not alter or remove from the Products any trademarks, trade names, logos, patent or copyright notices or markings, (d) use the Products solely in accordance with CST Product Terms of Sale and any applicable documentation, and (e) comply with any license, terms of service or similar agreement with respect to any third party products or services used by Customer in connection with the Products.

Orders: 877-616-CELL (2355) [email protected] Support: 877-678-TECH (8324) [email protected] Web: cellsignal.com
For Research Use Only. Not for Use in Diagnostic Procedures.

Revision 4

Cell Signaling Technology Logo
Western blot analysis of extracts from various cell lines using TRBC1/TCRβ constant region 1 (E6Z3S) Rabbit mAb (upper) and β-Actin (D6A8) Rabbit mAb #8457 (lower). As expected, TRBC1/TCRβ constant region 1 protein is not expressed in either TALL-1 or MOLT-4 cells, which are TRBC2-restricted (TRBC1-negative/TRBC2-positive).
Western Blotting Image 1: TRBC1/TCR beta constant region 1 (E6Z3S) Rabbit Monoclonal Antibody
Western blot analysis of extracts from 293T cells, mock transfected (-) or transfected (+) with constructs expressing Myc/DDK-tagged full-length human TRBC1/TCRβ constant region 1 protein (hTRBC1-Myc/DDK) and Myc/DDK-tagged full-length human TRBC2/TCRβ constant region 2 protein (hTRBC2-Myc/DDK), using TRBC1/TCRβ constant region 1 (E6Z3S) Rabbit mAb (upper), DYKDDDDK Tag Antibody #2368 (middle), and β-Actin (D6A8) Rabbit mAb #8457 (lower).
Western Blotting Image 2: TRBC1/TCR beta constant region 1 (E6Z3S) Rabbit Monoclonal Antibody
Immunohistochemical analysis of paraffin-embedded human colon carcinoma using TRBC1/TCRβ constant region 1 (E6Z3S) Rabbit mAb performed on the Leica® BOND™ Rx.
Immunohistochemistry Image 1: TRBC1/TCR beta constant region 1 (E6Z3S) Rabbit Monoclonal Antibody
Orders: 877-616-CELL (2355) [email protected] Support: 877-678-TECH (8324) [email protected] Web: cellsignal.com
For Research Use Only. Not for Use in Diagnostic Procedures.

Revision 4

Cell Signaling Technology Logo
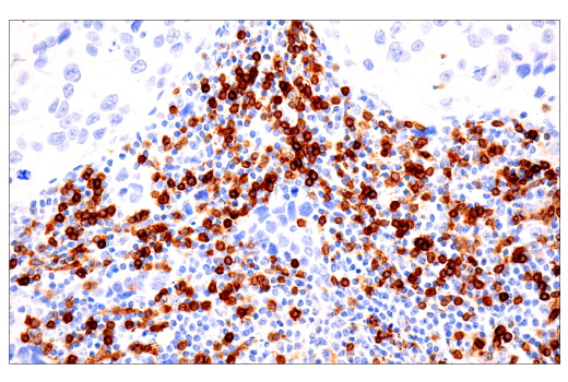
Immunohistochemical analysis of paraffin-embedded human T-cell lymphoma using TRBC1/TCRβ constant region 1 (E6Z3S) Rabbit mAb performed on the Leica® BOND™ Rx.
Immunohistochemistry Image 2: TRBC1/TCR beta constant region 1 (E6Z3S) Rabbit Monoclonal Antibody
Immunohistochemical analysis of paraffin-embedded human appendix using TRBC1/TCRβ constant region 1 (E6Z3S) Rabbit mAb.
Immunohistochemistry Image 1: TRBC1/TCR beta constant region 1 (E6Z3S) Rabbit Monoclonal Antibody
Immunohistochemical analysis of paraffin-embedded human squamous cell carcinoma of the tonsil using TRBC1/TCRβ constant region 1 (E6Z3S) Rabbit mAb.
Immunohistochemistry Image 2: TRBC1/TCR beta constant region 1 (E6Z3S) Rabbit Monoclonal Antibody
Orders: 877-616-CELL (2355) [email protected] Support: 877-678-TECH (8324) [email protected] Web: cellsignal.com
For Research Use Only. Not for Use in Diagnostic Procedures.

