Revision 4

#9994

Store at -20C

CST Logo
Orders:

877-616-CELL (2355)

[email protected]

Support:

877-678-TECH (8324)

3 Trask Lane | Danvers | Massachusetts | 01923 | USA

For Research Use Only. Not for Use in Diagnostic Procedures.

Applications:
W, W-F, W-S, ChIP

Reactivity:
H M R Mk

Sensitivity:
Endogenous

MW (kDa):
95

Source/Isotype:
Rabbit IgG

UniProt ID:
#Q15910

Entrez-Gene Id:
2146

Product Usage Information

For optimal ChIP results, use 10 μL of antibody and 10 μg of chromatin (approximately 4 × 106 cells) per IP. This antibody has been validated using SimpleChIP® Enzymatic Chromatin IP Kits.
Application Dilution
Western Blotting 1:1000
Fluorescent Western 1:1000
Simple Western™ 1:10 - 1:50
Chromatin IP 1:50

Storage

Supplied in 10 mM sodium HEPES (pH 7.5), 150 mM NaCl, 100 µg/mL BSA, 50% glycerol, and less than 0.02% sodium azide. Store at –20°C. Do not aliquot the antibody.

Specificity/Sensitivity

Tri-Methyl-Ezh2 (Lys509) (F1D1Q) Rabbit Monoclonal Antibody recognizes endogenous levels of Ezh2 protein only when tri-methylated on Lys509.

Source / Purification

Monoclonal antibody is produced by immunizing animals with a synthetic peptide corresponding to residues surrounding tri-methylated Lys509 of human Ezh2 protein.

Background

The polycomb group (PcG) proteins are involved in maintaining the silenced state of several developmentally regulated genes and contribute to the maintenance of cell identity, cell cycle regulation, and oncogenesis (1,2). Enhancer of zeste homolog 2 (Ezh2), a member of this large protein family, contains four conserved regions, including domain I, domain II, and a cysteine-rich amino acid stretch that precedes the carboxy-terminal SET domain (3). The SET domain has been linked with histone methyltransferase (HMTase) activity. Moreover, mammalian Ezh2 is a member of a histone deacetylase complex that functions in gene silencing, acting at the level of chromatin structure (4). Ezh2 complexes methylate histone H3 at Lys9 and 27 in vitro, which is thought to be involved in targeting transcriptional regulators to specific loci (5). Ezh2 is deregulated in various tumor types, and its role, both as a primary effector and as a mediator of tumorigenesis, has become a subject of increased interest (6).

Recent studies have identified methylated lysine residues within the highly conserved, disordered loop of Ezh2 and shown that methylation of these residues increases PRC2 histone methyltransferase activity (7).

Species Reactivity

Species reactivity is determined by testing in at least one approved application (e.g., western blot).

Western Blot Buffer

IMPORTANT: For western blots, incubate membrane with diluted primary antibody in 5% w/v BSA, 1X TBS, 0.1% Tween® 20 at 4°C with gentle shaking, overnight.

Applications Key

W: Western Blotting W-F: Fluorescent Western W-S: Simple Western™ ChIP: Chromatin IP

Cross-Reactivity Key

H: Human M: Mouse R: Rat Mk: Monkey

Trademarks and Patents

Cell Signaling Technology is a trademark of Cell Signaling Technology, Inc.

All other trademarks are the property of their respective owners. Visit cellsignal.com/trademarks for more information.

Limited Uses

Except as otherwise expressly agreed in a writing signed by a legally authorized representative of CST, the following terms apply to Products provided by CST, its affiliates or its distributors. Any Customer's terms and conditions that are in addition to, or different from, those contained herein, unless separately accepted in writing by a legally authorized representative of CST, are rejected and are of no force or effect.

