Revision 14

#9733

Store at -20C

CST Logo
Orders:

877-616-CELL (2355)

[email protected]

Support:

877-678-TECH (8324)

3 Trask Lane | Danvers | Massachusetts | 01923 | USA

For Research Use Only. Not for Use in Diagnostic Procedures.

Applications:
W, IHC-Bond, IHC-P, IF-IC, FC-FP, ChIP, ChIP-seq, C&R, C&T

Reactivity:
H M R Mk

Sensitivity:
Endogenous

MW (kDa):
17

Source/Isotype:
Rabbit IgG

UniProt ID:
#P68431

Entrez-Gene Id:
8350

Product Usage Information

For optimal ChIP and ChIP-seq results, use 10 μl of antibody and 10 μg of chromatin (approximately 4 x 106 cells) per IP. This antibody has been validated using SimpleChIP® Enzymatic Chromatin IP Kits.

The CUT&RUN dilution was determined using CUT&RUN Assay Kit #86652.

The CUT&Tag dilution was determined using CUT&Tag Assay Kit #77552.

Application Dilution
Western Blotting 1:1000
IHC Leica Bond 1:200 - 1:800
Immunohistochemistry (Paraffin) 1:100 - 1:400
Immunofluorescence (Immunocytochemistry) 1:800 - 1:3200
Flow Cytometry (Fixed/Permeabilized) 1:100 - 1:400
Chromatin IP 1:50
Chromatin IP-seq 1:50
CUT&RUN 1:50
CUT&Tag 1:50

Storage

Supplied in 10 mM sodium HEPES (pH 7.5), 150 mM NaCl, 100 µg/ml BSA, 50% glycerol and less than 0.02% sodium azide. Store at –20°C. Do not aliquot the antibody.

For a carrier free (BSA and azide free) version of this product see product #35861.

Specificity/Sensitivity

Tri-Methyl-Histone H3 (Lys27) (C36B11) Rabbit Monoclonal Antibody detects endogenous levels of histone H3 only when tri-methylated on Lys27. This antibody does not cross-react with non-methylated, mono-methylated or di-methylated Lys27. In addition, this antibody does not cross-react with mono-methylated, di-methylated or tri-methylated histone H3 at Lys4, Lys9, Lys36 or Histone H4 at Lys20.

Species predicted to react based on 100% sequence homology

Xenopus, Zebrafish

Source / Purification

Monoclonal antibody is produced by immunizing animals with a synthetic peptide corresponding to the amino terminus of histone H3 in which Lys27 is tri-methylated.

Background

The nucleosome, made up of four core histone proteins (H2A, H2B, H3, and H4), is the primary building block of chromatin. Originally thought to function as a static scaffold for DNA packaging, histones have now been shown to be dynamic proteins, undergoing multiple types of post-translational modifications, including acetylation, phosphorylation, methylation, and ubiquitination (1). Histone methylation is a major determinant for the formation of active and inactive regions of the genome and is crucial for the proper programming of the genome during development (2,3). Arginine methylation of histones H3 (Arg2, 17, 26) and H4 (Arg3) promotes transcriptional activation and is mediated by a family of protein arginine methyltransferases (PRMTs), including the co-activators PRMT1 and CARM1 (PRMT4) (4). In contrast, a more diverse set of histone lysine methyltransferases has been identified, all but one of which contain a conserved catalytic SET domain originally identified in the Drosophila Su(var)3-9, Enhancer of zeste, and Trithorax proteins. Lysine methylation occurs primarily on histones H3 (Lys4, 9, 27, 36, 79) and H4 (Lys20) and has been implicated in both transcriptional activation and silencing (4). Methylation of these lysine residues coordinates the recruitment of chromatin modifying enzymes containing methyl-lysine binding modules such as chromodomains (HP1, PRC1), PHD fingers (BPTF, ING2), tudor domains (53BP1), and WD-40 domains (WDR5) (5-8). The discovery of histone demethylases, such as PADI4, LSD1, JMJD1, JMJD2, and JHDM1, has shown that methylation is a reversible epigenetic marker (9).

Species Reactivity

Species reactivity is determined by testing in at least one approved application (e.g., western blot).

Western Blot Buffer

IMPORTANT: For western blots, incubate membrane with diluted primary antibody in 5% w/v BSA, 1X TBS, 0.1% Tween® 20 at 4°C with gentle shaking, overnight.