Revision 4

Cell Signaling Technology Logo
Immunohistochemical analysis of paraffin-embedded human squamous cell carcinoma using TRBC1/TCRβ constant region 1 (E6Z3S) Rabbit mAb.
Immunohistochemistry Image 3: TRBC1/TCR beta constant region 1 (E6Z3S) Rabbit Monoclonal Antibody
Immunohistochemical analysis of paraffin-embedded human hepatocellular carcinoma using TRBC1/TCRβ constant region 1 (E6Z3S) Rabbit mAb.
Immunohistochemistry Image 4: TRBC1/TCR beta constant region 1 (E6Z3S) Rabbit Monoclonal Antibody
Immunohistochemical analysis of paraffin-embedded human lymph node using TRBC1/TCRβ constant region 1 (E6Z3S) Rabbit mAb.
Immunohistochemistry Image 5: TRBC1/TCR beta constant region 1 (E6Z3S) Rabbit Monoclonal Antibody
Orders: 877-616-CELL (2355) [email protected] Support: 877-678-TECH (8324) [email protected] Web: cellsignal.com
For Research Use Only. Not for Use in Diagnostic Procedures.

Revision 4

Cell Signaling Technology Logo
Immunohistochemical analysis of paraffin-embedded human endometrioid adenocarcinoma using TRBC1/TCRβ constant region 1 (E6Z3S) Rabbit mAb.
Immunohistochemistry Image 6: TRBC1/TCR beta constant region 1 (E6Z3S) Rabbit Monoclonal Antibody
Immunohistochemical analysis of paraffin-embedded Jurkat cell pellet (left, TRBC1-positive/TRBC2-negative) or TALL-1 cell pellet (right, TRBC1-negative/TRBC2-positive) using TRBC1/TCRβ constant region 1 (E6Z3S) Rabbit mAb.
Immunohistochemistry Image 7: TRBC1/TCR beta constant region 1 (E6Z3S) Rabbit Monoclonal Antibody
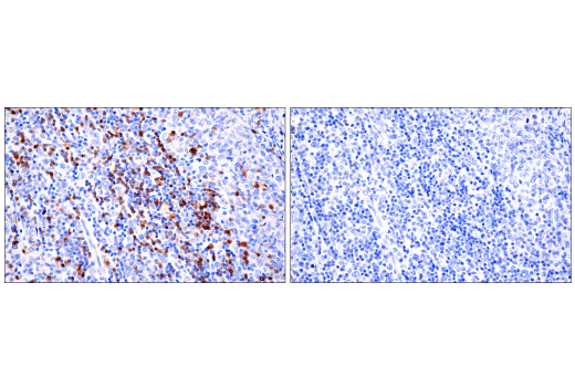
Immunohistochemical analysis of paraffin-embedded human T-cell lymphoma using TRBC1/TCRβ constant region 1 (E6Z3S) Rabbit mAb (left) compared to concentration-matched Rabbit (DA1E) mAb IgG XP® Isotype Control #3900 (right).
Immunohistochemistry Image 8: TRBC1/TCR beta constant region 1 (E6Z3S) Rabbit Monoclonal Antibody
Orders: 877-616-CELL (2355) [email protected] Support: 877-678-TECH (8324) [email protected] Web: cellsignal.com
For Research Use Only. Not for Use in Diagnostic Procedures.

Revision 4

Cell Signaling Technology Logo
Immunohistochemical analysis of paraffin-embedded human tonsil using TRBC1/TCRβ constant region 1 (E6Z3S) Rabbit mAb.
Immunohistochemistry Image 9: TRBC1/TCR beta constant region 1 (E6Z3S) Rabbit Monoclonal Antibody
Orders: 877-616-CELL (2355) [email protected] Support: 877-678-TECH (8324) [email protected] Web: cellsignal.com
For Research Use Only. Not for Use in Diagnostic Procedures.