Products are labeled with For Research Use Only or a similar labeling statement and have not been approved, cleared, or licensed by the FDA or other regulatory foreign or domestic entity, for any purpose. Customer shall not use any Product for any diagnostic or therapeutic purpose, or otherwise in any manner that conflicts with its labeling statement. Products sold or licensed by CST are provided for Customer as the end-user and solely for research and development uses. Any use of Product for diagnostic, prophylactic or therapeutic purposes, or any purchase of Product for resale (alone or as a component) or other commercial purpose, requires a separate license from CST. Customer shall (a) not sell, license, loan, donate or otherwise transfer or make available any Product to any third party, whether alone or in combination with other materials, or use the Products to manufacture any commercial products, (b) not copy, modify, reverse engineer, decompile, disassemble or otherwise attempt to discover the underlying structure or technology of the Products, or use the Products for the purpose of developing any products or services that would compete with CST products or services, (c) not alter or remove from the Products any trademarks, trade names, logos, patent or copyright notices or markings, (d) use the Products solely in accordance with CST Product Terms of Sale and any applicable documentation, and (e) comply with any license, terms of service or similar agreement with respect to any third party products or services used by Customer in connection with the Products.

Orders: 877-616-CELL (2355) [email protected] Support: 877-678-TECH (8324) [email protected] Web: cellsignal.com
For Research Use Only. Not for Use in Diagnostic Procedures.

Revision 4

Cell Signaling Technology Logo
Western blot analysis of extracts from MDA-MB-231 and MDA-MB-468 cells, untreated (-) or treated with GSK126 (0.5 μM, 96 hr; +), using Tri-Methyl-Ezh2 (Lys509) (F1D1Q) Rabbit mAb (upper), Ezh2 (D2C9) XP® Rabbit mAb #5246 (middle), or β-Actin (D6A8) Rabbit mAb #8457 (lower).
Western Blotting Image 1: Tri-Methyl-Ezh2 (Lys509) (F1D1Q) Rabbit Monoclonal Antibody
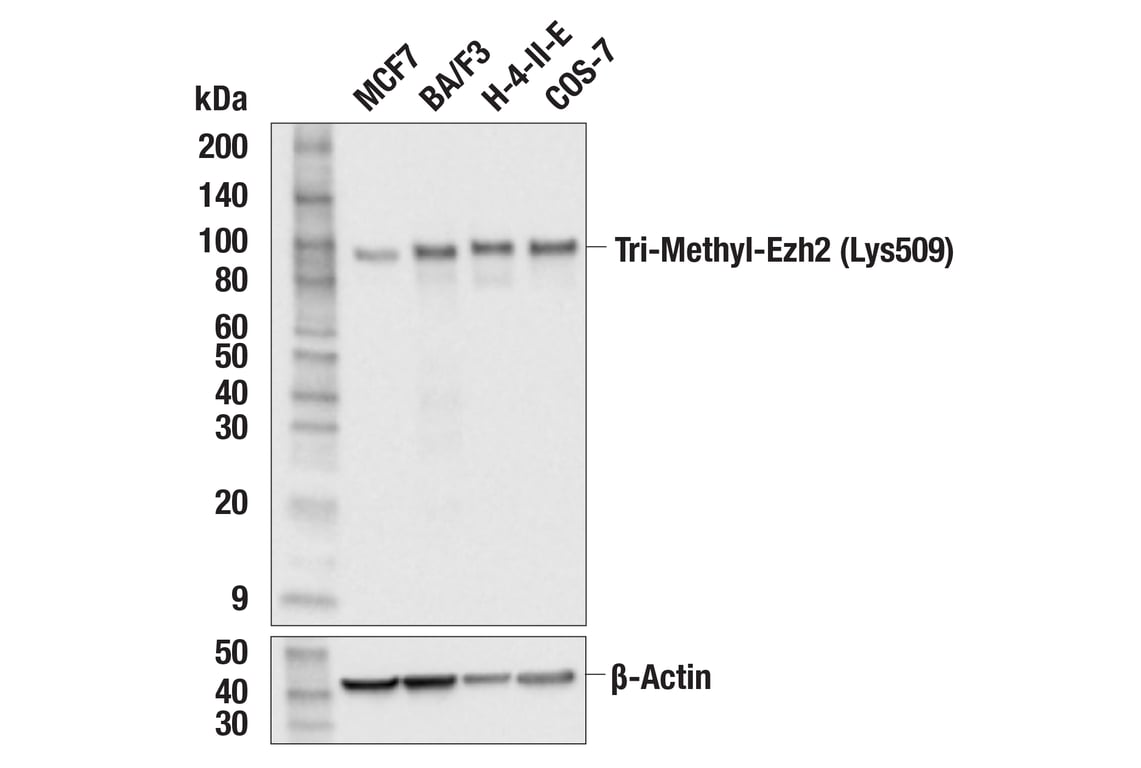
Western blot analysis of extracts from various cell lines using Tri-Methyl-Ezh2 (Lys509) (F1D1Q) Rabbit mAb (upper) or β-Actin (D6A8) Rabbit mAb #8457 (lower).
Western Blotting Image 2: Tri-Methyl-Ezh2 (Lys509) (F1D1Q) Rabbit Monoclonal Antibody
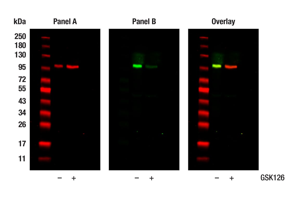
Western blot analysis of extracts from MDA-MB-231 cells, untreated (-) or treated with GSK126 (0.5 μM, 96 hr; +), using Ezh2 (AC22) Mouse mAb #3147 (Panel A) and Tri-Methyl-Ezh2 (Lys509) (F1D1Q) Rabbit mAb #9994 (Panel B). Anti-mouse IgG (H+L) (DyLight 680 Conjugate) #5470 (red) and Anti-rabbit IgG (H+L) (DyLight 800 4X PEG Conjugate) #5151 (green) were used as secondary antibodies.
Western Blotting Image 1: Tri-Methyl-Ezh2 (Lys509) (F1D1Q) Rabbit Monoclonal Antibody
Orders: 877-616-CELL (2355) [email protected] Support: 877-678-TECH (8324) [email protected] Web: cellsignal.com
For Research Use Only. Not for Use in Diagnostic Procedures.