Applications Key

W: Western Blotting IHC-Bond: IHC Leica Bond IHC-P: Immunohistochemistry (Paraffin) IF-IC: Immunofluorescence (Immunocytochemistry) FC-FP: Flow Cytometry (Fixed/Permeabilized) ChIP: Chromatin IP ChIP-seq: Chromatin IP-seq C&R: CUT&RUN C&T: CUT&Tag

Cross-Reactivity Key

H: Human M: Mouse R: Rat Mk: Monkey

Trademarks and Patents

Cell Signaling Technology is a trademark of Cell Signaling Technology, Inc.

U.S. Patent No. 7,429,487, foreign equivalents, and child patents deriving therefrom.

All other trademarks are the property of their respective owners. Visit cellsignal.com/trademarks for more information.

Limited Uses

Except as otherwise expressly agreed in a writing signed by a legally authorized representative of CST, the following terms apply to Products provided by CST, its affiliates or its distributors. Any Customer's terms and conditions that are in addition to, or different from, those contained herein, unless separately accepted in writing by a legally authorized representative of CST, are rejected and are of no force or effect.

Products are labeled with For Research Use Only or a similar labeling statement and have not been approved, cleared, or licensed by the FDA or other regulatory foreign or domestic entity, for any purpose. Customer shall not use any Product for any diagnostic or therapeutic purpose, or otherwise in any manner that conflicts with its labeling statement. Products sold or licensed by CST are provided for Customer as the end-user and solely for research and development uses. Any use of Product for diagnostic, prophylactic or therapeutic purposes, or any purchase of Product for resale (alone or as a component) or other commercial purpose, requires a separate license from CST. Customer shall (a) not sell, license, loan, donate or otherwise transfer or make available any Product to any third party, whether alone or in combination with other materials, or use the Products to manufacture any commercial products, (b) not copy, modify, reverse engineer, decompile, disassemble or otherwise attempt to discover the underlying structure or technology of the Products, or use the Products for the purpose of developing any products or services that would compete with CST products or services, (c) not alter or remove from the Products any trademarks, trade names, logos, patent or copyright notices or markings, (d) use the Products solely in accordance with CST Product Terms of Sale and any applicable documentation, and (e) comply with any license, terms of service or similar agreement with respect to any third party products or services used by Customer in connection with the Products.

Orders: 877-616-CELL (2355) [email protected] Support: 877-678-TECH (8324) [email protected] Web: cellsignal.com
For Research Use Only. Not for Use in Diagnostic Procedures.

Revision 14

Cell Signaling Technology Logo
Western blot analysis of various cell lines using Tri-Methyl-Histone H3 (Lys27) (C36B11) Rabbit mAb.
Western Blotting Image 1: Tri-Methyl-Histone H3 (Lys27) (C36B11) Rabbit Monoclonal Antibody
Immunohistochemical analysis of paraffin-embedded human endometrioid adenocarcinoma using Tri-Methyl-Histone H3 (Lys27) (C36B11) Rabbit mAb performed on the Leica® BOND™ Rx.
Immunohistochemistry Image 1: Tri-Methyl-Histone H3 (Lys27) (C36B11) Rabbit Monoclonal Antibody
Immunohistochemical analysis of paraffin-embedded human colon adenocarcinoma using Tri-Methyl-Histone H3 (Lys27) (C36B11) Rabbit mAb performed on the Leica® BOND™ Rx.
Immunohistochemistry Image 2: Tri-Methyl-Histone H3 (Lys27) (C36B11) Rabbit Monoclonal Antibody
Orders: 877-616-CELL (2355) [email protected] Support: 877-678-TECH (8324) [email protected] Web: cellsignal.com
For Research Use Only. Not for Use in Diagnostic Procedures.