Revision 4

Cell Signaling Technology Logo
Simple WesternTM analysis of lysates (1.0 mg/mL) from COS-7 cells using Tri-Methyl-Ezh2 (Lys509) (F1D1Q) Rabbit mAb #9994.  The virtual lane view (left) shows the target band (as indicated) at 1:10 and 1:50 dilutions of primary antibody.  The corresponding electropherogram view (right) plots chemiluminescence by molecular weight along the capillary at 1:10 (blue line) and 1:50 (green line) dilutions of primary antibody.  This experiment was performed under reducing conditions on the JessTM Simple Western instrument from ProteinSimple, a BioTechne brand, using the 12-230 kDa separation module.
Western Blotting Image 1: Tri-Methyl-Ezh2 (Lys509) (F1D1Q) Rabbit Monoclonal Antibody
Chromatin immunoprecipitations were performed with cross-linked chromatin from NCCIT cells and either Tri-Methyl-Ezh2 (Lys509) (F1D1Q) Rabbit mAb or Normal Rabbit IgG #2729, using SimpleChIP® Plus Enzymatic Chromatin IP Kit (Magnetic Beads) #9005. The enriched DNA was quantified by real-time PCR, using SimpleChIP® Human HoxA1 Intron 1 Primers #7707, SimpleChIP® Human HoxA2 Promoter Primers #5517, and SimpleChIP® Human α Satellite Repeat Primers #4486. The amount of immunoprecipitated DNA in each sample is represented as signal relative to the total amount of input chromatin, which is equivalent to one.
Chromatin Immunoprecipitation Image 1: Tri-Methyl-Ezh2 (Lys509) (F1D1Q) Rabbit Monoclonal Antibody
Orders: 877-616-CELL (2355) [email protected] Support: 877-678-TECH (8324) [email protected] Web: cellsignal.com
For Research Use Only. Not for Use in Diagnostic Procedures.