Revision 14

Cell Signaling Technology Logo
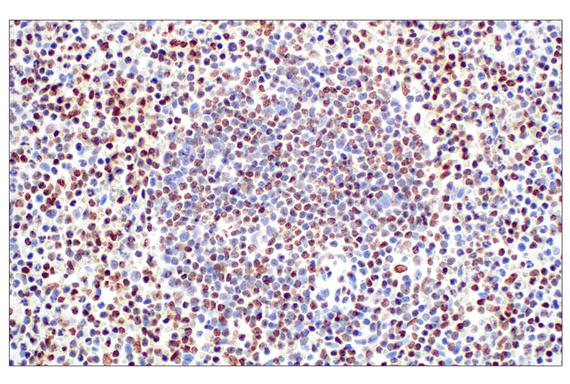
Immunohistochemical analysis of paraffin-embedded human lymphoma using Tri-Methyl-Histone H3 (Lys27) (C36B11) Rabbit mAb in the presence of non-methyl peptide (left) or K27 tri-methyl peptide (right).
Immunohistochemistry Image 1: Tri-Methyl-Histone H3 (Lys27) (C36B11) Rabbit Monoclonal Antibody
Immunohistochemical analysis of paraffin-embedded mouse thymus using Tri-Methyl-Histone H3 (Lys27) (C36B11) Rabbit mAb.
Immunohistochemistry Image 2: Tri-Methyl-Histone H3 (Lys27) (C36B11) Rabbit Monoclonal Antibody
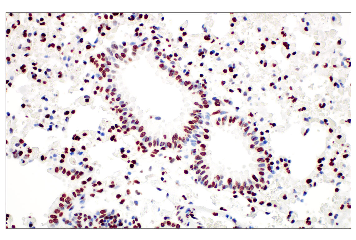
Immunohistochemical analysis of paraffin-embedded mouse lung using Tri-Methyl-Histone H3 (Lys27) (C36B11) Rabbit mAb.
Immunohistochemistry Image 3: Tri-Methyl-Histone H3 (Lys27) (C36B11) Rabbit Monoclonal Antibody
Orders: 877-616-CELL (2355) [email protected] Support: 877-678-TECH (8324) [email protected] Web: cellsignal.com
For Research Use Only. Not for Use in Diagnostic Procedures.

Revision 14

Cell Signaling Technology Logo
Immunohistochemical analysis of paraffin-embedded rhesus monkey spleen using Tri-Methyl-Histone H3 (Lys27) (C36B11) Rabbit mAb.
Immunohistochemistry Image 4: Tri-Methyl-Histone H3 (Lys27) (C36B11) Rabbit Monoclonal Antibody
Immunohistochemical analysis of paraffin-embedded rhesus monkey kidney using Tri-Methyl-Histone H3 (Lys27) (C36B11) Rabbit mAb.
Immunohistochemistry Image 5: Tri-Methyl-Histone H3 (Lys27) (C36B11) Rabbit Monoclonal Antibody
Confocal immunofluorescent analysis of HeLa cells using Tri-Methyl-Histone H3 (Lys27) (C36B11) Rabbit mAb (green). Actin filaments have been labeled with DY-554 phalloidin (red).
Immunofluorescence Image 1: Tri-Methyl-Histone H3 (Lys27) (C36B11) Rabbit Monoclonal Antibody
Orders: 877-616-CELL (2355) [email protected] Support: 877-678-TECH (8324) [email protected] Web: cellsignal.com
For Research Use Only. Not for Use in Diagnostic Procedures.

Revision 14

Cell Signaling Technology Logo
Flow cytometric analysis of Jurkat cells using Tri-Methyl-Histone H3 (Lys27) (C36B11) Rabbit mAb (solid line) compared to concentration-matched Rabbit (DA1E) mAb IgG XP® Isotype Control #3900 (dashed line). Anti-rabbit IgG (H+L), F(ab')2 Fragment (Alexa Fluor® 488 Conjugate) #4412 was used as a secondary antibody.
Flow Cytometry Image 1: Tri-Methyl-Histone H3 (Lys27) (C36B11) Rabbit Monoclonal Antibody
Chromatin immunoprecipitations were performed with cross-linked chromatin from Hela cells and either Ezh2 (D2C9) XP® Rabbit mAb #5246 or Tri-Methyl-Histone H3 (Lys27) (C36B11) Rabbit mAb, using SimpleChIP® Enzymatic Chromatin IP Kit (Magnetic Beads) #9003. DNA Libraries were prepared using DNA Library Prep Kit for Illumina® (ChIP-seq, CUT&RUN) #56795. EZH2 and H3K27me3 are known to associate with each other on chromatin. The figure shows binding of both EZH2 and H3K27me3 across MYT1, a known target gene of H3K27me3 (see additional figure containing ChIP-qPCR data).
Chromatin Immunoprecipitation Image 1: Tri-Methyl-Histone H3 (Lys27) (C36B11) Rabbit Monoclonal Antibody
Chromatin immunoprecipitations were performed with cross-linked chromatin from Hela cells and either Ezh2 (D2C9) XP® Rabbit mAb #5246 or Tri-Methyl-Histone H3 (Lys27) (C36B11) Rabbit mAb, using SimpleChIP® Enzymatic Chromatin IP Kit (Magnetic Beads) #9003. DNA Libraries were prepared using DNA Library Prep Kit for Illumina® (ChIP-seq, CUT&RUN) #56795. EZH2 and H3K27me3 are known to associate with each other on chromatin. The figure shows binding of both EZH2 and H3K27me3 across chromosome 20 (upper), including MYT1 (lower), a known target gene of H3K27me3 (see additional figure containing ChIP-qPCR data).
Chromatin Immunoprecipitation Image 2: Tri-Methyl-Histone H3 (Lys27) (C36B11) Rabbit Monoclonal Antibody
Orders: 877-616-CELL (2355) [email protected] Support: 877-678-TECH (8324) [email protected] Web: cellsignal.com
For Research Use Only. Not for Use in Diagnostic Procedures.

Revision 14

Cell Signaling Technology Logo
Chromatin immunoprecipitations were performed with cross-linked chromatin from HeLa cells and either Tri-Methyl-Histone H3 (Lys27) (C36B11) Rabbit mAb, or Normal Rabbit IgG #2729, using SimpleChIP® Enzymatic Chromatin IP Kit (Magnetic Beads) #9003. The enriched DNA was quantified by real-time PCR using SimpleChIP® Human GAPDH Exon 1 Primers #5516, SimpleChIP® Human RPL30 Exon 3 Primers #7014, SimpleChIP® Human MyoD1 Exon 1 Primers #4490, and SimpleChIP® Human MYT-1 Exon 1 Primers #4493. The amount of immunoprecipitated DNA in each sample is represented as signal relative to the total amount of input chromatin, which is equivalent to one.
Chromatin Immunoprecipitation Image 3: Tri-Methyl-Histone H3 (Lys27) (C36B11) Rabbit Monoclonal Antibody
CUT&RUN was performed with HeLa cells and Tri-Methyl-Histone H3 (Lys27) (C36B11) Rabbit mAb, using CUT&RUN Assay Kit #86652. DNA Libraries were prepared using DNA Library Prep Kit for Illumina® (ChIP-seq, CUT&RUN) #56795. The figure shows binding across TCEA2 gene.
CUT & RUN Image 1: Tri-Methyl-Histone H3 (Lys27) (C36B11) Rabbit Monoclonal Antibody
CUT&RUN was performed with HeLa cells and Tri-Methyl-Histone H3 (Lys27) (C36B11) Rabbit mAb, using CUT&RUN Assay Kit #86652. DNA Libraries were prepared using DNA Library Prep Kit for Illumina® (ChIP-seq, CUT&RUN) #56795. The figures show binding across chromosome 20 (upper), including TCEA2 gene (lower).
CUT & RUN Image 2: Tri-Methyl-Histone H3 (Lys27) (C36B11) Rabbit Monoclonal Antibody
Orders: 877-616-CELL (2355) [email protected] Support: 877-678-TECH (8324) [email protected] Web: cellsignal.com
For Research Use Only. Not for Use in Diagnostic Procedures.

Revision 14

Cell Signaling Technology Logo
CUT&RUN was performed with HeLa cells and either Tri-Methyl-Histone H3 (Lys27) (C36B11) Rabbit mAb or Rabbit (DA1E) mAb IgG XP® Isotype Control (CUT&RUN) #66362, using CUT&RUN Assay Kit #86652. The enriched DNA was quantified by real-time PCR using SimpleChIP® Human MYT-1 Exon 1 Primers, SimpleChIP® Human MyoD1 Exon 1 Primers, and SimpleChIP® Human GAPDH Exon 1 Primers. The amount of immunoprecipitated DNA in each sample is represented as signal relative to the total amount of input chromatin, which is equivalent to one.
CUT & RUN Image 3: Tri-Methyl-Histone H3 (Lys27) (C36B11) Rabbit Monoclonal Antibody
CUT&Tag was performed with NCCIT cells and Tri-Methyl-Histone H3 (Lys27) (C36B11) Rabbit mAb, using CUT&Tag Assay Kit #77552. DNA library was prepared using CUT&Tag Dual Index Primers and PCR Master Mix for Illumina Systems #47415. The figure shows binding across the HOXA gene cluster.
CUT & Tag Image 1: Tri-Methyl-Histone H3 (Lys27) (C36B11) Rabbit Monoclonal Antibody
CUT&Tag was performed with NCCIT cells and Tri-Methyl-Histone H3 (Lys27) (C36B11) Rabbit mAb, using CUT&Tag Assay Kit #77552. DNA library was prepared using CUT&Tag Dual Index Primers and PCR Master Mix for Illumina Systems #47415. The figures show binding across the HOXA gene cluster (upper), and HOXD gene cluster (lower).
CUT & Tag Image 2: Tri-Methyl-Histone H3 (Lys27) (C36B11) Rabbit Monoclonal Antibody
Orders: 877-616-CELL (2355) [email protected] Support: 877-678-TECH (8324) [email protected] Web: cellsignal.com
For Research Use Only. Not for Use in Diagnostic Procedures.